What is the name of the pictured organism? What type of organism is it? What is its shape?

Bacillis substilis; bacteria; shape is bacilli
What is the name of the pictured organism? What type of organism is it? What is its shape?

Proteus vulgaris; bacteria; the shape is bacilli
What is the name of the pictured organism? What type of organism is it? What is its shape?

Anabaena; cyanobacteria; shape is filamentous
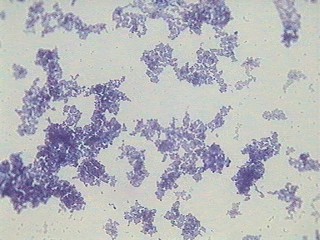
What is the name of the pictured organism? What type of organism is it? What is its shape?

Streptococcus pyogenes; bacteria; shape is cocci (spherical)
What is the name of the pictured organism? What type of organism is it? What is its shape?

Spirillum; bacteria; shape is spirilla
What is the name of the pictured organism? What type of organism is it? What is its shape?

Spirulina; cyanobacteria; shape is filamentous
What is the name of the pictured organism? What type of organism is it? What is its shape?

Staphylcoccus aureus; bacteria; shape is cocci
What is the name of the pictured organism? What type of organism is it? What is its shape?

Saccharomyces cerevisiae; yeast; cell shapes are LARGE and round
What is the name of the pictured organism? What type of organism is it? What is its shape?

Oscillatoria; cyanobacteria; filamentous
How can you tell if the round cell you are viewing through the microscope is a yeast cell or a round bacterial cell?
The yeast cell does not need such a high magnification compared to bacterial cell which would need a high magnification. Yeast cells are a lot LARGER compared to bacterial cells.
What are the (2) groups of organisms found in Kingdom Protista?
Algae and Protozoa
Which protist is an intestinal parasite found in the duodenum?
Trophozoite
The protist Trophozoite (which adheres to intestinal lining, found in duodenum), what disease does it cause?
Bever fever
Which protist causes a sexually transmitted disease?
Trichomonas vaginialis
What is the purpose of the axostyle in Trichomonas vaginalis?
Structural support
Which group of organisms in Kingdom Protista make their own food and have flagella?
Algae
Define Eukaryotic
More complex cell type that contains membrane-bound nucleus
Define primary producer.
refers to organism (i.e. algae) that is able to produce its own food to survive
Define vector.
Organism carry disease-causing microbe
Define reservoir host.
Host that serves as a source of infection
What disease is caused by Trypanosoma?
African Sleeping Disease
How is Trypanosoma transmitted from person to person?
Tse tse fly
What is the growth form of fungi?
Hypha
What would a large number of hypha be called collectively?
Mycelium