Meningitis Flashcards

(64 cards)

1
Q

What are the 3 meningeal layers?

1 - dura, arachnoid and pia mater
2 - dura, arachnoid and cocci mater
3 - dentures, arachnoid and pia mater
4 - dura, aracadonis and pia mater

A

1 - dura, arachnoid and pia mater

How well did you know this?
1
Not at all
2
3
4
5
Perfectly
2
Q

What is meningitis?

1 - damaged menigeal layer
2 - infection with menigeitis
3 - congenital defect
4 - inflammation of the meningeal layers due to infection

A

4 - inflammation of the meningeal layers due to infection

How well did you know this?
1
Not at all
2
3
4
5
Perfectly
3
Q

Meningitis requires a trigger that results in inflammation. The following are all causes of meningitis, but which is by far the most common?

1 - autoimmune disease (LUPUS)
2 - adverse reaction to medication
3 - infection

A

3 - infection

How well did you know this?
1
Not at all
2
3
4
5
Perfectly
4
Q

How common is meningitis in the UK?

1 - 32 cases/year
2 - 320 cases/year
3 - 3200 cases/year
4 - 32,000 cases/year

A

3 - 3200 cases/year

How well did you know this?
1
Not at all
2
3
4
5
Perfectly
5
Q

Which group of patients is most at risk of developing meningitis?

1 - children <5 y/o
2 - children <16 y/o
3 - adults 20-30 y/o
4 - adults >65 y/o

A

1 - children <5 y/o

How well did you know this?
1
Not at all
2
3
4
5
Perfectly
6
Q

In acute bacterial meningitis the pia-arachnoid layers of the meninges become congested by polymorphs. What are polymorphs?

1 - bacterial deposits
2 - build up of WBCs
3 - build up of a virus
4 - neutrophils once leaving the blood stream and entering the tissue

A

4 - neutrophils once leaving the blood stream and entering the tissue

How well did you know this?
1
Not at all
2
3
4
5
Perfectly
7
Q

Does cerebral oedema occur in both bacterial and viral meningitis?

A

no, only in bacterial meningitis

How well did you know this?
1
Not at all
2
3
4
5
Perfectly
8
Q

In acute bacterial meningitis the pia-arachnoid layers of the meninges become congested by polymorphs and a layer of pus forms. What affect can this have on cranial nerves?

1 - no effect
2 - destroy cranial nerves
3 - increase cranial nerve number
4 - nerve palsies and hydrocephalus

A

4 - nerve palsies and hydrocephalus

Above happens if adhesions form

How well did you know this?
1
Not at all
2
3
4
5
Perfectly
9
Q

In viral meningitis there is no formation of pus, polymorphs, adhesions and little if any oedema, unless encephalitis is present. What is the key pathological sign of viral meningitis?

1 - cranial nerve palsy
2 - peripheral nerve loss
3 - lymphocytes inflamed CSF
4 - no signs

A

3 - lymphocytes inflamed CSF

How well did you know this?
1
Not at all
2
3
4
5
Perfectly
10
Q

Although meningitis is generally a pathological condition, what markers can be used to help diagnose it?

1 - RBC and WBC count
2 - bacterial count
3 - elevated CSF, WBC and protein count
4 - peripheral nerve test

A

3 - elevated CSF, WBC and protein count

How well did you know this?
1
Not at all
2
3
4
5
Perfectly
11
Q

What is the incidence of bacterial meningitis?

1 - 1.05 cases per 100 000 population
2 - 10.05 cases per 100 000 population
3 - 100.05 cases per 100 000 population
4 - 1000.05 cases per 100 000 population

A

1 - 1.05 cases per 100 000 population

How well did you know this?
1
Not at all
2
3
4
5
Perfectly
12
Q

What age has the highest incidence of bacterial meningitis?

1 - 15-25 years 1.2 per 100 000
2 - 35-45 years 1.2 per 100 000
3 - 45-65 years 1.2 per 100 000
4 - >65 years 1.2 per 100 000

A

3 - 45-65 years 1.2 per 100 000

How well did you know this?
1
Not at all
2
3
4
5
Perfectly
13
Q

What is the overall mortality of bacterial meningitis?

1 - 0.2%
2 - 2%
3 - 12%
4 - 20%

A

4 - 20%

  • mortality also increases with age
How well did you know this?
1
Not at all
2
3
4
5
Perfectly
14
Q

Pneumococcus, also referred to as Streptococcus pneumonia is an aggressive bacteria that can cause bacterial meningitis, which has the highest mortality rate of any cause of meningitis. What is the mortality rate of pneumococcal meningitis?

1 - 0.2%
2 - 2%
3 - 12%
4 - 30%

A

4 - 30%

  • mortality also increases with age
How well did you know this?
1
Not at all
2
3
4
5
Perfectly
15
Q

What is the basic triad presentations of meningitis?

1 - headache, fever and neck stiffness
2 - pain, fever and neck stiffness
3 - headache, fever and peripheral palsy
4 - headache, pain and neck stiffness

A

1 - headache, fever and neck stiffness

-BUT do no need all of them

How well did you know this?
1
Not at all
2
3
4
5
Perfectly
16
Q

In addition to the triad associated with meningitis (heache, stuff neck and fever) what other basic symptoms may a patient present with?

1 - photophobia and vomiting
2 - photophobia and hypotension
3 - vomiting and diarrhoea
4 - vomiting and hypotension

A

1 - photophobia and vomiting

How well did you know this?
1
Not at all
2
3
4
5
Perfectly
17
Q

Meningitis caused by
Neisseria meningitidis is a medical emergancy and called what?

1 - Meningococcal meningitis and meningococcaemia
2 - meningococcal septicaemia
3 - pneumococcal meningitis
4 - viral meningitis

A

1 - Meningococcal meningitis and meningococcaemia (bacteria in the blood)

How well did you know this?
1
Not at all
2
3
4
5
Perfectly
18
Q

Meningitis caused by Neisseria meningitidis is a medical emergancy and called Meningococcal meningitis and meningococcaemia. In addition to the triad of meningitis (stiff neck, fever and headache) what key clinical features do patients present with, and is often the sign that people recognise the most?

1 - weight loss
2 - lack of consciousness
3 - petechial or non-specific blotchy red rash
4 - no rash of skin changes

A

3 - Petechial or non-specific blotchy red rash

  • does not fade when you press a glass on it
How well did you know this?
1
Not at all
2
3
4
5
Perfectly
19
Q

Why are pregnant women told not to eat soft cheeses?

1 - incase women is allergic
2 - incase baby is allergic
3 - soft cheese is unpasteurised and could contain listeria bacteria
4 - calorific

A

3 - soft cheese is unpasteurised and could contain listeria bacteria

  • can then cause Listeria monocytogenes
How well did you know this?
1
Not at all
2
3
4
5
Perfectly
20
Q

How quickly can meningitis onset occur?

1 - minutes to hours
2 - hours to days
3 - days to weeks
4 - weeks to months

A

1 - minutes to hours

How well did you know this?
1
Not at all
2
3
4
5
Perfectly
21
Q

What is Kernigs sign?

1 - hip on one side drops
2 - inability to straighten leg while flexing the hip
3 - neck is flexed resulting in flexion of the knees and/or hips
4 - toes extend and abduct

A

2 - inability to straighten leg while flexing the hip

  • pain is caused by irritation of the meninges
How well did you know this?
1
Not at all
2
3
4
5
Perfectly
22
Q

What is the Brduzinski sign?

1 - hip on one side drops
2 - inability to straighten leg while flexing the hip
3 - neck is flexed resulting in flexion of the knees and/or hips
4 - toes extend and abduct

A

3 - neck is flexed resulting in flexion of the knees and/or hips

  • bodies attempt to alleviate stress on the meninges
How well did you know this?
1
Not at all
2
3
4
5
Perfectly
23
Q

Does meningitis affect a patients GCS score?

A
  • yes
  • it will be attenuated in the later stage of meningitis
How well did you know this?
1
Not at all
2
3
4
5
Perfectly
24
Q

What % of patients with meningitis will experience seizures?

1 - 0.2%
2 - 2%
3 - 20%
4 - 40%

A

3 - 20%

How well did you know this?
1
Not at all
2
3
4
5
Perfectly
25
Which of the following are early signs of meningitis? 1 - fever 2 - headache 3 - leg pain 4 - cold hands and feet 5 - abnormal skin colour 6 - all of the above
6 - all of the above
26
If a patient presents with suspected meningitis and regardless of it they have other associated symptoms, what is the first thing to do for the patient? 1 - blood culture 2 - ABCDS 3 - lumbar puncture 4 - CT scan
2 - ABCDS A = airway B = breathing C = circulation D = disability S = senior review or critical care
27
If a patient presents with suspected meningitis, but without shock, severe sepsis or signs suggesting brain shift, what scale can be used to assess the patients level of disability? 1 - pain scale 2 - consciousness 3 - irritability 4 - glasgow coma scale
4 - glasgow coma scale
28
If a patient presents with suspected meningitis, but without shock, severe sepsis or signs suggesting brain shift, what 2 biochemistry measures should be taken as soon as possible? 1 - CRP and lumbar puncture 2 - blood culture and lumbar puncture 3 - lumbar puncture and CK 4 - CK and CRP
2 - blood culture and lumbar puncture - lumbar puncture regardless of all symptoms if you suspect meningitis
29
If a patient presents with suspected meningitis with any associate symptoms, they should have a lumbar puncture that is sent for culture. Patients should then be given antibiotics. What is typically given? 1 - Ceftriaxone or cefotaxime 2 - Vancomycin 3 - Rifampacin 4 - Chloramphenicol
1 - Ceftriaxone or cefotaxime - antibiotic depends on the trust guidelines
30
If a patient presents with suspected meningitis, but without shock, severe sepsis or signs suggesting brain shift, following a lumbar puncture, they should be started on Ceftriaxone or cefotaxime antibiotics. What is the standard dosage? 1 - 0.1g 2 - 1g 3 - 2g 4 - 4g
3 - 2g
31
If a patient presents with suspected meningitis, but without shock, severe sepsis or signs suggesting brain shift, following a lumbar puncture, the should be started on which steroid? 1 - corticosteroid 2 - dexamethasone 3 - hydrocortisone 4 - prednisolone
2 - dexamethasone - given at a dose of 10mg IV
32
If a patient presents with suspected meningitis, but without shock, severe sepsis or signs suggesting brain shift, and a lumbar puncture cannot be performed in the 1st hour, should patients be prescribed the antibiotics Ceftriaxone or cefotaxime? 1 - yes 2 - no
1 - yes - best to get lumbar puncture 1st where possible, BUT do not delay prescribing antibiotics
33
If a patient presents with suspected meningitis with signs suggestive of shift of brain secondary to raised intracranial pressure, which speciality should you seek help from in the hospital? 1 - sister on ward 2 - medical emergency team 3 - urgent care team 4 - radiologists (CT scan)
3 - urgent care team
34
If a patient has suspected meningitis and suspected raised intracranial pressure, what must be delayed? 1 - antibiotics (Ceftriaxone or cefotaxime) 2 - steroid (Dexamethasone) 3 - neuro imaging 4 - lumbar puncture
4 - lumbar puncture - could cause loss of CSF
35
If a patient has suspected meningitis and suspected raised intracranial pressure, the lumbar puncture is delayed. Once a blood culture sample has been collected what 2 medications should be given without delay? 1 - antibiotics and steroids 2 - morphine and steroids 3 - antibiotics and morphine 4 - fluids and steroids
1 - antibiotics and steroids - antibiotics (Ceftriaxone or cefotaxime) - steroid (Dexamethasone)
36
If a patient has suspected meningitis and suspected raised intracranial pressure, the lumbar puncture is delayed. What other method can be used to help diagnose the patient? 1 - neuro-imaging 2 - peripheral nervous exam 3 - eye test 4 - glasgow coma scale
1 - neuro-imaging - normally CT scan, but MRI would be best
37
If you suspect a patient has meningitis, and they have symptoms, with signs of sepsis and a rash, we would following normal guidelines (ABCDS, antibiotics, blood culture etc...) but we would not prescribe steroids. Why is this?
- may suppress bodies natural immune function - which is needed to fight sepsis
38
Ceftriaxone and cefotaxime act by binding to penicillin binding proteins to attack bacterial cell walls. If a patient has suspected meningitis and is allergic to penicillin or Cephalosporins, what antibiotic could they be prescribed? 1 - Amoxicillin 2 - Vancomyocin 3 - Rifampacin 4 - Chloramphenical
4 - Chloramphenical - dose would be 25mg/kg IV
39
If a patient is >60 y/o and is immunocompromised (alcohol dependent/diabetes) they would be prescribed Ceftriaxone or cefotaxime and what other antibiotic? 1 - Amoxicillin 2 - Vancomyocin 3 - Rifampacin 4 - Chloramphenical
1 - Amoxicillin - dose would be 2g IV
40
If a patient is >60 y/o and is immunocompromised (alcohol dependent/diabetes) and they are allergic to Amoxicillin, what antibiotic would be given with Ceftriaxone or cefotaxime? 1 - Co-trimoxazole 2 - Vancomyocin 3 - Rifampacin 4 - Chloramphenical
1 - Co-trimoxazole
41
If a patient has suspected meningitis and they have travelled with a suspected risk of penicillin resistant pneumococci, in addition to Ceftriaxone or cefotaxime what 2 antibiotics could be prescribed? 1 - Co-trimoxazole or Vancomyocin 2 - Vancomyocin or Rifampacin 3 - Rifampacin or Chloramphenical 4 - Chloramphenical or Vancomyocin
2 - Vancomyocin or Rifampacin - Vancomyocin dose = 15-20mg/kg - Rifampacin dose = 600mg po/iv one or the other but not both
42
Where would a lumbar puncture typically be performed (2 of the following) 1 - T12 - L1 2 - L1 - L2 3 - L3 - 4 4 - L4 - L5
3 - L3 - 4 4 - L4 - L5 - below the end of the spinal cord and conus medularis Atraumatic lumbar puncture needle used
43
A lumbar puncture is generally performed at L3 - 4 of L4 - L5. Once the opening pressure has been measured other samples are taken. Which of the following is NOT measured from the sample taken? 1 - glucose levels 2 - CSF culture 3 - protein content 4 - FBC
4 - FBC - normal CSF pressure is 15-20 mmHg
44
What are the 2 main bacteria that are associated with meningitis? 1 - Neisseria meningitidis and Streptococcus pneumoniae 2 - Escherichia coli and Streptococcus pneumoniae 3 - Streptococcus pneumoniae and Listeria monocytogenes 4 - Neisseria meningitidis and Escherichia coli
1 - Neisseria meningitidis and Streptococcus pneumoniae Neisseria meningitidis = Meningococcal meningitis Streptococcus pneumoniae = pneumococcal meningitis BOTH need PCRs
45
In a normal lumbar puncture sample the fluid should be: - clear - WBC <5 - protein <0.45g/L - glucose 2/3 in blood - no organisms If a patient has viral meningitis, what would we expect to see in the fluid colour, WBC, protein, glucose and organisms?
- fluid colour = clear - WBC = >5-100 lymphocytes - protein = mildly raised - glucose = normal - organisms = no
46
In a normal lumbar puncture sample the fluid should be: - clear - WBC <5 - protein <0.45g/L - glucose 2/3 in blood - no organisms If a patient has TB meningitis, what would we expect to see in the fluid colour, WBC, protein, glucose and organisms?
- fluid colour = clear, cloudy or webbed fibrin - WBC = increased lymphocytes - protein = markedly raised - glucose = low/unrecordable - organisms = yes
47
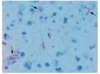
Neisseria meningitidis and Streptococcus pneumoniae are 2 of the most common bacteria causing meningitis. In the image below, which is: - gram negative gram negative cocci - gram positive diplococci
- gram negative cocci = Neisseria meningitidis - gram positive diplococci = Streptococcus pneumoniae
48
A lumbar puncture can be very useful to help diagnose patients with meningitis. However, there are times when a lumbar puncture should be delayed and you should just move ahead and treat the patient. Which of the following is NOT a reason to delay a lumbar puncture? 1 - GCS <12 2 - sepsis and/or rash 3 - respiratory and/or cardiac compromised 4 - papilledema (optic nerve swelling) 5 - seizures 6 - mass lesion/suggestive brain compartment shifts 7 - positive Kernig sign
7 - positive Kernig sign
49
Which bacteria is likely to cause a rapidly evolving rash? 1 - Neisseria meningitidis 2 - Streptococcus pneumoniaea 3 - Staphylococcus aureus 4 - Streptococcus group B
1 - Neisseria meningitidis - causes meningococcal meningitis
50
If you suspect a patient already has high intracranial pressure, likely due to meningitis, why should you not do a lumbar puncture?
- brain could move down pressure gradient as you release the pressure - brains moves through foreman magnum, referred to as coning and causes death
51
Does bacterial meningitis typically have sudden or insidious onset?
- sudden onset
52
Bacterial meningitis typically has a sudden onset. What is a typical physical sign associated with Meningococcal septicaemia? 1 - confusion 2 - papilledema 3 - petechial rash 4 - seizure
3 - petechial rash - relates to red or purpose spots
53
Does viral meningitis typically have sudden or insidious onset?
- insidious onset - generally only last 4-10 days with no more than a headache
54
Although viral meningitis typically only lasts for 4-10 days with no more than a headache, when can viral meningitis be especially dangerous? 1 - >65 y/o 2 - immunocompromised 3 - encephalitis is present 4 - female
3 - encephalitis is present
55
It can be very difficult to diagnose a patient with meningitis if they do not have the typical triad of symptoms (stiff neck, fever, headache). Which of the following are differentials as an alternative for meningitis? 1 - cerebral malaria 2 - subarachnoid haemorrhage 3 - migraine 4 - intracranial mass lesion 5 - encephalitis 6 - all of the above
6 - all of the above
56
What staining technique can be used clinically to diagnose a patient with suspected TB meningitis? 1 - Ziehl-Neilson stain 2 - crystal violet stain 3 - acid fast stain 4 - gram staining
1 - Ziehl-Neilson stain - able to see acid fast bacilli
57
TB meningitis is not that common in the UK, but what can we ask patients to see if they are at risk of this? 1 - ethnicity 2 - foreign travel 3 - age 4 - gender
2 - foreign travel - high incidence in Africa and Asia
58
TB meningitis generally has a more vague and insidious onset. Which of the following is NOT common in TB meningitis early on? 1 - vague headache 2 - lassitude (low energy) 3 - anorexia and vomiting 4 - seizures
4 - seizures
59
Diagnosing TB meningitis can be notoriously difficult and take weeks for cultures and repeat PCRs. If you suspect someone with TB meningitis, what presumptive treatment should be commenced for 9 months? 1 - rifampicin, amoxicillin and pyrazinamide 2 - rifampicin, isoniazid and pyrazinamide 3 - rifampicin, penicillin and pyrazinamide 4 - rifampicin, isoniazid and amoxicillin
2 - rifampicin, isoniazid and pyrazinamide
60
Diagnosing TB meningitis can be notoriously difficult and take weeks for cultures and repeat PCRs. Presumptive treatment should be commenced for 9 months using rifampicin, isoniazid and pyrazinamide. What other steroid is now recommended alongside these antibiotics for 3 weeks? 1 - corticosteroid 2 - dexamethasone 3 - hydrocortisone 4 - prednisolone
4 - prednisolone - dose of 60mg
61
What is the mortality of TB meningitis? 1 - 0.6% 2 - 6% 3 - 26% 4 - 60%
4 - 60%
62
Which of the following are NOT common complications of TB meningitis? 1 - seizures 2 - tuberculomas 3 - hydrocephalus 4 - papilledema
4 - papilledema - swelling of the optic disc due to increased ICP
63
What is the most common fungi that can cause meningitis? 1 - Cryptococcus 2 - Vaginal candidiasis 3 - candida 4 - tinea corporis
1 - Cryptococcus - common in immunocomprimised patients such as HIV
64
What of the following is NOT a common complication affecting the brain from meningitis? 1 - Hydrocephalus 2 - Abscess 3 - Epilepsy 4 - Cognitive impairment 5 - Focal neurological signs 6 - Respiratory distress
6 - Respiratory distress