Mitral Stenosis Flashcards

(33 cards)

1
Q

Mitral Stenosis - caused by: (2)

A

It is caused by:

Rheumatic Heart Disease
Infective Endocarditis

How well did you know this?
1
Not at all
2
3
4
5
Perfectly
2
Q

Mitral stenosis - describe the murmur

A

It causes a mid-diastolic, low pitched “rumbling” murmur due to a low velocity of blood flow. There will be a loud S1 due to thick valves requiring a large systolic force to shut, then shutting suddenly. You can palpate a tapping apex beat due to loud S1.

How well did you know this?
1
Not at all
2
3
4
5
Perfectly
3
Q

It causes a mid-diastolic, low pitched “rumbling” murmur due to a low velocity of blood flow. There will be a loud S1 due to thick valves requiring a large systolic force to shut, then shutting suddenly. You can palpate a tapping apex beat due to loud S1. - what is this?

A

Mitral stenosis

How well did you know this?
1
Not at all
2
3
4
5
Perfectly
4
Q

Mitral stenosis is associated with…

A

Malar flush. This is due to back-pressure of blood into the pulmonary system causing a rise in CO2 and vasodilation.

Atrial fibrillation. This is caused by the left atrium struggling to push blood through the stenotic valve causing strain, electrical disruption and resulting fibrillation.

How well did you know this?
1
Not at all
2
3
4
5
Perfectly
5
Q

Mitral stenosis causes left … ….

A

Mitral stenosis causes left atrial hypertrophy.

How well did you know this?
1
Not at all
2
3
4
5
Perfectly
6
Q

Valvular heart disease can cause …. (thickening both outwards and into the chamber) or …. (thinning and expanding – think of blowing up a balloon) of the myocardium in different heart areas.

A

Valvular heart disease can cause hypertrophy (thickening both outwards and into the chamber) or dilatation (thinning and expanding – think of blowing up a balloon) of the myocardium in different heart areas.

How well did you know this?
1
Not at all
2
3
4
5
Perfectly
7
Q

Assessing a Murmur (SCRIPT mnemonic)

A

S – Site: where is the murmur loudest?
C – Character: soft / blowing / crescendo (getting louder) / decrescendo (getting quieter) / crescendo-decrescendo (louder then quieter)
R – Radiation: can you hear the murmur over the carotids (AS) or left axilla (MR)?
I – Intensity: what grade is the murmur?
P – Pitch: is it high pitched or low and grumbling? Pitch indicates velocity.
T – Timing: is it systolic or diastolic?

How well did you know this?
1
Not at all
2
3
4
5
Perfectly
8
Q

… heart disease is by far the most common cause of MS. Obstruction of flow to the left ventricle results in raised atrial and pulmonary pressures and eventual right sided failure.

A

Rheumatic heart disease is by far the most common cause of MS. Obstruction of flow to the left ventricle results in raised atrial and pulmonary pressures and eventual right sided failure.

How well did you know this?
1
Not at all
2
3
4
5
Perfectly
9
Q

Symptomatic disease tends to present with dyspnoea and reduced exercise tolerance. Complications include atrial fibrillation and thromboembolic events. Interventional management, when indicated, is typically via percutaneous means. - what is this describing?

A

Symptomatic disease tends to present with dyspnoea and reduced exercise tolerance. Complications include atrial fibrillation and thromboembolic events. Interventional management, when indicated, is typically via percutaneous means - mitral stenosis

How well did you know this?
1
Not at all
2
3
4
5
Perfectly
10
Q

Acute … … is a non-suppurative complication of infection by group A Streptococcus (GAS) pharyngitis (‘strep throat’). Though increasingly uncommon in the western world due to wide-spread antibiotic use, it is still a significant cause of illness in the developing world.

A

Acute rheumatic fever is a non-suppurative complication of infection by group A Streptococcus (GAS) pharyngitis (‘strep throat’). Though increasingly uncommon in the western world due to wide-spread antibiotic use, it is still a significant cause of illness in the developing world.

How well did you know this?
1
Not at all
2
3
4
5
Perfectly
11
Q

The other causes of MS are all relatively rare. They include:

A
Congenital MS
Mitral annular calcification
Radiation associated MS
Carcinoid associated valve disease
Fabry's disease
How well did you know this?
1
Not at all
2
3
4
5
Perfectly
12
Q

Mitral stenosis results in raised left atrial pressures and atrial ….

A

Mitral stenosis results in raised left atrial pressures and atrial remodelling.

How well did you know this?
1
Not at all
2
3
4
5
Perfectly
13
Q

… stenosis normally presents with exertional dyspnoea.

A

Mitral stenosis normally presents with exertional dyspnoea.

How well did you know this?
1
Not at all
2
3
4
5
Perfectly
14
Q

A mid-diastolic murmur is characteristic - best heard with the bell of the stethoscope with the patient lying on their left side whilst breath is in held expiration - what murmur?

A

A mid-diastolic murmur is characteristic - best heard with the bell of the stethoscope with the patient lying on their left side whilst breath is in held expiration - mitral stenosis

How well did you know this?
1
Not at all
2
3
4
5
Perfectly
15
Q

Patients with mitral stenosis may occasionally present with … syndrome - a horse voice that occurs secondary to left atrial enlargement causing a left recurrent laryngeal nerve palsy.

A

Patients may occasionally present with Ortner syndrome - a horse voice that occurs secondary to left atrial enlargement causing a left recurrent laryngeal nerve palsy.

How well did you know this?
1
Not at all
2
3
4
5
Perfectly
16
Q

Symptoms of mitral stenosis:

A

Breathlessness
Haemoptysis
Chest pain

17
Q

Signs of mitral stenosis

A
Mid-diastolic murmur
Atrial fibrillation
Mitral facies (malar flush)
Pulmonary hypertension:
Right ventricular heave
Prominent a-wave
Right heart failure:
Raised JVP
Peripheral oedema
Hepatomegaly
18
Q

Patients with … are at greatly increased risk of thromboembolic events. Clots that develop in a dilated left atrium, often in the presence of atrial fibrillation, may throw off emboli into the systemic circulation. As such patients may present with a stroke. Other organs are less commonly affected.

A

Patients with MS are at greatly increased risk of thromboembolic events. Clots that develop in a dilated left atrium, often in the presence of atrial fibrillation, may throw off emboli into the systemic circulation. As such patients may present with a stroke. Other organs are less commonly affected.

19
Q

… is used to make the diagnosis of mitral stenosis and assess the severity of disease.

A

Echocardiogram is used to make the diagnosis of mitral stenosis and assess the severity of disease.

20
Q

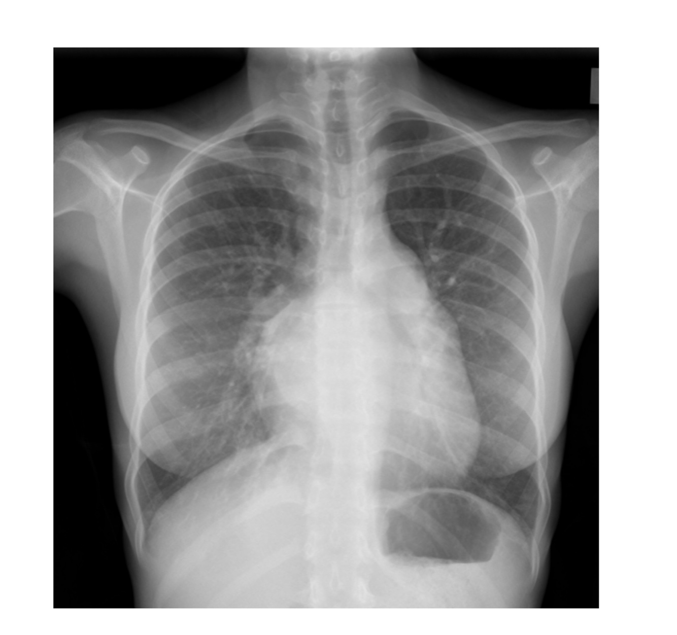
On the CXR left atrial enlargement can be seen. In those with pulmonary hypertension signs of this and right sided heart failure may also feature. The CXR shown below has a number of signs indicative of left atrial enlargement - what murmur is this describing?

A

On the CXR left atrial enlargement can be seen. In those with pulmonary hypertension signs of this and right sided heart failure may also feature. The CXR shown below has a number of signs indicative of left atrial enlargement:

21
Q

Atrial fibrillation is common but the ECG may be normal or reflect remodelling. In those in sinus rhythm signs of left atrial enlargement may be seen with p-mitrale - a broad, notched p-wave with a negative component in V1. If right sided hypertrophy has developed right axis deviation and tall R-waves in V1 can be seen - which murmur?

A

Atrial fibrillation is common but the ECG may be normal or reflect remodelling. In those in sinus rhythm signs of left atrial enlargement may be seen with p-mitrale - a broad, notched p-wave with a negative component in V1. If right sided hypertrophy has developed right axis deviation and tall R-waves in V1 can be seen - mitral stenosis

22
Q

Stress testing is somtimes used in those who are asymptomatic with mitral stenosis or have minor symptoms as well as those whose symptoms are discordant with echo findings. This may take the form of an … stress echo or .. stress test.

A

Stress testing is somtimes used in those who are asymptomatic or have minor symptoms as well as those whose symptoms are discordant with echo findings. This may take the form of an exercise stress echo or dobutamine stress test.

23
Q

Treatment for mitral stenosis

A

ESC/EACTS guidelines advise percutaneous mitral commissurotomy (PMC) as the treatment of choice in patients who meet the criteria for intervention and have favourable anatomy.

24
Q

Interventional management for mitral stenosis:

A

percutaneous mitral commissurotomy (PMC)

PMC refers to a minimally invasive approach that uses a balloon delivered by a catheter which enters at the right femoral vein. This balloon is then inflated in various stages to help alleviate the stenosis.

PMC tends to be reserved for patients with clinically significant MS and a valve area < 1.5cm2 in those who are symptomatic or at high-risk of embolism or haemodynamic decompensation. Contra-indications for PMC include:

Valve area >1.5cm2
Left atrial thrombus
Absence of commissural fusion
Severe or bi-commissural calcification
More than mild mitral regurgitation
Severe concomitant aortic stenosis requiring surgery
Severe combined tricuspid regurgitation/stenosis requiring surgery
Concomitant coronary artery disease requiring surgery

In those not suitable for PMC, open surgery may be considered and discussed with the patient.

25
What is percutaneous mitral commissurotomy (PMC)?
PMC refers to a minimally invasive approach that uses a balloon delivered by a catheter which enters at the right femoral vein. This balloon is then inflated in various stages to help alleviate the stenosis. PMC tends to be reserved for patients with clinically significant MS and a valve area < 1.5cm2 in those who are symptomatic or at high-risk of embolism or haemodynamic decompensation.
26
Contra-indications for PMC include: (mitral stenosis)
Valve area >1.5cm2 Left atrial thrombus Absence of commissural fusion Severe or bi-commissural calcification More than mild mitral regurgitation Severe concomitant aortic stenosis requiring surgery Severe combined tricuspid regurgitation/stenosis requiring surgery Concomitant coronary artery disease requiring surgery In those not suitable for PMC, open surgery may be considered and discussed with the patient.
27
Medical management of mitral stenosis:
Patient with AF or paroxysmal AF can tend to follow the routine management of this condition. In stable patients pre-intervention, cardioversion is not indicated as the results are not sustained. Patients should receive appropriate anticoagulation. ESC/EACTS advise that in patients with ‘moderate to severe mitral stenosis and persistent atrial fibrillation should be kept on vitamin K antagonist (VKA) treatment and not receive NOACs’. In patient in sinus rhythm anticoagulation may still be advised if: Thrombus in the left atrium History of systemic embolism It may also be considered in those with an enlarged LA or with dense spontaneous echocardiographic contrast.
28
ESC/EACTS advise that in patients with ‘moderate to severe mitral stenosis and persistent atrial fibrillation should be kept on vitamin K antagonist (VKA) treatment and not receive …’.
ESC/EACTS advise that in patients with ‘moderate to severe mitral stenosis and persistent atrial fibrillation should be kept on vitamin K antagonist (VKA) treatment and not receive NOACs’.
29
In patient in sinus rhythm with mitral stenosis anticoagulation may still be advised if:
Thrombus in the left atrium History of systemic embolism It may also be considered in those with an enlarged LA or with dense spontaneous echocardiographic contrast.
30
Common ECG findings in moderate-to-severe mitral stenosis are…(2)
Common ECG findings in moderate-to-severe mitral stenosis are P Mitrale and atrial fibrillation.
31
P Mitrale refers to a bifid P wave on an ECG that is suggestive of ..
P Mitrale refers to a bifid P wave on an ECG that is suggestive of left atrial enlargement
32
MS is usually a consequence of …
MS is usually a consequence of rheumatic heart disease. There are other rarer causes of MS. MS causes an increase in left atrial pressures. This can lead to atrial hypertrophy and development of arrhythmias, such as atrial fibrillation. Continued increases in atrial pressure lead to pulmonary congestion and shortness of breath.
33
The classical murmur of MS is a low pitched mid-diastolic murmur, often described as ...
The classical murmur of MS is a low pitched mid-diastolic murmur, often described as rumbling.