Maxillary Sinus Flashcards

(53 cards)

1
Q
A
How well did you know this?
1
Not at all
2
3
4
5
Perfectly
2
Q

What sinus’ are present at birth?

A
  • Maxillary and ethmoid are relatively large at birth
How well did you know this?
1
Not at all
2
3
4
5
Perfectly
3
Q

When do Sphenoid and frontal sinus expand?

A
  • Within first few years of life
How well did you know this?
1
Not at all
2
3
4
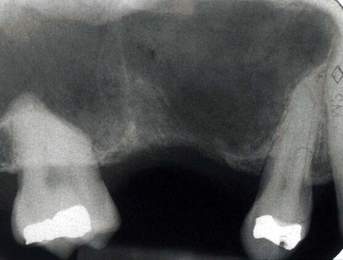
5
Perfectly
4
Q

When does the maxillary sinus form?

A
  • Occurs during 3rd and 4th foetal months with evaginations of he mucosa of the nasal cavity
How well did you know this?
1
Not at all
2
3
4
5
Perfectly
5
Q

Describe this image

A
  • Maxillary and ethmoid sinus present at birth and 1 year old
  • Sphenoid sinus at 5 yrs
  • Frontal by 12 yrs
  • All sinus fully formed by 20 years old
How well did you know this?
1
Not at all
2
3
4
5
Perfectly
6
Q

What are the functions of the paranasal sinus’?

A
  • Resonance to voice
  • Reserve chambers for warming inspired air
  • Reduce weight of the skull
How well did you know this?
1
Not at all
2
3
4
5
Perfectly
7
Q

What is the maxillary sinus AKA?

A
  • Maxillary antrum
How well did you know this?
1
Not at all
2
3
4
5
Perfectly
8
Q

What is the largest sinus?

A
  • Maxillary
How well did you know this?
1
Not at all
2
3
4
5
Perfectly
9
Q

What is the shape and volumetric space of the maxillary sinus?

A
  • Pyramid shaped cavity within body of each maxilla
  • Volumetric space 15ml in average adult
How well did you know this?
1
Not at all
2
3
4
5
Perfectly
10
Q

What are the average dimensions of maxillary sinus?

A
  • 37mm high
  • 27mm wide
  • 35mm antero-posteriorly
How well did you know this?
1
Not at all
2
3
4
5
Perfectly
11
Q

What is the location and position of the opening of the maxillary sinus (ostium)?

A
  • Middle meatus (hiatus semilunaris)
  • Located superiorly on medial wall of sinus
How well did you know this?
1
Not at all
2
3
4
5
Perfectly
12
Q

What is the opening of maxillary sinus diameter?

A
  • approx 4mm diamater
  • Lined with mucosa
How well did you know this?
1
Not at all
2
3
4
5
Perfectly
13
Q

During episodes of inflammation or disease what can happen to the ostium of maxillary sinus?

A
  • Become narrowed or blocked
How well did you know this?
1
Not at all
2
3
4
5
Perfectly
14
Q

What can be found on the posterior wall of the maxillary sinus cavity?

A
  • The alveolar canals that transport the posterior superior alveolar vessels and nerves to maxillary posterior teeth
How well did you know this?
1
Not at all
2
3
4
5
Perfectly
15
Q

In regard to anatomy what can the roots of maxillary molars and sometimes premolars do within maxillary sinus?

A
  • Project into floor of maxillary sinus
  • Roots may perforate bone so only mucosal lining of sinus covers them
How well did you know this?
1
Not at all
2
3
4
5
Perfectly
16
Q

What is the epithelium of the sinuses?

A
  • Pseudostratified ciliated columnar epithelium
How well did you know this?
1
Not at all
2
3
4
5
Perfectly
17
Q

What is the function of the cilia in the sinuses?

A
  • Mobilise trapped particulate matter and foreign material within sinus
  • Move material toward the ostia for elimination into nasal cavity
How well did you know this?
1
Not at all
2
3
4
5
Perfectly
18
Q

What issues can we see in regard to maxillary sinus?

A
  • Oro-antral communication (acute)
  • Oro-antral fistula (Chronic)
  • Root in antrum
  • Sinusitis
  • benign lesion
  • Malignant lesion
How well did you know this?
1
Not at all
2
3
4
5
Perfectly
19
Q

How does an OAC/OAF occur?

A
  • when removing a upper molar or premolar that is loosely associated with maxillary sinus lining you can either
  • Break bone or tear the lining of the sinus creating a communication that wasn’t previously there
How well did you know this?
1
Not at all
2
3
4
5
Perfectly
20
Q

How can you diagnose an OAC/OAF?

A
  • Size of tooth
  • Radiograph position of roots in relation to antrum
  • Bone at trifurcation of roots (show fracture of plate)
  • Bubbling of blood
  • Nose holding test (careful as can create an OAC)
    Direct vision
  • Good light and suction - gives echo sound
  • Blunt probe but take care not to create OAC (not really done)
How well did you know this?
1
Not at all
2
3
4
5
Perfectly
21
Q

What is this image showing?

A
  • Acute Oro-antral communication
How well did you know this?
1
Not at all
2
3
4
5
Perfectly
22
Q

What is this image showing?

A
  • Chronic OAF
  • An epithelia lined tract has now formed from sinus into mouth
23
Q

What is this radiograph highlighting?

A
  • OAF
  • Can see loss of bone and communication created
24
Q

What is the management of an OAC you have just created?

A
  • Inform pt
  • If small or sinus lining intact then
  • Encourage clot
  • Suture margins
  • Antibiotics
  • Post op instructions (minimise pressure formation within the sinuses and mouth)
  • If large or lining torn close with buccal advancement flap (mesial and distal relieving incision)
25
What si the post op instructions for OAC management?
- Minimising pressure formation within sinuses and mouth - Avoid smoking - Avoid blowing nose - Avoid sucking through a straw - Don't blow a balloon up - Avoid singing
26
What size of OACs will usually heal with normal blood clot formation and routine mucosal healing?
<2mm
27
What is the surgical procedure with buccal advancement flap for OAC closure?
- 3 sided flap design with distal and mesial relieving incisions either side of OAC - Raise the flap with howarths periosteal elevtaors - Trim buccal bone if required - Incise the periosteum with clean scalpel - Check flap can be brought across defect tension free - Suture (can use silk sutures as these stay in place longer than resorbable ones) on distal and mesial incision, OAC area and anymore as required
28
What complaints may a pt have if they have a Chronic OAF?
- Problems with fluid consumption (fluids from nose) - Problems with speech or singing (nasal quality) - Problems playing brass/wind instruments - Problems smoking cigarettes or using a straw - Bad taste/odour/halitosis/pus discharge (post-nasal drip) - Pain/sinusitis type symptoms
29
What is the management of a Chronic OAF?
- Excise the sinus tract prior to performing buccal advancement flap design (as per OAC) - Sometimes can use a Antral washout if pt also has sinusitis (very unpleasant)
30
What other flap designs can be utilised if buccal advancement flap fails?
- Buccal fat pad with buccal advancement flap - Palatal flap - Bone graft / Collagen membrane
31
What is this picture showing?
- Palatal rotational flap
32
What is the aetiology of fracture of maxillary tuberosity>
- Single standing upper molar (thin bone) - Unknown unerupted molar or wisdom tooth - Pathological gemination/correspondence - Extracting in wrong order - Inadequate alveolar support - Commonly involves maxillary sinus
33
What does this image show?
- Fractured maxillary tuberosity
34
How can you diagnose a fractured tuberosity?
- Noise - Movement noted both visually or with supporting fingers - More than one tooth movement - Tear in soft tissue of palate
35
What is the management of fractured tuberosity?
- Reduce and stabilise to allow bone to heal - Orthodontic buccal arch wire with composite - Or Arch bar - Or splints made in lab - If no way to stabilise then Dissect out and close wound primarily
36
If you splint the tooth during a fractured tuberosity what should you do next?
- Remove or treat pulp as soon as - Ensure it is out of occlusion - Consider antibiotics and antiseptics - Post op instructions of care and cleaning - remove tooth surgically 4-8 weeks later
37
If you think there is a root or tooth in the maxillary sinuswhat can you do?
- Confirm radiographically by OPT, occlusal or periapical (+/- CBCT on day of retrieval) - Decision on retrieval - If in doubt or retrieval difficult then refer
38
What does this image show?
- Root apex has fractured but is under the antral lining
39
What does this image show?
- Root of tooth has fractured and apex of root below antral lining - Not interfered with lining therefore will not cause pt symptoms of sinusitis and can be left alone
40
How do you manage a Root in the antrum/sinus?
- OAF type approach / through the extraction socket - Open fenestration with care - Suction using narrow bore efficiently - Small curettes delicately - Irrigation or ribbon gauze to get it out - Close as for Oro-antral communication
41
If OAF type approach doesn't work what other approach can you retrieve root in the antrum?
- Caldwell Luc approach - Buccal/Labial sulcus - Buccal window cut in bone
42
What is the last way to retrieve root in antrum/ sinus if complicated?
- ENT (Endoscopic retrieval) - If root bigger than 4mm not possible
43
What is the aetiology of sinusitis?
- Viral infection that causes inflammation and oedema - Obstruction of ostia - Trapping of debris within sinus cavity - Mucociliairy clearance patterns altered by allergens, inflammation, anatomic abnormalities - Normal physiological function disrupted by cellular damage to mucosal lining, affecting ciliary function - Sinus no longer evacuate contents efficiently and build up of pressure along with opportune situation for bacterial overgrowth of normal flora
44
What are the signs and symptoms of sinusitis?
Facial pain Pressure Congestion (fullness) Nasal obstruction Paranasal drainage Hyposmia Fever Headache Dental pain Halitosis Fatigue Cough Ear pain Anaesthesia / paraesthesia over cheek
45
Most likely pt with sinusitis will present with maxillary dental pain, you need to rule out other dental pain but what are the indicators of sinusitis?
- Discomfort on palpation of infraorbital region - A diffuse pain in the maxillary teeth - Equal sensitivity from percussion of multiple teeth in the same region - Pain that worsens with head or facial movements
46
What are the txt aims of sinusitis?
- Treat presenting symptoms - Reduce tissue oedema with decongestants - Ephedrine nasal drops 0.5% one drop each nostril up to three times daily when required (use for a maximum of 7 days) - Humidified air is also helpful (steam/menthol inhalations) - Reverse obstruction of the ostia
47
When should antibiotics be given for sinusitis?
- signs and symptoms point to a bacterial sinusitis - Antibiotics should only be used if symptomatic treatment is not effective/symptoms worsen
48
What is the antibiotic txt for sinusitis?
Amoxicillin 500mg, three times a day, for 7 days or Doxycycline 100mg, once a day, for 7 days (200mg loading dose)
49
Can fungal infection cause sinusitis?
- Rarely a non-resolving sinusitis may be due to fungal infection - Can cause expansion of bony walls by increased mucous secretion and fungal growth
50
What are some traumatic origins of sinusitis?
Sinus wall fractures Orbital floor fractures Root canal therapy Tooth extractions Dental Implants / Sinus lifts Deep periodontal treatment Nasal packing Nasogastric tubes Mechanical (nasal) intubation
51
What are some benigh sinus lesions?
polyps, papillomas, antral pseudocysts, mucoceles and mucous retention cysts Odontogenic cysts / odontogenic tumours expanding into the maxillary sinus
52
What malignant lesions can be found in sinus?
- Primary tumours of any tissue in that area - Local spread from adjacent sites into the sinus
53