Misc Flashcards

(34 cards)

1
Q

Maxillary canine impaction

A
  • Max canine impaction affects ~2% of pop
  • 2/3 cases are palatal, 1/3 labial (arch length discrepancy is thought to be an etiology factor for labially impacted canine)

Preventive extractions of primary canines before the age 11 can normalize permenant canine eruption in:
- 91% cases when the crown is distal to the lateral incisor’s midline
- 64% cases when the crown is mesial to the lateral incisor’s midline

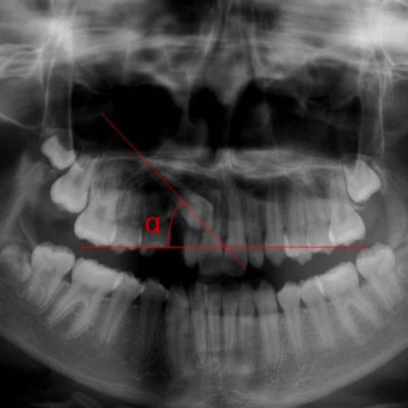
Panormic: angulation of the canine to the occlusal plane is measured. If > or equal to 65 deg, canine is 26x more likely to be labially impacted

How well did you know this?
1
Not at all
2
3
4
5
Perfectly
2
Q

Most common subtype of osteosarcoma in the jaws

A

Osteoblastic

All histologic subtypes have no prognostic value

How well did you know this?
1
Not at all
2
3
4
5
Perfectly
3
Q

Overall survival of osteosarcomas in the jaws

A
  • improved survival: younger age (<25yrs), smaller size (</equal 4cm), chondroblastic histo, absence of Mets, surgical resection with wide margins

Worse survival: age > 60, Mets, lack of intervention

How well did you know this?
1
Not at all
2
3
4
5
Perfectly
4
Q

Absolute contraindication to N2O gas

A

(Think air entrapment since N2O has higher diffusion coefficient. Diffuses into body cavities more so than Nitrogen diffuses out)

  • recent intraocular surgery
  • recent tympanoplasty
  • pneumothorax
  • bowel obstruction
  • pregnancy
How well did you know this?
1
Not at all
2
3
4
5
Perfectly
5
Q

Relative contraindication to N2O gas

A
  • increased ICP
  • recent/previous bleomycin tx (pulm toxicity & fibrosis)
  • Vit B12 def (megaloblastic anemia)
  • Methylenetetrahydrofolate reductase def
How well did you know this?
1
Not at all
2
3
4
5
Perfectly
6
Q

Vitamin B12 and N2O gas

A

Nitrous inactivates B12 (cobalamin) which is a cofactor for methionine synthase (DNA, RNA synthesis) —> decreased RBC production —> megaloblastic anemia.

B12 Def seen in (pernicious anemia, malabsorption, insufficient dietary intake) is worsened by N2O (worsened anemia)

For CNS, def of B12 leads to demyelination and neuro symptoms.

For pregnant patients, give prophylactic folic acid, methionine and B12

How well did you know this?
1
Not at all
2
3
4
5
Perfectly
7
Q

Summary of antibiotic prophylaxis
(2g Amoxicillin. If allergic, Azythromycin 500mg or Doxycycline 100mg)

A

Prosthetic joints:

Abx prophy not recommended. If hx of prosthetic joint complication, consult ortho surgeon for abx prophy.

How well did you know this?
1
Not at all
2
3
4
5
Perfectly
8
Q

Infective endocarditis

A

Abx prophy is recommended:
- prosthetic valves
- previous, recurrent IE
- CHD (unrepaired cyanotic defect, repaired with residual defect, repaired within 6 months)
- cardiac transplant w/ valvulopathy

How well did you know this?
1
Not at all
2
3
4
5
Perfectly
9
Q

Chemotherapy

A

Postpone surgery if plts < 50K or absolute neutrophil count of < 1000

Prophy if absolute neutrophil count < 1000

If central venous Catheter is present, consult oncology for prophy

How well did you know this?
1
Not at all
2
3
4
5
Perfectly
10
Q

Solid organ transplantation

A

Recommend delaying elective oral procedures for 1 yr

Consult oncologist for prophylaxis

How well did you know this?
1
Not at all
2
3
4
5
Perfectly
11
Q

Stroke and MI

A

Delay tx for the 1st 6 months following a stroke or TIA or MI

How well did you know this?
1
Not at all
2
3
4
5
Perfectly
12
Q

Cardiac stent placement

A
  • after bare metal stent (BMS) placement, delay elective non cardiac surg for 30 days
  • after drug eluting stent (DES) placement, delay elective non cardiac surg for 6 mo
How well did you know this?
1
Not at all
2
3
4
5
Perfectly
13
Q

Recurrence rate of peripheral giant cell granuloma

A

10%

How well did you know this?
1
Not at all
2
3
4
5
Perfectly
14
Q

Adenoid cystic carcinoma

A
  • Mets to lung is 45%
  • key risk factors for lung mets:
    • size >/= 2.5cm
    • perineural invasion
    • local recurrence

Known to have high rate of recurrence and mets to lungs especially if found in subligual or minor salivary glands

How well did you know this?
1
Not at all
2
3
4
5
Perfectly
15
Q

Risk factors for perioperative adverse respiratory events in children with URI

A
  • use Of an ETT in those < 5 yrs
  • hx of prematurity < 37 wks
  • hx of reactive airway disease
  • paternal smoking
  • surgery involving the airway
  • presence of copious secretions
  • nasal congestion
How well did you know this?
1
Not at all
2
3
4
5
Perfectly
16
Q

The following ways are proposed to minimise complication rate in segmental LeFort I

A
  • position the horizontal cut >/= 5mm from the apices of maxillary canines
  • leave a gingival cuff of >/= 1cm in the circumvestibular incision to maintain as much blood supply to the alveolus
  • orthodontic separation of the roots by at least 2mm at the CEJ and 4mm at the apical third to avoid damaging roots during the interdental osteotomy.
17
Q

SARPE

A
  • indicated in cases with only transverse max hypoplasia, unilateral or asymmetric narrowing of the maxilla, and in cases requiring > 6-7mm of advancement
  • SARPE results in greater expansion anteriorly across the canine/premolar but segmental LeFort I results in greater expansion posteriorly
  • better stability is with SARPE
18
Q

THC + vs THC - groups, is there a difference between HR, RR, MAP during IV sedation?

A

No significant difference

19
Q

Dentigerous cyst

A
  • The most common non inflammatory cyst in the oral cavity
  • rarely transforms into ameloblastoma, SCC, mucoepi Ca.

Guidelines for dx:
- pericoronal radiolucency > 4mm in greatest dimension (if smaller than that then follicle)
- histologically, fibrous tissue lined by non keratinized stratified squamous epithelium
- surgically demonstrable cystic space between enamel and overlying tissue

20
Q

Anterior open bite (AOB) correction by LeFort I w or w/o anterior segmentation

A
  • post op, factors that contributed to AOB relapse in LeFort I w/ segmentation are AOB closure >/= 4mm & inferior positioning of the ant segment > 2mm
  • over the long term (24 mo), AOB closure >/= 4mm and simultaneous IVRO were identified as causing more AOB relapse in LeFort I w/ant seg
  • LeFort I w/o anterior segmentation found to be more stable than one with seg
21
Q

Is there an increase in the risk of OSA after isolated mandibular setback. An eval using the STOP-BANG questionnaire

A

For skeletal class III, setbacks >/= 5mm had a significant increase in the risk of OSA based on STOPBANG

22
Q

Buccal fat pad

A
  • has 3 lobes, anterior, intermediate, posterior lobes. Post lobe has 4 processes: buccal, pterygoid, pterygopalatine, superficial & deep temporal
  • volume is 10cc and used for medium sized defects of a max 4cm
  • blood supply is from buccal br of max artery, deep temporal br, transverse facial of superficial temporal a
  • re-epithelilization starts with granulation tissue—> paraketatotic stratified squamous epithelium without lamina propria and submucosa
  • constant throughout life. No direct relationship to total body fat
  • defects of OAC <6mm, closes spontaneously. Defects >6mm, need buccal fat pad closure
23
Q

Canalicular adenoma

A
  • commonly occurs in the upper lip of women > 60yr
  • in comparison to pleomorphic adenoma that occurs in the lower lip of women < 60yrs
24
Q

What is the safe distance for pterygoid separation

A

The edge of the osteotome for pterygoid separation should be < 20mm above the most inferior edge of the pterygomaxillary junction

25
Structures medial to the TMJ
Carotid artery and IJV are 3cm medial MMA and CN V3 are 2cm Rule of 2s: 2cm from the skin to the lateral capsule, 2cm from the lateral to the medial capsule and 2cm medial to the medial capsule
26
Occlusal conditions that have a perceptible influence on the development of TMD
- anterior open bite - unilateral maxillary lingual crossbite - overjet >6mm - >/= 5 missing posterior teeth - retruded contact position to intercuspal position discrepancy >/=5mm
27
Malignant transformation of premalignant lesions
PVL: ~50% Erythroplakia: ~25% Submucous fibrosis: ~10% Leukoplakia, pleomorphic adenoma: ~6% Erosive lichen planus: ~1% Mild dysplasia: ~1.7% Severe dysplasia: ~3.5%
28
Prophylactic antibiotics in the surgical treatment of maxillofcial fractures
Most studies found that antibiotic courses <48hr worked equally as well as 7 days courses
29
Criteria for mandible first surgery in orthognathic
- when downgrafting of the posterior maxilla is anticipated (large intermediate AOB, bulky splint) - when fixation of the maxilla may not be rigid - when unsure of the accuracy of the bite reg (CR) - when intraop MMF in the interim position will be difficult (large maxillary advancement in class II) - when performing concomitant TMJ surgery
30
Osteoblastic rimming is considered a hallmark of what pathology microscopic presentation
Ossifying fibroma
31
Most commonly injured nerve in a AICBG
Iliohypogastric nerve (L1,L2)
32
Oculocsrdiac reflex
Afferent CN V Efferent CN X Mechanism: usually due to entrapment of medial/inferior rectus or direct pressure on the globe. Ocular stretch receptors activate this reflex via short and long ciliary nerves. Transmitted via ophthalmic branch CN V to the gasserian ganglion and trigeminal nucleus. Efferent carries this via X to SA node leading to bradycardia.
33
Pregnancy and OMFS
- preventive & diagnostic dental tx is safe throughout - in 2nd & 3rd trimester, avoid supine position which leads to hypotension from compression of IVC. Place in left lateral decub - local with epi should be used with caution and avoided due to uretoplacental vasoconstriction and fetal hypoxia - Abxs of choice PCN and Cephalosporins. Avoid tetracyclines, flagyl and Fluroqinolones - benzodiazepines have been shown to increase incidence of cleft palate and CNS dysfunction - for anticoags, LMWH is preferred as it doesn’t cross the placenta - maternal hypotension is the greatest concern intra op for GA - if N2O gas to be used, give folic acid, methionine and B12 prophylactically - codiene cause feral toxicity. Contraindicated in children under 12 (CYP2D6 fast metabolizers convert it rapidly leading to overdose) - NSAIDS: concern for premature closure of the ductus arteriosus
34
Mandible fractures and load patterns
Angle and posterior body fx: compression at inferior border and tension at superior border (high positive bending moments) and minimal rotational displacement (small torsion) Anterior body, canine and symphysis fx: tension at the inferior border, compression at superior border (high negative bending moments) and pronounced rotational displacement (high torsion)