Lympho Flashcards

(105 cards)

1
Q

Describe the function of the spleen

A
  • blood reserve (injury or exercise can release 10-20% BV)
  • RBC metabolism
  • hematopoesis (if BM fails can make RBC and WBC)
  • immune function (macrophage pathogens and make antibodies)
How well did you know this?
1
Not at all
2
3
4
5
Perfectly
2
Q

What are the indications for a splenectomy

A
  • trauma
  • neoplasia (ie haemangiosarcoma)
  • splenic torsion
How well did you know this?
1
Not at all
2
3
4
5
Perfectly
3
Q

What clinical signs may you see with hemangiosarcoma

A
  • anaemia
  • haemoabdomen
How well did you know this?
1
Not at all
2
3
4
5
Perfectly
4
Q

Is isolated splenic injury common?

A

No

How well did you know this?
1
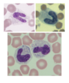
Not at all
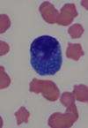
2
3
4
5
Perfectly
5
Q

Neoplasia in the spleen- total or partial splenectomy?

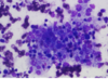
A

Total splenectomy

How well did you know this?
1
Not at all
2
3
4
5
Perfectly
6
Q

On US of the spleen you see a snow globe effect - what may has happened to the spleen?

A

Splenic torsion

How well did you know this?
1
Not at all
2
3
4
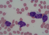
5
Perfectly
7
Q

What are the 2 main perioperative risks of splenectomy?

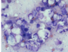
A
  • DIC
  • Increased risk of cardiac arrhythmis
How well did you know this?
1
Not at all
2
3
4
5
Perfectly
8
Q

Focal or benigh disease of the spleen- would you do a partial or total splenectomy?

A

Partial splenectomy

How well did you know this?
1
Not at all
2
3
4
5
Perfectly
9
Q

What are the 2 suture patterns used during a partial splenectomy?

A

2 rows of continuous overlappig mattress sutures followed by continuous suture / linear staple

How well did you know this?
1
Not at all
2
3
4
5
Perfectly
10
Q

What complications can be seen with splenectomy?

A
  • Hemmorhage (due to technical failure)
  • increased risk of infection
  • cardiac arrhythmmias
  • gastritis and pancreatitis (if you have compromised the left limb of pancreas’s blood supply)
How well did you know this?
1
Not at all
2
3
4
5
Perfectly
11
Q

What is the most common cause of thrombocytopenia?

A

Immune mediated thrombocytopenia

How well did you know this?
1
Not at all
2
3
4
5
Perfectly
12
Q

List causes of severe thrombocytopenia

A
  • DIC
  • immune mediated
How well did you know this?
1
Not at all
2
3
4
5
Perfectly
13
Q

List causes of mild thrombocytopenia

A
  • hemmorhage
  • splenic sequestration
  • cavitated mass
How well did you know this?
1
Not at all
2
3
4
5
Perfectly
14
Q

Absence of all Vwf multimers- what type of Vwf disease is this?

A

Type 3

puppies usually die

How well did you know this?
1
Not at all
2
3
4
5
Perfectly
15
Q

Qualitative abnormalities in VwF structure and function. Decrease in large VwF multimers- what type of Vwf disease is this?

A

Type 2

How well did you know this?
1
Not at all
2
3
4
5
Perfectly
16
Q

All VwF multimers present but at decreased concentration- what type of Vwf disease is this?

A

Type 1

commonly seen in Dobermans

How well did you know this?
1
Not at all
2
3
4
5
Perfectly
17
Q

How to we test for VwF disease?

A
  • Elisa (measure antibodies for VwF)
  • immunoelectrophoresis
  • genetic tests for carriers
How well did you know this?
1
Not at all
2
3
4
5
Perfectly
18
Q

Treatment for VwF disease

A
  • cryoprecipitate
  • desmopressin (prior to operations)
How well did you know this?
1
Not at all
2
3
4
5
Perfectly
19
Q

What clinical signs may you see with VwF disease?

A
  • NO PETECHIA
  • epistaxis
  • mucosal bleeding
  • bleeding may be absent
  • PTT may be prolonger (factor 8)
  • ## prolonged buccal mucosal time
How well did you know this?
1
Not at all
2
3
4
5
Perfectly
20
Q

If a patient has VwF disease will clotting times be normal or abnormal?

A

Normal

How well did you know this?
1
Not at all
2
3
4
5
Perfectly
21
Q

What part of the pathway does PTT measure?

A

intrinsic and common

How well did you know this?
1
Not at all
2
3
4
5
Perfectly
22
Q

What part of the pathway does ACT measure?

A

Intrinsic and common

How well did you know this?
1
Not at all
2
3
4
5
Perfectly
23
Q

What part of the pathway does PT measure?

A

extrinsic and common

How well did you know this?
1
Not at all
2
3
4
5
Perfectly
24
Q

what increases FDP?

A
  • DIC
  • hemmorhage
  • jugular venous thrombosis
  • liver disease
How well did you know this?
1
Not at all
2
3
4
5
Perfectly
25
What are the Vit K dependent clotting factors
2 7 9 10 to heaven, knives them
26
In VwF are there petechia
No
27
In Vit K deficiency which increases first PT or PTT?
PT (as factor 7 is the first to be lost )
28
if PT and PTT both increased which disease processes can be considered?
- liver disease - DIC - Vit K deficiency
29
Hemophilia A is a deficiency in with factor?
8
30
Hemophilia B is a deficiency in with factor?
9
31
DIC can be defined as a mix hemostatic defect caused by...leading to...
excessive COAGULATION HEMMORHAGE
32
What may you see with DIC? (what increases and decreases?)
- increase in FDP - increase in PT and PTT - decrease in fibrinogen - decrease in ATIII - decrease in PLATELETs
33
IMHA- usually regenerative or non regenerative?
usually STRONGLY regenerative
34
plasma is pink- intravascular or extravascular hemolysis?
intravascular
35
plasma is yellow- intravascular or extravascular hemolysis?
extravascular
36
presence of spherocytes- intravascular or extravascular hemolysis?
extravascular
37
presence of ghost cells - intravascular or extravascular hemolysis?
intravascular (complement pokes holes in Red blood cells- Hg leaks out!!)
38
In saline agglutination test is positive- what does it mean?
Could mean IMHA- check under microscope for rouleaux or whether true agglutination
39
What are common features of IMHA?
- positive agglutination test - Coombs test positive - billirubinemia (usually due to extravascular hemolysis) - increased neutrophils and monocytes - ghost cells - spherocytes - myelofibrosis
40
What is the most common cause of a non-regen anemia?
chronic inflammation (downregulation of iron is an evolutionary adaptation as bacteria require iron--> this leads to RBCs having a shorter lifespan)
41
List causes of non-regenerative anemia
- chronic inflammation - renal disease (lack of EPO) - endocrine (hypoT4 or hypo AC lead to mild non regen) - myelodysplasia - myelophtisis - FeLV - Aplastic anema causes by destruction of the BM - myelofibrosis (seem in IMHA)
42
What are 2nd causes of erythrocytosis
chronic hypoxia EPO increase tumour seceting EPO
43
What are the primary causes of erythrocytosis
- myeloproliferative disorder of the erythroid stem cell (EPO and O2 are normal)
44
What are the 2 causes of regenerative anemia?
- hemorrhage (internal or external) - hemolysis (intravascular or extravascular)
45
If a hemmorhage is internal what happens to TP and iron?
it stays the same
46
if a hemmorhage is external what happens to TP and iron?
they decrease
47
Give examples of external hemmorage
melaena epistaxis blood in urine
48
Neutrophils are in the blood for how long?
5-6h can also be 30min!
49
granulocytes all have...
- segmented nucleus - granules
50
If you have an increased demand in neutrophils what may you see?
- Left shift: band neutrophils or earlier - Toxic changes: - basophilia, Dohle bodies, vacuolation, foamy cytoplasm, toxic granules)
51
Toxic changes seen in neutrophils are associated with...
an accelerated production! They have to be made quicker by the BM so they are not perfect
52
What do endotoxins do to neutrophils?
they marginate them so decreased circulating neutrophils
53
What do glucocorticoids do to neutrophils?
they prevent them from marginating ---> increased circulating neutrophil pool---> R shift (hypersegmentation)
54
What is this showing?
degenerate neutrophils (kamikaze explosions)
55
What are these?
reactive lymphocytes- become almost twice the size of a RBC
56
What is this?
a Russell body constipated PC, cannot release its immunoglobulins
57
What are the 2 most common cause of lymphopenia?
1) glucocorticoids/ STRESS 2) Acute inflammation
58
Long term use of corticosteroid can be .... to lymphocytes
lymphotoxic
59
What are these cells? the big ones
monocytes ( the largest granulocytes in circulation)
60
IMHA will increase or decrease monocytes?
increase
61
immune mediated neutropenia---> leads to an increase or decrease in monocytes?
- Increase! - as they have the same precursor cell, neutropenia stimulates the precursor to make more cells
62
What do steroids do to monocytes?
increase circulating monocytes
63
What is this picture showing? What agent causes this?
thymic lymphoma is the cat FeLV
64
If you took a sample of the pleural effusion in a cat with thymic lymphoma what may you see?
malignant lymphocytes
65
What is this showing?
thymoma causing paraneoplastic effects of myasthenia gravis (immune mediated disease). ---> focal myasthenia gravis ----> MEGAESOPHAGUS
66
If you have lymphadenopathy- what are the 2 possible causes ?
- Infection - Neoplasia (1ry or metastatic)
67
Chylothorax (ie perforation or erosion of the thoracic duct) will have what effect on lymphocytes?
lymphopenia
68
How is this LN?
It is reactive, it has increased cellularity and is responding to the presence of an antigen and mounting an immunological response. heterogenous population This is a healthy response
69
What is occuring in the LN?
Lymphadenitis Like reactive but the pathogen has invaded the LN! Note the areas of necrosis there are 3 types of lymphadenitis
70
What type of Lymphadenitis is this?
Suppurative - presence of pus This occurs In Strep Equi (strangles)
71
What type of Lymphadenitis is this?
Caseous lymphadenitis ( ie. Corynebacterium)
72
What type of Lymphadenitis is this?
granulomatous adenitis (ie Mycobacterium)
73
What are these pictures showing?
Different tumours like to metastasise to LN i.e. melanoma, MCT, soft tissue sarcomas
74
What is a common cancer that can cause generalised lymphadenopathy?
Multicentric lymphoma
75
Give some ddx for nodular splenomegaly
76
Give some examples of diffuse splenomegaly
- amyloidosis - lymphoid hyperplasia - lymphoma/ multiple myeloma - venous congestion
77
Sudden death of sheep or cow- what is the suspected notifiable disease?
Bacillus anthracis can cause hemmorages from orifices, splenomegaly DO NOT POST MORTEM
78
Classic swine fever (notifiable disease) - How does it affect the spleen?
Splenic infarcts
79
Why should you never interpret understained areas of lymph node aspirates?
they always look like lymphoma!
80
An aspirate is taken from a LN- what is the classification?
presence of many neutrophils, or eosinophils or macrophages is abnormal Lymphadenitis
81
What does a normal lymph node smear look like?
90% small lymphocytes 5-10% medium to large (2-3X RBC)
82
What does a reactive lymph node look like?
similar to normal lymph node increase in medium to large lymphocytes but must be <50%
83
How can you tell if a lymph node has lymphoma?
NOT THE APPEARANCE BUT THE NUMBERS!! >50% immature LARGE lymphocytes very few small lymphocytes
84
Smear from lymph node, what does this show?
metastatic neoplasia
85
If a patient has meleana what could be the causes?
- systemic bleeding disorder - primary GI disease
86
If a patient has icteric membranes and a low PCV - what could the disease process be ?
hemolytic anemia
87
When investigating an anemic patient- what clues can be given on a manual Hct tube?
- plasma colour (intravascular vs extravascular hemolysis?) - TP via refractometer - PCV Buffy coat- is there an inflammatory response?
88
Dohle bodies can be seen in...
Toxic neutrophils
89
What is this?
Mycoplasma hemofelis
90
What is this showing? What does it tell us?
Schistocyte Mechanical destruction is occurring ie hemangiosarcoma, tortous vessels... these are rapidly cleared up so if seen has happened acutely
91
What are these?
Spherocytes Round red blood cells that lack an area of central pallor. Cells often appear darker and smaller than a normocytic red blood cell sign of extravascular hemolysis
92
How do you treat IMHA?
- blood transfusion - clopidogrel - Immunosuppressive corticosteroids - adjunct immunosup (Chlorambucil, azathioprine)
93
IMHA dogs commonly die of...
Pulmonary Thromboembolism
94
FIV SNAP test- are we testing for antibody or antigen?
antibody
95
FeLV SNAP test- are we testing for antibody or antigen?
antigen
96
My cat was bitten by an FIV positive cat when can i test?
2 months
97
FIV test - what is the specificity and sensitivity?
High specificity High sensitivity
98
FeLV test- what is the specificity and sensitivity?
High sensitivity Low specificity
99
How long can an FIV positive cat live for?
as long as any other cat
100
If you are testing for absence of disease in a herd- which animals do you test?
Just a few- if negative assume the whole herd is negative
101
If the presence of is disease is high, PPV is
high
102
If the presence of disease is low, the PPV is
low
103
Clues for poor management on a farm
- invoices for: dry cow mastitis tube mastitis cow tube use preventative tx with Calocur (crypto)
104
What is lepto virus vaccine for in cow?
to reduce shedding
105
What is BVD vaccine for in cow?
to prevent (re-)introduction