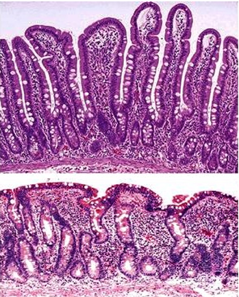
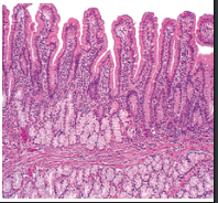
What do you expect to see on biopsy of someone with Celiac Disease?
**Shown here is normal tissue on the top and celiac disease tissue below

What is most likely the etiology of the malabsoption disorder in this person?
• Key features?

Etiology is most likely Celiac Disease - seen here are many intravillus lymphocytes (seeing one or two is normal, but this may is pathologic)
**This is more important the villus blunting when you’re trying to make a diagnosis of celiac disease
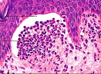
What complication associated with Celiac Disease is shown here?
• what causes this?

Dermatitis Herpetiformis is shown here
• Caused by IgA antibodies to proteins at the tip of the Dermal Villus
**Associated Rash is shown below

What complication other than dermatitis herpetiformis may be associated with Celiac Disease?
T cell lymphoma - enteropathy associated T cell lymphoma

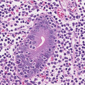
Another picture of enteropathy associated T cell lymphoma

What are 2 things that should be in your diffential in this small intestine biopsy showing PAS positivity?

Whipple disease: Tropheryma whippelii
Mycobacterium Avium Complex (MAC): M. avium, M. intracellulare

What histologic appearance is seen in this small intestine biopsy?

Foamy macrophages - could be Whipple’s disease or Mycobacteria
What is the key to differentiating Whipple’s disease from MAC?
AFB positivity in MAC

What is the best test for diagnosing celiac sprue?
tTG IgA antibodies in the serum
Where are Ca, B12, Iron, and bile salts reabsorbed?
Ca and Iron - mostly duodenum (calcium may can get absorbed in different areas)
B12 and bile salts - ileum
What is seen here?

Dilated pancreatic duct with strictures and abnormal appearance due to CHRONIC PANCREATITIS
What is shown on the left and right here?

Left: NL small intestinal tissue
Right: Crohn’s disease (with ulceration)
What malabsorptive disorder is likely in a patient whose small intestine has this pathology?

Scalloping shown here is likely due to Celiac Sprue