Immunity
Innate immune system
Retains phagocytic system which can defend without memory
Innate immunity
Barriers against invasion
Skin, mucose, stomach acid, antibacterial agents etc
Adaptive Immunity
Reaction
Slower, but flexible and specific.
Lymphoid Organs
Primary lymphoid organs
Where lymphocytes are produced and matured - bone marrow and thymus.
Lymphocyte types
B Lymphocytes
Produce antibodies
Lymphocyte development and fate
Produced
Stem cells in bone marrow
Thymus
Size changes
Increases from birth to puberty and then regresses to almost nothing
Thymus


T Cells in the Thymus
2% Surviving cortex
Enter medulla and presented with “self” antigens.
T Cells


Lymphatic System Provides for:
Drainage
Of lymph into vascular system
Lymph vessels


Lymph Nodes
What are they?
Found where?
Encapsulated, highly organised structures interposed along larger lymph vessels
Found in clusters in areas such as the neck, axillae and groin
What is this?

Lymph node

Secondary Lymphoid Organs
Secondary follicles
Paracortical region of a lymph node
Have germinal centre which stains less intensely.
Populated by T cells. Notice unual lining of high endothelial vessels (V) in this region
MALT
Represents a substantial amount of lymphoid tissue within the body
What is this?

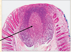
Section throguh the palatine tonsil (MALT)

What is this?

Peyers patch. Aggregations of lympoid tissue found associated with the mucosa in the small intestine. Germinal centre in this case. (MALT/GALT)

Spleen
Functions
Prodcues an immune response against blood-bourne antigens Removes particulate matter and old blood cellsProduces blood cells during foetal life.
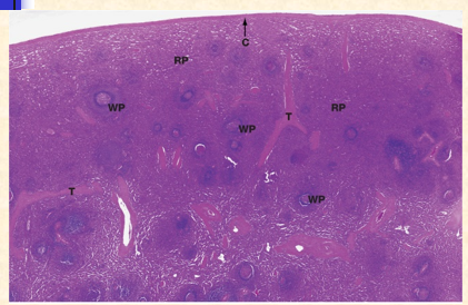
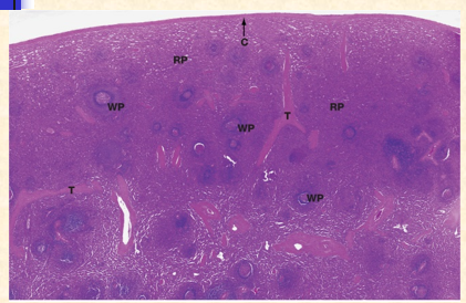
Spleen
White pulp
Red pulp
Made up of either T cells or B cells.
Mostly blood filled capillaries which are open, with discontinuous endothelium and sinuses.
What is this?

Spleen

Spleen
Alternative types of white pulp


Red Pulp of the Spleen


Vasculature of the Spleen
Red blood cells
Must leave through capillaries, passing through the parenchyma, finding their way back into venous sinuses through small spaces.