Misc Flashcards

(21 cards)

1
Q

How would you pre-operatively assess/plan for a patient with OSCC scheduled for surgery and post-operative radiotherapy?

A
  1. Patient education on potential oral side effects and strategies to prevent/mitigate occurrence
  2. Comprehensive oral examination several weeks before radiation begins to provide enough time if invasive procedures are necessary.
  3. Development of a dental treatment plan that anticipates possible complications during radiation
  4. Extractions done 10-21 days earlier to avoid risk of ORN.
  5. OH and dietary counselling
  6. Fluoride treatment
How well did you know this?
1
Not at all
2
3
4
5
Perfectly
2
Q

What structures are affected by radiotherapy?

A
  • Skin- long term
  • Mucosa
  • Salivary glands- long term
  • Bone- long term
How well did you know this?
1
Not at all
2
3
4
5
Perfectly
3
Q

What are side effects of radiotherapy dependent on?

A
  • Dose
  • Technique
  • Tumour location
How well did you know this?
1
Not at all
2
3
4
5
Perfectly
4
Q

What are issues with xerostomia?

A
  • Dental/mucosal issues
  • Difficulty eating
  • Infection
  • Mucosa becomes atrophic
How well did you know this?
1
Not at all
2
3
4
5
Perfectly
5
Q

When is bone marrow recovered after chemotherapy?

A

3-4 weeks

How well did you know this?
1
Not at all
2
3
4
5
Perfectly
6
Q

How do we classify bone disorders on radiograph?

A
  • Anatomic
  • Artifact
  • Pathologic
How well did you know this?
1
Not at all
2
3
4
5
Perfectly
7
Q

What condition does sterile bone inflammation mimic?

A

Mimic osteomyelitis on imaging and biopsy

How well did you know this?
1
Not at all
2
3
4
5
Perfectly
8
Q

What are some autoinflammatory disorders of bone associated with?

A

Chronic recurrent multifocal osteomyelitis

(skin, gut disorders OR NSAIDS, MTX, antiresorptive agents)

How well did you know this?
1
Not at all
2
3
4
5
Perfectly
9
Q

How can we prevent complaints being made?

A
  • Routine practice
  • Practice within limits
  • Clear communication
  • Seek assistance (profession association, peers, professional indemnity insurer)
  • Maintain good records
How well did you know this?
1
Not at all
2
3
4
5
Perfectly
10
Q

What is the role of national boards?

A
  • Protect public by ensuring only trained and qualified health practitioners who are suitably trained and qualified to practice.
  • Facilitate provision of high quality education and training of health practitioners
  • Assessment of trained health practitioners
How well did you know this?
1
Not at all
2
3
4
5
Perfectly
11
Q

What are reasons for unsuitability to hold general registration?

A
  • Impairment
  • Criminal hx
  • Part 8 proceedings
  • English competency
  • Suspended or cancelled elsewhere
  • Not sufficient recent of practice
How well did you know this?
1
Not at all
2
3
4
5
Perfectly
12
Q

What are the actions open to the board?

A
How well did you know this?
1
Not at all
2
3
4
5
Perfectly
12
Q

What are the actions open to the board?

A
How well did you know this?
1
Not at all
2
3
4
5
Perfectly
13
Q

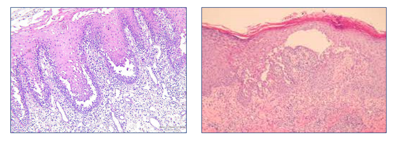
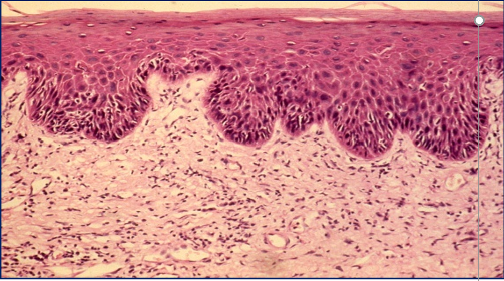
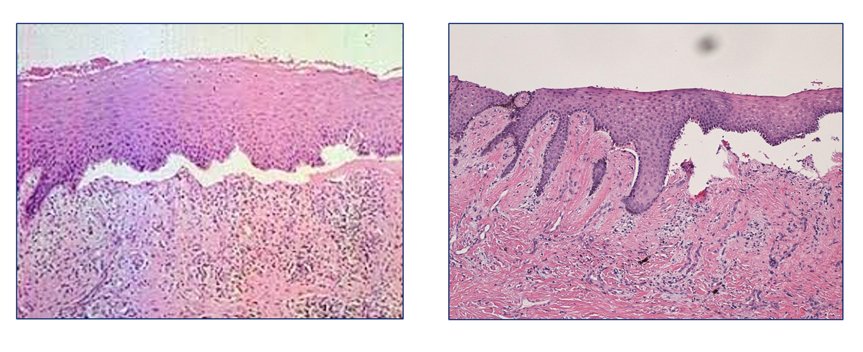
How to tell difference btw MM pemphigoid and Pemphigus Vulgaris on histological slide

A

MM Pemphigoid will be seen in linear spaces UNDER the basal cells

  • Btw the basement membrane and epithelium
How well did you know this?
1
Not at all
2
3
4
5
Perfectly
14
Q

How to tell difference btw MM pemphigoid and Pemphigus Vulgaris on immunofluorescence

A

MM Pemphigoid will be linear along the junction of basement tissue and epithelium

Pemphigus vulgaris will be intracellular → between cells

How well did you know this?
1
Not at all
2
3
4
5
Perfectly
15
Q
A

MM pemphigoid

16
Q
A

Pemphigus vulgaris

17
Q
A

Pemphigus vulgaris

18
Q
A

Erythroleukoplakia

19
Q
A

Dysplasia

  • Tear shaped rete ridges
  • Abnormally superficial mitosis
  • Increased number of mitotic figures
20
Q

What questions would you ask this patient to come to a diagnsosis? (5)

A
  • Have you started taking any medications recently?
    • (anti-things, NSAIDS, anti-hypertensives)
  • Do you have any skin lesions present on your wrists/ankles?
  • Do you smoke?
  • Does it hurt? If so, what do you take to relieve?
  • When did it appear?