Mid Term Practial Flashcards

(187 cards)

1
Q

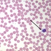
What type of tissue is Blood

A

Connective

How well did you know this?
1
Not at all
2
3
4
5
Perfectly
2
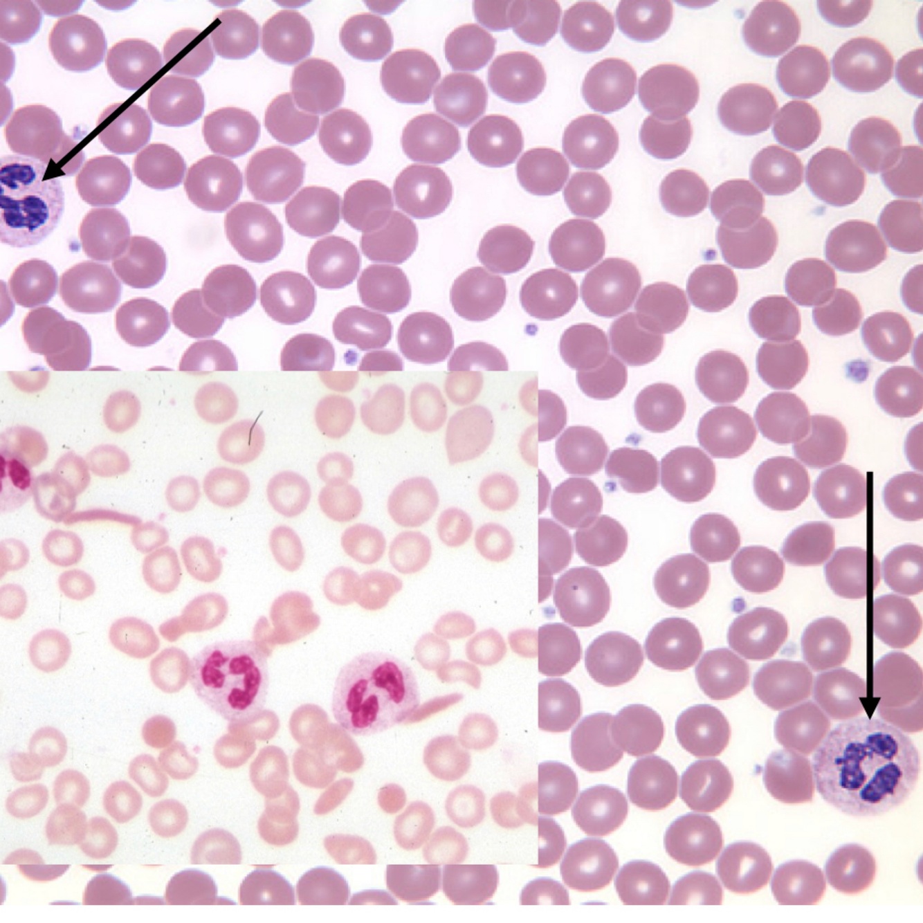
Q

What is the Non-living fluid matrix

A

Plasma

How well did you know this?
1
Not at all
2
3
4
5
Perfectly
3
Q

What is the Living component of blood?

A

Formed elements

How well did you know this?
1
Not at all
2
3
4
5
Perfectly
4
Q

What percentage of plasma is water?

A

91.5%

How well did you know this?
1
Not at all
2
3
4
5
Perfectly
5
Q

What percent of plasma is solutes?

A

9.5%

How well did you know this?
1
Not at all
2
3
4
5
Perfectly
6
Q

What are formed elements

A

Erythrocytes and Leukocytes

How well did you know this?
1
Not at all
2
3
4
5
Perfectly
7
Q

What are Erythrocytes

A

Red Blood Cells (RBC)

How well did you know this?
1
Not at all
2
3
4
5
Perfectly
8
Q

What are leukocytes?

A

White Blood Cells (WBC)

How well did you know this?
1
Not at all
2
3
4
5
Perfectly
9
Q

What is the ratio or RBC, WBC, platelets, and plasma?

A

RBC=45%
Plasma=55%
WBC and Platelets= >1%

How well did you know this?
1
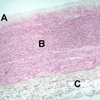
Not at all
2
3
4
5
Perfectly
10
Q

WBC are broken down into two categories. What are they?

A

Granular Leukocytes and Nongranular Leukocytes

How well did you know this?
1
Not at all
2
3
4
5
Perfectly
11
Q

Granular Leukocytes are divided into what sub categories?

A

Basophils (least common), Neutrophil (most common), and Eosinophil

How well did you know this?
1
Not at all
2
3
4
5
Perfectly
12
Q

What categories fall under nongranular leukocytes?

A

Lymphocytes and Monocytes

How well did you know this?
1
Not at all
2
3
4
5
Perfectly
13
Q

What is the function of the RBC.

A

To carry O2 from the lungs to the body and CO2 from the body back to the lungs.

How well did you know this?
1
Not at all
2
3
4
5
Perfectly
14
Q

What is the Buffy coat?

A

Leukocytes (WBC) and Thrombocytes (Platelets). Makes the >1% of the fluid in centrifuged blood.

How well did you know this?
1
Not at all
2
3
4
5
Perfectly
15
Q

What is the function of WBCs?

A

To fight against infections

How well did you know this?
1
Not at all
2
3
4
5
Perfectly
16
Q

Neutrophil’s abundance

A

60-70%

How well did you know this?
1
Not at all
2
3
4
5
Perfectly
17
Q

Eosinophil’s abundance

A

2-4%

How well did you know this?
1
Not at all
2
3
4
5
Perfectly
18
Q

Basophil abundance

A

> 1%

How well did you know this?
1
Not at all
2
3
4
5
Perfectly
19
Q
A

Granulocyte: Neutrophil

How well did you know this?
1
Not at all
2
3
4
5
Perfectly
20
Q
A

Granulocyte: Eosinophil

How well did you know this?
1
Not at all
2
3
4
5
Perfectly
21
Q
A

Granulocyte: Basophil

How well did you know this?
1
Not at all
2
3
4
5
Perfectly
22
Q

What is the function of Neurophils

A

To fight bacterial infections and to be the 1st line of defense for the body.

How well did you know this?
1
Not at all
2
3
4
5
Perfectly
23
Q

What is the function of Eosinophil

A

Increases during parasites infection and allergies

How well did you know this?
1
Not at all
2
3
4
5
Perfectly
24
Q

What is the function of Basophils

A

Releases histamine and heparin to mediate inflammatory responses.

How well did you know this?
1
Not at all
2
3
4
5
Perfectly
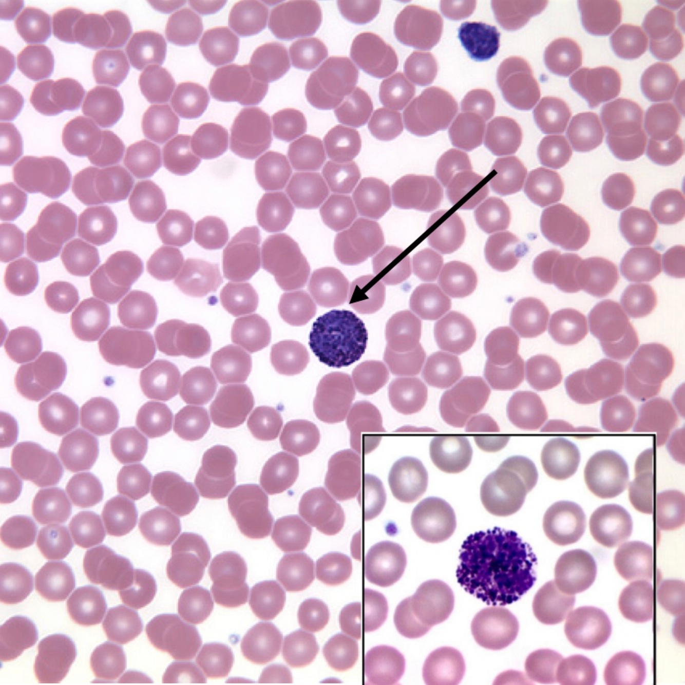
25
What are the two types of agranulocytes
Lymphocytes and monocytes
26
What percentage of WBCs are lymphocytes?
25-33%
27
What percentage of WBCs are monocytes?
3-8%
28
Lymphocyte
29
What is the function of a lymphocyte?
Cell mediated or antibody mediated immunity.
30
Monocytes
31
What is the function of monocytes?
To become wandering macrophages that enlarge in size
32
Thrombocytes
Platelets
33
What is the function of thrombocytes?
Blood coagulation
34
Hypoxia
Low O2 at cellular level. Stimulating production of RBCs.
35
Anemia
Below normal level of O2 carrying RBCs.
36
Anterior
Front
37
Posterior
Back
38
Superior
Above
39
Inferior
Below
40
Ascending
Upwards
41
Descending
Downward
42
Coronary
Pertaining to the heart
43
Pulmonary
Pertaining to the lungs
44
Sulcus
Grooves
45
Sinus
Space or cavity
46
Auricle
Ear-like
47
Inter I.e intervantricular
In between
48
Pericardium
Double walled sac the encloses the hear
49
Epicardium
Outer protective wall of the heart
50
Myocardium
Walls of the heart
51
Endocardium
Walls of the chambers of the heart
52
A
Right atrium
53
B
Right ventricle
54
C
Left atrium
55
D
Left ventricle
56
A
Superior vena cava
57
B
Aortic arch
58
C
Right atrium
59
D
Pulmonary artery
60
E
Right ventricle
61
F
Pulmonary veins
62
G
Inferior vena cava
63
H
Left atrium
64
I
Left ventricle
65
I
Left ventricle
66
A
Pulmonary valve
67
B
Tricuspid valve
68
C
Mitral valve
69
D
Aortic valve
70
A
Right coronary artery
71
B
Left coronary artery
72
C
Left anterior descending artery
73
A
Fossa ovalis
74
B
Pectinate muscles
75
C
Chordae tendineae
76
The cardiac conducting system consists of…
SA and AV nodes AV bundle and branches Purkinje fibers
77
What does EKG stand for
Electrocardiogram
78
SA node
Sinoatrial node
79
AV node
Atrioventricular node
80
A
SA node
81
B
AV node
82
C
Bachmann’s bundle
83
D
Left bundle branch
84
E
Right bundle Branch
85
Describe the Sinoatrial Node (SA node)
Pacemaker Cluster of cells at the top of the right atrium Self depolarizes Regulated by the autonomic nervous system
86
Describe the Artioventricular node (AV node)
Transmits pulses that originate from the SA node to the ventricular of the heart Delays impulses to allow the atria to have enough time to fully eject blood into the ventricles
87
What is the Arioventricular Bundle.
Bundle of nerves at the top of the atrioventricular septum. The AV bundle splits into two separate bundle branches that travel down the apex of the heart down the inter ventricular sputum to the purkinje fibers. It also transmits impulses from the AV node to the purkinje fibers
88
What are the purkinje fibers
A network of fibers that receives signals from the AV nod and simultaneously actives the left and right ventricles. Stimulates the myocardium of the ventricles. Rapid conduction allows for coordinated ventricular extraction.
89
What is an average resting heat rate?
70-75 beats per minute
90
What is Green?
The P wave
91
What is orange?
The Q wave
92
What is red?
R wave
93
What is purple?
S wave
94
What is blue?
T wave
95
What is the combination of Q, R, and S called and what happens during it
The QRS complex. Ventricle Depolarization
96
What happens during the T wave
Ventricular depolarization
97
What is the space between the T wave and the P wave called?
Quiescent period
98
What is systole
Heart muscle contracts pumping blood from the heart chambers to the arteries.
99
What is Diastole?
Heart muscle relaxes allowing chamber to fill with blood
100
What is the Lubb sound?
AV valves closing.
101
What is the Dubb
Semilunar valves closing
102
What happens during the P wave?
Atrial depolarization
103
What do arteries do?
Carry oxygenated blood away front he heart
104
What do veins do
Return deoxygenated blood to the heart
105
What is the pulmonary circuit
When the deoxygenated blood moves from the heart to the lungs
106
What is systemic circuit?
Heart receives oxygenated blood and pumps it to the body
107
What are the three concentrically arranged basic tunics or coats?
Tunica intima Tunica media Tunica adventitious
108
What is A
The Tunica intima
109
What is B
Tunica Media
110
What is C
Tunica adventitia
111
What are capillaries?
Blood vessels that connect arteries and veins. They are permeable and facilitates the exchange of gasses and interstitial fluid
112
Describe the Tunica Intima
I side and smooth. Consists of Simple squamous endothelium.
113
Describe the tunica media
Middle layer and thicker. Has elastic fibers and is smooth muscle.
114
Describe the tunica adventitia
Outermost layer. Consists of collagen and elastin fibrous connective tissue and has vasa vasorum
115
What is A
Vein
116
What is B
Artery
117
What is A
Tunica intima
118
What is B
Tunica Media
119
What is C
Tunica adventitia
120
Describe Large elastic arteries
Conducting arteries. Maintains constant pressure in the arterial system. It has a thick tunica media and collagen and elastin
121
What are some examples of Large (Conducting) arteries?
Aorta Brachiocephalic Common Carotid Subclavian Common Iliac
122
What are Medium Arteries?
Muscular arteries, distributes blood to specific regions of the body. It has an internal elastic Mina. The tunica media is almost all smooth muscle fibers and has a thin tunica adventitia
123
What are some examples of medium (Muscular) Arteries
Radial artery Femoral artery Splenic artery
124
What is A
Tunica adventitia
125
What is M
Tunica Media
126
What is the Arrow
Tunica intima
127
Describe arterioles
No internal/external elastic lamina. Has 1-5 layers of smooth muscle, lacs elastin, and has a thin tunica adventitia
128
What is A
Arteriole
129
What is B
Venule
130
What is the arrow head pointing at
A very small arteriole
131
What are the arrowheads pointing at
Capillaries
132
What are venules
Diverge from capillary bed with a thin tunica media and tunica adventitia
133
What are the arrow heads pointing and and what is the function of it?
Valves. Only in veins and prevents the back flow of blood
134
What is an example of a large vein
Superior and inferior vena cava
135
What is A
Right common carotid
136
What is B
Right subclavian
137
What is C
Brachiocephalic
138
What is D
Left subclavian
139
What is E
Left common Carotid
140
Blood pressure
Pressure the blood exerts against the blood vessel wall
141
What is an average blood pressure?
120/80
142
What is cardiac output
The amount of blood ejected from the left ventricle into the aorta per min.
143
What is the technical term for a blood pressure cuff?
Sphygmomanometer
144
What determines blood pressure
Cardiac output, blood volume, and peripheral resistance
145
Vasoconstriction
Reaction to cold it restricts blood flow to the extremities so more blood and heat is kept closer to vital organs
146
Vasodilation
Reaction to heat, blood vessels open wider than normal to allow for more blood to go the the extremities and closer to the skin where hear can dissipate
147
Things that can cause a decrease in blood pressure
Heat Posture
148
Things that can cause an increase in blood pressure
Cold Drugs Exercise Posture
149
What are the purposes of the respiratory system?
Elimination of CO2 Gas exchange Passageway Humidifier Sensory system O2 supplier
150
What does the upper respiratory system consist of
Nose and pharynx
151
What does the upper respiratory system consist of
Larynx Trachea Bronchi And lungs
152
Conducting portion
System of interconnected cavities and tubes Exchanges gas with the atmosphere Nose to the terminal bronchioles
153
Respiratory Portion
Where gas changes with the blood Respiratory bronchioles to the alveoli
154
What does this image represent as a whole
The pharynx
155
What is A
Nasopharynx
156
What is B
Oropharynx
157
What is C
Laryngopharynx
158
What is the function of the pharynx
Passageway for air and food. Resonating chamber for voice production
159
Larynx
Conchs the pharynx with the trachea
160
What is A
Epiglottis
161
What is B
Hyoid bone
162
What is C
Thyroid Cartilage
163
What is D
Cricoid cartilage
164
What is called the “guardian of the airway”
Epiglottis
165
What is the Trachea
Tubular passageway for air and is anterior to the esophagus
166
What is the tracheobronchial tree
Trachea>Primary Bronchi>Secontary Bronchi> tershiary Bronchi> Bronchioles> Terminal Bronchioles> Respiratory Bronchioles> Alveoli
167
On the tracheobronchial tree, what is the conducting portion?
Trachea to the Terminal bronchioles
168
On the tracheobronchial tree, what is the Respiratory portion
Respiratory bronchioles to the Alveoli
169
What is 1
Trachea
170
What is 2
Primary Bronchi
171
What is 3
Secondary Bronchi
172
What is 4
Tertiary Bronchi
173
What is 5
Bronchioles
174
What is 6
Terminal Bronchioles
175
What is A
Terminal Bronchioles
176
What is B
Respiratory Bronchioles
177
What is C
Alveolar Ducts
178
What is D
Alveoli
179
What is E
Alveolar Sac
180
What cartilage does the Trachea have
C-Shaped
181
What cartilage does the Primary bronchi have
Complete ring
182
What cartilage does the secondary bronchi have
Irregular plates
183
What cartilage does the tertiary bronchi have
Irregular plates
184
What does the Bronchioles, terminal bronchioles, respiratory bronchioles, Alveolar ducts, and alveolar sac have
None
185
What is the top photo
Trachea
186
Terminal (top) and respiratory (bottom) Bronchioles
187
Goblet Cells are located in the …
Conducting portion