What are the steps in a Gram stain preparation?
What are the best specimens for a direct exam?
What are Acid Fast stains used for?
They are used for bacteria with cell walls of long chains of fatty acids
What are examples of bacteria that Acid Fast stains?
What are the 4 fungal stains?
Lactophenol Cotton Blue
GMS
PAS
Mucicarmine
Lactophenol Cotton Blue stains….
Histoplasma
GMS stains…
Yeast cells and hyphae
Pneumocystis carinii
Aspergillus
PAS stains…
Yeast cells and hyphae
Aspergillus
Mucicarmine stains…
Cryptococcus
What are the parasite stains?
Wright Giemsa
Wet Mounts
Trichrome
Modified Acid Fast
What is the Warthin-Starry stain?
Silver stain for bacteria that stains spirochetes and cat scratch disease
Wright Giemsa stains…
Histoplasma
Leishmania
Trypanosomas
Malaria
Wet Mounts stain…
Giardia
Trichrome stains…
Giardia
What are the fluorescence stains?
Auramine-Rhodamine
Calcofluor White
Flourescein Conjugated Antibodies
Auramine-Rhodamine stains…
Mycobacteria
Calcofluor White stains…
Fungi
Flourescein Conjugated Antibodies stain…
Viruses
Pneumocystis
Bordetella
Legionella
Which one of the following stains is most useful for demonstrating Aspergillus in lung tissue?
Modified Acid-Fast
Trichrome
Wright’s Giemsa
Gomori Methenamine Silver
Gram Stain
Gomori Methenamine Silver

Staphylococcus aureus

Neisseria meningitides in CSF

E. coli in blood

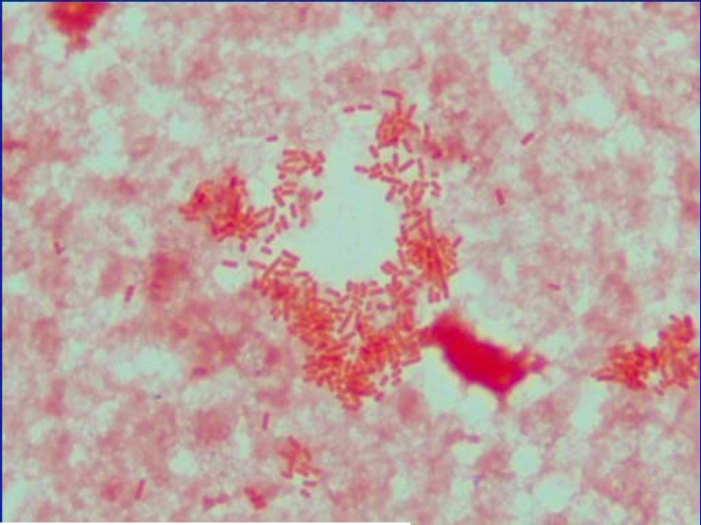
Actinomyces

Campylobacter in jejunum