Micoses Flashcards

(85 cards)

1
Q

Qual diagnóstico?

A

Estruturas leveduriformes uniformes em formato de limão, com parede espessa e birrefringente

Agente: Lacazia loboi

How well did you know this?
1
Not at all
2
3
4
5
Perfectly
2
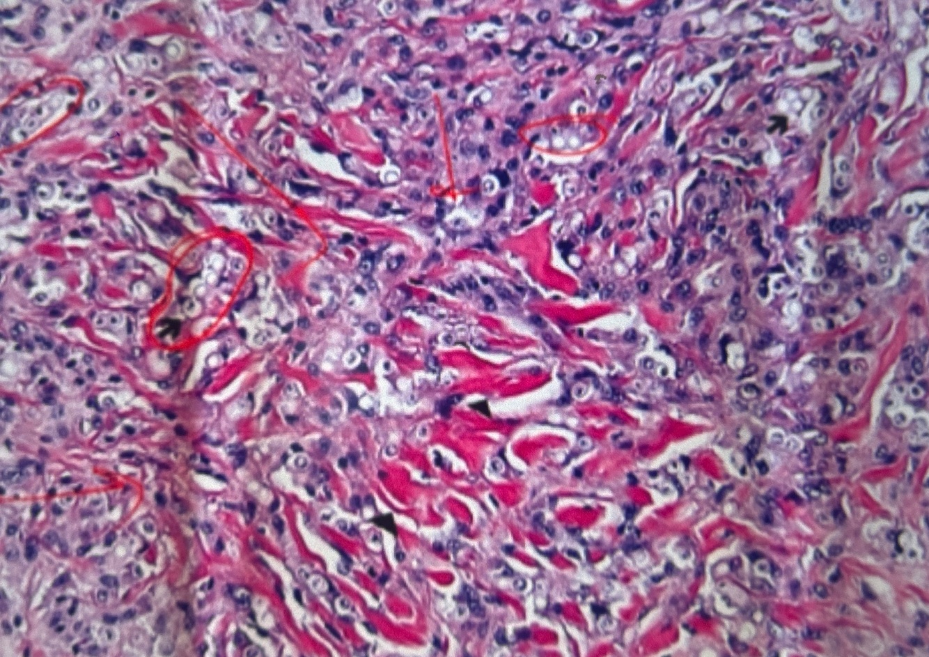
Q
Qual achado da imagem no círculo ? Diagnóstico?
A

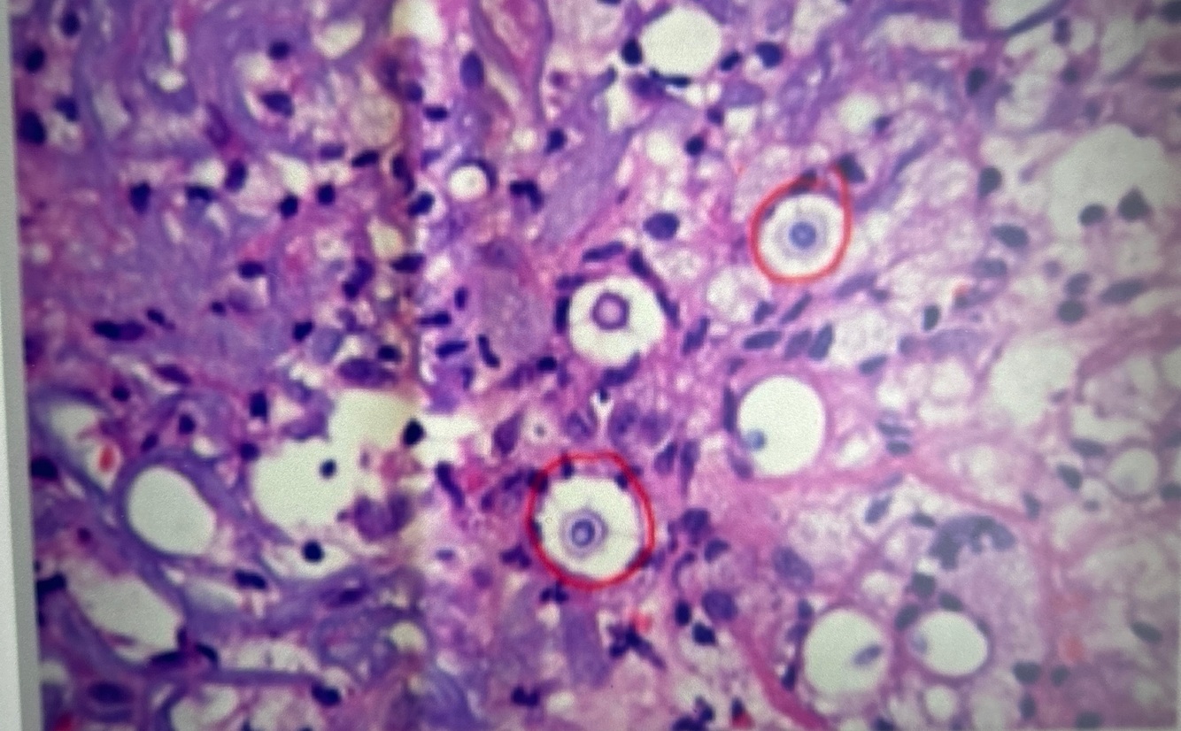
Leveduras agrupadas e em aspecto catenular
Infiltrado granulomatoso

Lobomicose

How well did you know this?
1
Not at all
2
3
4
5
Perfectly
3
Q

Cite 5 agentes do eumicetoma?

A

Madurella myceyomatis
M. Grisea
Nigronana mackinonii
Acremonium
Scedosporium apiospermum

How well did you know this?
1
Not at all
2
3
4
5
Perfectly
4
Q

Actinomicetoma ou eumicetoma?

A

Eumicetoma

How well did you know this?
1
Not at all
2
3
4
5
Perfectly
5
Q

6 agentes da Actinomicetoma

A

Nocardia brasiliensis
Nocardia asteroides
Nocardia caviae
Actinomadura madurae
Actinimadura pelletieri
Streptomyces somaliensis

How well did you know this?
1
Not at all
2
3
4
5
Perfectly
6
Q

Actinomicetoma ou eumicetoma?

A

Actinomicetoma por Nocardia

Superfície mais homogênea

How well did you know this?
1
Not at all
2
3
4
5
Perfectly
7
Q

Actinomicetoma ou eumicetoma?

A

Actinomicetoma por Nocardia

Superfície mais homogênea

How well did you know this?
1
Not at all
2
3
4
5
Perfectly
8
Q

Qual nome da reação antígeno anticorpo que acontece ao redor do grão?

A

Fenômeno de Splendore-Hoeppli

How well did you know this?
1
Not at all
2
3
4
5
Perfectly
9
Q

Qual agente causador do actinomicose endógeno?

A

Actinomyces israelli (anaeróbico e gram +)

How well did you know this?
1
Not at all
2
3
4
5
Perfectly
10
Q

3 agentes da botriomicose

A

S. Aureus
Pseudomonas aeruginosa
Escherichia coli

How well did you know this?
1
Not at all
2
3
4
5
Perfectly
11
Q

Quais achados no AP da botriomicose?

A

Grão lobulares de bactérias não filamentosas
Infiltrado granulomatoso

How well did you know this?
1
Not at all
2
3
4
5
Perfectly
12
Q

Qual agente do actinomicetoma tem grãos vermelhos?

A

Actinomadura pelletieri

How well did you know this?
1
Not at all
2
3
4
5
Perfectly
13
Q

Quais tipos de albinismo oculocutaneo tipo 1 e quais diferenças?

A

1A: mutação completa do gene da tirosinase associada a perda total da pigmentação

1B: perda parcial da atividade da tirosinase

How well did you know this?
1
Not at all
2
3
4
5
Perfectly
14
Q

Qual mutação ocorre no albinismo oculocutâneo 2?

A

Gene P do compromisso 15

How well did you know this?
1
Not at all
2
3
4
5
Perfectly
15
Q

Qual nome dessa vesícula e qual agente?

A

Esporângio

Mucor

How well did you know this?
1
Not at all
2
3
4
5
Perfectly
16
Q

Como diferenciar o Rhizopus do Mucor?

A

Rhizopus tem rizóides (raizes) e Mucor não

How well did you know this?
1
Not at all
2
3
4
5
Perfectly
17
Q

Qual agente?

A

Syncephalastrum racemosum

How well did you know this?
1
Not at all
2
3
4
5
Perfectly
18
Q

Quais são as características das zigomicoses?

A

Hifas largas e tortuosas, com ramificação em ângulo reto, com pouca ou nenhuma septaçao (cenocíticas)

How well did you know this?
1
Not at all
2
3
4
5
Perfectly
19
Q

Quais os 3 principais causadores de mucormicose?

A

Mucor
Rhizopus
Lichtheimia

How well did you know this?
1
Not at all
2
3
4
5
Perfectly
20
Q

Qual diagnóstico?

A

Criptococose

Leveduras capsuladas

How well did you know this?
1
Not at all
2
3
4
5
Perfectly
21
Q

Qual diagnóstico?

A

Células de leveduras apresentando cápsula

How well did you know this?
1
Not at all
2
3
4
5
Perfectly
22
Q

Qual agente e qual doença?

A

Conidiobolus

Entomoftoromicose

How well did you know this?
1
Not at all
2
3
4
5
Perfectly
23
Q

Como chama a forma de esporotricose que há acometimento da conjuntiva + linfonodomegalia?

A

Síndrome oculoglandular de Parinaud

How well did you know this?
1
Not at all
2
3
4
5
Perfectly
24
Q

Qual diagnóstico?

A

Sporothrix sp
Hifas hialinas, separadas, ramificadas
Conidios ovalados dispostos “em formato de margarida”

How well did you know this?
1
Not at all
2
3
4
5
Perfectly
25
Qual agente?
Paracoccidioides sp. Células leveduriformes com duplo contorno refringente multibrotante (Mickey mouse, roda de leme)
26
Qual diagnóstico?
Histoplasmose Hifas septadas hialinas e macroconidios mamilonados ou espiculados
27
Qual diagnóstico?
Coccidioidomicose
28
Qual diagnóstico?
Adiaspiromicose Formas arrendando grandes, paredes grossas (trilaminar) e vários núcleos
29
Qual agente da piedra negra?
Piedraia hortae
30
Qual agente da tricomicose?
Corynebacterium tenuis
31
Qual diagnóstico?
Tinea capidis endotrix
32
Agente?
Tricophyton rubrum
33
Qual diagnóstico?
Tricophyton tonsurans Hifas septadas hialinas e microconídios em gotas grandes e pequenas implantados alternadamente. Confunde com T. rubrum
34
Qual diagnóstico?
Tricophyton mentagrophytes
35
Diagnóstico?
Tricophyton schoenlenii
36
Agente?
Microsporum gypsum Fuso com até 6 divisões
37
Agente?
Epidermophyton floccosum
38
Qual agente?
Candida albicans
39
Agente?
Neoscytalidum dimidiatum
40
Como diferenciar a Alternaria da Curvularia?
Alternaria: septo transversal Curvularia: segundo maior
41
Agente?
S. Apiospermum
42
Agente?
Aspergilus
43
Penicillum sp
44
Qual agente do eritrasma?
Corynebacterium minutissumum
45
Qual agente?
Malassezia
46
Qual agente?
Malassezia
47
Qual agente da tinea nigra?
Hortaea werneckii
48
Qual agente e qual doença?
Hortaea weneckii Tinea nigra
49
Quais 2 principais agentes da piedra branca?
Trichosporon inkin Trichosporon ovoides
50
Qual agente da tinea imbricada?
T. Concentricum
51
Qual agente?
Microsporum canis
52
Qual agente?
Epidermophyton flocossum
53
Qual agente?
Microsporum canis
54
Qual agente?
Microsporum canis
55
Qual agentes
Microsporum gypseum
56
Qual agente?
T. Verrucosum
57
Na tinea capidis, qual agente mais relacionado ao parasistismo ectotrix e endotrix?
ectotrix -> microsporum sp. endotrix-> tricophyton sp.
58
Qual agente?
Microsporum canis - azul esverdeado no wood
59
Qual agente de cada letra?
A- T. Rubrum B- T mentagrophydes C- T tonsurans D- Epidermophyton flocossum E- M. canis F- M. Gypseum
60
Qual agente?
T. schoenleinii
61
Qual agente?
T.verrucosum
62
Qual agente?
Sporothrix sp.
63
Qual principal agente da cromomicose?
Fonsecae pedrosoi
64
Qual agente?
Rhinocladiella Escova de mamadeira
65
Quais são os 3 tipos de frutificação na cromomicose?
1- Cladosporium 2- Phialophora 3- Rhinocladiella
66
Qual agente?
Phialophora
67
Qual agente?
Cladosporium
68
Qual tipo de frutificação?
Rhinocladiella
69
Qual diagnóstico?
Coccidioidomicose
70
Qual diagnóstico?
Paracococcidioidomicose
71
Qual diagnóstico?
Histoplasmose
72
Qual agente?
Madurella mycetomatis
73
Qual agente?
Scedosporium apiospermum
74
Qual agente?
Fusarium Forma de meia lua, banana ou canoa
75
Qual agente?
Acremoniun
76
Qual diagnóstico?
Conidiobolomicose
77
Qual agente?
Basidiobolus
78
Cite 5 fungos demaceos
1- Alternaria 2- Curvularia 3- Exophiala jeanselmei 4- syntalidium dimidiatum 5- Fonsecae Pedrosoi
79
Cite 4 fungos hialinos?
Aspergillus Fusarium Penicilium Scedosporium
80
Qual diagnóstico?
Aspergilose
81
Qual diagnóstico?
Aspergilose
82
Qual nome desta estrutura?
Corpos asteroides
83
Qual agente?
Scopulariopsis
84
Em qual doença encontramos uma cultura filamentosa branca com aspecto de pipoca estourada/cerebriforme?
Paracoco
85
Qual diagnóstico?
T. Tonsurans