Define Mitral Stenosis
Mitral valve narrowing causing obstruction to blood flow from the left atrium to the left ventricle
Explain the aetiology/Risk factors of Mitral Stenosis
Summarise the epidemiology of mitral stenosis
Recognize the presenting symptoms of mitral stenosis? (5 + 3 RARE)
RARE:
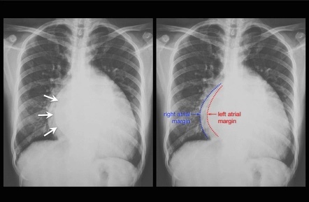
Recognise the signs on physical examination (8) + 4 signs of advanced MS
ADVANCED MS CAUSING RHF:
Identify appropriate investigations for mitral stenosis


Complications of Mitral Stenosis