Midterm Review Flashcards

(63 cards)

1
Q

Describe the radiographic findings of a dentigerous cyst:

A
  1. consistency widened follicular space of greater 3 mm
  2. well-delineated radiolucency with corticated borders
How well did you know this?
1
Not at all
2
3
4
5
Perfectly
2
Q

With a dentigerous cyst, the cyst lining arises from remnants of the:

A

dental follicle

How well did you know this?
1
Not at all
2
3
4
5
Perfectly
3
Q

Accounts for 20% of jaw cysts:

A

dentigerous cyst

How well did you know this?
1
Not at all
2
3
4
5
Perfectly
4
Q

Describe the age/sex/site most common for dentigerous cyst:

A
  1. highest incidence in 20s & 30s
  2. most common in mandibular 3rd molars and maxillary canines and can affect any impacted tooh
How well did you know this?
1
Not at all
2
3
4
5
Perfectly
5
Q

Describe the possible treatments for dentigerous cysts:

A
  1. enucleate
  2. degree of surgery is dependent on size of tumor
  3. potential for degeneration of the cyst lining to an ameloblastoma or squamous cell carcinoma
How well did you know this?
1
Not at all
2
3
4
5
Perfectly
6
Q

What are potential risks for a dentigerous cyst?

A

ameloblastoma or squamous cell carcinoma

How well did you know this?
1
Not at all
2
3
4
5
Perfectly
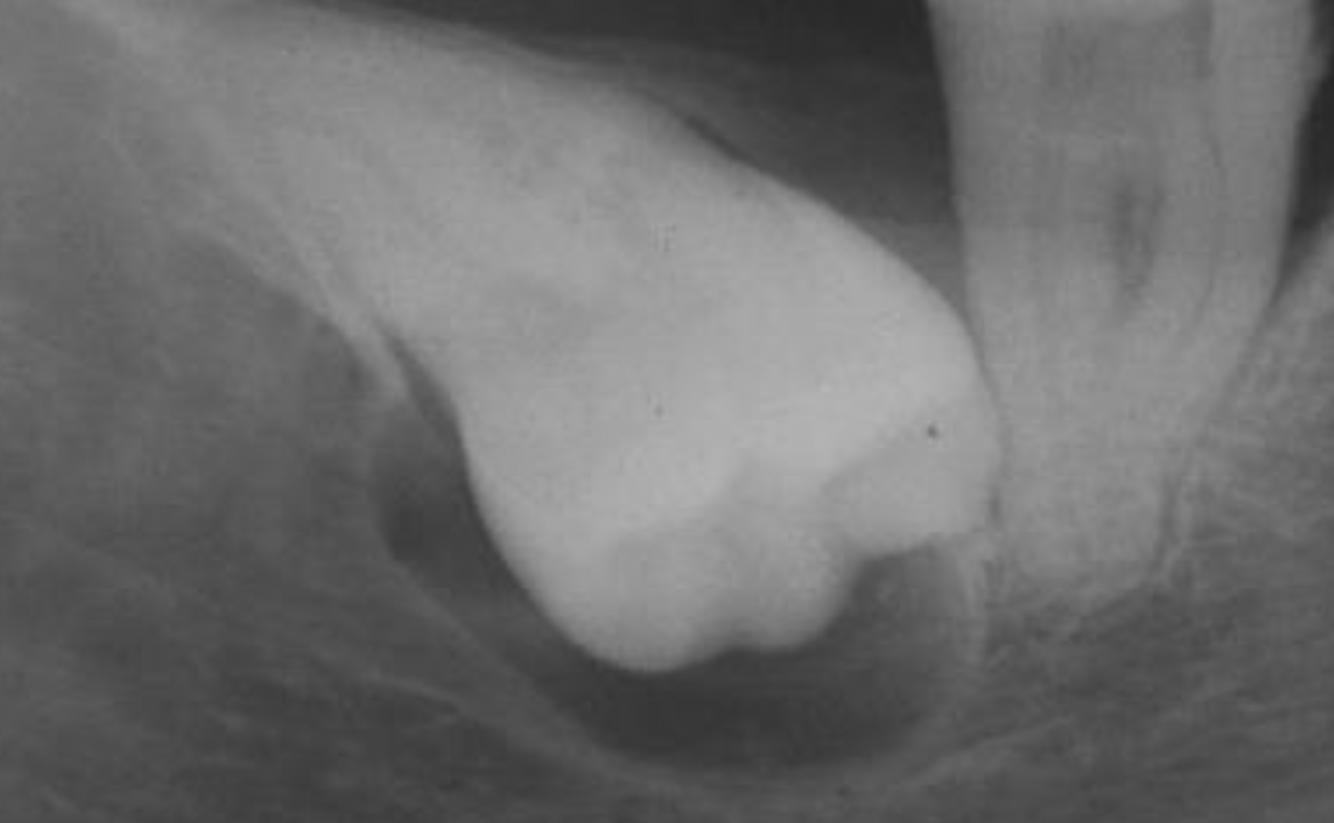
7
Q
A

dentigerous cyst

How well did you know this?
1
Not at all
2
3
4
5
Perfectly
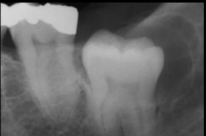
8
Q
A

dentigerous cyst

How well did you know this?
1
Not at all
2
3
4
5
Perfectly
9
Q
A

dentigerous cyst

How well did you know this?
1
Not at all
2
3
4
5
Perfectly
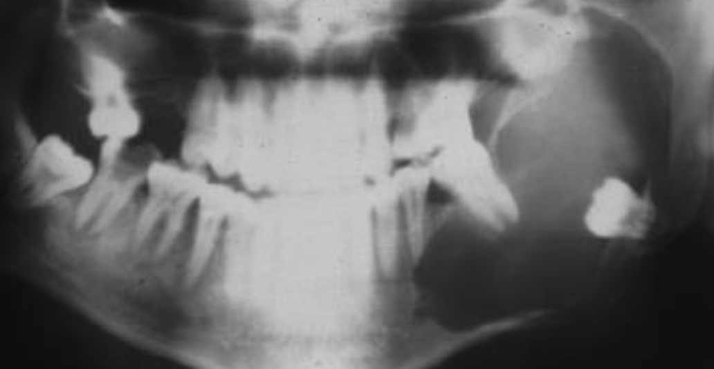
10
Q
A

expansion of dentigerous cyst

How well did you know this?
1
Not at all
2
3
4
5
Perfectly
11
Q

Presents as a soft fluid filled swelling of crestal mucosa in an area of an eruption tooth:

A

eruption cyst

How well did you know this?
1
Not at all
2
3
4
5
Perfectly
12
Q

An eruption cyst often has ____ coloration due to ___

A

blueish; trauma creating blood in cystic fluid

How well did you know this?
1
Not at all
2
3
4
5
Perfectly
13
Q

Radiographically for an eruption cyst you may see:

A

lack of crystal alveolar bone because of position of erupting crown and cyst near crest

How well did you know this?
1
Not at all
2
3
4
5
Perfectly
14
Q

Age/sex/site for an eruption cyst:

A
  • less than 10 years of age in the mixed dentition stage
  • most common in the mandibular molar region
How well did you know this?
1
Not at all
2
3
4
5
Perfectly
15
Q

Management for an eruption cyst include:

A
  1. often rupture sponatenously
  2. some may require simple exicsion
How well did you know this?
1
Not at all
2
3
4
5
Perfectly
16
Q
A

eruption cyst

How well did you know this?
1
Not at all
2
3
4
5
Perfectly
17
Q
A

eruption cyst

How well did you know this?
1
Not at all
2
3
4
5
Perfectly
18
Q

a mixed odontogenic tumor:

A

amelobalstic fibroma

How well did you know this?
1
Not at all
2
3
4
5
Perfectly
19
Q

radiographically- an ameloblastic fibroma may be seen as:

A

pericoronal radiolucency associated with a developing tooth:

How well did you know this?
1
Not at all
2
3
4
5
Perfectly
20
Q

age/sex/site most common for an ameloblastic fibroma:

A
  1. 70% of cases are less than 20 years old
  2. mean age 14-15.5 years
  3. highest incidence in mandibular molar to premolar region
How well did you know this?
1
Not at all
2
3
4
5
Perfectly
21
Q

Describe the management for an ameloblastic fibroma:

A

enucleation with 20% recurrence

How well did you know this?
1
Not at all
2
3
4
5
Perfectly
22
Q

a mixed odontogenic tumor, similar to amelobastic fibroma but has mineralized stroma:

A

ameloblastic fibrodontoma

How well did you know this?
1
Not at all
2
3
4
5
Perfectly
23
Q

What happens if mineralization is high in an amelobasltic fibroodontoma

A

radiopaque flecks may be evident radiographically

How well did you know this?
1
Not at all
2
3
4
5
Perfectly
24
Q

Radiographically how does an ameloblastic fibroodontoma appear?

A

pericoronal radiolucency associated with a developing tooth with radiopaque flecks in the lumen

How well did you know this?
1
Not at all
2
3
4
5
Perfectly
25
Age/sex/site for an ameloblastic fibroodontoma:
- mean age 15 years - posterior mandibule
26
Treamtnent for an amelobalstic fibroodontoma:
must be differentiated from odontoameloblastoma as the latter is more aggressive
27
ameloblastic fibroma
28
ameloblastic fibroma
29
ameloblastic fibroma
30
ameloblastic fibroma
31
ameloblastic fibroodontoma
32
ameloblastic fibroodontoma
33
ameloblastic fibroodontoma
34
Rare tumor that must be differentiated from ameloblastic fibroodontoma as it is more aggressive and requires surgical resection:
odontoameloblastoma
35
Describe the radiographic appearance of odontoameloblastoma:
1. expansive with destruction of adjacent bone 2. rudimentary tooth-like structures similar to complex odontoma
36
Age/sex/location for odontoameloblastoma:
teens & children mainly in mandible
37
3-7% of odontogenic tumors:
adenomatoid odontogenic tumor
38
histologically a cross between a dentigerous cyst and an ameloblastoma
adenomatoid odontogenic tumor
39
odontogenic epithelium is arranged in duct-like glandular array:
adenomoatoid odontogenic tumor
40
Consistently widened follicular space of greater than 3mm if associated iwht crown of impacted teeth (75percent of cases are pericoronal)
adenomatoid odontogenic tumor
41
Radiographically how do we see an adenomatoid odontogenic tumor?
well delineated radiolucency with corticated border (usually greater than 3 cm)
42
Age/sex/location most common for adenomatoid odontogenic tumor
Females to males 2:1 adolescents (10-19 years) anterior jaws more common in maxilla
43
Treament of adenomatoid odontogenic tumor:
enucleation and recurrence
44
adenomatoid odontogenic tumor
45
adenomatoid odontogenic tumor
46
adenomatoid odontogenic tumor
47
adenomatoid odontogenic tumor
48
adenomatoid odontogenic tumor
49
Approximately 50% of pindborg tumors occur with:
impacted teeth
50
radiographically describe a pindborg tumor may appear:
1. radiopaque flecks due to calcified amyloid 2. breakdown product of neoplastic epithelial cells (these mineralizations are called Leisengangs rings)
51
Age/sex/site most common for pindborg tumors:
mean age of 40 years mandible: maxilla 2:1 poster mandible
52
Pindborg tumor treatments:
large lesion require en bloc resections
53
Pindborg tumor =
calcifying epithelial odontogenic tumor
54
pindborg tumor
55
pindborg tumor (calcifying epithelial odontogenic tumor)
56
pindborg tumor
57
Extremely variable presentation with approximately 2-16% behaving as neoplasms:
gorlin cyst
58
Gorlin cyst=
calcifying odontogenic cyst
59
Gorlin cyst size:
2cm -12 cm
60
Gorlins cysts are commonly seen in ____ population and ___ area:
- occur at any age but commonly diagnosed in teens & young adults - no sex favors - 65% in anterior maxilla
61
Treatment for gorlins cyst:
simple enucleation with minimal recurrence
62
Gorlins cyst
63