Age-related maculopathy (ARM)
Age-related macular degeneration (AMD)
AMD risk factors?
Drusen
Drusen
Drusen types?



Drusen and AMD
Atrophic AMD

Sign?

Atropic AMD
Greyish
Can’t really see where macula is
Sign?

Atropic AMD
Can see edges of atrophy
If look clearly, can see blood vessels of choroid
Sign?

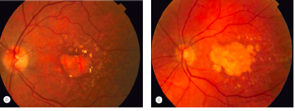
Atrophic AMD
Big scar over macula
Majority of rods and cones ( haemorrhage)
Progress slowly over time.
Jean below
yellowish, atrophic , drusen not obvious, vision affected severely
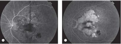
Sign?

Atrophic AMD
Window defect
Brightness of choroidal vessels
Ischaemic area - More profound appearance
Artifarct
RPE detachment
What structure involve? What cause changes?
Pt complant of?
Vision affected?

Describe the follow pictures


RPE detachment
Course?
RPE detachment
1. RPE TEAR
RPE tear

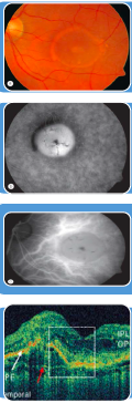
Describe image?

RPE TEAR
Detachment= dome ( fluid pushed up)
Tear= flap
Patient c/o vision loss

AMD Review
AMD review
AMD Review
AMD Review
AMD review

Neovascular “wet” AMD
Cause by? Originate from where?
List 3 growth patterns?
Neovascular “wet” AMD
MECHANISM OF VISION LOSS?
Mechanism of vision loss

Clinical Presentation of Neovascular AMD?
Vision? Visual field defect? (3)
