Name this and state its function.

Inferior cerebellar peduncle.
Name this and state its function.

Dorsal efferent(motor) nucleus of Vagus.
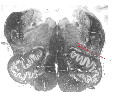
Name this and state its function.

Hypoglossal nucleus.
Name this and state its function.

Hypoglossal nerve.
Name this and state its function.[5 marks overall].
Tract involved.
Pathway specific to function.

Medial lemniscus.
Name this.

Fourth ventricle.
Name this and state its function.
Nerves involved.[3 marks].

Medial longitudinal fasciculus.
oculomotor, trochlear and abducens.
Name this and state its function.
Neurotransmitters involved?

Nucleus Tractus solitarius(NTS).
Name this and state its function.

Inferior olivary nucleus.
Name this.

Medial vestibular nuclei.
Name this.

Inferior vestibular nucleus.
Name this, state its function, divisions and pathway.

Pyramidal tract.
Voluntary control.
Name this and state its function within its 2 parts.

Olive.
Inferior: integrates motor and sensory function
Superior: sound localisation.
Name and state its function in each hemisphere.

Arcuate fibres.
Left hemisphere:
Right hemisphere: