Midterm Lab Practicum Flashcards

(149 cards)

1
Q
A

Entamoeba histolytica trophozoite

How well did you know this?
1
Not at all
2
3
4
5
Perfectly
2
Q
A

Entamoeba histolytica cysts

How well did you know this?
1
Not at all
2
3
4
5
Perfectly
3
Q

What is the life cycle of Entamoeba histolytica?

A

Cyst –> Excystation in small intestine –> metacystic amoeba

How well did you know this?
1
Not at all
2
3
4
5
Perfectly
4
Q

When is the infective stage of Entamoeba histolytica?

A

Cyst stage

How well did you know this?
1
Not at all
2
3
4
5
Perfectly
5
Q

Where are Entamoeba histolytica trophozoites found?

A

Large intestine and invade mucosa

How well did you know this?
1
Not at all
2
3
4
5
Perfectly
6
Q

How do you get infected with Entamoeba histolytica ?

A

Drinking fecal contaminated water

How well did you know this?
1
Not at all
2
3
4
5
Perfectly
7
Q

What is distribution of Entamoeba histolytica?

A

Worldwide distribution, but most common in tropical and subtropical areas

How well did you know this?
1
Not at all
2
3
4
5
Perfectly
8
Q

What is the source of Entamoeba histolytica?

A
Contaminated water, laundry, etc
Contaminated food (vegetables, soil)
Mechanical contamination (medical equipment)
How well did you know this?
1
Not at all
2
3
4
5
Perfectly
9
Q

What is pathology of Entamoeba histolytica?

A

Trophozoites adhere to epithelium –> forming an ulcer
Colitis (inflammation of colonic wall)
Liver lesions / abcess

How well did you know this?
1
Not at all
2
3
4
5
Perfectly
10
Q

Symptoms of Entamoeba histolytica

A

Diahrrea, dysentery, cramps, vomiting, malaise, abdominal discomfort

How well did you know this?
1
Not at all
2
3
4
5
Perfectly
11
Q

How do you diagnose Entamoeba histolytica?

A

Microscopy of pus or aspirate, stool examination

How well did you know this?
1
Not at all
2
3
4
5
Perfectly
12
Q

What is prognosis of Entamoeba histolytica?

A

90% recovery after treatment –> Metronidazole (10-25 mg/kg, PO,
bid x 1 wk)

Body will repair itself but repaired
connective tissue in bowel will not
function.

How well did you know this?
1
Not at all
2
3
4
5
Perfectly
13
Q
A

Entamoeba histolytica trophozoite

How well did you know this?
1
Not at all
2
3
4
5
Perfectly
14
Q
A

Entamoeba histolytica cyst

How well did you know this?
1
Not at all
2
3
4
5
Perfectly
15
Q

What is life cycle of Entamoeba coli?

A

Life cycle and location identical to Entamoeba histolytica

How well did you know this?
1
Not at all
2
3
4
5
Perfectly
16
Q

Is Entamoeba coli pathogenic?

A

No –> feeds on bacteria; does not invade tissue

How well did you know this?
1
Not at all
2
3
4
5
Perfectly
17
Q

Which is E. coli and which is E. histolytica?

A

Top –> E. coli

Bottom –> E. histolytica

How well did you know this?
1
Not at all
2
3
4
5
Perfectly
18
Q
A

Entamoeba coli cysts

How well did you know this?
1
Not at all
2
3
4
5
Perfectly
19
Q

How can you prevent Entamoeba infections?

A

1.Boil drinking water
2. Wash fruits and vegetables in clean water before eating
3. Detection and treatment of carriers and prohibit them
from food handling
4. Health education

How well did you know this?
1
Not at all
2
3
4
5
Perfectly
20
Q

What are the two main diseases Trypanosoma spp cause?

A

Sleeping sickness, Chaga’s dz

How well did you know this?
1
Not at all
2
3
4
5
Perfectly
21
Q

What is the main dz Plasmodium spp cause?

A

Malaria

How well did you know this?
1
Not at all
2
3
4
5
Perfectly
22
Q
A

Trypanosoma spp.:
•Sleeping sickness
•Chagas disease

How well did you know this?
1
Not at all
2
3
4
5
Perfectly
23
Q
A

Plasmodium spp.

•Malaria

How well did you know this?
1
Not at all
2
3
4
5
Perfectly
24
Q
A
  • Leishmania spp.

* Leishmaniasi

How well did you know this?
1
Not at all
2
3
4
5
Perfectly
25
Trichomonas spp. | •Trichomoniasis
26
Giardia spp. | •Giardiasis
27
What kind of hosts and vectors do Trypanosoma spp have?
vertebrate host and | invertebrate vector
28
``` Trypanosomiasis, African Sleeping sickness (African, Old World) ```
* Trypanosoma brucei gambiense * Trypanosoma brucei rhodesiense * Trypanosoma brucei brucei (cattle)
29
Trypanosome life cycle
Tstese fly takes blood meal --> injects trypomastigotes into human blood stream --> Trypomastiogotes multiply via binary fission --> fly takes blood meal (cycle repeats)
30
Diagnosis of Trypanosomiasis
Detection and evidence in blood | Antibody detection
31
What trypanosome causes Chagas disease?
•Trypanosoma cruzi
32
Life cycle of Trypanosoma cruzi
Kissing bug takes blood meal --> trypomastigotes enter human bloodstream --> amastiogotes multiply via binary fission in infected tissues --> amastiogotes transform into trypomastiogotes --> Kissing bug takes blood meal (cycle repeats)
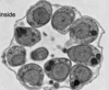
33
Trypanosoma | Amastigote pseudocyst in cardiac muscle
34
How is Chaga's disease diagnosed?
Finding of trypomastigotes in circulating blood or cerebral spinal fluid (Acute) Serology Molecular detection
35
Prevention of African Trypanosomiasis
•Control of tsetse fly population (most important preventive measure) by wide spraying of insecticides, traps and baits impregnated with insecticides. •No vaccine is available.
36
Prevention of American Trypanosomiasis
•Application of insecticide to control the vector bug. •Personal protection using insect repellant and mosquito net. •Improvement in rural housing and environment to eliminate breeding places of bugs.
37
What does Leishmania spp cause?
Causes visceral, mucocutaneous, and cutaneous leishmaniasis in dogs, people, and other animals
38
What is Leishmania transmitted by?
primarily by sandflies (vector)
39
Which are Leishmania and which are Trypanosoma?
Left --> Leishmania | Right --> Trypanosoma
40
Leishmania life cycle
Sandfly takes blood meal --> promastigotes are phagocytized --> transform into amastiogotes --> multiply and infect other cells --> sandfly takes blood meal --> ingestion of parasatized cell --> amastiogotes transform into promastiogotes in the gut
41
Leishmania symptoms
Some people have a silent infection, without any symptoms or signs. •After the initial bite from an infected sandfly, symptoms evident as quick as 10 days, and up to a year. •Usually is two to four months. `
42
Leishmania diagnosis
LD bodies, culture, molecular diagnosis
43
Prvention of Leishmania
Use of insect repellants, spraying of insecticides and screening are advisable. •Forest workers should use protective clothing and other protective measures.
44
Giardia duodenalis
45
Giardia life cycle
46
Giardiasis
47
Giardiasis Diagnosis
* Stool examination * Serology * Molecular detection
48
Giardiasis Prevention
•Proper disposal of waste water and feces. •Practice of personal hygiene like handwashing before eating and proper disposal of diapers. •Prevention of food and water contamination. •Community chlorination of water is ineffective for inactivating cysts. •Boiling of water and filtration by membrane filters
49
What does Trichomonas vaginalis cause?
vaginitis in women
50
How is Trichomonas vaginalis transmitted?
•Transmitted by sexual intercourse, with men playing the role of asymptomatic carrier.
51
Trichomoniasis life cycle
Trophozoite in vaginal secretion --> multiplies by binary fission --> trophozoite in vagina/urethra
52
Trichomoniasis
53
Diagnosis of Trichomoniasis
``` symptoms, •wet mount, •permanent stain, •culture, •serology, •molecular diagnosis ```
54
Prevention of Trichomoniasis
* Avoidance of sexual contact with infected partners | * use of barrier method during intercourse
55
Apicomplexa
Parasites of cells: Intracellular
56
What spp causes malaria?
Plasmodium
57
What is malaria vector?
Mosquitos
58
Malaria life cycle
Transmission to human --> sprozoites enter liver --> mitotic replication --> cell ruptures --> transmission to mosquito --> sporozoites develop
59
Where do sporozoites and merozoites of malaria come from?
1. Sporozoites injected by mosquito bite 2. Reach the liver (damage the cells, multiply asexually and come back into the blood stream) 3. Merozoites reach the RBC and transform in Trophozoite
60
Malaria --> Merozoites inside RBC
61
Malaria trophozoite inside RBC
62
Plasmodium vivax
63
P. vivax gametocytes
64
P. vivax schizonts
65
Malaria sporozoite
66
Symptoms of Malaria
Fever, nausea, vomitting, anemia and jaundice, kidney failure, death
67
Malaria diagnosis
Microscopic evidence Blood smear-stained with Giemsa or Wright Molecular diagnosis-PCR (spp. specific) Antibody detection Antigen detection
68
Malaria prevention
``` Full body clothing Sleeping in insecticide-covered mosquito nets Using insect sprays Empty out water collections (Anopheles spp. Lay their eggs in small collections of water) ```
69
Where is Eimeria found?
In digestive tracts of herbivores or carnivores causing diarrhoeal disease
70
Three stages of coccidosis life cycle
1. Sporulation: sporulated oocyst formation (IS) Oocyst enclosing sporocyst, each containing sporozoites 2. Infection and merogony (schizogony) (Asexual reproduction): meront (schizont) formation, containing merozoites 3. Gametogony and oocyst formation (Sexual reproduction)
71
Eimeria / coccidiosis
72
Eimeria / coccidiosis
73
Coccidiosis symptoms
Diarrhea (chronic-acute) Bloody diarrhea, tenesmus Recurrent episodes of illness in successive populations of domestic and wild animals In calves: besides intestinal manifestation, nervous coccidiosis (convulsions, nystagmus, blindness, death) Infection could remain inapparent, but oocysts may be shed for several weeks or months
74
Coccidiosis diagnosis
Identification if oocyst in host’s feces Gross and microscopic lesions in DT Demonstration of sexual and asexual life stages in smear or histologic techniques.
75
Coccidosis prevention
Cleaning of the facilities regularly Ensuring good water quality and food Drying and exposure to sunlight aids in the die-off of oocysts
76
Comparison
77
Early stage trophozoites
78
What does Helminth mean?
General term meaning worm
79
Trematodes
Flukes, flatworms
80
Cestodes
Tapeworms
81
Nematodes
Roundworms
82
Trematode general life cycle
Eggs --> Miracidium --> Redia --> Sporocyst --> Cecaria --> Metacercaria --> adult
83
What are the hosts of trematodes?
1st intermediate host --> gastropod (snail) | Definitive host --> always a vertebrate
84
Fasciola hepatica
Sheep liver fluke
85
What is definitive host of Fasciola hepatica ?
sheep, but also found in biliary tract in human
86
Fasciola hepatica
87
Fasiola hepatica egg
88
Fasciola hepatica adult
89
Fasciola spp life cycle
Eggs passed in feces --> eggs embryonated in water --> miracidia hatch from eggs --> go to snail IH --> Sporocyste --> rediae --> cercariae --> cercaria go on aquatic vegitation --> ingested by DH --> flukes excyst and migrate
90
Fasciola hepatica pathogenesis
``` Mechanical damage Severe inflammatory response fever, pain, eosinophilia, hepatomegaly biliary obstruction, cirrhosis, jaundice, cholelithiasis, anemia ```
91
Fasciola hepatica diagnosus
Stool microscopy, bloodsmear
92
Fasciola hepatica Prevention and control
``` Health education Control of snails Proper disposal of feces Proper disinfection of watercresses and other vegetations before consumption. ```
93
Paragonimus westermani
Oriental lung fluke
94
What is intermediate host of Paragonimus westermani?
Crab or crayfish
95
Paragonimus westermani life cycle
- ->1DH, 2 IH - ->DH: human, and crab-eating mammals - ->1st IH: freshwater snail Semisulcospira and Brotia genus - ->2nd IH: freshwater crab or crayfish - ->Infective form: metacercariae encysted in crab or crayfish - ->Mode of infection: ingestion of metacercariae
96
Paragonimus westermani Morphology
97
Paragonimus westermani Pathogenesis and Clinical Features
-->Pulmonary features: lies in cystic spaces by fibrous capsule -->In communication with bronchi -->Inflammation -> peribronchial lesions, abscesses, eosinophilia. -->Cough, chest pain, hemoptysis. Sputum with eggs -->Extrapulmonary features: -->Abdominal paragonimiasis -->Cerebral paragonimiasis
98
Paragonimus westermani Diagnosis
- ->Microscopy: demonstration of the eggs in sputum or feces - ->Serology - ->Imaging (chest X-ray)
99
Paragonimus westermani Prevention and control
``` -->Adequate cooking of crabs and crayfish and washing the hands after preparing them for food. -->Treatment of infected persons. -->Disinfection of sputum and feces. -->Eradication of molluscan hosts. ```
100
Clonorchis sinensis
Oriental liver fluke
101
Clonorchis sinensis distribution
Asia
102
What dies Clonorchis sinensis cause?
hepatic dz --> classified as carcinogenic
103
Clonorchis sinensis
104
Clonorchis sinensis
105
Clonorchis sinensis Morphology
106
Clonorchis sinensis Life cycle
-->1 DH, 2 IH -->DH: humans, dogs, and other fish-eating canines act as reservoir host -->1st IH: snail -->2nd IH: freshwater fish -->Infective form: metacercaria larva in freshwater fish -->Mode of infection: by eating undercooked fish carrying metacercaria
107
Clonorchis sinensis Pathogenesis and Clinical Features
-->Many asymptomatic infections -->Damage and inflammatory response due to migration of the larva up the bile duct -->Cholangitis by obstruction -->Fever, epigastric pain, diarrhea, hepatomegaly, jaundice Chronic: Calculus formation Cirrhosis Cholangiocarcinoma
108
Clonorchis sinensis Diagnosis
- ->Microscopy: eggs in feces or aspirated bile - ->Serological test - ->Imaging: US, X-ray
109
Clonorchis sinensis Prevention and control
- ->Proper cooking of fish - ->Proper disposal of feces - ->Control of snails
110
Cestodes
Tapeworms
111
Cestodes Key Concepts
Tape-like body; no body cavity or alimentary canal: absorb their nutrients through their tegument.
112
Where are cestode proglottids formed from?
Formed in the neck --> most distal segments are filled with embryonated eggs
113
Pseudophylidae
114
Cyclophylidae
115
Cestodes | General Life Cycle
-->Requires 1 to 3 hosts -->Both aquatic and terrestrial cycles -->Generally, invertebrate/vertebrate first intermediate host, and second/definitive vertebrate hosts -->Accidental hosts present -->First larval stage: Oncosphere -->Second and third larval stage: different names depending on the Order
116
Diphyllobothrium latum
“Fish tapeworm”, “broad tapeworm”
117
What is IH of Diphyllobothrium latum
cyclops and freshwater fish
118
Diphyllobothrium latum
119
Morphology
Diphyllobothrium latum -->Adult: up to 10 meters long (strobila with 3,000-4,000 proglottids) -->Fertilized eggs develop in uterus and are discharged through the uterine pore
120
Diphyllobothrium latum | Life cycle
• DH: human, dog, cat and other fish-eating mammals • 1st IH: freshwater copepod (Cyclops or Diaptomus) • 2nd IH: freshwater fish • Infective form: third stage larva (plerocercoid) • Mode of infection: ingestion of raw or undercooked fish containing plerocercoid larva
121
Diphyllobothrium latum | Pathogenicity and Clinical Features
-->Depends on the mass of the worm -->Infection could be asymptomatic -->Mechanical obstruction -->Abdominal discomfort, diarrhea, nausea, weakness, weight loss, anemia -->Strands of proglottids passed in feces -->Vitamin B12 deficiency
122
Diphyllobothrium latum | Diagnosis
- ->Stool microscopy looking for eggs and proglottids | - ->Serodiagnosis: coproantigen detection test
123
Diphyllobothrium latum | Prevention
- ->Proper cooking of fish - ->Deep freezing of fish if it is to be consumed raw - ->Prevention of fecal pollution of natural waters - ->Periodical deworming of pet dogs and cats
124
Echinococcus spp.
“Dog tapeworm”, “hydatid worm”
125
Echinococcus granulosus | Key Concepts
• Causes hydatid cyst in human • Small, compared with other cestodes • Larval form is called hydatid cyst (filled with fluid)
126
Echinococcus multilocularisKey Concepts
``` • Causes alveolar or multilocular hydatid disease in human • DH: foxes, dogs and cats • Rodents are the main IH • Liver is the most common location • Pain, obstructive jaundice • Surgery resection, and tx with albendazole ```
127
Echinococcus granulosus
128
Echinococcus granulosus
129
Echinococcus granulosus | Life cycle
• DH: dog, wolf, fox... • IH: sheep and cattle • Human acts as an accidental intermediate host • Human gets infection after ingestion of the eggs: handlimg infected dogs, or by eating raw vegetables or other contaminated food
130
Echinococcus granulosus | Pathogenicity and Clinical Features
* Most of the cases, asymptomatic * Pressure effect by enlarging cyst * Hepatomegaly, pain, obstructive jaundice * Lung, kidney, and even cerebral locations
131
Echinococcus granulosus | Diagnosis
``` • Imaging • CT • US • MRI • Ex. of the cyst fluid looking for _____ (lung, kidney) • Serodiagnosis • Molecular diagnosis ```
132
Echinococcus granulosus | Prevention
-->Ensuring pet dogs do not eat animal carcass or offal -->Periodical deworming of pet dogs -->Personal hygiene after touching dogs -->Alveolar echinococcosis can be prevented by avoiding contact with wild animals such as foxes, coyotes, and dogs and their fecal matter and by limiting the interactions between dogs and rodent populations.
133
Taenia spp.
“Beef tapeworm”, “pork tapeworm”
134
Taeniasis | Key points
-->Human is DH for T. solium (pork tapeworm) and T. saginata (beef tapeworm) -->Taenia multiceps DH: dog, wolf, fox IH: herbivores Human acts as an accidental host (ingestion of food contaminated with dog feces with eggs -->Larval stage is called coenurus, located in the CNS causing neurological disorders -->T. solium larval stage called cysticercus, cause cysticercosis in humans
135
Taenia spp.
136
Taenia spp.
137
Taenia spp.
138
Taenia solium and T. saginata | Distribution and location
- ->Worldwide (religion, vegetarians) | - ->Adults are in small intestine
139
Taenia solium and T. saginata | Life cycle
* DH: human * IH: pig or cow * Infective stage: cysticercus and eggs
140
Taenia solium and T. saginata Life cycle
141
Taenia solium and T. saginata | Pathogenicity and Clinical Features
• Intestinal taeniasis (both): surprisingly, little inconvenience. If symptomatic, digestive. • Cysticercocis: • Any organ or tissue • Inflammatory response, fibrosis, death of the larva and calcification. • Subcutaneous nodules (asymptomatic) • Muscular cys.: myositis • Neurocysticercosis: epilepsy, intracranial tension, psychiatric disturbances, behavioral disorders • Ocular cys.: blurred vision, loss of vision, uveitis, iritis, conjunctivitis.
142
Taenia spp. | Prevention
- ->Inspection for cysticerci in slaughterhouse in beef and pork - ->Avoidance of eating raw or undercooked meat (56C x 5 min) - ->Proper disposal of feces - ->Detection and treatment of persons harboring adult worm
143
Acanthocephala
Thorny headed worms
144
Hosts of Acanthocephala
DH: vertebrates IH: arthropods
145
Acanthocephala Life cycle
* Indirect: aquatic or terrestrial arthropod as IH | * Egg -> Acanthor -> Acanthela -> Cystacanth -> adult
146
Morphology of Acanthocephala
Top section --> Probiscus Middle section --> neck Bottom section --> Trunk
147
Acanthocephala
148
Moniliformis moniliformis
* DH: rodents, carnivores | * IH: various beetles and cockroaches
149
Macracanthorhynchus hirudinaceus
* DH: pigs, wild boar | * IH: various dung beetles and water beetles