Malaria Flashcards

(25 cards)

1
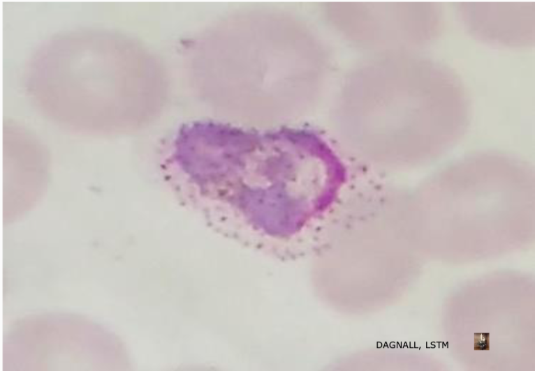
Q

Describe this

A

Thin film showing late stage ring trophozoites of P.Falciparum in parasitized red cells
- Maurer’s clefts/dots
- knobs on cell wall (crenation)
- thicker parasite cytoplasm

How well did you know this?
1
Not at all
2
3
4
5
Perfectly
2
Q

What are some features of young trophozoites of P.Falciparum?

A

delicate small rings
scanty cytoplasm
accolé form (nucleus at edge of RBC)
multiple invasion
double chromatin dots

How well did you know this?
1
Not at all
2
3
4
5
Perfectly
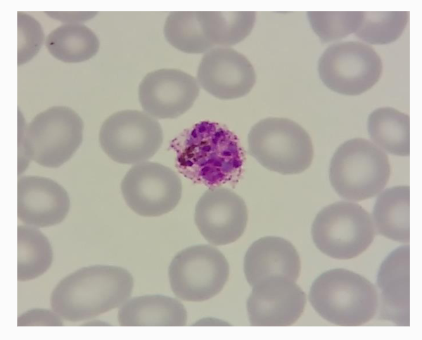
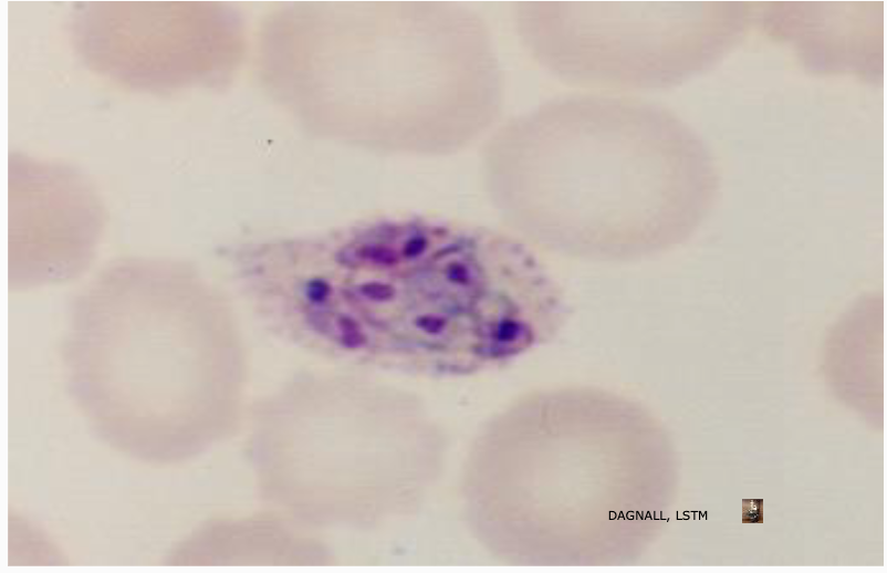
3
Q

What is this?

A

Schizont of p.falciparum
Rare in P. falciparum except in
heavy infections. Contains 16-36
merozoites.

How well did you know this?
1
Not at all
2
3
4
5
Perfectly
4
Q

What is haemazoin?

A

As malaria parasites feed, they ingest haemoglobin from within the red cell, malaria pigment (haemozoin) is
produced as an end product of haemoglobin breakdown.
This accumulates within the red cell, appearing as brown-black refractive granules within the infected red cell.
It is often seen in late stages, schizonts and gametocytes.

How well did you know this?
1
Not at all
2
3
4
5
Perfectly
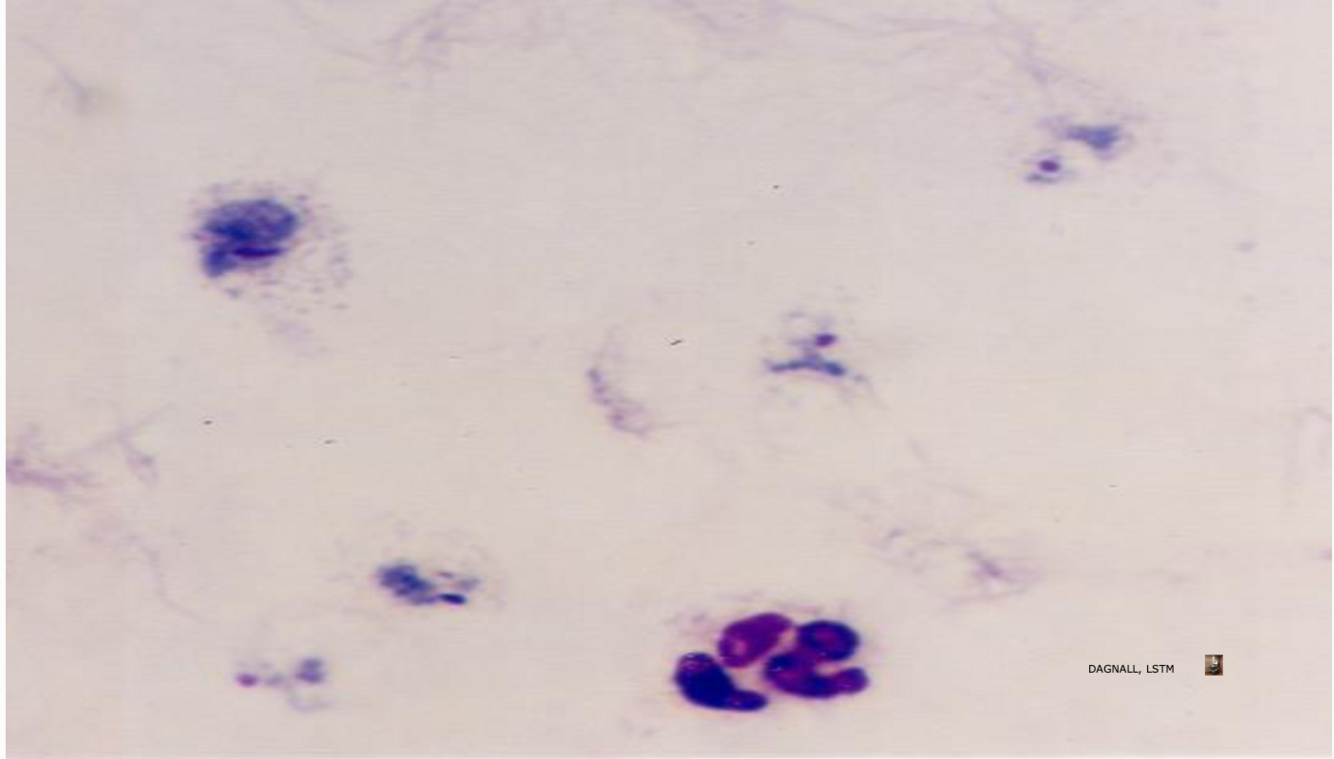
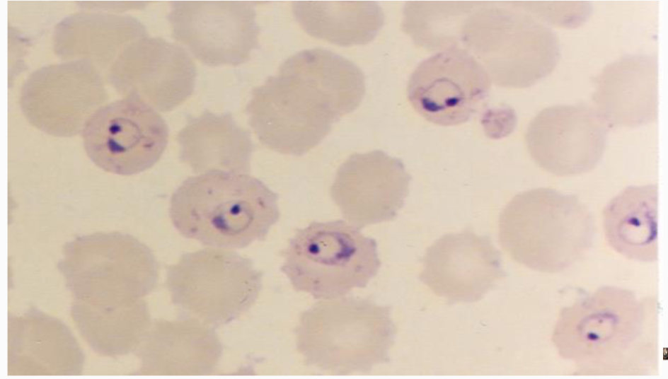
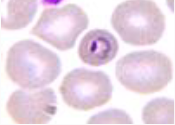
5
Q

What are these?

A
How well did you know this?
1
Not at all
2
3
4
5
Perfectly
6
Q

What are the defining features of a thin blood film that lead to p.falciparum diagnosis?

A
  • Infected RBC normal shape and size
  • Ring stage predominant-may have one or two chromatin dots
  • Often 2 or more parasites in 1 red cell
  • Crescent shaped gametocytes are diagnostic
  • Rare schizonts in blood films (8-24 merozoites)
  • Parasitaemia can be very high!
How well did you know this?
1
Not at all
2
3
4
5
Perfectly
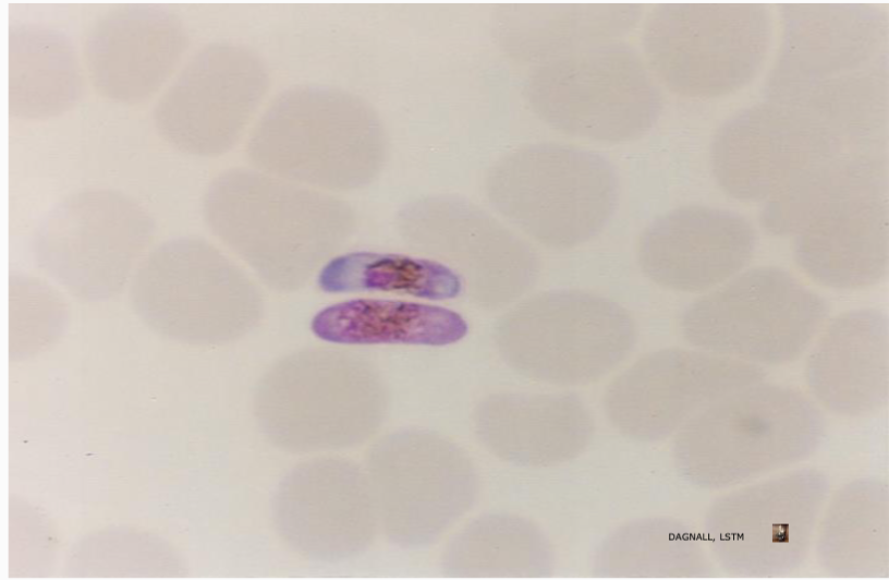
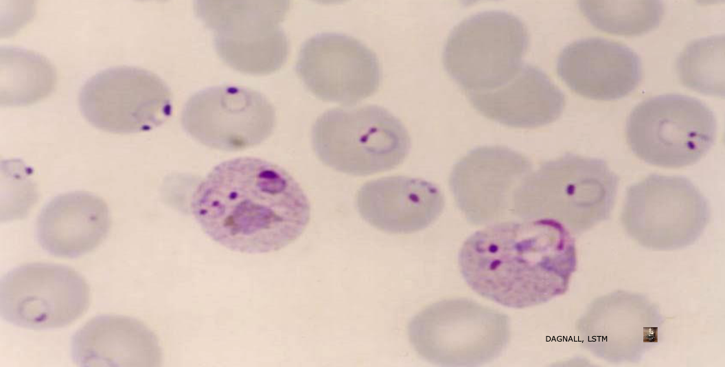
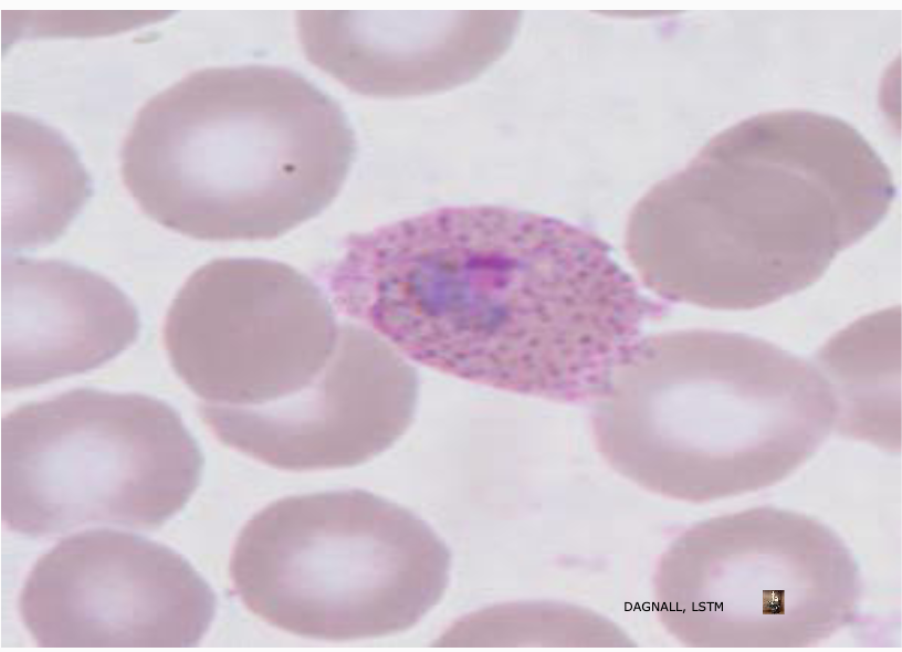
7
Q

Describe this

A

P.Vivax older trophozoite
- enlarged, amoeboid parasatised RBC
- irregular mass of blue cytoplasm
- visible Schuffners dots
- large red nucleus to one side

How well did you know this?
1
Not at all
2
3
4
5
Perfectly
8
Q

What are the features of p.vivax gametocytes?

A

Gametocytes are large, solid, and usually rounded, filling most of the infected red cell.
There is a single chromatin mass (nucleus) which is either compact (female gametocytes) or more diffuse
(male gametocytes)
The parasitised red cell is enlarged and Schűffners dots are usually visible. These fine
pigment granules may be scattered throughout the cytoplasm

How well did you know this?
1
Not at all
2
3
4
5
Perfectly
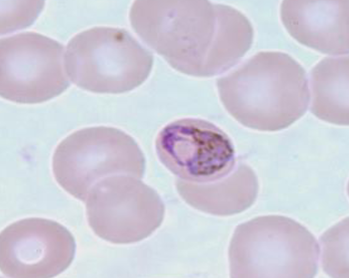
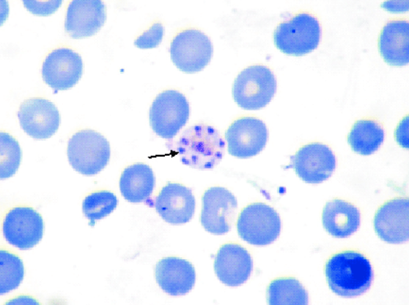
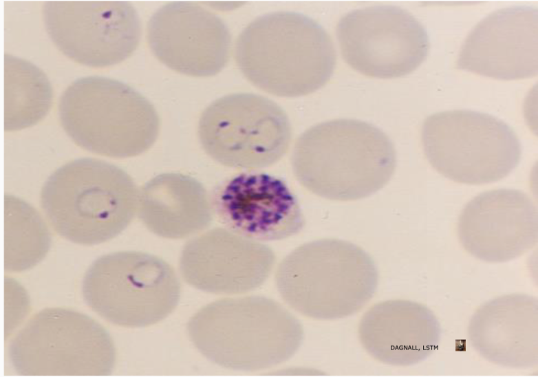
9
Q

What is this?

A

Immature p.vivax schizont with 8
nuclei (haemozoin visible)

How well did you know this?
1
Not at all
2
3
4
5
Perfectly
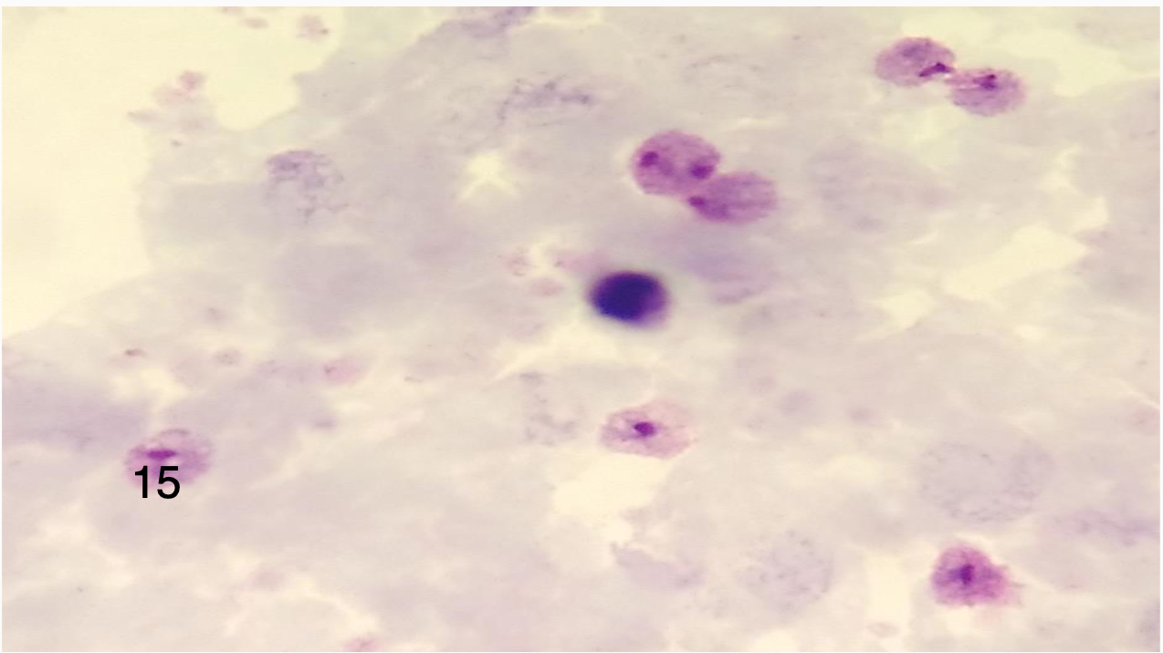
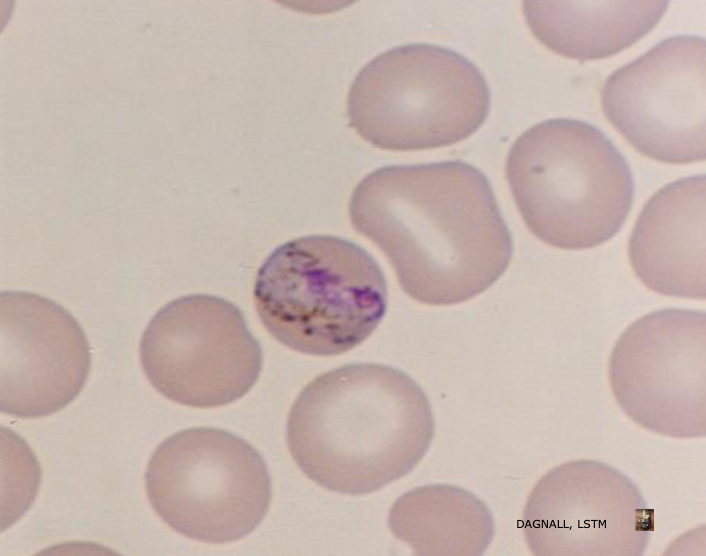
10
Q

What is this?

A
How well did you know this?
1
Not at all
2
3
4
5
Perfectly
11
Q

What is this?

A

P.Vivax on a thick film.
Enlarged late trophozoites of P.vivax are amoeboid and appear irregular in shape and size when seen in a thick film. The cytoplasm may appear fragmented.
Schűffners dots may also be seen as a pink ‘halo’ surrounding some of the larger parasites.
Large round or oval lysed gametocytes and developing schizonts may be seen in the blood film

How well did you know this?
1
Not at all
2
3
4
5
Perfectly
12
Q

What are the diagnostic features of p.vivax on blood film?

A

RBC is enlarged, Schüffner’s dots are present
All stages may be seen in blood
‘stringy’ parasite cytoplasm
Amoeboid trophozoite is diagnostic
Large round or oval gametocytes
Schizont 16-24 merozoites

How well did you know this?
1
Not at all
2
3
4
5
Perfectly
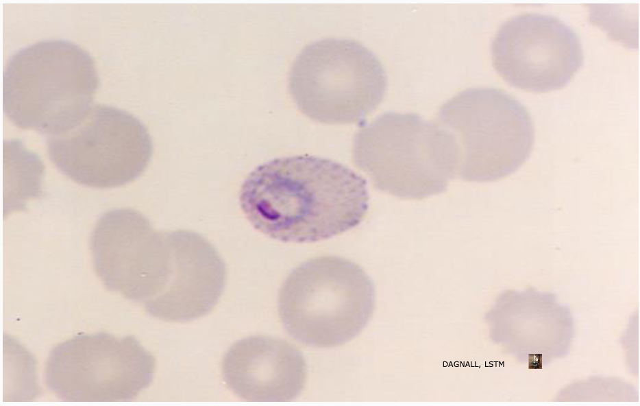
13
Q

What is this?

A

P.Ovale
Young trophozoite with compact ring form.
The red cell is oval and is only slightly
enlarged.
Clear schűffners dots can be seen

How well did you know this?
1
Not at all
2
3
4
5
Perfectly
14
Q

What is this?

A

P.Ovale
Older trophozoite with a larger nucleus and more solid cytoplasm, Schűffners dots are clearly visible and there is some indication of fimbriation to one side (diagnositic of p.ovale)

How well did you know this?
1
Not at all
2
3
4
5
Perfectly
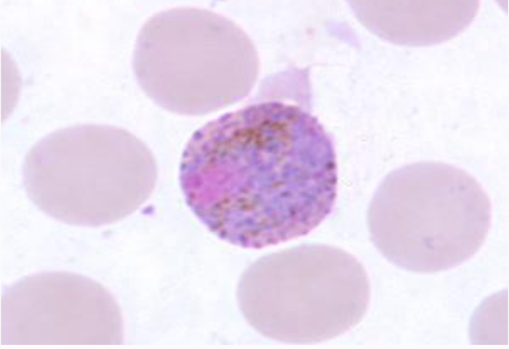
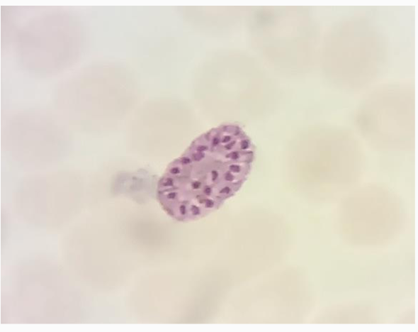
15
Q

What is this?

A

a P.Ovale schizont
Red cells are usually slightly enlarged and round or oval in shape. Up to 30% will have fimbriated (jagged)
edges.
Parasites are smaller and more compact than P. vivax with Schűffner’s dots visible.
Schizonts have 8-12 merozoites when mature

How well did you know this?
1
Not at all
2
3
4
5
Perfectly
16
Q

What is this?

A

P.Ovale gametocyte
Gametocytes are round and solid looking, filling most of the infected red cell, Schűffner’s dots may be seen
around the periphery.
Malarial pigment is seen in later stages

17
Q

What does this show?

Thick Film

A

Plasmodium ovale

Enlarged compact late trophozoites of can be seen.
Schűffners dots may also be seen as a pink ‘halo’ surrounding some of the larger parasites

18
Q

What is this?

A

P.Malariae
Young trophozoite
- microcytic parasatized RBC
- deep staining of nucleus and cytoplasm
- no maurers clefts of schuffners dots

19
Q

What is this?

A

P.Malariae older trophozoite
- band-form (stretched) nucleus + cytoplasm
- haemazoin visible
- less-defined chromatin dot

20
Q

What is this?

A

P. Malariae older trophozoite
- oval parasite is ‘basket-form’
- haemazoin visible

21
Q

What are features of P.Malariae schizonts?

A
  • In both normal sized or smaller (microcytic) red cells.
  • 8-12 merozoites, often arranged in a rosette or irregular cluster
  • Mature schizonts nearly fill the host red cell
  • Pigment is coarse, golden-brown and usually central
  • Schizonts can be common in peripheral blood circulation
22
Q

In which area of the world are P. falciparum mixed with P. malariae most often seen?

23
Q

In which area of the world are P. falciparum mixed with P. vivax infections most often seen?

A

South-East Asia

24
Q

What is an ‘accolé’ form?

25
Describe this (exam style)
Later/mature stage schizont of suspected Plasmodium malariae species 8-11 merozoites arranged peripherally within a microcytic RBC. Haemozoin pigment (green/yellow content) is visible centrally within the RBC as - a “daisy head” form