Microorganisms Flashcards

(20 cards)

1
Q

what are the three forms of life

A

bacteria
fungus
viruses

How well did you know this?
1
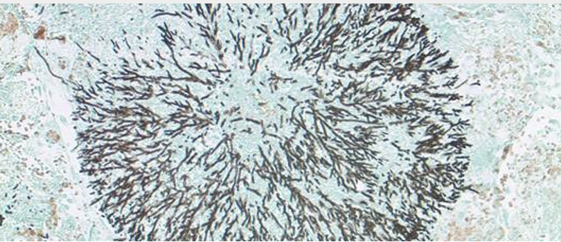
Not at all
2
3
4
5
Perfectly
2
Q

what is the first stain ordered almost always

A

gram stain

How well did you know this?
1
Not at all
2
3
4
5
Perfectly
3
Q

what is an acid fast bacteria (AFB) stain used for

A

classifies bacilli into acid-fast and non-acid fast bacilli

How well did you know this?
1
Not at all
2
3
4
5
Perfectly
4
Q

which stain should be used to differentiate M. tuberculosis and M. leprae

A

acid fast bacteria (AFB)

How well did you know this?
1
Not at all
2
3
4
5
Perfectly
5
Q

what is this stain and what does it show

A

stain: acid fast bacteria (AFB)
positive for: TB

How well did you know this?
1
Not at all
2
3
4
5
Perfectly
6
Q

what is another stain used for TB

A

auramine-rhodamine fluorescent technique

How well did you know this?
1
Not at all
2
3
4
5
Perfectly
7
Q

what is this stain and what does it show

A

stain: auramine-rhodamine fluorescent
positive for: TB

How well did you know this?
1
Not at all
2
3
4
5
Perfectly
8
Q

define mycosis

A

disease produced by fungus

How well did you know this?
1
Not at all
2
3
4
5
Perfectly
9
Q

which two stains should be used to detect fungus

A

GMS silver stains and periodic acid Schiff stains (PAS)

How well did you know this?
1
Not at all
2
3
4
5
Perfectly
10
Q

what is a GMS stain used for

A

fungus

How well did you know this?
1
Not at all
2
3
4
5
Perfectly
11
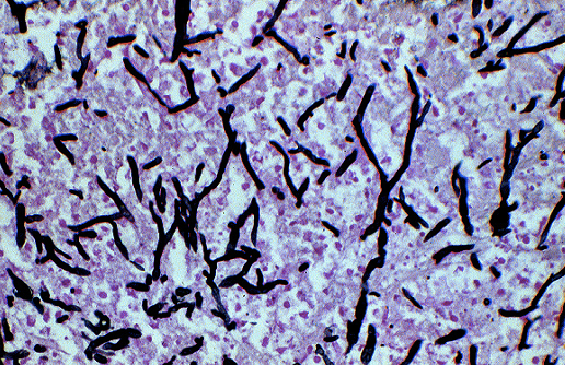
Q

what is this stain and what does it show

A

stain: GMS silver stain
positive for: Fungus

How well did you know this?
1
Not at all
2
3
4
5
Perfectly
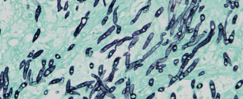
12
Q

what is this stain and what does it show

A

stain: GMS silver stain
positive for: mycelia (fungal ball)

How well did you know this?
1
Not at all
2
3
4
5
Perfectly
13
Q

what is this stain and what does it show

A

stain: PAS
positive for: aspergillus (fungus)

How well did you know this?
1
Not at all
2
3
4
5
Perfectly
14
Q

what stain is this and what does it show

A

stain: PAS
positive for: fungus

How well did you know this?
1
Not at all
2
3
4
5
Perfectly
15
Q

what stain is this and what does it show

A

stain: GMS
positive for: PCP

How well did you know this?
1
Not at all
2
3
4
5
Perfectly
16
Q

a Warthin-Starry stain is used for what

A

spirochetes like syphilis, H. pylori, and cat scratch fever (bartonella)

17
Q

what is this showing

18
Q

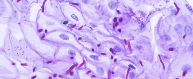
what stain is this and what does it show

A

stain: Diff Quick
positive for: H. pylori

19
Q

what stain is this and what does it show

A

stain: silver stain
positive for: H. pylori

20
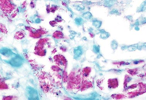
Q

what stain is this and what does it show

A

stain: immune stain
positive for: H. pylori