In cases of generalized lymphadenopathy, which LN are best to aspirate?
popliteal and prescapular LN
What is the makeup of a normal LN?
75-90% small lymphocytes
5-10% intermediate
<5% lymphoblasts

What are the possible differentials for lymph node enlargement?
LN hyperplasia
lymphadenitis
lymphoma
metastatic neoplasia
edema
Classify this LN aspirate.

Reactive LN hyperplasia:
increase (not >10-20%) # intermediate & large lymphs
plasma cells w/ mott cells (contain IG)
can see low # mast cells
lymphoglandular bodies (pieces of basophilic cytoplasm from lysed lymphocytes)
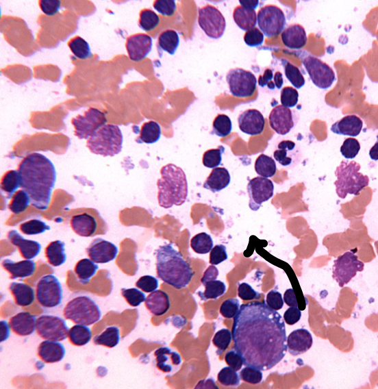
Classify this LN aspirate.
What is the arrow pointing to?

Reactive LN hyperplasia
lymphoglandular bodies
Lymphadenitis is characterized by what?
Increase in the number of inflammatory cells:
Neutrophilic >5% NT
Eosinophilic >3% eos
Pyogranulomatous (significant macrophages)
With which neoplasms, could an eosinophilic inflammation in a LN aspirate been seen?
mast cell
T-cell lymphoma
When can a diagnosis of lymphoma be reliably made?
>50% lymphoblasts
What neoplasm is associated with hypercalcemia of malignancy originating from the LN?
T-cell lymphoma
Hyperglobulinemia is often seen with which cancers?
myelomas and B-cell tumors
What is the most common form of lymphoma in dogs?
What type of cells characterizes the neoplasia?
multicentric lymphoma
lymphoblast cells
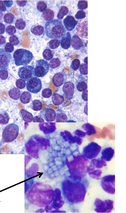
Classify this LN aspirate.
What is the arrow pointing to?
Neoplastic, lymphoma
indistinct nucleoli (a common characteristic of multicentric lymphoma)
Why should you collect a LN aspirate before you administer steroids?
lymphoblastic cells are more sensitive to the cytotoxic effects of steroids
Peripheral multicentric lymphoma is common in the cat. T/F?
FALSE (rare)
Why is diagnosing lymphoma in a cat harder than in a dog?
lymphoma of small, well diff lymphocytes
most lymphomas do not involve the peripheral LN (more often than not just hyperplasia)
What is the most common form of lymphoma in the cat?
alimentary
What are the three most common forms of GI lymphoma?
small cell well-diff lymphoma (hard to ddx from IBD, older cats)
Large Granular lymphoma (cytotoxic T-cell or NK cells)
Large cell- typically B-cell (masses in colon)
The following aspirates were obtained from the GI of a feline. Likely DDX? How do you know?

Large granular lymphoma
focal granules in the cytoplasm
A 10 year old feline presents for enlarged cervical LN in chain. The cytology is shown below. What is the likely DX and prognosis? What is the cell type characteristic of this disease seen in the cytology? Can it be reliably dx on cytology?
Hodgkin’s - like lymphoma
Good prognosis with sx
Reed-sternberg-like cells ( multi-nucleated cells)
Need histopath
A 1 year old feline presents for multiple enlarged LN. The cytology indicates an increased number of lymphoblastic cells. What is the likely dx? Cause? Prognosis? Can it be dx on cytology?
Distinctive peripheral LN hyperplasia
idiopathic
lymphadenopathy regresses in 1-17 weeks
Need histologic dx
Is small cell GI lymphoma associated with FeLV + felines?
NO***
In which cats do we typically see FeLV associated lymphoma? What type of lymphoma is it?
young felines (uncommon d/t vax)
T-cell (thymic & multicentric forms)
How is lymphoma in horses different from cats & dogs?
Multicentric forms typically involve thoracic & abdominal cavities, GI, and cutaneous diseases common
What is the most common form of lymphoma in the horse?
Which cell is the neoplastic population?
Where is it commonly located?
T-cell rich large B-cell lymphoma
B-cells
multiple SQ nodules****
often need histo to dx