Why is lung POCUS more sensitive than xray for diagnosing pneumothorax?
Usually these are sick patients: chest radiographs are especially inaccurate in a supine patient since air layering anteriorly is difficult to detect -one study showed that ultrasound was superior to chest radiographs in identifying traumatic pneumothoraces: sensitivity of 98.1% and specificity of 99.2% compared with chest radiographs (sensitivity of 75.5% and specficity of 100%)
What are the 4 point of care questions you can answer via lung POCUS?
Which transducer should be used for lung POCUS?
Convex or linear can be used -however, most of the pediatric literature has described lung ultrasound with linear transducers and linear transducers offer the best resolution
Why is lung ultrasound particularly different from all other ultrasound examinations?
It’s because lung ultrasound is not based on the anatomic representation of the organ itself but on the ARTIFACTS generated by the lung!
What is the best position to assess for the following in a patient: -pneumothorax -pleural effusion
Pneumothorax = supine position (since air rises anteriorly) Pleural effusion = upright/seated position since the fluid accumulates inferiorly/posteriorly
Where are the two areas on the chest wall to place your probe in doing a SCREENING lung ultrasound?
How can you identify the pleural line within the chest wall?
Pleural line = hyperechoic line immediately deep to the ribs (ie. use the ribs as a visual reference point to finding the pleural line)
Where should the probe indicator be when you are scanning the lung?
Towards the patient’s head! -remember that the indicator should either always be pointing towards the patient’s head or towards the patient’s right depending on whether you are holding the probe transverse or longitudinal to the body -when scanning the lung, the probe is held longitudinal to the body
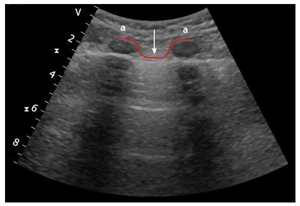
What is the “bat sign” in lung ultrasound?
Image formed by two ribbs with the pleural line in between them = resembles a bat with open wings.

What is lung sliding?
-what does absence of lung sliding mean?
Lung sliding = movement between the visceral pleura and parietal pleura
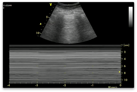
What is the seashore sign on M mode of lung ultrasound?
Seashore sign: non-moving chest wall appears as horizontal lines (ocean waves) and the sparkling artifact from lung sliding (ie. pleural movement) appears as a grainy pattern (sandy beach)
-demonstrates that the visceral pleura slides directly on the parietal pleura!

What is the stratosphere/barcode sign on M mode in lung ultrasound?
Classic sign seen with pneumothorax (aka Barcode sign)

Compare and contrast the seashore sign vs. the stratosphere sign?
Seashore sign = on M mode, reflects normal lung sliding = the waves are the non-moving ribs/muscle/chest wall and the sandy beach are the artifacts generated by the movement of the pleura
Stratosphere sign: absence of pleural contact with the lung = the artifact is static thus you see only horizontal lines instead of the sandy beach pattern

What is the “lung pulse”?
In the non-ventilated lung (ie. mainstem intubation, apnea, complete atelectasis), the visceral pleura will still present with a tiny rhythmic movement synchronous with the cardiac cycle caused by the arterial pulse and movement of the heart itself

What are “A lines”?
Horizontal lines parallel to the pleural line = reverberation artifact of the ultrasound beam between the pleural and the transducer
-A lines are generated by the presence of air in normal lung parenchyma but will also be present in aerated pathologic conditions like pneumothorax or mainstem intubation
What are “B lines”?
-suggestive of what conditions? (6)
B lines = reverberation artifacts like a light beam = are generated when there is a pathologic process that causes thickening of lung and/or partial filling of alveoli by fluid

What 3 things should you look for on M-mode when doing a lung ultrasound?
M mode: generates an image deep to the pleural line = reflection artifact
What are “C lines”?
C lines = consolidations = these are not actually artifacts but are soft tissue like regions in direct contact with the visceral pleura
-air bronchograms can usually be seen within these consolidations
What is a normal amount of B lines to have in a normal lung?
-what number of B lines should concern you for pathologic lung conditions?
It is normal to have a few isolated B lines in the normal lung, especially at lung bases
-however, if you see the presence of more than THREE B line artifacts that are simultaneously visible on an intercostal scan, this should be considered pathologic for ARDS, RDS, TTN, cardiogenic pulmonary edema, interstitial pneumonia, or pulmonary contusion
What sonographic artifacts should you expect to see on lung ultrasound in the following conditions:
Fill in the blank: the presence of ______ on lung ultrasound excludes a pneumothorax.
Lung sliding!
***When scanning the left lung, do NOT confuse cardiac movement for lung sliding (ie. lung movement secondary to cardiac movement is known as the lung pulse)
How can you ensure that the vertical artifacts you’re seeing on a lung ultrasound are truly B lines? (4)
What are the vertical artifacts seen with subcutaneous emphysema?
-how can you differentiate them from B lines?
E-lines and W-lines = very similar to B lines but they are STATIC (don’t move with lung sliding) and are generated in the chest wall, not the pleural line
How can you ensure that you’re looking at the pleural line and not soft tissue or subcutaneous emphysema?
The pleural line should be immediately deep to the ribs!!! So use the ribs as a reference to identify the pleural line.
-any hyperechoic lines ABOVE the ribs (dynamic or static) are not in the pleural cavity but is the soft tissue/chest wall