Microanatomy Flashcards

(23 cards)

1
Q

Round cell

A

for mobility
ex: wbc
ability to move through blood and tissue

How well did you know this?
1
Not at all
2
3
4
5
Perfectly
2
Q

mesenchymal cell

A

for strength/connection
ex: bone, muscle cells

How well did you know this?
1
Not at all
2
3
4
5
Perfectly
3
Q

epithelial cell

A

for protection and production
ex: skin, GI tract

How well did you know this?
1
Not at all
2
3
4
5
Perfectly
4
Q
A

simple squamous epithelium

How well did you know this?
1
Not at all
2
3
4
5
Perfectly
5
Q
A

stratified squamous epithelium

How well did you know this?
1
Not at all
2
3
4
5
Perfectly
6
Q
A

simple cuboidal epithelium

How well did you know this?
1
Not at all
2
3
4
5
Perfectly
7
Q
A

stratified cuboidal epithelium

How well did you know this?
1
Not at all
2
3
4
5
Perfectly
8
Q
A

simple columnar epithelium

How well did you know this?
1
Not at all
2
3
4
5
Perfectly
9
Q
A

stratified columnar epithelium

How well did you know this?
1
Not at all
2
3
4
5
Perfectly
10
Q
A

transitional epithelium

How well did you know this?
1
Not at all
2
3
4
5
Perfectly
11
Q
A

pseudostratified epithelium

How well did you know this?
1
Not at all
2
3
4
5
Perfectly
12
Q
A

epithelial cells

How well did you know this?
1
Not at all
2
3
4
5
Perfectly
13
Q
A

round cells

How well did you know this?
1
Not at all
2
3
4
5
Perfectly
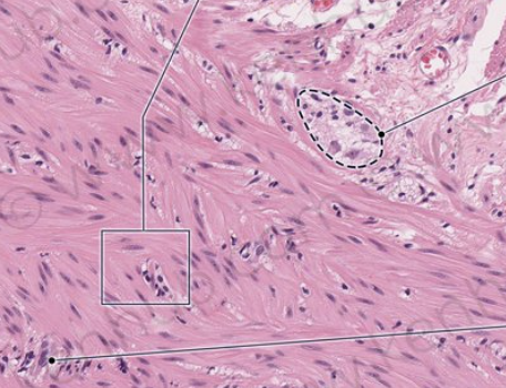
14
Q
A

mesenchymal cells

How well did you know this?
1
Not at all
2
3
4
5
Perfectly
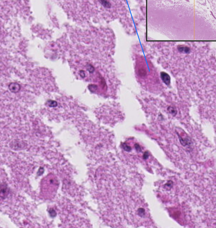
15
Q
A

neuron soma

How well did you know this?
1
Not at all
2
3
4
5
Perfectly
16
Q
17
Q
19
Q
20
Q
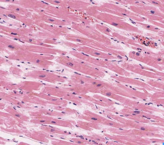
21
Q
A

cardiac muscle

22
Q
A

skeletal muscle

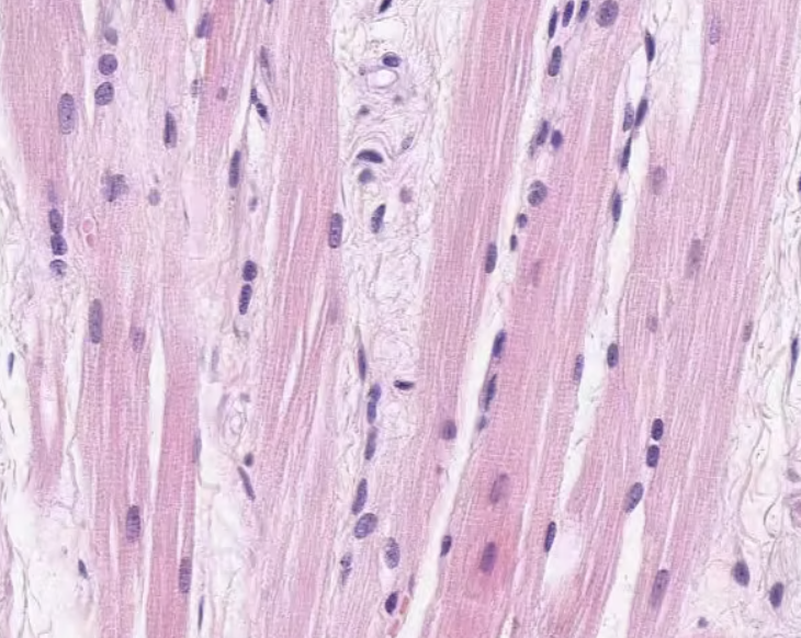
23
Q
A

smooth muscle