MED Flashcards

(146 cards)

1
Q
A

CÉLULAS EM LÁGRIMA OU DACRIÓCTIOS (…)

EM PACIENTES COM ESPLENOMEGALIA —> MIELOFIBROSE IDIOPÁTICA

How well did you know this?
1
Not at all
2
3
4
5
Perfectly
2
Q
A

AUMENTO DO BAÇO

POSSÍVEL AUMENTO DO FÍGADO

ESTÔMAGO CHEIO DE CONTEÚDO.

How well did you know this?
1
Not at all
2
3
4
5
Perfectly
3
Q
A

CINITOLOGRAFIA ESPLÊNICA

1.VERIFICAR HIPERESPLENISMO OU BAÇO ECTÓPICO

How well did you know this?
1
Not at all
2
3
4
5
Perfectly
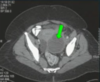
4
Q
A

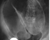
ENUNCIADO DEMOSTRA FRATURA PÉLVICA , COM DESLOCAMENTO DA PRÓSTATA AO TOQUE.

1.CONDUTA –> FIXAÇÃO EXTERNA DA PELVE .

O EXAME DEMONSTRADO É :

1.URETROCISTOGRAFIA RETRÓGRADA ( CONSIDERAR CONTEXTO DO TRAUMA )

2.DEMONSTRA LESÃO DE URETRA .

LEMBRANDO QUE NESSE CASO , NÃO PODEMOS FAZER CATETERIZAÇÃO VESICAL .

* SE A URETROCISTOGRAFIA ESTIVESSE NORMAL DEVERÍAMOS REALIZAR CISTOGRAFIA.

How well did you know this?
1
Not at all
2
3
4
5
Perfectly
5
Q
A

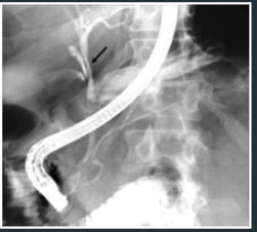
PRESENÇAÇ DE VIA BILIAR DILATA + CALCULO DENTRO DA VESICULA .

O EXAME DE IMAGEM É : CPRE ( NOTE A PRESENÇA DE CONSTRASTE )

How well did you know this?
1
Not at all
2
3
4
5
Perfectly
6
Q
A

CONJUNTIVITE –> CLÁSSICA DA DOENÇA DE KAWASAKI

How well did you know this?
1
Not at all
2
3
4
5
Perfectly
7
Q
A

EDEMA DE MÃO CLÁSSICA DA DOENÇA DE KAWASAKI

How well did you know this?
1
Not at all
2
3
4
5
Perfectly
8
Q
A

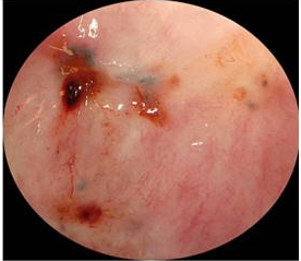
LESÃO DE ENDOMETRIOSE

How well did you know this?
1
Not at all
2
3
4
5
Perfectly
9
Q
A

LESÃO DE ENDOMETRIOSE

How well did you know this?
1
Not at all
2
3
4
5
Perfectly
10
Q
A

LESÃO DE ENDOMETRIOSE

How well did you know this?
1
Not at all
2
3
4
5
Perfectly
11
Q
A

PRESENÇA DE AR NA VESICULA BILIAR.

How well did you know this?
1
Not at all
2
3
4
5
Perfectly
12
Q
A

IMAGEM COM SOMBRA ACUSTICA POSTERIOR.

DIAGNÓSTICO DE COLELÍTIASE. PODENDO OU NÃO HAVER COLECISTITE DEPENDENDO DA CLÍNICA DA PACIENTE.

How well did you know this?
1
Not at all
2
3
4
5
Perfectly
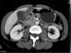
13
Q
A

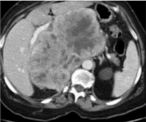
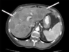
TOMOGRAFIA DE ABDOMEN COM CONSTRASTE VENOSO .

MASSA RETROPERITONEAL A DIREITA QUE COMPRIME AS VISCERAS A DIREITA , A QUAL NÃO INVADE AS ESTRUTURAS. PRESENÇA DE CAPTAÇÃO HETEROGENEA DO CONSTRASTE NA PERIFERIA

ASPECTO DE SARCOMA PERITONEAL.

How well did you know this?
1
Not at all
2
3
4
5
Perfectly
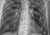
14
Q
A

NÓDULO SOLITÁRIO

MELHOR MODO DE VERIFICIAR MALIGINIDADE É VER O CRESCIMENTO NOS ULTIMOS DOIS ANOS

PRESENÇA DE LESÃO PERIFÉRICA, AQUAL , É REALIZADA BX COM VIDEOTORACOSCOPIA.

How well did you know this?
1
Not at all
2
3
4
5
Perfectly
15
Q
A

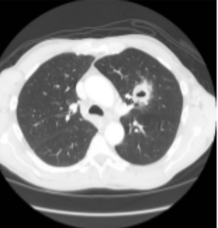
TOMOGRAFIA COM PRESENÇA DE LESÃO CAVITÁRIA EM PULMAO ESQUERDO

1.CÂNCER ?

  • *2.TUBERCULOSE
    3. ABSCESSO ?**

4.LESÃO FUNGICA ?

How well did you know this?
1
Not at all
2
3
4
5
Perfectly
16
Q
A

PROVA DE PREVENTIVA , CIRCULO FAMILIAR

How well did you know this?
1
Not at all
2
3
4
5
Perfectly
17
Q
A

PRESENÇA DE LESÃO À NÍVEL DE COLON TRANSVERSO. POIS O CONSTRASTE NÃO PASSA NO NÍVEL DO CÓLON TRANSVERSO . JÁ NO CÓLON ESQUERDO VOCÊ NOTA A PRESENÇA DO CONTRASTE.

How well did you know this?
1
Not at all
2
3
4
5
Perfectly
18
Q
A

LESÃO QUE COMPRIME ESTRUTURAS ADJACENTES.

CONFIGURANDO COMO LINFOMA DE HO…LINFOMA DE TIREÓIDE OCORRE UM CRESCIMENTO MAIS RÁPIDO.

How well did you know this?
1
Not at all
2
3
4
5
Perfectly
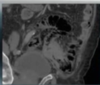
19
Q
A

1. VEIA MESENTÉRICA

2.ARTÉRIA MESENTÉRICA

3. VEIA RENAL.

How well did you know this?
1
Not at all
2
3
4
5
Perfectly
20
Q
A

bismutti do tipo 2a

How well did you know this?
1
Not at all
2
3
4
5
Perfectly
21
Q
A

esofago normal.

How well did you know this?
1
Not at all
2
3
4
5
Perfectly
22
Q
A

dilatacao do corpo esofagiano.

How well did you know this?
1
Not at all
2
3
4
5
Perfectly
23
Q
A

acalasia , com contração do esofago.

How well did you know this?
1
Not at all
2
3
4
5
Perfectly
24
Q
A

espasmos esofagiano difuso , esofago em saca rolhas.

How well did you know this?
1
Not at all
2
3
4
5
Perfectly
25
***_presença de diverticulo de zenker._***
26
outro exemplo de diverticulo de zenker.
27
anel de schatizk
28
neoplasia benigna de esofago.
29
falha de enchimento irregular com contraste de modo irregular. cancer de esofago.
30
31
presença de afilamento distal do esofago , esteitamento compativel com acalasia , estenose peptica e caner de esofago.
32
presença de disturbio obstrutivo note que vef1/cvf = 0.61 quando temos essa relação menor que 75 % em adultos e menor que 86 % crianças , classificamos como obstrutivo.
33
ceula aumentada de tamnanho com aspecto de olho de coruja doença de hodngin ( pelo menos na prova , é especifica )
34
varias lesões hipodensass, configura-se como metastases. origem mais comum : cólon e mama.
35
36
estágio 2a = invasão da vagina sem invadir o seu terço infefior ou paramétrios.
37
1. parto é pélvico 2. auxilia no desprendimento do ombro 2. liberação dos braços fetais 3. manobra de pajot. 4. outras manobras são : rojas ( rotação do feto no próprio eixo) , deventer miller ( movimentos pendulares do feto ) e monobra de loveset
38
**placenta da paciente após parto com presença de um cordão umbilical de cada lado , ou seja duas massas placentárias. Na imagem há separação de 3 septos ( duas membranas amnióticas e no meio 2 membranas coriônicas fundidas )** **DIAMNIÓTICO / DICORIÔNICA.**
39
40
binswager disease ... ## Footnote ***note a substancia branca acumulada na ponta !!!***
41
NO MOMENTO QUE O PACIENTE ELEVA OS BRAÇOS OCORRE DIFICULDADE DO SANGUE DESCER DA CABEÇA PARA BAIXO. compressão da cava , em geral , por bócio tireoidianos ou tumor de pulmão. ANEURISMA DE GRANDE PROPORÇÃO TAMBÉM PODE. DENOMINADO PEMBERTON/
42
**_PRESENÇA EM ANEL DE SINETE_** **_IMAGEM DA BRONQUIECTASIA. DILATAÇÃO DAS ESTRUTURAS E BRONQUIO ESPESSADO E OVALADO , ARTÉRIA PULMONAR QUE O ACOMPANHA TEMOS A FORMA DE ANEL DE SINETE._**
43
**_massa no lobo inferior do pulmao direito. massas espiculada._**
44
note : sofrimento do feto . Devido desproporção cefalopélvica , veja que as contrações estão adequadas conduta : cesárea.
45
c**_ardiotocografia sem padrõa ondulatorio. linha de base em 155 , presença de desaceleração após a contração que persiste após a mesma._** **_ausência de reatividade ( mantem 15 segundos aceleração de 15 segundos )_** **_presença de dip 2 e o feto apresenta hipoxemia_** **_lembrar : 1 - tipo cefálico ( coincide com a contração ) ,2 ( após a contração ) ,3 - ( decorre da concetrçao funicular )_**
46
**emagrecimento + ictericiai obstrutiva + vesicula palpável = neoplassia periampolar** **neoplasia de cabeça pancreática ( imagem d )** **lembrar que antes da cirurgia devemos fazer alivio da ictericia e suporte nutricional.**
47
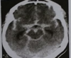
quadro súbito com vômitos ( antecedente de hipertensão) desorientada + rigidez de nuca. Neurológico normal. Devido a idade da paciente sempre pensar em hsa ( devido prsença de aneurisma sacular congênito da artéria comunicante anterior ) tc sem contraste ( veja o branco brilhante desenhando o mesencéfalo , famosa " orelinha "
48
paciene com ulcera de decubito , ulcera de pressão . como o paciente é cadeirante , ele nao vai ficar em pé , portatnto , a melhor opção sesria o curativo biológico ( RETALHO - PRESENÇA DE RETICULO E VASCULARIZAÇÃO PROPRIA)
49
**_MELANOMA...._** **_PRINCIPAIS ASPECTOS , LEMBRAR SÃO AS ALTERAÇÕES_** **_A - ASSIMETRICO_** **_B - BORDA IRREGULAR_** **_C- COR_** **_D-DIAMETRO MAIOR QUE 6_** **_E - PRESENÇA DE ELEVAÇÃO._** **_MELHOR FATOR DE PREDIÇÃO DE LESÃO É A CLASSIFICAÇÃO DE BRESLOW !!!! MELHOR QUE A DE CLARK, PARA EVIDENCIAR PROGNÓSTICO._**
50
PRESENÇA DE LESÃO TRONCO SUPRA AÓRTICO --\> PRESENÇA DE CIRURGIA DE EMERGÊNCIA,
51
veja a presença da junção esofagogástrica abaixo do diafragma , condição normal!!!!
52
hernia por deslizamneto , junção esofagogastrica sobe !
53
a junção fica no lugar , mas uma parte do estoma ( fundo ) sobe !!!
54
sobe o fundo e sobe a transição esofago gastrica
55
esofagograma seriado , conseguimos ver a hernia de hiato ( estomago na cavidade toraxica ... veja que há um pedaçõ do estomago está acima da cupula frenica. HERNIA MISTA.
56
HERNIA POR DESLIZAMENTO , VEJA QUE É MAIS HOMOGENEO A SUBIDA VOCE IDENTIFICA COM MAIOR FACILIDADE.
57
ECTASIA VASCULAR OU DOENÇA VASCULAR ANTRAL.
58
ADIÇÃO DE CONTRASTE NA PEQUENA CURVATURA GÁSTRICA . ISTO É , LOCAL ONDE O LOCAL EXTRAVASSA , SENDO ASSIM VOCE TEM UMA COMUNICAÇÃO ENTRE MUCOSA NÃO INTEGRA.
59
FALHA DE ENCHIMENTO NA GRANDE CURVATURA GÁSTRICA. PRESENÇA DE ULCERA DENTRO DE LESÃO TUMORAL ( LEIOMIOMA NA PAREDE DO ESTOMAGO ) AQUI TEMOS FALHA DE ENCHIMENTO + ULCERA.
60
PRESENÇA DE PNEUMOPERITONEO
61
**_PRESENÇA DE VARIZES ESOFAGICAS , POR SERIOGRAFIA. PRESENÇA DE MULTIPLAS FALHAS DE ENCHIMENTOS EM FORMA DE CORDÃO ( ECTASIA + ESTREITAMENTO =COLAR DE CONTAS ) , SUGESTVIO DE VARIZES ESOFAGICAS._** **_LEMBRE O ESOFAGO DESCE DE MODO HOMOGENEO._**
62
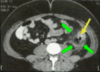
**_NOTE A DRENAGEM VENOSA_** **_1.VERDE = VEIAS MESENTÉRICAS SUPERIOR_** **_2.AZUL = ESPLENICA_** **_3 . VERMELHO = PORTA PRINCIPAL =_** **_4.AMARELO = ESSOFAGO_** **_CASO DE VARIZES ESOFÂGICAS_**
63
oclusão da aorta infra renal . depois da aorta infra renal , você não ve mais nada. As iliacas externas , apenas , são presentes por colaterais.
64
***_presença de aneurimsa aorta abdominal em expansão._***
65
66
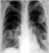
***_consolidação e broncograma aéreo no lobo superior direito_*** ***_cupula esquerdo está muito mais baixo que a direita._***
67
***_1.massa mediastinal._*** ***_2.princpal no mediastino anterior : timoma, medio : linfoma , posterior : neurogênico._*** ***_3.com radiografia não da para diferenciar._*** ***_4. o quadro presente na radiografia temos : Linfoma. O edema , pletora facial e turjencia julgular --\> presença de sindrome da veia cava superior._***
68
**ARTERIOGRAFIA**
69
TRONCO CELIACO RECONSTRUÍDO.
70
RAMOS PRESENTES NA ARTERIOGRAFIA.
71
**FORMAÇÕES DIVERTICULARES , PRESENÇA DE SACULAÇÕES.**
72
DIVERTICULO PRESENTE NO SIGMÓIDE ( MAIS FREQUENTE ) TOMOGRAFIA.
73
DIVERTICULO NA RNM
74
FALHA DE ENCHIMENTO NO CÓLON 1. SINAL DA MAÇA MORDIDA. 2. TRADUZ LESÃO NEOPLÁSICA = REDUÇÃO DO LÚMEN.
75
ESPESSAMENTO NO SIGMÓIDE
76
ESPESSAMENTO DO SIGMÓIDE.
77
INVAGINAÇÃO INTESTINAL. TOMOGRAFIA. FORMATO DE ALVO
78
***_PRESENÇA DE EMPILHAMENTO DE MOEDA , PRESENTE NO DELGA._*** ***_OCORRENDO DEVIDO SUA DISTENÇÃO._*** ***_CALCULO PRESENTE NO LUMEN INTESTINAL , COM ISSO , COMO ESTAMOS EM LOCAL SUGESTIVO ...TEMOS UM ILEO BILIAR._*** ***_FISTULA ---\> CALCULO MIGRA ---\> BINGO !_***
79
***_DIVERTICULITE COM FISTULA ENTRE COLO E VESICULA._***
80
***_CICATRIZ CENTRAL DA HIPERPLASIA NODULAR FOCAL_***
81
**_PNEUMOPERICÁRDIO._**
82
83
***_APÊNDICE , NO ULTRASSOM.._*** ***_PRESENTE NO EIXO TRANSVERSAL._*** ***_IMAGEM BRANCA ARREDONDADA É A PAREDE DO APENDICE. LUMEN DO APENDICE SE APRESENTA DISTENDIDO._*** ***_IMAGEM PRETA EM VOLTA REPRESENTA EDEMA ._***
84
85
MOSTRA NA IMAGEM DA ESQUERDA APENDICE DISTENDIDO COM SOMBRA ACUSTICA POSTERIOR.
86
DISTENDIDO COM LIQUIDO NO APENDICE
87
APENDICOLITO
88
LIQUIDO E GÁS NA PAREDE DO APENDICE E EM SUA VOLTA.
89
**_FORMAÇÕES DIVERTICULARES DO CÓLON SIGMÓIDE._**
90
DIVERTICULOSE NA RESSONÂNCIA.
91
***_BORRAMENTO DA GORDURA._***
92
***_DIVERTICULOSE NA RESSONÂNCIA._***
93
94
95
***_ESPESSAMENTO DA PAREDE DO CÓLON._***
96
**PRESENÇA DE ESPESSAMENTO DA GORDURA.**
97
***_PRESENÇA DE CONTEÚDO GASOSO NA DIVERTICULITE._***
98
***_PRESENÇA DE ABSCESSO._***
99
PRESENÇA DE ABSCESSO QUE ESTÁ DESLOCANDO O OMENTO .
100
ABSCESSO OCUPANDO QUASE TODA CAVIDADE PERITONEAL.
101
**_NOTE O EDEMA PERI LESIONAL._** **_A HIPOTESE É : NEUROTOXOPLASMOSE._** **_LEMBRAR : SULFADIAZINA + PIRAMI_** **_CLINDA : SE ALÉRGICO._**
102
103
CÉLULAS CARACTERISTICAS DE MALÁRIA.
104
***_PRESENÇA DE PLASMODIUM FALCIPARUM.. PARASITA CELULAS COM DIFERENTES ETAPAS DO DESENVOLVIMENTO, VAI DESENVOLVER CITO ADERENCIA FORMANDO PLUGS OBSTRUTIVOS._*** ***_MANIFESTAÇÕES DA MALÁRIA MAIS GRAVE : OBSTRUÇÃO DE VASOS CEREBRAIS , INSUFICIENCIA RENAL , INSUFICIENCIA HEPÁTICA._*** ***_MALÁRIA GRAVE , UTILIZAMOS : ARTESUNATO._***
105
52 ANOS TOSSE EXPECTORAÇÃO .
***_PRESENÇA DE IMAGEM HIPODENSA, COMPRESENÇA DE AR EM FORMA DE LINHA RETA._*** ***_TEMOS AR E LIQUÍDO , NÍVEL HIDROAÉREO._*** ***_TEMOS LESÃO PULMONAR CAVITÁRIA + NÍVEL HIDROAÉREO._*** ***_DIAGNÓSTICO DO PACIENTE : PNEUMONIA NECROTIZANTE OU ABSCESSO PULMONAR._*** ***_NECROTIZANTE , APRESENTA CAVIDADE MENOR QUE 2 CM._*** ***_ABSECESSO PULMONAR , QUANDO MAIOR QUE 2 CM._***
106
QUAIS AGENTES DOS ABSCESSOS PULMONARES
***_S.AUREUS , ANAERÓBIOS , GRAM NEGATIVOS , S.PNEUMONIAE SOROTIPO 3_***
107
***_MAIOR PREVALÊNCIA DOS TUMORES O TIPO HISTOLÓGICO MAIS COMUM É O : CARCINOMA BASOCELULAR._*** ***_PRINCIPAL FATOR DE RISCO : RAIOS ULTRAVIOLETAS._*** ***_NÃO MELANOMA : BASOCELULAR E EPIDERMÓIDE. MAIS COMUM É O BASOCELULAR._*** ***_LESÃO CUTANEA DA IMAGEM , FALA A FAVOR DO MELANOMA._*** ***_5 FATORES QUE FALAM A FAVOR DO MELANOMA --\> ASSIMETRIA , BORDA IRREGULAR , MAIOR QUE 6 CM , CORES DIVERSAS , ELEVAÇÃO._***
108
***_CATEGORIA 5 DE BI-RADS_***
109
***_EXAME : HISTEROSCOPIA._*** **_PRINCIPAL HISPÓTESE DX : CÂNCER DE ENDOMÉTRIO._** **_FATORES DE PROTEÇÃO PARA CANCER DE ENDOMETRIO : TABAGISMO , PERDA DE PESO , MULTIPARIDADE._** **_PRINCIPAL DIAGNÓSTICO DIFERENCIAL : ATROFIA DO ENDOMÉTRIO._**
110
***_DOPLLER DE ARTÉRIA UMBILICAL_*** ***_SISTOLE E DIASTOLE ELEVADA_*** ***_CIUR ; ESTIMATIVA DO PESO FETAL ABAIXO DO PERCETIL 10._*** ***_INDICE DE RESISTENCIA É ANORMAL ACIMA DE 0.6_***
111
***_EXAME A FRESCO :_*** PH VAGINAL ACIMA DE 5 VAGINOSE BACTERIANA. LEMBRAR DOS CRITÉRIOS DE ANSEL --\> 4/5 CORRIMENTO ACINZENTADO ,PODE TER BOLHAS TESTE AMINA POSITIVO. PRESENÇA DE CLUE CELLS. PH VAGINAL MAIOR QUE 4,5
112
**_PRESENÇA DE CLUE CELLS._**
113
ALTURA : 1.51 SEM DESENVOLVIMENTO SEXUAL. HIPOGONADISMO HIPERGONADOTROFICO. AS ALTERAÇÕES RESPONSÁVEIS : AMNORRÉIA PRIMÁRIA - AUSÊNCA DE MENSTRUAL AOS 14 ANOS ASSOCIADA Á FALHA NO DESENVOLVIMENTO. APRESENTA INFERILIDADE PRIMARIA --\> APÓS 1 ANO NÃO ENGRAVIDOU. FSH ESTÁ ELEVADO , SUGERINDO PROBLEMA NO OVÁRIO ( ELE NÃO TÁ FUNCIONANDO --\> PROBLEMA NO COMPARTIMENTO 2) --\> AUSNECIA DE OVULAÇÃO. PACIENTE COM SINDROME DE TURRNER....
114
***_==\> PRINCPAL HIPÓTESE : MENINGOCOCEMIA._*** ***_==\> DIFERENCIAIS : SEPSE POR PNEUMOCOCO , FEBRE MACULOSA , PURPURA ANAFLACTÓIDE._*** ***_SINAIS DE MAL PROGNÓSTICO : HIPOTERMIA, HIPERPLEXIA EXTREMA , HIPOTENSÃO , PURPURA FULMINANTE, AUSENCIA DE MENINGITE , E PRESENÇA DE PETÉQUIAS HÁ MENOS DE 12 HORAS DA ADMISSÃO._*** ***_TRATAMENTO DO MENINGOCOCO : PENICILINA CRISTALINA._***
115
**_RADIOGRAFIA DE OSSOS LONGOS - COM ALTERAÇÃO DE METÁFISE PROXIMAL DE UMERO ( PRESENÇA DE LESÃO LÍTICA ) , LEVANDO A PSEUDOPARALISIA DE PARROT._**
116
***_# PPD MAIOR QUE 10MM , FORTE REATOR._*** ***_# PRESENÇA DE INTENSA SENSIBILIDADE AO MICOBACTERIUM TUBERCULOSIS._*** ***_# HÁ NECESSIDADE DE RADIOGRAFIA DE TÓRAX._*** **_MENOS DE 2 ANOS , A REAÇÃO DO PPD NÃO É MAIS QUE 15 MM._** **_CONDUTA NO CASO DE CRIANÇA INFECTADA E NÃO DOENTE : REALIZAR QUIMIOPROFILAXIA SECUNDÁRIA --\> ISONIAZIDA POR 6 MESES._**
117
ONFALOCELE. MASSA NA BASE DO CORDÃO UMBILICAL. PRESENÇA DE MEMBRANA RECOBRINDO .
118
119
**1. Lesão : hematoma epidural** **2. imagem biconvexa.** **3. lesão de aspecto arterial --\> lesão da artéria meningea média.**
120
***# tomografia de abdomen sem contraste.*** ***# nefrolitiase que ocupa a pelve toda = coraliforme.*** ***# tratamento agudo mais adequado :*** ***--\> proximal e menor que 2 cm = LECO*** ***--\> proximal e \>2 cm : NEFROLITOTOMIA PERCUTANEA.*** ***--\> URETER MÉDIO E DISTAL = ureteroscopia.***
121
***_# presença de hipernefroma ( carcinoma de celulas renais )_*** ***_# tipo histológico mais comum : carcinoma de celulas claras._*** ***_# dois fatores de risco : tabagismo , obesidade , hipertensão arterial , história familiar_*** ***_# se o paciente apresentar disfunção da função hepática , devemos pensar em : sindrome de stauffer( sindrome paraneoplásica)_*** ***_# tumor com mais de 7 cm , conduta :_*** ***_1.nefrectomia ( menos de 4 cm : parcial , se maior que 4 cm :nefrectomai radical --\> isso se compilado a capsula....se passar a capsula : IMUNOTERAPIA IL-2 , INTERFERON ALFA, SORAFENIB._***
122
123
124
USO DE PROPOFOL.
125
1-CAXUMBA 2-RT - PCR DO SWAB ORAL OU SOROLOGIA ( IGM ANTI CAXUMBA OU SOROLOGIA PAREAAD COM OS TITULOS DE IGG ANTI CAXUMBA NA FASE AGUDA E NA FASE DE CONVALESCENÇA )
126
ILEO BILIAR.
127
VACINA DA BCG CONDUTA : A PRINCIPIO APENAS A ASPIRAÇÃO DO LINFONODO , RESERVANDO-SE A EXCISÃO CIRURGIA PARA OS CASOS REFRATÁRIOS OU RECIDIVANTES. EXISTE CONTROVERSA EM RELAÇÃO AO USO DE TRATAMENTO DA ADENITE PÓS BCG
128
EVOLUUÇÃO NORMAL DA LOQUIAÇÃO.
129
NEVO DE BECKER
130
131
***_VOLVO DE SIGMÓIDE._***
132
ONDE SE
133
EXAME : ESOFAGOGRAFIA BARITADA. DIAGNÓSTICO DE ESPASMO ESOFAGIANO DIFUSO , CONSTRIÇÃO EM VÁRIOS PONTOS. TRATAMENTO : MAIS EFICAZ ESOFAGOMIOTOMIA LONGITUDINAL.
134
RECONSTRUÇÃO A B1 . DECORRE NA MAIORIA DAS VEZES DA PRESENÇA DE UMA ULCERA DO TIPO 1 , ONDE REALIZAMOS UMA ANTRECTOMIA SEGUIDA DE RECONSTRUÇÃO A B1
135
DOENÇA DE DIVERTICULO PRESENÇA DE VÁRIAS SACULAÇÕES NO DIVERTICULO DO PACIENTE.
136
***_PRESENÇA DE ABSCESSO ENTRE SIGMÓIDE E BEXIGA DO PACIENTE._*** ***_COMPLICAÇÃO DA DIVERTICULITE COM O ABSCESSO._*** ***_NESSE CASOS = DRENAGEM + ANTIBIOTICOTERAPIA._*** ***_SIGMOIDECTOMIA APÓS 6 MESES._***
137
138
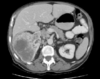
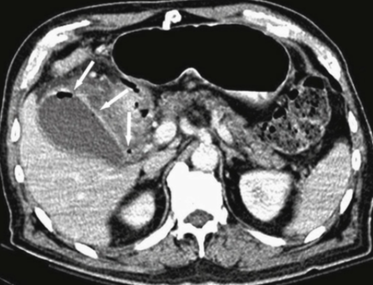
PRESENÇA DE PSEUDOCISTO PANCREÁTICO. PSEUDO CISTO EXTRAPANCREÁTICO. COLEÇÃO QUE EMERGE APÓS 4 SEMANAS DA PANCREATITE , ANTES CHAMAMOS DE COLEÇAO FLUÍDA. PRESENÇA DE PANCREAS COM ASPECTO INFLAMADO AINDA. INTERVENÇÃO NO PSEUDOCISTO APENAS , SE : EXPANSAO , SINTOMAS , COMPLICAÇÕES.
139
140
**presença de esofago de barret ( presença de celulas caliciforme)** **lembrar :omeprazol ( por 6 a 12 semanas de tratamento )** **em caso de presença em displasia de alto grau , utilizamos esofagogectomia distal**
141
***_IMAGEM : GRANULOMATOSE DE WEGNER._*** OPACIDADE E INFILTRADO NA BASE , SEGUIDO DE CAVITAÇÕES DE PAREDES ESPESSAS E NÍVEL LIQUIDO. NA INTERNAÇÃO O PACIENTE APRESENTOU IRA E FOI PARA OBITO QUAL MARCADOR DEVEMOS UTILIZAR ???? PADRÕA OURO É BIÓPSIA. NA PRÁTICA É UTILIZADO O ANTICORPO ANCA - C TRATAMENTO PARA DOENÇA DE BASE : PREDINISONA + CICLOFOSFAMIDA ( IMUNOSUPRESSOR) DIAGNÓSTICO DIFERENCIAL : POLIANGEITE MICROSCOPIA , SINDROME DE GOODPASTURE , LEPTOSPIROSE, LUPUS.
142
***_PRESENÇA DE 13 PETÉQUIAS NA PROVA DO LAÇO A PACIENTE É ADULTA_*** ***_PACIENTE COM SINAIS E SINTOMAS CLÁSSICOS , SEM QUALQUER OUTRO FATOR DE RISCO._*** ***_NOTIFICAÇÃO + SINTOMÁTICO ( NÃO FAZER AAS OU SALICILATO) + HIDRATAÇÃO ( 60 A 80 ML/KG /DIA)_***
143
144
***_ANEIS DE KAISHER FLASER , DOENÇA POR ACUMULO DE COBRE_***
145
***_# 1. há arritimia ? sim ( acima de 100 )_*** ***_# 2.existe onda p , precedendo qrs ? não_*** ***_# 3.existe onda f (flutter) ? não ._*** ***_# 4. qrs é estreito ? sim ( NÃO É RITIMO VENTRICULAR )_*** ***_# 5.se RR é regular ou irregular ? Regular. Portanto , não é fibrilação._*** ***_TAQUICARDIASUPRAVENTRICULAR ( MECANISMO DE REENTRADA)_*** ***_TRATAMENTO : PODEMOS TENTAR MANOBRA VAGAL , PODEMOS UTILIZAR ADENOSINA PARA REVERTER A ARRTIMIA_***
146