MCC final Flashcards

(49 cards)

1
Q

What is the functional unit of the breast?

A

the terminal duct-lobular unit (TDLU)

How well did you know this?
1
Not at all
2
3
4
5
Perfectly
2
Q

What is galactorrhea?

A

breast milk production outside of lactation

How well did you know this?
1
Not at all
2
3
4
5
Perfectly
3
Q

What are three primary causes of galactorrhea?

A

Nipple stimulation
prolactinoma of AP
drugs

How well did you know this?
1
Not at all
2
3
4
5
Perfectly
4
Q

What is the name for the most common breast changes in premenopausal women?

A

fibrocystic changes

How well did you know this?
1
Not at all
2
3
4
5
Perfectly
5
Q

What are two notable features of fibrocystic changes on a gross exam?

A

-Vague irregularity of breast tissue “lumpy bumpy”

-“blue dome” cyst presentation

How well did you know this?
1
Not at all
2
3
4
5
Perfectly
6
Q

What characterizes sclerosing adenosis? What is the associated increase risk of carcinoma?

A

too many glands in lobule, with accompanying fibrosis notable for calicification; 2x normal risk

How well did you know this?
1
Not at all
2
3
4
5
Perfectly
7
Q

What characterizes an intraductal papilloma?

A

a papillary lesion within the duct which often leads to bloody nipple discharge

How well did you know this?
1
Not at all
2
3
4
5
Perfectly
8
Q

How is intraductal papilloma best distinuished from papillary carcinoma?

A

Benign proliferations of epithelium with posess BOTH layers (luminal and myoepithelial)

Carcinomas will only have ONE layer of epithelium (myoepithelial absent in PC)

How well did you know this?
1
Not at all
2
3
4
5
Perfectly
9
Q

What is the most common benign tumor of the breast?

A

Fibroadenoma

How well did you know this?
1
Not at all
2
3
4
5
Perfectly
10
Q

What is the most common tumor in a premenopausal female?

A

Fibroadenoma

How well did you know this?
1
Not at all
2
3
4
5
Perfectly
11
Q

What type of pathology is indicated here?

A

Fibroadenoma

Note sharp demarcation from normal tissue, and extra glands and fibrous tissue

How well did you know this?
1
Not at all
2
3
4
5
Perfectly
12
Q

What three things are most noteworthy about a fibroadenoma?

A

Well-circumscribed marble-like mass

Estrogen sensitive

No increasd risk for carcinoma

How well did you know this?
1
Not at all
2
3
4
5
Perfectly
13
Q

How is a phyllodes tumor different from a fibroadenoma?

A

A phyllodes tumor involves an overgrowth of the FIBROUS component

How well did you know this?
1
Not at all
2
3
4
5
Perfectly
14
Q

Out of a fibroadenoma and a phyllodes tumor, which have potential for malignancy?

A

Phyllodes tumor

How well did you know this?
1
Not at all
2
3
4
5
Perfectly
15
Q

What type of pathology is indicated here?

A

Phyllodes tumor

Note the “leaf like” projections

How well did you know this?
1
Not at all
2
3
4
5
Perfectly
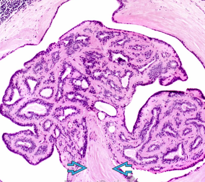
16
Q

What type of pathology is indicated here?

A

Intraductal papilloma

Note the growth of the papilloma into the milk duct

How well did you know this?
1
Not at all
2
3
4
5
Perfectly
17
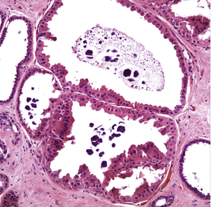
Q

What pathology is indicated here?

A

fibrocystic changes

Note the bluish hue to the conglomerates in the cyst

How well did you know this?
1
Not at all
2
3
4
5
Perfectly
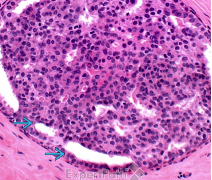
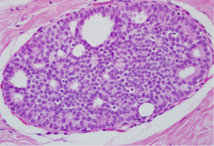
18
Q

What pathology is indicated here?

A

Atypical ductal hyperplasia

Note the clonal proliferations that partially fill involved ducts

How well did you know this?
1
Not at all
2
3
4
5
Perfectly
19
Q

What is the relative risk for carcinoma in a discovery of atypical ductal hyperplasia?

A

5x

How well did you know this?
1
Not at all
2
3
4
5
Perfectly
20
Q

What differentiates usual from atypical ductal hyperplasia?

A

atypical presents with clonal cells of similar size and shape

21
Q

What pathology is indicated here?

A

Proliferative disease without atypia (usual ductal hyperplasia)

Note the variance in cell size

22
Q

What pathology is indicated here?

A

Atypical lobular hyperplasia

23
Q

What are the three general types of DCIS?

A

Comedo DCIS
Noncomedo DCIS
Paget disease

24
Q

What is the typical treatment for DCIS?

A

Localized excision and radiation therapy (breast conserving therapy)

25
What pathology is indicated here?
Comedo DCIS Note the poor differentiation of cells inside the ducts
26
What pathology is indicated here?
Papillary carinoma (papillary DCIS) Note how there is only one layer of epithelial cells for the duct (two would indicate intraductal papilloma)
27
What pathology is indicated here?
Lobular carcinoma in situ (LCIS)
28
What significant phenotype/genotype is the same for atypical lobular hyperplasia, invasive lobular carcinoma and LCIS?
estrogen receptor + E-cadherin -
29
What is the usual treatment for LCIS?
Usually tamoxifen usually not surgery
30
What are the relative risks of invasive carcinoma with DCIS or LCIS?
8-10x
31
What are the four most significant risks for breast cancer?
female gender increasing age personal history family history (there are many more)
32
What are the defining characteristics of a luminal breast cancer?
ER+ Her2-
33
What are the defining characteristics of a HER2 cancer?
Her2+ ER+/-
34
What is the defining characteristic of a triple negative breast cancer?
ER- PR- HER2-
35
Male breast cancer is more likely related to a BRCA1 or BRCA2 mutation?
BRCA2
36
Ovarian and female breast cancer is more likely related to a BRCA1 or BRCA 2 mutation?
BRCA1
37
Using the Notingham scoring system, what grade of invasive breast carcinoma is indicated here?
Grade 1 Note hyperplasia of small, clonal cells with some stroma present
38
Using the Notingham scoring system, what grade of invasive breast carcinoma is indicated here?
Grade 2 Note the vast hyperplasia of small, clonal cells with very little fibrous tissue
39
Using the Notingham scoring system, what grade of invasive breast carcinoma is indicated here?
Grade 3 Note the extreme hyperplasia of small, clonal cells with almost no fibrous tissue visible, as well as high mitotic activity of cells
40
What are the four general subtypes of invasive ductal carcinoma?
Tubular carcinoma Medullary carcinoma Mucinous carcinoma Inflammatory carcinoma
41
What pathology is indicated here?
Mucinous carcinoma Note malignant cells floating in mucus pools
42
Which two subtypes of invasive ductal carcinoma have a good prognosis? Which has the worst prognosis?
Tubular and mucinous carcinoma Inflammatry carcinoma
43
What pathology is indicated here?
Tubular carcinoma Note the desmoplastic stroma (blue-gray color), loss of two epithelial cell types
44
What pathology is indicated here?
medullary carcinoma Note the high grade malignant tumor cells with many inflammatory cells in background *increased liklihood in BRCA1 mutations
45
What is a prognostic factor?
A factor providing information on clinical outcome at the time of dx independent of therapy
46
What is a predictive factor?
A factor providing information on the likelihood of a response to a given treatment
47
What are major prognostic factors for breast cancer?
Distant metastases (M) Regional lymph nodes (N) Tumor extent (T) Tumor grade ER, PR and HER2 expression special histologic types
48
What are major predictive factors of breast cancer?
ER, PR and HER2 expression proliferation markers
49
What is meant by the ABCD warning signs of melanoma?
A- asymmetry B- border (irregular) C- color (multiple) D- diameter (>6mm)