Lymphoid organs Flashcards

(5 cards)

1
Q
A

Thymus H&E
Thymus is an lobulated organ where T-cells proliferate and mature behind the blood-thymus barrier.

Capsule - thin connective tissue surrounding the thymus that extends trabeculae inward forming incomplete lobules.
Cortex - outer darker, region of small lymphocytes.
T Lymphocytes - tightly packed, small nuclei of condensed chromatin
Epithelial Reticular Cells - large cells with oval nuclei and lightly stained cytoplasm with processes. Their nuclei have euchromatin and a prominent nucleolus.

Macrophages - large cells that phagocytize T cells marked for removal. Many of the macrophages contain phagocytized lymphocytes with pyknotic nuclei.
Mast Cells - round cells with oval nuclei and granules stained a bright red.
Cortical Capillaries (cross-section and longitudinal) - the site of the blood-thymus barrier.
Medulla - inner, lighter region of larger lymphocytes.
Epithelial Reticular Cells - large cells with oval nuclei and lightly stained cytoplasm.
Hassall’s Corpuscle - closely packed, concentrically arranged epithelial reticular cells.

blood-thymus barrier has 5 layers
endothelium
basement membrane
pericytes
basement membrane
epithelioreticular cells

How well did you know this?
1
Not at all
2
3
4
5
Perfectly
2
Q
A

Lymph node (HE)
Outer Cortex
A. has lymphoid follicles or nodules
(A) Primary Lymphoid Follicle (No Germinal Center):
a. Dormant lymphocytes throughout
b. Absorb less histological stains then Secondary lymphoid follicle Because fewer cell

Paracortex (Inner Cortex)
① Contain mostly T- Cells
A. CD4+ & CD8+
② Absence of lymphoid Follicle / Venule
③ Possess High Endothelial Venule
A. Represent the entry point of circulating peripheral B-cells and T-cells into the lymph
node
B. Made up of cuboidal endothelium

Medulla (deepest layer) -> subdivided in to
① medullary cords
A. Contain Reticular Fibers with many
(A) Plasma Cells
(B) Macrophage
(C) T cells
(D) B cells
a. These cells are arranged in cord-like projections extending centrally from the
para cortex

② medullary sinus
A. Terminal continuations of the peripherally located cortical sinuses
B. Culminate at the Hilum of the lymph node to form Efferent lymphatic vessels
C. Contain many Macrophages
D. Filled with plasma cells which are actively secret antibody

Lymph flow:
1. afferent lymphatic vessel
2. subcapsular sinus/marginal
sinus
3. trabecular sinus/ intermediate
sinus
4. medullary sinus
5. efferent lymphatic vesse

How well did you know this?
1
Not at all
2
3
4
5
Perfectly
3
Q
A

Spleen H&E
The spleen is an encapsulated organ that filters blood and immunologically monitors blood.

Capsule - dense connective tissue enclosing the organ.
Trabeculae - connective tissue that extends inward from the capsule through which blood vessels enter the pulp.
White Pulp - composed of lymphatic tissue. It appears basophilic due to the large number of nuclei.
Splenic Nodules - clusters of B lymphocytes located on central arterioles. They usually contain a germinal center of activated B lymphocytes.
Central Arterioles - branches of trabecular arteries coated by PALS and adjacent to nodules.
PALS (Periarteriolar Lymphatic Sheath; - cylindrical mass of mature T lymphocytes that surrounds central arterioles.
Marginal Zone - region between white and red pulp where macrophages, dendritic cells, and lymphocytes interact.
Red Pulp - filters and degrades red blood cells (RBCs). It appears eosinophilic due to the large number of RBCs.
Splenic Sinusoids - vascular spaces lined by specialized endothelial cells that filter RBCs.
Splenic Cords (of Billroth) - loose connective tissue that contains macrophages, plasma cells, and lymphocytes.
Pulp Arterioles- they are not surrounded by lymphocytes like central arterioles in white pulp.
Sheathed Arterioles- regions of pulp arterioles surrounded by macrophages.

How well did you know this?
1
Not at all
2
3
4
5
Perfectly
4
Q
A

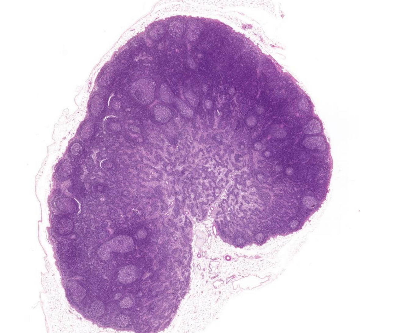
Palatine tonsil (HE)
Tonsils are an example of mucosa-associated lymphoid tissue (MALT). The lymphocytes are distributed as diffuse, non-encapsulated nodules in the underlying connective tissue.

Stratified Squamous Non-Keratinized Epithelium - covers the numerous nodules that compromise the palatine tonsil.
Lymph Nodules - spherical aggregations of lymphocytes that usually have germinal centers.
Crypts - infoldings of the epithelium into the underlying connective tissue.
Lymphocytes pass through the epithelium in areas of inflammation.
Lymphocytes are seen in the lumen of some crypts.
Sequestered crypts are usually inflamed and filled with debris and lymphocytes (pus).
Plasma Cells - large numbers of plasma cells are usually seen in the underlying connective tissue near the epithelium.

How well did you know this?
1
Not at all
2
3
4
5
Perfectly
5
Q
A

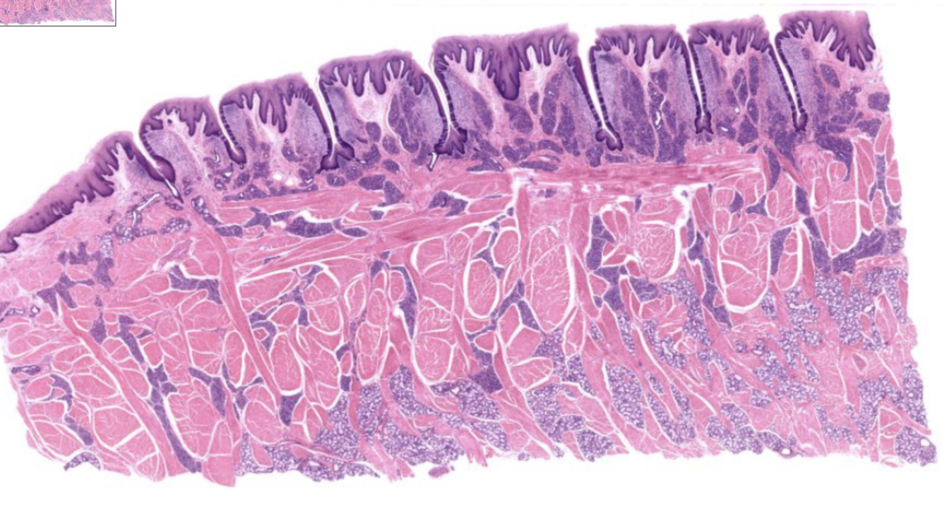
tongue H&E
The tongue is covered by a specialized mucosa that contains multiple types of papillae and taste buds. This specimen has excellent examples of foliate papillae and taste buds.

Stratified Squamous Non-Keratinized Epithelium
Dermal Papillae - ridges of connective tissue that project into the epithelium that reduce its mobility and brings blood vessels in close contact with the epithelial cells.
Foliate Papillae - parallel ridges on the lateral edges of the tongue separated by deep mucosal furrows (or moats).
Furrows (or Moats) - separate each papillae and receive saliva from the minor lingual glands.
Taste Buds - elliptical structures found in the epithelium of the furrows that contain cells with taste receptors. The circular opening at its apex is the taste pore.
Skeletal Muscle - arranged in three bundles at right angles to each other to allow flexibility and precision in movements of the tongue.
Minor Salivary Glands - found throughout the tongue.
Serous Glands - secrete a fluid that contains digestive enzymes.
Mucous Glands - secrete a fluid that contains mucus (glycoproteins known as mucins).

How well did you know this?
1
Not at all
2
3
4
5
Perfectly