Misc. 3 Flashcards

(9 cards)

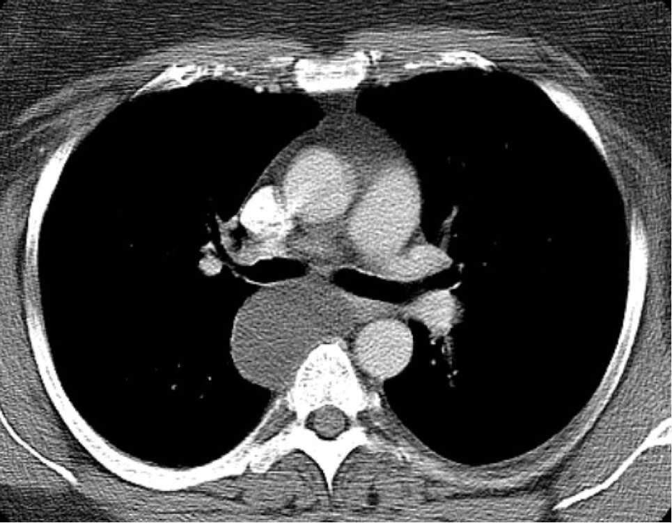
1
Q

What is this?

A

bronchogenic cyst

How well did you know this?
1
Not at all
2
3
4
5
Perfectly
2
Q

Tx for for bronchogenic cyst

A

VATS resection

How well did you know this?
1
Not at all
2
3
4
5
Perfectly
3
Q

Why resect asymptomatic bronchogenic cysts?

A

they may cause symptoms later when they are larger and more difficult to resect

How well did you know this?
1
Not at all
2
3
4
5
Perfectly
4
Q

Sensitivity =

A

TP / (TP + FN)

How well did you know this?
1
Not at all
2
3
4
5
Perfectly
5
Q

Specificity =

A

TN / (TN + FP)

How well did you know this?
1
Not at all
2
3
4
5
Perfectly
6
Q

PPV =

A

TP / (TP + FP)

How well did you know this?
1
Not at all
2
3
4
5
Perfectly
7
Q

NPV =

A

TN / (TN + FN)

How well did you know this?
1
Not at all
2
3
4
5
Perfectly
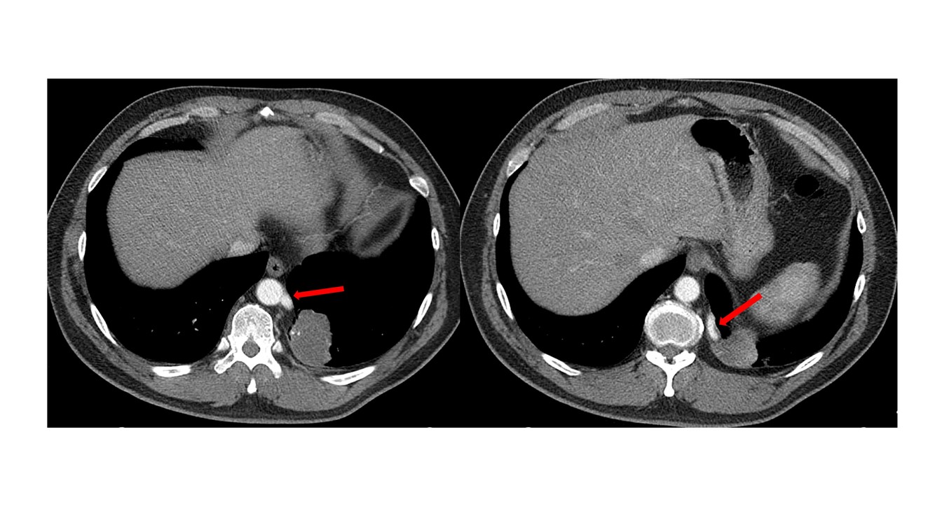
8
Q

What is this?

A

bronchopulmonary sequestration (arrow points to it’s separate blood supply from aorta)

How well did you know this?
1
Not at all
2
3
4
5
Perfectly
9
Q

CPET findings in deconditioning

A

exaggerrated HR, low-normal AT, low O2 pulse

How well did you know this?
1
Not at all
2
3
4
5
Perfectly