1-dental caries
1-multifactorial—tooth, bacteria, diet. bacteria will accumulate at specific tooth to form plaque (biofilm)

radiolucent
1-horizontal angulation
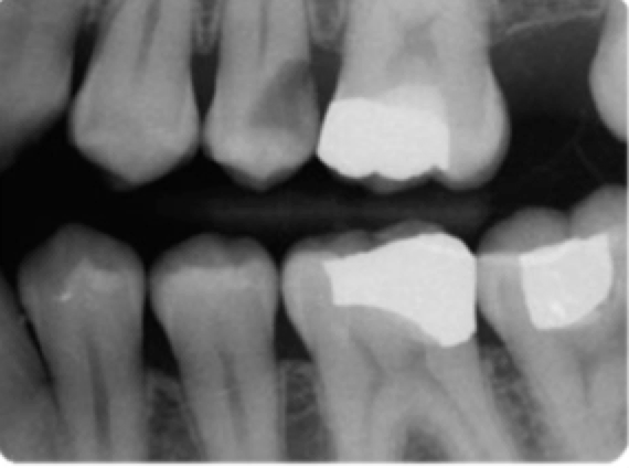
2-advantage of bitewing radiograph
3-detection
4-radiographic detection
1-adjusted so that line connecting front and back edge of PID is parallel w/ line conecting buccal surfaces of premolar & molars
2-bc of horizontal angulation of bitewings, help assess secondary caries that may not be seen in periapical
-calculus detection in interproximal area
3-30-40% demin is needed for radiographic detection of a lesion
4-visual exam of teeth may not find caries if surface is intact due to remin (not cavitated)…radiographs may be only way to detect caries if surfaces are intact
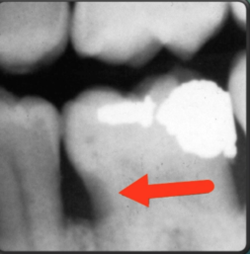
1-shape of carious lesion
2-factors affecting caries diagnosis
1-early lesion in enamel—a triangle w/ braod base at tooth surface spreads along enamel rods
2-buccolingual thickness of tooth
2 dimensional film
xray beam angle
exposure factors

left= E Right= D1 Bottom= D2
1-E
2-D1
3-D2
4-spread of caries
1-lesion penetrates though enamel (incipient)
radiolucent triangle w/ base at enamel surface & point to DEJ
2-lesion penetrates into dentin but is less than 1/2 through thickness of dentin toward pulp
radiolucent triangular lesion in enamel and point less than halfway to dentin
3-lesion extends more than 1/2 of dentinal thickness towards pulp
4-caries spread through dentin more rapidly than enamel because dentin is softer than enamel
1-metallic restorations
2-temporary restorations
3-composite restorations
4-cervical burnout
1-metallic restorations are radiopaque, no transmission of xrays—amalgam & gold
2-somewhat radiopaque: IRM, ZOE
3-somewhat radiopaque bc of fillers—some can be radiolucent (older materials)
4-between CEJ & alveolar crest
diffuse radiolucency
ill-defined borders
presence of edge of root
clinical evaluation

cervical burnout
1-occlusal caries
2-buccal/lingual caries
3-root caries
4-secondary/recurrent caries
1-penetrated into dentin, diagnosed from clinical exam
-sharp explorer may contribute to spread of caries
2-use clinical exam & cant determine depth
3-older patients w. recession or periodontitis
xerostomia may be present
4-occurs adjacent to pre-existing restoration
1-full mouth series
2-types of surveys
3-alveolar bone
4-alveolar bone proper
5-alveolar bone
1-look at lamina dura, crown:root ratio, interproximal bone, furcation involvement, periapical path, overhangs, calculus, & resorption
2-periapical, bitewing (horizontal & vertical), panoramic films, CT scans
3-alveolar crest, interproximal bone, & interradicular bone
4-cribriform plate
5-crestal lamina dura, perio ligament space, lamina dura
1-alveolar crest
2- interdental bone/septa
3-crestal bone
4-radiographic signs of periodontitis
1- 2 mm from cej & is angular
2-pointed crest & flat crest
3-follows the CEJs
4-early disease may not show changes…look for thinning/absence in crestal lamina dura or cupping
1-horizontal bone loss
2-vertical bone loss
3-comparison of horizontal & vertical bone loss
4-optimal radiographic technique
5-horizontal bitewings
1-crest of bone is parallel to CEJ line between adjoining teeth…remaining bone = horizontal but positioned apically
2-crest of remaining bone isnt parallel to CEJ line between adjoining teeth= oblique angulation to CEJ line
3-use CEJ of adjacent teeth as a guideline for either
4-optimizes assessment of alveolar cortication & bone heights
5-missing the maxillary crestal bone
1-vertical angulation
2-horizontal angulation
3-normal alveolar crest
1-correct vertical angulation records crestal bone= no bone loss between mandibular 1st and 2nd molars
-incorrect vertical angulation= radiolucent, cupping out appearance of lamina dura = false indication of bone loss between teeth
2-correct horizontal angulation= doesnt reveal vertical defect on mesial of maxillary first molar
-slightly varied horizontal angulation of same region= vertical bony defect
3- 1-2 mm apical to CEJ, parallel to line joining CEJ of adjoining teeth, smooth, continuation of lamina dura
1-evidence of early periodontitis
2-radiographic examination
1-localized erosion of crest of bone
blunting of crest-anterior teeth
loss of sharp angle between lamina dura & crest
widening of PDL near crest
2-continuity of lamina dura (crestal), PDL space,
root proximity
type & percentage of bone loss
furcation involvement
concurrent factors—calculus, caries, defective restorations, periapical path, fractures
1-contributing factors
2-healthy/gingivitis
2-slight chronic periodontits
4-limitations of perio radiographics
1-calculus & amalgam overhand are likely to collect bacterial pathogens that can contribute to progression of perio disease
2-radiopaque flat appearance of lamina dura & thin radiolucent line of PDL space
3-slight radiolucent cupping out of lamina dura,
radiopaque calculus is visible on proximal surfaces of teeth, looking at alveolar crest
-blunting of lamina dura & slight radiolucent widening of PDL—radiopaque calculus is visible
4-doesnt show perio pockets
doesnt show morph of defects
misses buccal & lingual deformities
doesnt distinguis between treated & untreated case
1-intial comprehensive oral exam
2-patient interview
3-perio conditions
4-contraindications to treatment
1-interview, extraoral exam, intraoral exam, radiograph, consultations, photos, casts
2-demographic, complain, history, social history, dental history & exam
3-bleeding gums, loose teeth, drifting teeth, food stuck, foul taste in mouth, itchy feeling in gums, dull/throbbing pain, receding gums
4-affect symptoms= uncontrolled hypertension
modify treatment= uncontrolled diabetes
need for premedication= anticoagulant therapy
1-gingival enlargement
2-xerostomia
3-social habits
4-gingival inflammation
1-interaction of phenytoin, cyclosporine, & Ca channel blockers w/ epithelial keratinocytes, fibroblasts & collagen can lead to an overgrowth of gingival tissue in individuals
-gingival inflammation & plaque= cofactor that induces gingival overgrowth
2-500 drugs reported to cause xerostomia as side effect
3-smoking, substances, oral habits
4-color, contour, & consistency
1-function of perio probes
2-clinical signs of inflammation
3-UNC Probe
4-Goldman Fox
5-furcation probe
1-perio probe is calibrated instrument used to measure the depth of gingival crevice—perioe probe accurate way to assess supporting tissues of dentition
2-redness, glossy, loss of stippling, bleeding on probing & suppuration
3-1-12 mm markings
4-1-10 mm
5-furcation probes have curved, blunt tipped working ends that allow easy access to furcation ends—double ended—NABERS 2N
1-probing health vs diseased tissue
2-5 mm perio pocket
3-measurement
4-probing essentials
1-pressure exerted w/ probe tip to base of gingival crevice between 10-20 g
2-healthy crevice will have depth of 1-3 mm
measurement at 6 sites
3-at 6 sites
4-modified pen grasp, stable fulcrum= finger rest
1-walking the probe
2-adaptation
1-walking stroke is movement of calibrated probe around perimeter of base of crevice
2-side of probe tip should be kept in contact w/ tooth surface
1-interproximal technique
1-slant probe slightly so tip reaches under contact area while upper portion touches contact area
1-width of keratinized gingiva
2-frenum pull
3-gingival recession w/ lack of attached gingiva
1-mucogingival condition
-lack of keratinized gingiva is a risk factor for attachment loss
-gingival recession= reduced gingival width
2-frenum pull w/ retraction of gingival margin is a risk factor for attachment loss
3-width of attached gingiva= gingival width minus probing depth
keratinized ginigva doesnt mean attached gingiva
-measure recession from gingival margin to NCCL
1-examing furcations
2-furcation probe
3-class 1 furcation
4-class 2 furcation
5-class 3 furcation
6-class 4 furcation
1-assessing attachment loss in furcations = comprehensive perio exam
2-insert tip of probe under gingival margin as a straight probe and rotate the tip towards root surface
-use walking motion along root surface and probe for entrance of furcation
3-incipient furcal involcement
4-patent furcal involvement
5-communicating furcal involvement
6-clinically visible furcation
1-mandibular molars
2-maxillary molars
3-maxillary 1st premolar
4-tooth mobility
5-local factors
1-facial/buccal and a lingual furcation
2-facial/buccal furcation is accessed from facial
mesial & distal furcations are accessed from mesiolingual & distolingual
3-mesial furcation is accessed from mesial
distal furcation is accessed from distal
4-class 1\< 1 mm class 2 up to 2 mm class 3 greater than or equal to 2 mm
5-sharp tip of explorer
gently feel root surface for accretions, root surface irregularities, & fit of restorations