Mock NAVLE Test Flashcards

(128 cards)

1
Q

A 4-year-old female spayed Domestic Shorthaired cat presents for vomiting, lethargy, and anorexia of several weeks’ duration. On physical exam, you note that the cat has lost 2 lbs. since her last visit and now has a body condition score of 3/9. You perform a CBC and serum biochemistry, revealing mild elevations in ALT, SAP, and total bilirubin, as well as hypocalcemia. Concerned about pancreatitis, you recommend a Feline Pancreas-Specific Lipase Immunoreactivity (fPLI) and an abdominal ultrasound. The owner becomes irritated and asks why two tests are required. How do you respond?

  • Abdominal ultrasound can be performed alone; it has a higher sensitivity and specificity than the fPLI
  • fPLI is useful as a sole test; ultrasound is only recommended for prognostic significance
  • A definitive diagnosis of feline pancreatitis requires positive results on both diagnostic tests
  • Both tests are low in sensitivity; the only single test that can give a definitive diagnosis is a pancreatic biopsy
A

Answer: Both tests are low in sensitivity; the only single test that can give a definitive diagnosis is a pancreatic biopsy

Explanation
The subtlety of clinical signs (lethargy, anorexia, weight loss) and its association with other diseases make feline pancreatitis difficult to diagnose before death. Although it is possible to obtain useful information from serological testing and imaging, a pancreatic biopsy, along with biopsies of the liver, intestines, and mesenteric lymph nodes are often required for an accurate diagnosis. While pancreatic biopsy is relatively safe, cats with pancreatitis may not always be stable enough for general anesthesia and surgery. Additionally, surgical biopsy may be prohibitively expensive for some clients. Therefore, combining the results of ultrasound and fPLI provides the highest likelihood of arriving at an accurate diagnosis without the need for abdominal surgery.

How well did you know this?
1
Not at all
2
3
4
5
Perfectly
2
Q

A 2-year-old intact male Bluetick Coonhound comes to your mobile vaccine clinic in Georgia for a rabies vaccination. The dog has never been on flea, tick, or heartworm preventatives. He was dewormed a year ago when he received his vaccinations. While obtaining the patient history, the client comments that when hunting, the dog has much more energy now that he is on a raw diet. You notice that he is accompanied by his wife, who is carrying a one-year-old child and appears to be pregnant. Based upon this little information, from which of the following zoonotic diseases is the family at greatest risk?

  • Brucellosis
  • Salmonellosis
  • Tick-borne encephalitis
  • Sarcocystis
  • Botulism
A

Answer: Salmonellosis

Explanation:

The correct answer is salmonellosis. Raw diets are based on uncooked ingredients of animal origin and can include skeletal muscle, offal, bones, and eggs or dairy. Raw diets may be home prepared or commercial products (fresh, frozen, or freeze-dried). The U.S. Food and Drug Administration (FDA) does not recommend feeding raw diets to pets due to the public health risk posed by the handling of contaminated meat and the potential for zoonotic transmission of pathogens from the dog or cat to humans, even when the pet does not show any signs of disease. Bacteria in the juices from raw meat dog food could splash and spread to other foods and surfaces, and dogs could transfer potentially harmful bacteria by licking faces immediately after eating.

Thus, all members of this family are placed at risk for salmonellosis.

It should be noted that in all cases of zoonotic disease, the individuals at greatest risk are the young, the elderly, pregnant, or immunocompromised.

Botulism is incorrect. Clostridium botulinum is a Gram-positive, saprophytic, spore-forming bacterial rod found in soil. Its associated risk is in those dogs who eat carrion (or other contaminated food). However, unlike the potential spread of Salmonella, the family would have to ingest the pre-formed toxin in the infected carrion or other contaminated food. So, even if the dog were to contract C. botulinum, the risk of spread to the family would be low.

Brucellosis is incorrect. Brucellosis is caused by a Gram-negative coccobacillus or rod-shaped bacterium, Brucella canis. Organisms are spread through highly contaminated fluids of infected individuals: vaginal discharge (following abortion), urine, milk of lactating bitches, semen, prostatic fluid, vaginal fluid during estrus, and lochia of parturition.

Thus, human cases are rare except in those who have extremely close physical contact with an infected dog. In the case of this family, even if their intact male dog were infected, the risk of transmission to family members would be much lower than their risk of acquiring salmonellosis.

In sarcocystosis, the muscles and soft tissues of various intermediate hosts (horses, cattle, sheep, goats, pigs) are invaded by protozoans of the genus Sarcocystis. Even if the dog were to eat infected meat, the risk of transmission to the family would be extremely low unless they, too, ate the infected raw dog food diet.

Tick-borne encephalitis (TBE) is spread through bites of infected Ixodes ticks and is found primarily in Europe and Asia. Humans can also get TBE by eating or drinking unpasteurized dairy products (such as milk and cheese) from infected goats, sheep, or cows. Therefore, there is no risk of TBE being transmitted to members of this family from their dog.

How well did you know this?
1
Not at all
2
3
4
5
Perfectly
3
Q

A 4 year old Ayrshire cow presents with a two day history of depression, anorexia, fever, conscious proprioceptive deficits, circling, right sided head tilt, and head-pressing. A neurologic exam identified cranial nerve deficits. Particularly, the right ear is drooping, the right eye appears “dropped”, and she is drooling from the right side of her mouth. What is the most likely diagnosis?

  • Mycoplasma bovis
  • Listeriosis
  • Perennial ryegrass staggers
  • Polioencephalomalacia
A

Answer: Listeriosis

Explanation
Listeria monocytogenes may cause an acute meningoencephalitis with microabscesses in the area of the brainstem and cranial nerve roots. However, there are other clinical forms of listeriosis that may be seen, such as abortion and septicemia of neonates. Usually, only individual animals are affected and not the herd. The animals commonly become infected after consuming spoiled silage. In general, the clinical signs seen are associated with dysfunction of the caudal brain stem, cerebellar peduncles, or spinal cord.

Mycoplasma bovis will not result in central nervous system disease, especially in such a short time span (can cause otitis media-interna).

Polioencephalomalacia does not result in cranial nerve signs and is caused by a thiamine deficiency.

Ingestion of perennial ryegrass (grows between June and September in northern hemisphere) will cause ataxia and tremors as a result of activating GABA receptors when it is infected with an endophytic fungus.

***PowerLecture: Central Nervous System

  • Listeriosis: A sporadic bacterial infection affecting various animals, including ruminants, humans, and birds.
  • Listeria monocytogenes: Gram-positive, motile, nonspore-forming coccobacillus, grows at 4°-44°C.
  • Transmission: Ingestion of contaminated feed (e.g., spoiled silage), inhalation, fecal-oral route.
  • Infection Mechanism: L. monocytogenes enters via ingestion/inhalation, localizes in the brain stem via the trigeminal nerve, causing encephalitis; also localizes in the placenta, leading to abortion.
  • Encephalitis: Depression, facial paralysis, circling, head tilt, recumbency, drooping ear, flaccid lip, salivation.
  • Abortion: Late-term abortion, stillbirths, neonatal death without prior signs.
  • Septicemia: More common in monogastric animals and young ruminants, causes hepatic necrosis.
  • Clinical Signs: Asymmetric brain-stem dysfunction, depression.
  • Laboratory Tests: Bacterial culture, immunofluorescence assay on brain tissue, placenta, and fetus.
  • CSF Analysis: Increased protein concentration, mild pleocytosis.
  • Antimicrobials: High doses of penicillin (22,000 U/kg every 12 hours for 1-2 weeks), oxytetracycline (16.5 mg/kg/day IV).
  • Supportive Care: Fluids, electrolytes, and possibly dexamethasone (controversial).
  • Silage Management: Avoid feeding spoiled silage, improve feed storage.
  • Vaccination: Equivocal results, cost vs. benefit questionable.
  • Hygiene Measures: Segregate affected animals, proper handling of aborted materials.
  • Human Infection: Can cause fatal meningitis, sepsis, skin lesions. Pregnant women and immunocompromised individuals are at higher risk.

For more detailed information, visit the Merck Veterinary Manual.

How well did you know this?
1
Not at all
2
3
4
5
Perfectly
4
Q

Which of the following is the best preventative measure for decreasing the incidence of laminitis?

  • Avoiding lush pastures
  • Frequent shoeing
  • Prophylactic NSAIDS
  • Strenuous exercise
A

Answer: Avoiding lush pastures

Explanation
The correct answer is avoiding lush pastures. A major risk factor in the development of laminitis is feeding on lush pastures. Strenuous exercise is also a risk factor in unfit horses.

***PowerLecture: Laminitis

How well did you know this?
1
Not at all
2
3
4
5
Perfectly
5
Q

A 6-year old Macaw presents to your emergency clinic with a broken blood feather. What is the best way to stop the hemorrhage?

  • Pull the feather
  • Thermally cauterize the area
  • Bandage the wing, incorporating the feather
  • Apply gentle pressure to the bleeding area of the feather for 2-5 minutes
A

Answer: Pull the feather

Explanation
Blood feathers, also called “pin feathers,” are new feathers that are starting to grow and need a large blood supply. They will bleed if broken. A blood feather starts out with a waxy keratin sheath and, when mature, the blood supply will recede, and the waxy sheath will be removed by the bird. Blood feathers can be broken or may accidentally be cut when the wings are trimmed.

Pulling the blood feather is the most appropriate treatment. The bleeding can be temporarily stopped with other means (thermal or chemical cautery), but the feather can easily be re-injured or the clot dislodged due to the slippery keratin of the feather.

Removing the feather is best done using a forceps or hemostat. The feather should be gripped close to the skin and pulled steadily and firmly in the direction the feather is growing. Pulling out a feather will cause pain, so be sure you hold the bird firmly, but carefully. If it is a wing feather, support and immobilize the wing to keep it steady during the procedure. Do not jerk on or twist the feather.

If bleeding occurs from the follicle after the feather has been removed, continue to apply pressure to the area for several minutes and monitor the bird for at least an hour.

How well did you know this?
1
Not at all
2
3
4
5
Perfectly
6
Q

Approximately how long does it take for spermatogonia to mature to sperm in the stallion?

  • 60days
  • 5 days
  • 14 days
  • 30 days
A

Answer: 60 days

Explanation
The correct answer is 60 days. For this reason, a stallion with poor quality semen should be re-evaluated in 2 months before making a final judgment.

How well did you know this?
1
Not at all
2
3
4
5
Perfectly
7
Q

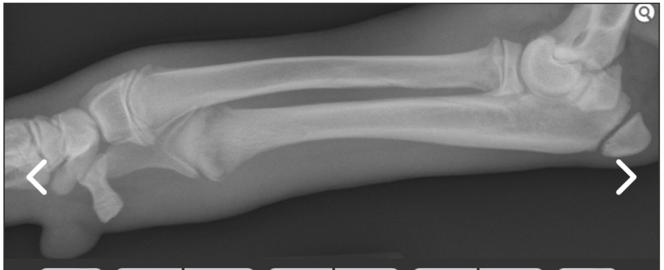
A 4-month old male intact Great Dane presents for lethargy and reluctance to stand. He is non-weight bearing on his left forelimb. You localize pain and swelling to the distal radius and ulna and take the following radiograph. What do you tell the owner about recovery and prognosis?

  • Prognosis is guarded. Recovery includes antibiotics and joint lavage.
  • Prognosis is poor. Amputation is recommended and there is a high rate of metastasis to the lungs. Survival time is less than 1 year even with chemotherapy.
  • Prognosis is usually good but angular limb deformity is a possible complication. Recovery relies on supportive care and can take days to weeks. Most dogs with this disease will have 1 or 2 episodes and recover.
  • Prognosis is good but angular limb deformity is a possible complication as the physis is involved. Coaptation is recommended and healing should occur rapidly as he is still young.
A

Answer: Prognosis is usually good but angular limb deformity is a possible complication. Recovery relies on supportive care and can take days to weeks. Most dogs with this disease will have 1 or 2 episodes and recover.

Explanation
Hypertrophic osteodystrophy (HOD) is a disease of large, rapidly growing dogs. The distal metaphyses of the forelimbs are more commonly affected and can be swollen. Radiographic findings include metaphyseal flaring and the classic “double physeal line.” Treatment is supportive with anti-inflammatories or steroids, pain medications, and activity restriction.

Septic arthritis can cause lameness, joint pain and swelling. Radiographs can show bone destruction and osteolysis with chronic disease as well as irregularities in the joint space. Osteosarcoma causes bony lysis and proliferation at the metaphyseal region of long bones. These are commonly in the distal radius/ulna, proximal humerus, proximal tibia, and distal femur (“away from the elbow and towards the knee”). Age does not rule out this disease as it has been diagnosed in animals as young as 6 months.

How well did you know this?
1
Not at all
2
3
4
5
Perfectly
8
Q

A 1.5-year old Quarter Horse gelding is presented to you for symmetric ataxia, weakness, and spasticity of all limbs, but worse in the hind limbs. When walking, the horse frequently drags his toes and the hind limbs frequently interfere with one another. Based on the signalment, history and physical examination findings, which of the following is the most likely cause of these clinical signs?

  • Botulism
  • Equine Protozoal Myeloencephalitis (EPM)
  • Cauda Equina Syndrome
  • Equine Motor Neuron Disease (EMND)
  • Equine Degenerative Myeloencephalopathy (EDM)
A

Answer: Equine Degenerative Myeloencephalopathy (EDM)

Explanation
The horse in this question has clinical signs most consistent with EDM; cervical vertebral malformation (wobblers) is also a possibility, but was not provided as an answer. The cause of EDM is unknown, but this disease typically affects young horses (< 2-3 years of age; but older horses can develop disease). Clinical signs are a result of diffuse neuronal fiber degeneration of various portions of the central nervous system. This disease has been associated with low serum vitamin E concentrations, suggesting that oxidative damage may play a role in the development of disease.

EMND is typically associated with muscle tremors, shifting of weight while standing, muscle atrophy and recumbency. Botulism is associated with generalized muscle weakness. Cauda equina syndrome causes analgesia of the perineum. EPM can cause a range of clinical signs, but is typically with asymmetric neurologic deficits.

***PowerPage: Top 12 Equine Neurologic Diseas

How well did you know this?
1
Not at all
2
3
4
5
Perfectly
9
Q

A 3-year old female intact Doberman presents to your clinic for a routine spay. The owner states she has not recently been in heat and has been healthy her entire life. Aside from a thorough physical examination and routine blood work, what additional diagnostic test should be performed prior to surgery?

  • Abdominal ultrasound
  • Chest radiographs
  • Buccal mucosal bleeding test
  • Activated clotting time
A

Answer: Buccal mucosal bleeding test

Explanation
Doberman Pinschers are predisposed to having von Willebrand’s Disease (vWD). Specifically, Dobermans have increased incidence of have Type 1 WD. In this type, there is a reduced presence of functional von Willebrand factor. This factor is crucial in initial clot formation and attracts platelets and allows them to bind to exposed subendothelium after injury. A buccal mucosal bleeding test should result in a clot in less than 4 minutes in normal dogs. An abnormal result warrants further investigation to confirm the presence of vWD in order to take the appropriate measures prior to surgery.

Chest radiographs are not necessary prior to anesthetizing this patient for an elective procedure unless there are physical examination findings which indicate radiographs of the chest. An abdominal ultrasound is a potentially good choice if there is concern that the uterus is enlarged or the animal is pregnant; however, there is no history presented that would make you believe that is the case, and it is impractical to perform an abdominal ultrasound for a routine procedure unless there is a clear indication. The activated clotting test evaluates the intrinsic and common coagulation pathways, and there is no concern with dysfunction in these.

How well did you know this?
1
Not at all
2
3
4
5
Perfectly
10
Q

A Thoroughbred mare is due to foal in three weeks. Based on previous blood testing, the mare is known to be Aa-blood type. The sire of the foal is known to be Aa+ blood type, based on previous testing. Therefore, a screening test for Aa blood type antibodies is performed on the mare. When the results of this screening test are received, the mare is positive for Aa antibodies. What steps should be taken to minimize the risk of illness in this foal?

  • Allow the foal to nurse at birth, but store blood from the sire on ice if needed for a blood transfusion for the foal.
  • Muzzle the foal at birth and feed colostrum and milk from an Aa- mare for 48-72 hours until the dam’s milk tests negative for antibodies.
  • Place the foal on a nurse mare at birth, supplement colostrum, and keep the foal on the nurse mare until weaning.
  • At birth, give an injection of dexamethasone and allow the foal to nurse, but store blood from the dam on ice if needed for a blood transfusion for the foal.
A

Answer: Muzzle the foal at birth and feed colostrum and milk from an Aa- mare for 48-72 hours until the dam’s milk tests negative for antibodies.

Explanation
To prevent neonatal isoerythrolysis, the foal should be muzzled at birth and given oral colostrum and milk from a mare that is negative for Aa antibodies for 48 to 72 hours. If the foal is born with his father’s blood type (Aa+), drinking the dams colostrum will allow Aa antibodies to cross into the foal’s blood stream and lyse his red blood cells, causing anemia and jaundice. After approximately 48 hours, the foal’s gut is no longer permeable to large proteins so he may then safely nurse on his dam. With best practices, the dam’s milk is tested prior to allowing the toal to resume nursing.

Nurse mares are not a good source of colostrum and the foal only needs an alternative colostrum/milk source for the first few days.

Blood from the dam would be unsuitable for transfusion because it contains Aa antibodies.
Blood from the sire would be acceptable because it does not contain Aa antibodies, however, all efforts should be made to avoid the need for a transfusion.

How well did you know this?
1
Not at all
2
3
4
5
Perfectly
11
Q

Which of the following are listed on a balance sheet of a practice?

  • Sources and uses of cash over a period of time
  • Income and expenses over a period of time
  • Salary of each employee of the company
  • Asset, liability, and owner(s) equity
A

Answer: Asset, liability, and owner(s) equity

Explanation
A balance sheet is a report on the financial condition of the practice. It lists practice assets, liabilities and owner(s) equity at a specific point in time. It does not track income or cash flow over a period but is more of a snapshot of the company’s condition.

A profit and loss statement is the document which reports on income and expenses over a period of time. A cash flow statement is the document which reports on sources and uses of cash over a period of time.

***PowerPage: Reading a Balance Sheet

How well did you know this?
1
Not at all
2
3
4
5
Perfectly
12
Q

In autumn, a 3-year old Texel ram presents with swelling and edema of the face (see image). There is no hemorrhage or apparent gas pockets. The ram is dull and depressed with a rectal temperature of 106 F (41.1 C). The mucous membranes are congested and submandibular lymph nodes cannot be palpated due to edema. This is the only ram clinically affected. What treatment or management recommendation is most appropriate?

  • Treat affected ram with sodium iodide
  • Treat all sheep in herd with oxytetracycline
  • Treat the affected ram with penicillin
  • Eliminate scabrous feeds
  • Cull the affected ram and treat the other sheep in the herd with penicillin
A

Answer: Treat the affected ram with penicillin

Explanation
The most likely condition to consider based on the image and presentation is bighead (caused by Clostridium novyi, C. sordelli, or rarely C. chauvoei).

Bluetongue is less likely based on one sheep being affected. Treatment with penicillin is usually effective.

Culling or treating all animals is unnecessary as Clostridium is found in the soil and feces of healthy animals.

Bighead is caused when the organism enters through wounds obtained during head butting activities.

The disease can be fatal if untreated. The key to reducing the incidence of this disease is management to reduce head wounds and vaccination with multivalent clostridial toxoids.

How well did you know this?
1
Not at all
2
3
4
5
Perfectly
13
Q

In autumn, a 3-year old Texel ram presents with swelling and edema of the face (see image). There is no hemorrhage or apparent gas pockets. The ram is dull and depressed with a rectal temperature of 106 F (41.1 C). The mucous membranes are congested and submandibular lymph nodes cannot be palpated due to edema. This is the only ram clinically affected. What treatment or management recommendation is most appropriate?

  • Treat affected ram with sodium iodide
  • Treat all sheep in herd with oxytetracycline
  • Treat the affected ram with penicillin
  • Eliminate scabrous feeds
  • Cull the affected ram and treat the other sheep in the herd with penicillin
A

Answer: Treat the affected ram with penicillin

Explanation
The most likely condition to consider based on the image and presentation is bighead (caused by Clostridium novyi, C. sordelli, or rarely C. chauvoei). Bluetongue is less likely based on one sheep being affected. Treatment with penicillin is usually effective.

Culling or treating all animals is unnecessary as Clostridium is found in the soil and feces of healthy animals.
Bighead is caused when the organism enters through wounds obtained during head butting activities. The disease can be fatal if untreated. The key to reducing the incidence of this disease is management to reduce head wounds and vaccination with multivalent clostridial toxoids.

How well did you know this?
1
Not at all
2
3
4
5
Perfectly
14
Q

The owner of an equine breeding facility reports that they have had a problem with mares foaling weeks past their due date. One foal, born unattended, could not break out of the amniotic sac and suffocated. The owners have been present for subsequent births and have repeatedly had to help the foals break out of the fetal membranes. Another foal had to be pulled when the placenta prematurely separated from the uterus and presented as a “red bag.” The owner saved this placenta for you to examine. You note that it is red and thickened. After further questioning, the owner also reports that when the mares do foal, most are agalactic and have no colostrum. What is the first step that you recommend to the owner of these horses?

  • Test all of the farm’s breeding stallions for equine viral arteritis
  • Apply a pesticide to trees on the property to eliminate caterpillars
  • Vaccinate all horses on the farm for equine herpesvirus
  • Move the mares to a dry lot two months before parturition and feed high-quality legume hay
A

Answer: Move the mares to a dry lot two months before parturition and feed high-quality legume hay

Explanation
This is a case of fescue toxicosis. Mares grazing on fescue grass can ingest an endophyte, Acremonium coenophialum. This endophyte causes increased gestation length, increased risk of stillborn foals, agalactia, retained placenta, and an increased thickness to the placenta. Clinical signs are more severe in the southeastern US, but can also be seen in the north after a mild winter. Removing the mares from fescue 60 days prior to parturition results in normal foaling and milk production. Mares that must remain on fescue pasture may be treated with domperidone 20 days prior to foaling.

Fescue Poisoning in Animals

Eastern Tent Caterpillars are the cause of Mare Reproductive Loss Syndrome, which results in early and late term abortions due to bacterial placentitis. When horses ingest the caterpillars, their spiky hairs (setae) penetrate the lining of the intestine and enter the blood supply with bacteria, causing potential fetal infection.

Equine herpesvirus (EHV) can cause late term abortion, however there are no placental lesions and agalactia is not present.

Equine viral arteritis (EVA) causes late term abortions and like EHV, placental lesions are not present.

How well did you know this?
1
Not at all
2
3
4
5
Perfectly
15
Q

A 9 year-old male neutered American Eskimo presents for progressive hair loss along his sides. The areas of alopecia are smooth with no crusts or scales, and he is not pruritic. You performed an ACTH stimulation test and did an adrenal sex profile, both of which were normal: thyroid tests were also normal. The owners declined a skin biopsy. You suspect Alopecia X in this patient. The owner would like to know if there is an over-the-counter medication that may potentially help with hair regrowth. You suggest that she could try which of the following supplements?

  • Zinc
  • Vitamin A
  • Melatonin
  • Milk thistle
A

Answer: Melatonin

Explanation
It is unknown what exactly causes Alopecia X, but it has been shown to be genetic. Nordic breeds and Pomeranians are most commonly affected. Alopecia X causes an arrest of the hair cycle. Melatonin may help some pets with this condition.

Husky dogs can get zinc responsive dermatosis, which would be treated with zinc. Milk thistle is used as a supplement for dogs with liver disease. Hypovitaminosis A is more common in birds fed a seed-only diet and can cause lesions in the eyes and mouth and may cause respiratory symptoms.

How well did you know this?
1
Not at all
2
3
4
5
Perfectly
16
Q

What is the most common ocular tumor in cattle?

  • Adenoma
  • Melanoma
  • Lymphoma
  • Squamous cell carcinoma
A

Answer: Squamous cell Carcinoma

Explanation
The correct answer is squamous cell carcinoma. It occurs most in cattle which lack pigment in the lids and in older beef cattle (particularly Herefords).

How well did you know this?
1
Not at all
2
3
4
5
Perfectly
17
Q

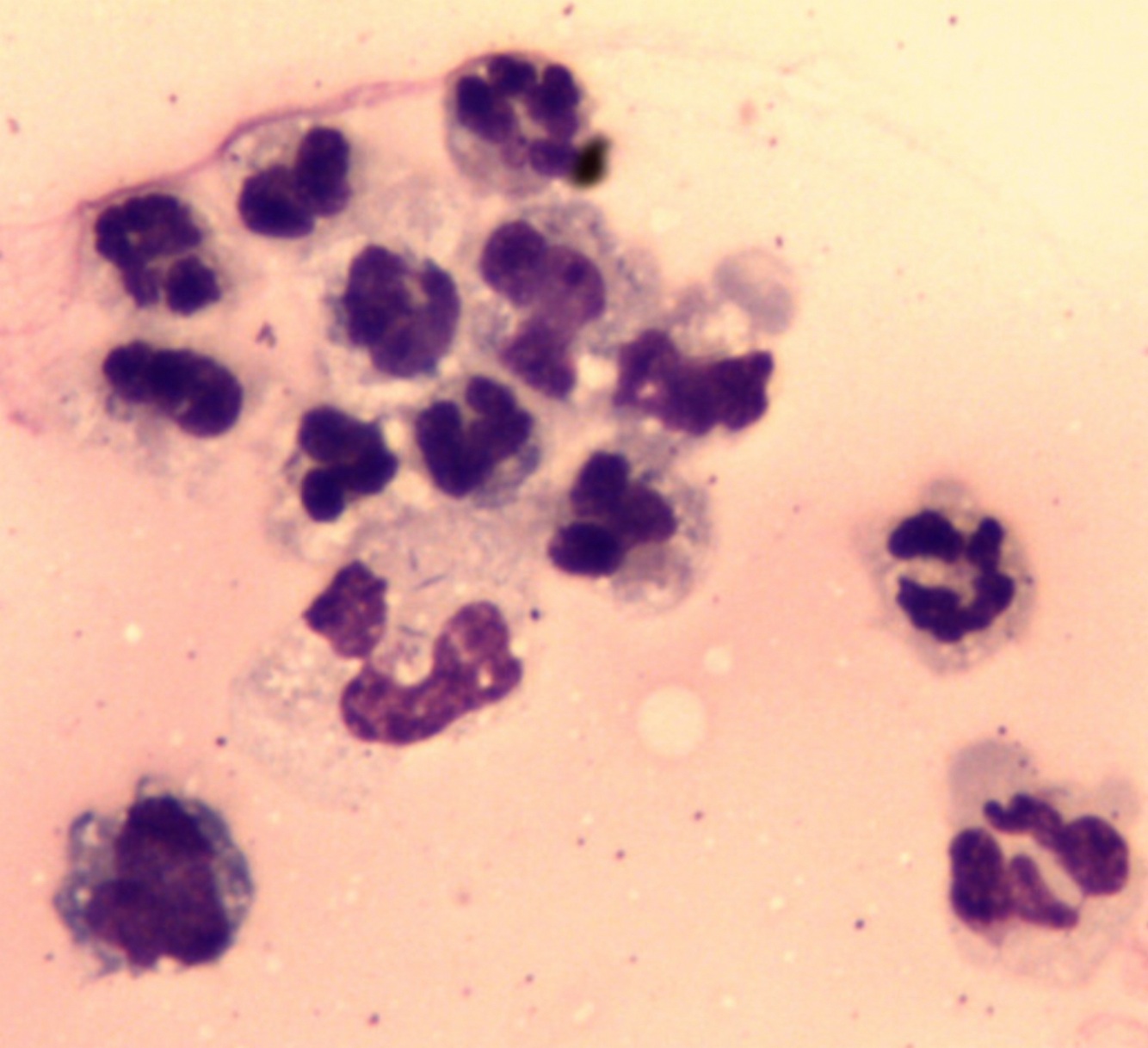
A 4-year-old female Bernese mountain dog presents for lethargy and urinary accidents for 2 days. The owner reports she has been drinking more and urinating frequently. She has also vomited several times. Her temperature is 103.2 F (39.6 C), heart rate is 85 bpm, and she is panting. She has a purulent vaginal discharge, which you collect a sample of for cytology (shown below). Abdominal ultrasound shows a thickened and cystic endometrium with anechoic fluid inside the uterus. A complete blood count and chemistry panel are within normal limits except for an increased segmented neutrophil count of 23,000 cells/uL (normal is 4950-12,000/uL). The owner tells you that she does not wish to have the dog spayed. Which of the following would be most useful in the medical management of this problem?

  • Prostaglandin F2-alpha
  • Prednisone
  • Estradiol
  • Haloperidol
  • Tamoxifen
A

Answer: Prostaglandin F2-alpha

Explanation
Although ovariohysterectomy is the treatment of choice for dogs with pyometra because it is curative and preventative for recurrence, medical management of pyometra can be considered in dogs of appropriate breeding age that are reproductively valuable and free of life threatening complications including septicemia, endotoxemia, or organ dysfunction. Options include prostaglandins to induce regression of corpora lutea, which relaxes the cervix and stimulates myometrial contractions, promoting expulsion of the uterine contents.

Additional options include dopamine agonists (such as cabergoline and bromocriptine), which act to inhibit prolactin production from the pituitary gland. Patients should be monitored frequently during and after medical management of pyometra and should improve within 2-4 days. Successfully treated bitches should be bred during their next cycle after treatment.

Tamoxifen is an estrogen antagonist and has been associated with causing pyometra in dogs but is not an effective treatment. Haloperidol is a dopamine antagonist. Prednisone is contraindicated for pyometra.

How well did you know this?
1
Not at all
2
3
4
5
Perfectly
18
Q

Which of the following is not a viral cause of abortion in cattle?

  • Bovine viral diarrhea
  • Bovine papular stomatitis
  • Infectious bovine rhinotracheitis
  • Akabane virus
A

Answer: Bovine papular stomatitis

Explanation
The correct answer is bovine papular stomatitis. The other ones are viral causes of abortion.

How well did you know this?
1
Not at all
2
3
4
5
Perfectly
19
Q

You are asked to examine some feeder pigs that have stopped eating yesterday. The group is lying down and seems lethargic. They have fevers of 105-106F (40.6 - 41.1 C), firm dry feces, and the skin has rhomboid-shaped red blotches scattered on it. What treatment should be recommended?

  • Metronidazole
  • Streptomycin
  • Chloramphenicol
  • Penicillin
  • Gentamicin
A

Answer: Penicillin

Explanation
Erysipelas is susceptible to penicillins, as well as tetracyclines (usually), lincomycin and tylosin. Chloramphenicol and nitroimidazoles (including metronidazole) are not approved for food animal use.

***PowerLecture: Multisystemic Diseases

How well did you know this?
1
Not at all
2
3
4
5
Perfectly
20
Q

A 4-day old foal presents to you for abdominal distension and depression. The owners describe the foal as having frequent attempts to urinate with only small amounts voided. On physical exam, the foal’s heart rate is 180 beats per minute and respiratory rate is 60 breaths per minute. What is the most likely cause of the foal’s clinical signs?

  • Uroperitoneum
  • Hemoabdomen
  • Right-sided congestive heart failure
  • Meconium impaction
  • Septic peritonitis
A

Answer: Uroperitoneum

Explanation
The correct answer is uroperitoneum. With the foal’s history of pollakiuria combined with abdominal distension, tachycardia, tachypnea, and depression, you should suspect uroperitoneum. The most common cause of uroperitoneum is a ruptured urinary bladder from large amounts of pressure on the urinary bladder that often occurs during parturition. Treatment involves surgical repair.

***PowerLecture: Foal Uroperitoneum:

How well did you know this?
1
Not at all
2
3
4
5
Perfectly
21
Q

An out-of-town buyer calls your office to schedule a pre-purchase exam for a horse. The buyer is purchasing the horse from one of your largest clients, a well-known and reputable warmblood breeding and training facility. The client is unable to attend the pre-purchase exam. However, she would like for you to email your exam findings and all medical records to her veterinarian, who happens to be a former classmate and good friend of yours. Do you take this appointment?

  • Yes, because veterinarians are considered free from conflict of interest
  • No, because the seller must be present for a pre-purchase exam
  • Yes, because you have a good relationship with the buyer’s veterinarian
  • No, because you have a conflict of interest
A

Answer: No, because you have a conflict of interest

Explanation
Conflict of interest is obvious in this case and referral to another veterinarian who does not treat the sellers’ horses should be advised. The seller does not need to be present for a pre-purchase exam, however, it should be encouraged. If the owner cannot attend, a video of the exam should be taken. While veterinarians are considered one of the most reputable of all the medical professions, we should not put ourselves in a situation that may have legal repercussions. Although you have a good relationship with the out-of-town vet, avoiding a situation like this may be better for your long-term working relationship.

How well did you know this?
1
Not at all
2
3
4
5
Perfectly
22
Q

You are out to examine cattle at a beef ranch and the rancher mentions that there has been investigation regarding a possible E. coli 0157:H7 outbreak at a nearby herd. He wants to know what sign(s) infected cows would be most likely to display. What is the best answer?

  • No symptoms
  • Hematochezia
  • Dehydration
  • Inappropriate mating behavior
  • Seizures
  • Weight loss
A

Answer: No symptoms

Explanation
E. coli O157:7 is a concern because of its zoonotic potential and not because of pathology seen in cattle as infected animals are typically asymptomatic. The bacteria are spread through fecal-oral transmission, most commonly by contamination of food or water supplies. Recent outbreaks in North America have involved contamination of foods (vegetables such as spinach and lettuce). The major sign seen in humans is hemorrhagic colitis.

How well did you know this?
1
Not at all
2
3
4
5
Perfectly
23
Q

Which are the most common serovars now thought to play a role in canine leptospirosis?

  • Bratislava, canicola, icterohemorrhagiae
  • Grippotyphosa, pomona, bratislava
  • Pomona, bratislava, icterohemorrhagiae
  • icterohemorrhagiae, canicola, grippotyphosa
A

Answer: Grippotyphosa, pomona, bratislava

Explanation
The correct answer is grippotyphosa, pomona, and bratislava. Icterhemorrhagiae and canicola were the most common serovars isolated in the past. The leptospires penetrate mucous membranes or abraded skin and multiply in the blood stream and spread to organs. The antibody response usually limits the response to the renal tubular epithelial cells. Clinical signs include anorexia, pyrexia, vomiting, dehydration, PU/PD, anuria or oliguria. The standard diagnostic test is the microscopic agglutination test (MAT); be careful when interpreting titers. Remember, leptospirosis is zoonotic.

How well did you know this?
1
Not at all
2
3
4
5
Perfectly
24
Q

A 9-year old DSH cat initially presented with a history of decreased appetite and intermittent vomiting. On physical exam the cat is approximately 5% dehydrated. There is no palpable slip noted in the thyroid region. Blood work performed showed a BUN of 44 mg/dL (19-34 mg/dl) and creatinine of 2.4 mg/dL (0.9-2.2 mg/dl). PCV is 55 % (30-45 %). Glucose was 180 mg/dL (60-120 mg/dl). Abdominal radiographs showed a questionable pattern in the area of the duodenum but it was not obstructive. A barium series was then performed and did not show any obvious filling defects or delayed emptying. How should you treat this patient?

  • Perform an ultrasound of the urinary tract followed by a nephropyelogram
  • Begin patient on amoxicillin/clavulonate
  • Recommend an exploratory laparotomy and obtain biopsies
  • Admit patient for fluid therapy and supportive care
A

Answer: Admit patient for fluid therapy and supportive care

Explanation
With the information given, we can be sure that this patient has a mild azotemia which is more than likely pre-renal in origin. With acute renal failure, BUN and creatinine values would be much more increased. There is no indication of an infection and treating blindly with an antibiotic is inappropriate. An exploratory laparotomy would be premature at this time but may be indicated if the patient does not respond to supportive care. It is possible this patient has a mild case of pancreatitis or indigestion. It is best to admit the patient for supportive care and consider performing an abdominal ultrasound.

How well did you know this?
1
Not at all
2
3
4
5
Perfectly
25
A turkey producer calls you out to examine his flock. Some of his turkeys have crusty, nodular lesions on the head and neck. When you take a look at these birds, you notice some lesions are coalescing and many are scabbed. There are no other clinical signs in these birds and there has been no mortality. Because of the clinical presentation, the small number of birds affected, and the lack of mortality, you presumptively diagnose fowlpox. **What is the best method to stop the spread of disease?** - Depopulate the flock due to the highly contagious nature of the disease - Vaccinate young birds only, those ‹12 weeks of age - Do nothing as the virus is self-limiting - Vaccinate all turkeys except those naturally infected - Vaccinate all turkeys in the flock including those infected with disease
Answer: **Vaccinate all turkeys except those naturally infected** Explanation Vaccinating all turkeys except those naturally infected is the best method to stop the spread of disease as those infected will have natural immunity after recovery. Depopulation is not necessary as the disease is not as contagious as some and is not severe. The virus is self-limiting, but it will spread to other birds. Additionally, there is another form of the disease, the diphtheritic form, with higher morbidity and mortality which will have a more detrimental effect to the flock. Vaccinating young birds only is not going to stop the spread of disease to adult birds and vaccination of young birds with passive immunity will not develop an appropriate response to vaccination. Vaccinating turkeys with natural infection is not necessary due to the development of natural immunity.
26
**Which two conditions may be diagnosed by finding a ping on the left side of the cow using simultaneous auscultation and percussion?** - Cecum and torsed abomasum - Spiral colon and torsed abomasum - Spiral colon and cecum - Ruminal tympany and left displaced abomasum
Answer: **Ruminal tympany and left displaced abomasum** Explanation The correct answer is ruminal tympany and left displaced abomasum. Gas in the spiral colon, cecum, and torsion of the abomasum are diagnosed by a ping on the right side.
27
An 8-year old mixed breed dog presents for polyuria, polydipsia, and polyphagia. Bloodwork and a urinalysis were submitted, but the dog dies the next day due to pulmonary thromboembolism diagnosed at necropsy. **What is the bloodwork and urinalysis likely to show?** - Hypercalcemia, hyperphosphatemia, isosthenuria - Hypocholesterolemia, low BUN, hypoalbuminemia, hyperbilirubinemia, isosthenuria - Hyperkalemia, hyponatremia, elevated BUN, hyposthenuria - Hypercholesterolemia, elevated alkaline phosphatase, thrombocytosis, isosthenuria - Moderate azotemia, elevated amylase, isosthenuria
Answer: **Hypercholesterolemia, elevated alkaline phosphatase, thrombocytosis, isosthenuria** Explanation The correct answer is hypercholesterolemia, elevated alkaline phosphatase, thrombocytosis, isosthenuria. This dog has Cushing's disease or hyperadrenocorticism. The clinical signs and death from PTE makes this a classic Cushing's patient. If an ACTH stimulation test were run, the results would be high, consistent with Cushing's disease. ***PowerPage: Hyperadrenocorticism (Cushing's Disease)
28
You are called to a dairy farm to examine a cow that appeared uncomfortable in the milking parlor earlier in the day. When you arrive at the farm, you learn that no other issues have been noted within the herd and bulk milk tank somatic cell counts have been normal. On your physical exam, you note that the cow has a temperature of 101.6°F, pink/moist mucous membranes, and no abnormalities on thoracic or abdominal auscultation. When you examine the mammary glands, you observe that one quarter is firm and painful upon milking. Milk expressed from the affected quarter is thickened, with fibrinous clots. **What treatment do you recommend?** - Intramuscular administration of Penicillin G to the entire herd - Intramammary infusion of pirlimycin and intramuscular injections of Penicillin G to the entire herd - Intramuscular administration of Penicillin G to the affected cow - Strip the affected quarter several times a day - Intramammary infusion of pirimycin to the affected cow
Answer: **Intramammary infusion of pirimycin to the affected cow** Explanation An intramammary infusion of pirlimycin to the affected cow is the best treatment for mild clinical mastitis. The producer must also follow withdrawal period guidelines to keep the treated cow's milk out of the food supply for the required amount of time and/or until there are no detectable antibiotics in the milk. The cow is not showing systemic symptoms, which makes systemic antibiotics unnecessary. Treating all cows in the herd is not necessary unless there is a subclinical mastitis problem in the herd, which would be indicated by high somatic cell counts (SCC) in bulk milk tank samples. Stripping the affected quarter several times a day is recommended in any clinical mastitis case, but is unlikely to eliminate this infection without the addition of antibiotics.
29
You examine a very ill 4-year old Holstein dairy cow on a large commercial dairy. She freshened one week ago and was producing well, until she was found down and unwilling to rise this morning when you were called. T=103F or 39.4 C, HR=90, and RR=35. The scleral vessels are dark are enlarged, her rumen is fairly empty and the motility is poor, and she appears too weak to rise. Rectal exam reveals an involuting uterus which can be retracted, discharging a brownish red mucoid non-odorous lochia through the vagina. The left rear quarter of her udder is swollen, hot, painful, and discolored (see image), and contains a serum-like secretion with clumps of fibrin in it. **What is your diagnosis?** - Hypocalcemia (milk fever) - Coliform mastitis - Grain overload - Displaced abomasum - Metritis
Answer: **Coliform mastitis** Explanation This is a case of severe acute coliform mastitis, and the absorbed endotoxin (LPS) is causing many of the systemic signs observed. The cow needs to be aggressively treated with IV fluids, NSAIDS, and supportive nursing. The gland should be frequently milked out. The use of both intramammary and systemic antimicrobial drugs to which most coliforms are susceptible is still controversial, but is often done in cows in a severe state of illness as in this case. While this cow may have secondary hypocalcemia, treatment with calcium needs to be approached cautiously, as endotoxic animals have very sensitive myocardium and arrest may occur if calcium is given IV. If given, preferred routes of calcium administration would be subcutaneous or oral.
30
**What are the most common serum electrolyte abnormalities in a foal with uroperitoneum?** - Hyperkalemia, Hypernatremia, Hypochloremia - Hyperkalemia, Hypernatremia, Hyperchloremia - Hyperkalemia, Hyponatremia, Hyperchloremia - Hyperkalemia, Hyponatremia, Hypochloremia
Answer: **Hyperkalemia, Hyponatremia, Hypochloremia** Explanation This is the most common electrolyte profile in a foal with uroperitoneum. The urine is high in potassium and low in sodium and chloride; thus when uroabdomen occurs, the electrolytes equilibrate between the serum and abdominal fluid. ***PowerLecture: Foal Uroperitoneum
31
A herd of goats has recently experienced several animals with CNS signs including not herding with the group, appearing blind, and having anorexia and hypermetria. One goat had developed dorsomedial strabismus and teeth grinding; it went on to become comatose and had periodic tonic-clonic convulsions before it died. Postmortem reveals cerebrocortical necrosis (polioencephalomalacia). **What treatment should be used on the next animal to appear with these signs?** - Penicillin orally and IV - Thiamine injections - Selenium orally - Phosphorus orally - Tetracycline IV
Answer: **Thiamine injections** Explanation The disease has many factors, including dietary, that should also be addressed, but the single best treatment is to give thiamine. Convulsions can also be controlled by diazepam or phenobarbital. Thiamine should be diluted and given either SQ or very slowly IV. ***PowerPage: Top 10 Sheep and Goat Diseases
32
A Paint horse is found to be approximately 7% dehydrated after a several day trail ride. **Assuming there are no other ongoing losses and the horse weighs 500kg how many liters of fluid will you need to give this horse over a 24 hour period to correct the deficit and account for maintenance requirements?** - 65L - 125L - 40L - 35L - 75L
Answer: **65L** Explanation To determine this answer you must figure out the deficit and calculate the horse's maintenance needs. The deficit is 35L (deficit x BW). Maintenance needs for a horse is approximately 60ml/kg/day. In this case, 30L. Adding the deficit and maintenance fluids together yields a total of 65 liters.
33
A deceased adult Red Tailed Hawk presents to you for necropsy after long standing respiratory disease. You find white plaques on the air sacs and caseous plugs in the distal trachea. **What disease do you suspect?** - Candidiasis - Internal papillomatosis - Trichomoniasis - Aspergillosis
Answer: **Aspergillosis** Explanation The correct answer is aspergillosis. This is caused by Aspergillus fumigatus. It is common among raptors, penguins, and waterfowl but not psittacines except under poor husbandry, stress, or immunodeficiency. Transmission is by inhalation of spores. There may be a history of respiratory signs (acute or chronic). Findings include fungal plaques on the air sacs and thickening of the air sacs. Antemortem diagnosis can be made by transtracheal wash with culture and cytology. Treatment is with antifungals such as amphotericin B or -azole antifungal agents.
34
**Aural hematomas in pigs are often caused by which of the following?** - Ear notching - Poor nutrition - Coagulopathies - Bites inflicted by other pen mates
Answer: **Bites inflicted by other pen mates** Explanation The correct answer is bites inflicted by other pen mates. Aural hematomas in pigs also commonly occur from violent head shaking. Violent head shaking is often associated with foreign debris in the ears and ectoparasites such as mites or lice.
35
**If a mass appears in the lungs on a right lateral radiograph but not on a left lateral radiograph, where is the mass located?** - Mediastinum - Right lung - Body wall - Left lung
Answer: **Left lung** Explanation The correct answer is left lung. On a right lateral radiograph, the right side is down. In this situation, the right lung lobes are compressed and the left lung lobes inflated, accentuating a mass in the left lung. On a left lateral radiograph, the left lobes are compressed and a mass in the left lung can be concealed due to compression of the lung surrounding the mass.
36
**How much protein should you feed a dog with hepatic insufficiency or hepatic encephalopathy?** - The maximum amount of protein they will tolerate without causing signs of encephalopathy - The minimum amount of protein they will tolerate without developing hypoproteinemia - The total quantity of protein is not important as long as they eat predominantly meat proteins rather than dairy proteins - 1.0 gram protein/kg/day
Answer: **The maximum amount of protein they will tolerate without causing signs of encephalopathy** Explanation Dogs with hepatic insufficiency or hepatic encephalopathy need to have their protein levels restricted to reduce clinical signs associated with liver dysfunction; however, restricting protein intake to the point where hypoproteinemia develops is excessive. If too little protein is fed to these patients, muscle catabolism may occur. Proteins derived from meat sources are more prone to causing encephalopathy than proteins from dairy sources due to the high levels of nucleic acids and other nitrogenous compounds found in meat that are converted to ammonia.
37
**Vitamin E deficiency in chicks results in which problem?** - Nutritional encephalomalacia - Bleeding diathesis - Weak bones - Blindness
Answer: **Nutritional encephalomalacia** Explanation Chicks 15 to 30 days old on a Vitamin E deficient diet show ataxia or paresis, prostration and death. There is ischemic necrosis, demyelinization, and neuronal degeneration of many parts of the brain. Vitamin E deficiency can also cause exudative diathesis and nutritional myopathy in chicks.
38
You are called to a swine breeding herd that is experiencing some abortions. On arrival you find out that there are 285 sows in the herd and 5 of them aborted overnight. Two days ago 2 other sows aborted. You are suspicious of Porcine reproductive and respiratory syndrome (PRRS). The herd has not used any PRRS vaccines for the past 18 months. All aborted fetuses have been discarded by the time you arrive. **What diagnostic workup should you do?** - Only test the 7 aborted sows for PRRS virus via serum PCR - No testing can be done since the fetuses have been discarded - Only test the 7 aborted sows for PRRS antibodies via serum ELISA - Test 30 random sows in the herd for PRRS antibodies via serum ELISA - Test 30 random sows in the herd for PRRS virus via serum PCR
Answer: **Only test the 7 aborted sows for PRRS virus via serum PCR** Explanation The correct answer is to only test the 7 aborted sows for PRRS virus via serum PCR. PRRS causes abortions shortly after infection and therefore the sows should still be viremic at the time of the abortion. Your testing should be focused on the sick (aborted) animals. Random sampling is used when establishing the herd's status; in this case you are focused specifically on the status of the aborted animals. Antibody production takes time and therefore is most likely not present in the sows at the time of the abortion. **Porcine Reproductive and Respiratory Syndrome (PRRS)** Definition: • Viral disease affecting swine, causing reproductive failure and respiratory issues. Etiology: • Arterivirus (family Arteriviridae). • Stable under freezing; sensitive to heat. Transmission: • Infected pigs, contaminated semen, aerosols, fomites, certain insects. Clinical Signs: • Reproductive: Stillbirths, mummified fetuses, premature farrowings, weak piglets, abortions, anorexia, agalactia. • Respiratory: Respiratory distress, reduced growth, high mortality post-weaning. Diagnosis: • Serology (ELISA), PCR, virus isolation, immunohistochemistry. Treatment: • No specific treatment; supportive care (NSAIDs, antibiotics for secondary infections). Control: • Modified-live vaccines, biosecurity measures, herd closure techniques, quarantine, and testing of incoming stock. For more information, visit the [Merck Veterinary Manual website](https://www.merckvetmanual.com/generalized-conditions/porcine-reproductive-and-respiratory-syndrome/porcine-reproductive-and-respiratory-syndrome?query=porcine%20reproductive%20and%20respiratory%20syndrome)
39
**All the following are true regarding cutaneous feline mast cell tumors EXCEPT which of the following?** - Cutaneous feline mast cell tumors are most commonly found on the trunk and extremities - Feline mast cell tumors are not graded I, II, and III as they are in canines - Cutaneous mast cell tumors are the 2nd most common skin tumor in the cat - Cutaneous feline mast cell tumors rarely metastasize
Answer: **Cutaneous feline mast cell tumors are most commonly found on the trunk and extremities** Explanation Cutaneous feline mast cell tumors are most commonly located on the face and head. They are the second most common skin tumor found in cats, behind basal cell tumors. Feline mast cell tumors of the skin rarely metastasize. Generally speaking, when metastatic mast cell disease is found, it is likely that a visceral source of disease (i.e. splenic mast cell disease) is present. Feline mast cell tumors of the skin are not graded as they are in dogs, but histopathology is relied upon to predict the behavior of the tumor that is removed.
40
**Cryptococcus neoformans is associated with the feces of which animal?** - Cat - Bat - Bird - Snake - Dog
Answer: **Bird** Explanation The correct answer is bird. Birds, such as pigeons, tend to shed this organism. It can actually survive in pigeon feces for up to 2 years if in the right conditions. ***PowerLecture: Cryptococcus
41
You are examining a horse for depression and an inability to swallow. **Which of these neurologic conditions is LEAST likely seen in horses?** - Lead toxicity - Botulism - Pseudorabies - Rabies
Answer: **Pseudorabies** Explanation The correct answer is pseudorabies. Horses are very rarely affected by pseudorabies. The other diseases listed are more likely to affect horses. ***PowerPage: Top 12 Equine Neurologic Diseases
42
**Which dermatophyte is most commonly associated with ringworm in the llama?** - Trichophyton verrucosum - Microsporum canis - Microsporum nanum - Trichophyton mentagrophytes
Answer: **Microsporum nanum** Explanation The correct answer is Microsporum nanum. M canis commonly affects dogs and cats. T mentagrophytes affects cattle and more commonly, goats. T verrucosum affects goats and more commonly, cattle. ***PowerPage: Top 10 Things to Know for Camelids
43
A 1 year old female sheep presents to you with a discrete mass on the ventral neck. In cross section, the mass has an "onion-ring" appearance of concentric layers of fibrous tissue separated by inspissated caseous exudate. An aspirate shows many small gram-positive rods both intracellularly and extracellularly. **What is the likely etiology?** - Mycobacterium paratuberculosis - Escherichia coli - Mycoplasma mycoides - Corynebacterium pseudotuberculosis
Answer: **Corynebacterium pseudotuberculosis** Explanation The correct answer is Corynebacterium pseudotuberculosis. This is a classic description of how caseous lymphadenitis presents in sheep. Infection may occur via penetration through superficial skin wounds and sometimes through unbroken skin. The pus contains large numbers of bacteria that can survive for months in the environment and be a source of infection. Typical clinical signs are a slowly growing, non-painful mass at the point of entry or a local lymph node. Treatment is usually not attempted as this tends to be a chronic recurring disease causing economic loss. Carriers can be a source of infection to other animals. ***PowerPage: Top 10 Sheep and Goat Diseases ***PowerLecture: Caseous Lymphadenitis
44
A beef ranch has suffered 12 acute deaths of 2-4 month old calves in the past six months. The owner of the ranch states that the animals appeared severely weak and depressed just before dying. On some of them, he noticed that they were having trouble breathing and had a frothy nasal discharge. You perform a necropsy on a calf that died yesterday. Findings included bilaterally symmetric muscular atrophy. The skeletal muscle appears pale and dry in appearance with white streaks running along muscle bundles. You also notice that there are several calves in the ranch which are having trouble rising, and their musculature appears swollen, hard, and painful. **What is the most likely diagnosis?** - Clostridial myositis - Septicemia - Gossypol toxicity - Oleander toxicity - Vitamin E and selenium deficiency
Answer: **Vitamin E and selenium deficiency** Explanation The correct answer is vitamin E and selenium deficiency (white muscle disease). The clinical signs are somewhat compatible with the other answers; however the necropsy results are diagnostic for white muscle disease. There is both a cardiac form, in which animals die acutely, and a skeletal muscle form, in which animals don't die acutely but show clinical signs. In this particular question, the ranch was suffering from both forms. Remember that oleander and gossypol are both cardiotoxic and can cause acute death. Given the necropsy findings, clostridial myositis would be unlikely. Selenium is essential for glutathione peroxidase, deiodinase, and selenoprotein-P to work. Glutathione peroxidase breaks hydrogen peroxide and lipoperoxide into water or harmless alcohols. ***PowerPage: White Muscle Disease
45
You are called to examine a flock of sheep in the Western US. Several sheep have recently become ill. One acted lethargic for approximately one week before being found acutely dead in the pasture with frothy nasal discharge. Other animals appear to be less severely affected. They exhibit lethargy and reluctance to move, accompanied by mild facial swelling. Some animals have gone on to develop mucopurulent discharge and act as though their muzzle is painful. When you examine the most severely affected sheep, you observe the presence of mucous membrane hemorrhages, oral ulceration, and a swollen, cyanotic tongue. Several of the sheep are also lame, with visible bruising at the skin/hoof junction. **What treatment do you recommend?** - Administer oxytetracycline to the entire herd - Feed affected sheep moist, softened food - Vaccinate the affected sheep for heartwater - Vaccinate the clinically ill sheep for bluetongue
Answer: **Feed affected sheep moist, softened food** Explanation The signs observed in these sheep are consistent with bluetongue, a vector-borne disease of sheep (and some other ruminants) spread by Culicoides spp., biting midges. This disease is present in the Southern and Western regions of the US due to the vector presence. The name bluetongue describes the cyanosis and swelling of the tongue of affected animals. Affected animals also have vasculitis of the hoof coronets causing lameness. The edema seen in affected animals is fairly indicative of this disease. Treatment is supportive in nature, including rest and soft food. Vaccination may prevent disease but will not have an effect on animals that are already showing clinical signs. Antibiotics are only necessary if a secondary infection develops and antivirals are not recommended.
46
**Which of the following viruses can cause paralysis and lymphoid tumors in young chickens and is commonly vaccinated against at hatcheries by 18-day in ovo or subcutaneous injection in hatchlings?** - Infectious bursal disease - Lymphoid leukosis - Fowl pox - Marek's disease - Newcastle disease
Answer: **Marek's disease** Explanation Diagnosis is based on enlarged nerves and lymphoid tumors in viscera. Marek's disease can look very similar to Lymphoid leukosis, which may also cause tumors. Tumors in the bursa of Fabricius are more suggestive of Lymphoid leukosis, and it does not typically cause paralysis like Marek's disease. Another differentiator is that Lymphoid leukosis is not usually seen in birds less than 14 weeks of age, while Marek's may be seen in chickens as young as 3 weeks.
47
**What is the physiologic abnormality in animals with tracheal collapse?** - Decreased number of tracheal rings - Underlying bronchopneumonia - Weakness of the tracheal rings - Narrow tracheal lumen
Answer: **Weakness of the tracheal rings** Explanation The correct answer is weakness of the tracheal rings. Tracheal collapse occurs because of hypocellularity and deficient glycoproteins and glycosaminoglycans in the tracheal rings. This leads to decreasing strength and loss of ability to remain firm and eventually collapse. ***PowerPage: Collapsing Trachea
48
A 4-week old foal is presented to you for evaluation of dysphagia and weakness. During your physical exam, you observe weakness and generalized muscle tremors. Upon further examination, you note weak tongue tone and dilated, non-responsive pupils. **What is the most likely cause of these clinical signs?** - Clostridium tetani - Guttural pouch mycosis - Equine protozoal myeloencephalitis - Clostridium botulinum
Answer: **Clostridium botulinum** Explanation The correct answer is Clostridium botulinum (also known as Shaker Foal Syndrome). Foals (2 weeks-6 months) are susceptible to the toxicoinfectious form of botulism, where they ingest the spores which grow in their intestines and make the toxin. The toxin blocks the release of acetylcholine from the neuromuscular junction, thus resulting in flaccid paresis or paralysis. Adults usually will only show clinical signs if they ingest the preformed toxin. Clinical signs are shaking, flaccid paralysis, drooling, decreased muscle tone, weakness, and dyspnea. The weak tongue tone is considered a cardinal sign. With medical treatment, prognosis is favorable; however prognosis is poor if treatment is not instituted, as many die of respiratory paralysis or pneumonia within days. ***PowerPage: Top 12 Equine Neurologic Diseases
49
**Babesia primarily affects which cells?** - Platelet - Eosinophil - Monocyte - Red blood cells - Neutrophil
Answer: **Red blood cells** Explanation The correct answer is red blood cells. Babesia causes RBC destruction due to direct damage and immune mediated mechanisms thus resulting in anemia. Interestingly, a thrombocytopenia is common with babesiosis.
50
**Infectious bovine rhinotracheitis ophthalmic lesions are caused by which virus?** - Bovine Herpes virus Ill - Bovine Herpes virus Il - Bovine Herpes virus I - Bovine Lenti virus
Answer: **Bovine Herpes Virus I** Explanation The correct answer is bovine herpes virus I. The virus infects the trigeminal ganglia and becomes latent. When an animal is immunosuppressed, the virus replicates and causes disease. Herpes Il causes bovine ulcerative mammilitis. Herpes Ill is the alcelaphine herpes virus (African malignant catarrhal fever). Lenti virus in cattle causes bovine leukosis. ***PowerPage: Infectious Bovine Rhinotracheitis
51
**Which of the following is correct concerning the esophagus of a horse?** - Entire length is striated muscle - Cranial 2/3 is striated muscle - Entire length is smooth muscle - Cranial 1/3 is smooth muscle
Answer: **Cranial 2/3 is striated muscle** Explanation The correct answer is cranial 2/3 is striated muscle. The remaining caudal third is smooth muscle.
52
**Which of these combinations should not be used in horses?** - Phenylbutazone and trimethoprim sulfa - Prednisone and omeprazole - Flunixin meglumine and phenylbutazone - Flunixin meglumine and medetomidine
Answer: **Flunixin meglumine and phenylbutazone** Explanation The correct answer is flunixin meglumine and phenylbutazone. Simultaneous administration of two NSAIDS increases the likelihood of gastric ulceration.
53
A young horse presents for further evaluation as a result of having consistent discomfort whenever a bit is used. The veterinarian confidently tells the owners he can fix the problem with a simple removal of the wolf tooth. **Which tooth is the veterinarian going to remove?** - Fourth incisor - Third molar - First premolar - Canine - First molar
Answer: **First premolar** Explanation The first premolar may cause problems with the bit, and is thus often electively removed by veterinarians. ***PowerLecture: Dentistry
54
**In canine patients with primary hyperparathyroidism, a chemistry panel would show:** - Hypercalcemia, hypophosphatemia - Hypocalcemia, hyperphosphatemia - Hypocalcemia, hypophosphatemia - Hypercalcemia, hyperphosphatemia
Answer: **Hypercalcemia, hypophosphatemia** Explanation The correct answer is hypercalcemia, hypophosphatemia. Patients with primary hyperparathyroidism would have hypercalcemia and normo to hypophosphatemia due to the law of mass action in which phosphorus decreases as calcium increases and vice versa. ***PowerLecture: Primary Hyperparathyroidism
55
**What is the main vector of Heartwater disease?** - Dermacentor - Rhipicephalus - Amblyomma - Boophilus
Answer: **Amblyoma** Explanation The correct answer is Amblyomma spp. Heartwater is a disease found in Africa and the West Indies, caused by Ehrlichia ruminantium. The disease is tick borne and results in fatal encephalitis in sheep, goats and cattle.
56
**What is the first line of treatment for ventricular tachycardia in cattle?** - Diltiazem - Propranolol - Lidocaine - Quinidine
Answer: **Lidocaine** Explanation The correct answer is lidocaine. If there is no response with lidocaine then propranolol and quinidine may be used.
57
A 5-year old female Golden Retriever presents for lethargy, dark runny stool, and dehydration. Bloodwork from yesterday showed markedly elevated plasma endogenous ACTH levels, K+ = 6.2 (3.9-5.1 mEq/L), Na+ = 135 (142-152 mEq/L), BUN = 62 mg/dl (8-28 mg/dl). **Long-term maintenance therapy for this patient should most likely include:** - IV fluids and daily doses of IV dexamethasone sodium phosphate - Mineralocorticoid supplementation alone - Mineralocorticoid, glucocorticoid, and NaCl supplementation - Supplementation with physiologic doses of prednisone
Answer: **Mineralocorticoid, glucocorticoid, and NaCl supplementation** Explanation The correct answer is mineralocorticoid, glucocorticoid, and NaCl supplementation. This dog has hypoadrenocorticism which is usually a deficiency in both glucocorticoids and mineralocorticoids. Elevated endogenous plasma ACTH concentrations with hypoadrenocorticism means the disease is due to primary adrenocortical insufficiency and failure to produce both types of corticosteroids (as opposed to secondary adrenocortical insufficiency, when the pituitary does not produce sufficient ACTH). Maintenance treatment of this disease includes supplementation with mineralocorticoids (e.g. Fludrocortisone acetate), glucocorticoids (e.g. Prednisone), and sodium chloride in the diet. IV fluids and dexamethasone sodium phosphate is used in an acute crisis. ***PowerPage: Hypoadrenocorticism (Addison's Disease)
58
15-25% of diaphragmatic hernias are not diagnosed until several weeks after trauma; therefore, it is important to perform thoracic radiographs in all animals that undergo significant trauma to avoid having an animal later go into respiratory distress and die. **How should you treat a diaphragmatic hernia as shown below?** - Fascia lata graft using a simple interrupted pattern - Mesh graft using porcine small intestinal submucosa - This hernia is too large and has exceeded the repair limits; the patient should be humanely euthanized - Simple continuous pattern of an absorbable suture such as polydioxanone
Answer: **Simple continuous pattern of an absorbable suture such as polydioxanone** Explanation Acute, traumatic, diaphragmatic hernias should be repaired primarily without the use of any "substitute" material for the diaphragm to reduce the risk of complications. It is very rare to have insufficient tissue/muscle to close an acute defect to the diaphragm. Using the native diaphragmatic wall decreases the risk of failure because this technique involves tissue with a direct blood supply as opposed to a mesh type material that is foreign to the body.
59
**In macaques, this relatively non-pathogenic disease can cause a fatal encephalitis if transmitted to humans.** - Tuberculosis - Hepatitis B - Herpes simiae - Measles
Answer: **Herpes simiae** Explanation The correct answer is Herpes simiae. This is a herpes B virus. Old world monkeys can transmit this disease by bite or scratch. Macaques are the most frequent carriers. In monkeys, the disease can cause mild cold sore like lesions in times of stress. This strain of herpes is potentially fatal to humans. Similarly, humans carry a strain of herpes (herpes simplex virus) which can cause fatal encephalitis in monkeys. Hepatitis B, tuberculosis, and measles are all zoonotic, but do not cause encephalitis.
60
**Which of these animals is not an induced ovulator?** - Ferrets - Rabbits - Cats - Hamsters
Answer: **Hamsters** Explanation The correct answer is hamsters. Cats, ferrets, and rabbits are all induced ovulators. Camelids are also induced ovulators.
61
**What is the causative chemical agent of fog fever in cattle?** - 3-Methylindole - Slaframine - Lactic acid - 4-Ipomeanol - Pyrrolizidine alkaloid
Answer: **3-Methylindole** Explanation The correct answer is 3-methyl indole. Cattle that are moved to lush forage that is high in tryptophan metabolize the tryptophan to 3-methyl indole in the rumen which is toxic to the lungs, resulting in acute interstitial pneumonia and emphysema. This syndrome is known as fog fever, acute bovine pulmonary edema and emphysema, or grunts. 4- Ipomeanol is the chemical involved in moldy sweet potato poisoning, which yields similar pathology.
62
You are spaying a 7-month old Doberman Pinscher and she is bleeding excessively from her skin and pedicles. **Why is this most likely occurring?** - von Willebrand's disease - Rodenticide toxicity - Hypertension - Thrombocytopenia
Answer: **von Willebrand's disease** Explanation The correct answer is von Willebrand's disease. This is a hereditary disorder most commonly seen in the Doberman. Platelets lose their ability to adhere to subendothelial collagen and thus function is impaired. This leads to prolonged bleeding times. The platelet count is usually normal with this condition. Rodenticide toxicity could also cause bleeding such as described, but due to the breed in this question, von Willebrand's disease is the best choice.
63
**Newly formed type Ill collagen is eventually replaced by what permanent type of collagen?** - Type I - Typell - Type Ill collagen is never replaced. - Type IV
Answer: **Type I** Explanation The correct answer is type I collagen. The newly formed type Ill collagen is eventually replaced by type I collagen; however, the replacement is never complete. This process takes between 8-11 months.
64
**What is the growth medium of choice for Mycoplasma bovis?** - Chocolate agar - Blood agar - Hayflick’s agar - MacConkey agar
Answer: **Hayflick’s agar** Explanation The correct answer is Hayflick's agar. Mycoplasma bovis does not grow well on the other choices provided. Additionally, you will want to grow it in a microaerophilic environment. [Bacterial Pneumonia due to Mycoplasma bovis Infection in Cattle](https://www.merckvetmanual.com/respiratory-system/infectious-respiratory-system-diseases-in-cattle/bacterial-pneumonia-due-to-mycoplasma-bovis-infection-in-cattle?query=mycoplasma%20bovis%20in%20cattle) **Mycoplasma bovis** is an important cause of chronic respiratory disease and arthritis in feedlot cattle and in young dairy and veal calves. Multiple species of mycoplasma can be isolated from the respiratory tract of non-pneumonic calves; however, the frequency of isolation is greater in those with respiratory tract disease. M bovis has been associated with otitis media in young calves and a syndrome involving chronic pneumonia and polyarthritis in feedlot cattle and in young dairy and beef calves. These cattle invariably have chronic bronchopneumonia with caseous and coagulative necrosis, and 40%-60% may also develop a polyarthritis and tenosynovitis that causes severe chronic lameness. The condition results in a chronic disease that does not respond to antimicrobial treatment; many of these animals are euthanized as a result. Culture of these organisms requires special media and conditions; growth of the organisms may take up to a week. PCR tests are now available and can detect the mycoplasma within hours, thus greatly speeding up diagnosis. Vaccines are commercially available for M bovis, but their efficacy has not been demonstrated.
65
The 35-day postpartum recumbent dairy cow in this image has normal vital parameters, appetite, and milk production but has mucus and pus draining from her vulva. Speculum exam shows this material exiting the cervix. Rectal exam shows that she has an involuting uterus and normal ovaries. **Which of the following treatments should be administered to help treat this condition and have the fewest negative economic effects such as prolonged milk withdrawal?** - Intrauterine chloramphenicol - Systemic diethylstilbestrol - Intrauterine penicillin - Systemic ceftiofur - Intrauterine metronidazole
Answer: **Systemic ceftiofur** Explanation The diagnosis is endometritis. This is based on the involuting post partum uterus and the normal vital signs (TPR). Intrauterine penicillin (after 30 days) or tetracycline or ceftiofur can be beneficial. The negative impact can be antibiotic residues in milk (up to 80 hours for penicillin and 96 hours for tetracycline in milk) and in tissues (up to 12 days for penicillin), so some prefer to use dilute povidone iodine, or uterine lavage with saline. Systemic ceftiofur achieves adequate intrauterine levels and is thus the safest and best of the options listed. Prostaglandins can also be given to "short cycle" the cow which will aid in treating the endometritis. The other drugs listed are not legal for use in the USA, and could cause harmful residues to appear in milk..
66
A 4 year old Dachshund has just presented for an acute onset of hind limb ataxia. On physical exam, there is a lack of voluntary motion of the pelvic limb along with conscious proprioceptive deficits. There is no panniculus reflex caudal to L3. **Of the following choices, which is the best imaging modality to identify the lesion?** - Computerized tomography - Ultrasonography - Magnetic resonance imaging - Radiographs
answer: **Magnetic resonance imaging** Explanation The correct answer is magnetic resonance imaging. The clinical signs are extremely suggestive of a Type 1 disc herniation. In dogs, there are two general kinds of disc herniation described. In Type 1 the herniation is acute, while in Type 2 the herniation is slow and chronic. Dachshunds are very predisposed to disc disease (particularly Type 1 disc herniation). Since you are trying to visualize the spinal cord, the best imaging modality is an MRI. A CT is inferior because soft tissues do not image as well. If you are interested in analyzing bone, then CT is the preferred method. A radiograph would not be helpful unless you suspect neoplasia or discospondylitis. Still, only some neoplasias are recognized on radiographs. Ultrasound is useless for imaging the spine.
67
A 7-year-old female spayed mixed breed dog presents for evaluation of a skin mass. The mass is small (approximately 3 mm in diameter) but it is red and bleeding. It is on a non-haired area of skin, so the owners are confident that it has only been present for one to two weeks. No other abnormalities are seen on physical exam. You attempt to perform a fine needle aspirate, but your sample is non-diagnostic and you obtain only red blood cells. Therefore, you recommend an excisional biopsy. The histopathology report indicates cutaneous hemangiosarcoma with clean margins and no involvement of the subcutaneous tissues. **What do you tell the owner about the prognosis for this** - Prognosis is fair with chemotherapy - Prognosis is good and excision is likely curative - Prognosis is poor, even with aggressive treatment - Prognosis is guarded with radiation therapy
Answer: **Prognosis is good and excision is likely curative** Explanation The median survival time for cutaneous hemangiosarcoma is 780 days, although the prognosis is better in cases that are detected early (like this case) and with complete excision (like this case). Chemotherapy is only recommended if subcutaneous spread is present or if the tumor cannot be completely excised.
68
The image shows a polled Hereford calf several months of age with constant hypertonia of extensors of the rear limbs when it stands. It also has difficulty getting up. The condition started over a month ago and is worsening gradually. **What is the diagnosis?** - Spinal lymphosarcoma - Weaver syndrome - Ankylosing spondylitis - Bilateral ruptured cranial cruciate ligaments - Spastic paresis
Answer: **Spastic paresis** Explanation Spastic paresis, also known as Elso heel, affects cattle of many breeds (as well as pygmy goats) beginning from three weeks to 1 year of age. It is believed to be caused by a combination of genetic and environmental factors which somehow cause over stimulation of the gamma motor neurons of the spinal cord. A second disease, inherited periodic spasticity is a genetic disorder (probably single autosomal recessive) of most dairy breeds, and is seen rarely in beef breeds. It first appears at 3 to 7 years of age and gradually worsens, when the animals develop marked muscular spasms of the hip and upper leg muscles.
69
A long-term client, Christine, has spoken with the clinic's Office Manager about a serious situation. The owner reports that she called the clinic to discuss her sick puppy. The puppy had been vomiting and having diarrhea for three days. She left a message with the reception staff for Dr. Hassan to return her call. Unfortunately, Dr. Hassan did not receive the message, and the client waited twenty-four hours before taking the puppy to the emergency clinic. The puppy was diagnosed with parvoviral enteritis. **Which of the following is the most appropriate option for addressing this situation with the client?** - Have the office manager call the client and explain that the clinic regrets the error. Formally discipline the receptionist who took the message. - Tell the client that you are sorry for failing to return the call. Explain that the receptionist who took the message will be fired for the error. - Ask the receptionist who took the message to call the client and explain why the message was not delivered properly. Update the clinic policies regarding handling of messages. - Personally apologize for the error. Explain that the clinic procedures have been updated so that receptionists automatically schedule an examination for any ill patient.
Answer: **Personally apologize for the error. Explain that the clinic procedures have been updated so that receptionists automatically schedule an examination for any ill patient.** Explanation When clients are angry due to an administrative or clinical error, personal ownership of an apology ("! apologize...") is preferred over an apology without ownership ("I'm sorry that.."). When a mistake is encountered, a sincere apology should be made. Clients are less likely to pursue legal action following mistakes when they receive a genuine apology and information about what has been learned from the mistake. Failure to provide adequate information regarding a mistake and failure to provide an apology increases the risk of legal action. Changing the clinic policy so that receptionists recommend examinations for sick patients is a concrete plan for preventing this issue in the future. In each of the incorrect options, there was no direct ownership of the apology. Delegating apologies is not preferred. While it may be reasonable to formally discipline or terminate the receptionist based on an examination of the facts of the situation, this will not prevent other staff members from making similar mistakes in the future. Updating the clinic's message handling policies is reasonable, but it will not address this particular issue as well as a change to the handling of calls regarding sick patients. Source: Handbook of Veterinary Communication Skills. Edited by Carol Gray and Jenny Moffett. Wiley- Blackwell, 2010. Page 117-122.
70
**In which animals is osteochondritis least common?** - Cattle - Dogs - Horses - Swine
Answer: **Cattle** Explanation The correct answer is cattle. In fact, they are usually not even lame.
71
**Which of the following poses the most significant threat to man?** - Acanthocheilonema reconditum - Ancylostoma braziliense - Baylisascaris procyoni - Dirofilaria immitis
Answer: **Baylisascaris procyoni.** Explanation The correct answer is Baylisascaris procyonis. This is an ascarid (roundworm) found in the small intestine of the raccoon. The result in humans is larval migrans to the brain causing CNS disease. It may migrate to the eye and usually affects children.
72
Steve is a 3-year-old male neutered Siamese cat who presents for a three-day history of not eating or drinking. On physical exam, Steve is QAR with a body weight of 5 kg. He is mildly tachycardic, with a heart rate of 240 bpm, but he is also quite nervous. On physical exam, you note his pulses are strong and synchronous, but his pink mucous membranes are dry, his skin turgor is decreased, his abdomen is "doughy," and his eyes appear slightly sunken. His body temperature is 102.8°F. You elect to hospitalize Steve and administer 24 hours of intravenous fluids while awaiting the results of his diagnostic tests. **What fluid rate do you select?** - 11 ml/hr - 55 ml/hr - 17 ml/hr - 28ml/hr - 5 ml/hr
Answer: **28ml/hr** Explanation These exam findings indicate Steve is approximately 8% dehydrated. The goal is to replace his fluid deficit over the next 24 hours, in addition to providing maintenance fluids. Given that he is 8% dehydrated, Steve's fluid deficit is calculated as follows: 5 kg x 0.08 = 0.4 kg = 400 ml. Therefore, Steve needs an additional 400 ml of fluid over the next 24 hours, or 17 ml/hr, for rehydration. Next, estimate Steve's maintenance fluid requirement at 55 ml/kg/day: 5 kg x 55 ml/kg/day = 275 ml/day, or 11 ml/hr. Lastly, add the replacement and maintenance rates together to arrive at your desired fluid rate for the first 24 hours of hospitalization: 17 ml/hr + 11 ml/hr = 28 ml/hr.
73
**For what diseases should ferrets be vaccinated?** - Rabies and canine distemper - Rabies and panleukopenia - Panleukopenia and parvovirus - Parvovirus and canine distemper - Rabies and parvovirus
Answer: **Rabies and canine distemper** Explanation The correct answer is rabies and canine distemper. These diseases are preventable causes of death in ferrets and rabies is a zoonotic concern. Use only vaccines approved for use in the ferret. A parvovirus causes Aleutian disease in ferrets, but there is no vaccine to prevent it.
74
An owner brings in her 4-year old domestic short hair cat for decreased appetite and sneezing. She has very limited funds for diagnostics, but approves a fine needle aspirate of the swelling you noticed over the bridge of the nose. You perform the aspirate and look at the slide under the microscope (see image). **What medication should you prescribe for this cat?** - Clindamycin - Fluconazole - Chlorambucil - Fenbendazole
Answer: **Fluconazole** Explanation The cytology from the fine needle aspirate shows cryptococcus. Cryptococcus is an encapsulated fungus and is treated with anti-fungal medications such as fluconazole or itraconazole. Clindamycin is used to treat toxoplasma. Fenbendazole is used to treat intestinal parasites such as hookworms, roundworms, and Giardia. Chlorambucil is a chemotherapeutic agent often used in treating lymphoma.
75
A 10-year old female spayed greyhound presents with severe dental and periodontal disease (see image). You perform pre-anesthetic bloodwork, which is within normal limits and schedule the dog for a dental cleaning next week. **Which of the following can be recommended for short-term use to treat periodontal disease in dogs?** - Enrofloxacin - Raw hide chews - Daily periodontal probing - Daily chlorhexidine rinses
Answer: **Daily chlorhexidine rinses** Explanation Chlorhexidine rinses can be used short-term, such as prior to or immediately after any dental procedure. Daily usage kills off normal bacterial flora in the mouth and will stain teeth over time. Daily chlorhexidine use is sometimes advocated as a long-term treatment of severe periodontal disease, but alternative therapies should be recommended if possible. Raw hide chews, daily teeth brushing, and chew toys all help to reduce plaque and calculus when used regularly. Enrofloxacin is a not a very good choice for oral infections since it is ineffective against anaerobic bacteria. Beta-lactam antibiotics (especially Clavamox) or clindamycin are better choices for oral infections because of their activity against anaerobes.
76
You perform thoracocentesis on a dog with pleural effusion. The fluid is an opaque pink color and has a protein content of 2.5 g/dl. There are 3,000 cells/uL. You suspect that it is chyle. **What is the test of choice to definitively classify this fluid?** - Differential cell count on the fluid - Thoracic radiographs - Triglyceride concentration of the fluid compared to serum - Glucose concentration of the fluid compared to serum - Culture and sensitivity of the fluid
Answer: **Triglyceride concentration of the fluid compared to serum** Explanation The correct answer is triglyceride concentration of the fluid compared to serum. The fluid described is most consistent with a chylous effusion. The best way to definitively classify chyle is finding an elevated triglyceride level compared to serum. If you chose differential cell count, this is also a good answer because most chylous effusions are composed primarily of lymphocytes, unlike other effusions. However, with prolonged loss of lymphocytes, chronic chylous effusions may be composed primarily of neutrophils, which may lead you to believe it is an exudate. Radiographs and culture and sensitivity may be appropriate tests but will not help you classify the fluid. Glucose concentration of the fluid is not useful in this instance. It is sometimes used to diagnose pyothorax as glucose concentrations are typically < 10 mg/dl.
77
A dairy farmer asks you to help him make breeding management decisions for his herd. Specifically, he is determining which of this year's heifers to add to his breeding program and which to cull. He has several heifers whose dams experienced reproductive/urogenital issues. The dams have been culled, but he would like to determine which of the heifers will be at high risk of developing similar issues when they reach breeding age. **You recommend culling heifers born to cows with which of the following conditions?** - Vaginal hematoma - Vaginal prolapse - Vulvovaginitis - Uterine prolapse
Answer: **Vaginal prolapse** Explanation Vaginal prolapse is a heritable condition in cattle which has breed predispositions and calves from affected dams are more prone to the condition. Uterine prolapse is a common condition in cattle, associated with parturition, but is not heritable. Vulvovaginitis can be a severe condition, but is not heritable. Vaginal hematoma is an uncommon condition in cattle that is not hereditary.
78
In the Spring of 2001, a syndrome later termed Mare Reproductive Loss Syndrome, also known as MRLS, occurred in central Kentucky. This resulted in the abortion of 20-30% pregnant mares. **Which of the following was NOT a manifestation of MRLS?** - Fetal or neonatal hemoabdomen - Neonatal foal deaths - Late-term abortion - Early fetal loss - Fibrinous pericarditis
Answer: **Fetal or neonatal hemoabdomen** Explanation The correct answer is fetal or neonatal hemoabdomen. All other choices listed were potential disease manifestations of MRLS. The exact pathogenesis of MRLS is still unknown, but the presence of eastern tent caterpillars was strongly associated with the disease. Later, experimental studies in which pregnant mares were exposed to or fed, via NG tube, eastern tent caterpillars resulted in early and late fetal loss.
79
**In performing ocular ablation (removal) to treat severe cancer eye in a commercial beef cow, which of the following is the most appropriate anesthesia to use in the field?** - General anesthesia using fluothane intubation following intramuscular xylazine - Sedation using xylazine and restraint in a squeeze chute - A five point orbital block using lidocaine - Topical anesthesia using proparacaine or tetracaine - General anesthesia using sodium pentathol (barbiturate)
Answer: **A five point orbital block using lidocaine** Explanation Squamous cell carcinoma is by far the most common ocular tumor in cattle and is referred to as "cancer eye". Treatment can vary from resection of part of an eyelid to complete enucleation including the eyelids. Recurrence is common, as spread to the lymph node can occur if not caught early on. The cow should be restrained in a squeeze chute and the head tied to one side so that the abnormal eye is accessible. The area should be closely clipped or shaved and disinfected, then generous amounts (10 ml per site, 50 ml total) of local anesthetic are injected using a 19 ga 2.5 inch (6 cm) needle. The 5 injection sites include the medial canthus, and then twice through each lid so that the tissues around the globe are flooded with local. Alternatively the Peterson's orbital nerve block (another local block) can be utilized.
80
**Which of the following causes myelomalacia of the lower spinal cord, resulting in pelvic limb incoordination and urine dribbling when ingested by horses?** - Locoweed - Hairy vetch - Black locust - Sorghum - Blue-green algae
Answer: **Sorghum** Explanation The correct answer is sorghum. Sorghum causes the clinical signs stated. There is no specific treatment and recovery is rare.
81
Several young goats under one year of age in a herd of 50 goats have scabby lesions around their mouths and noses, as shown in the photo. They also have low-grade fever and appear reluctant to eat hay, so they are falling behind the group. The owner is concerned because this condition appears to be spreading. You examine three affected kids and find that under the scabs is what appears to be proliferative granulation tissue. **You advise the owner that the diagnosis is______** - Pseudocowpox - Bovine papular stomatitis - Malignant catarrhal fever - Foot-and-mouth disease - Contagious ecthymal
Answer: **Contagious ecthyma** Explanation Also known as orf or soremouth, this parapoxvirus disease is common in lambs and kids. Humans can also be affected. Rarely fatal, it nonetheless can make affected kids or lambs end up smaller than their age mates. Lesions occasionally also occur on the teats of the dams. The scabs dry up in 2 to 4 weeks and fall off, with the virus overwintering in the scabs on the ground until more susceptible animals appear next year. ***PowerPage: Top 10 Sheep and Goat Diseases
82
One 3-week old calf in a group of young calves being fed milk replacer has been depressed, growing poorly and appears unthrift with a rough hair coat. She recently began kicking at her flank, teeth grinding, and vocalizing with an arched back. She has developed white, putty-like feces and is dehydrated. **Which of the following is the most likely underlying cause of the problem?** - Congenital rumen stasis - Dysfunction of the esophageal groove - Intussusception of the small intestine - Atresia coli - Excessive carbohydrate in the milk replacer
Answer: **Dysfunction of the esophageal groove** Explanation This is a typical description of esophageal groove dysfunction in a calf resulting in rumen acidosis. To review normal physiology, the esophageal groove (also known as reticular groove) is a specialized part of the ruminant stomach that closes in response to drinking milk, directing it directly to the abomasum. When dysfunctional, milk goes to the rumen where it is fermented by rumen microbes and converted to volatile fatty acids and lactic acid. The resulting rumen acidosis leads to the clinical signs described in this case. For this reason, this phenomenon is sometimes referred to as rumen drinking. For this reason, this phenomenon is sometimes referred to as rumen drinking.
83
**Which of the following E. coli is associated with edema disease in swine?** - F5 (K99) - F6 (987P) - F18 - F41
Answer: **F18** Explanation The correct answer is F18. Edema disease occurs in piglets post-weaning. Post-weaning diarrhea is associated with toxin production by F18 and sometimes F4 (K88) E. coli. These enterotoxins cause systemic vasculitis leading to edema. A key point is that edema disease is a systemic condition. ***PowerLecture: Neurologic Diseases **Edema disease**, also known as *Escherichia coli enterotoxemia*, is a peracute toxemia primarily affecting healthy, rapidly growing nursery pigs. The disease is characterized by sudden onset, high mortality, and prominent edema, particularly in the submucosa of the stomach and mesocolon. Etiology and Pathogenesis: - The causative agent of edema disease is hemolytic Escherichia coli strains that produce F18 fimbrial adhesins and Shiga toxin 2e (Stx2e), also known as verotoxin 2e (VT2e). The F18 fimbriae have two major antigenic variants—F18ab and F18ac—both of which may be associated with the development of edema disease. The most common Shiga toxin–producing E. coli serogroups implicated in edema disease are O138, O139, O141, and O147. - Pigs become infected initially via a contaminated environment or the sow. Transmission of infection among penmates is facilitated by the large numbers of Shiga toxin–producing E. coli that are shed by colonized pigs. Ingestion of these bacteria leads to colonization of the small intestine, where they adhere to enterocytes via F18 fimbriae. The expression of receptors for F18 fimbriae is age-related, becoming prominent around 3 weeks of age, which explains the susceptibility of post-weaning pigs. Once attached, the bacteria produce Stx2e, which is absorbed into the bloodstream and targets vascular endothelial cells, leading to vascular damage, increased permeability, and edema formation.  Clinical Findings: Edema disease typically occurs within 1 to 2 weeks post-weaning and affects the healthiest and fastest-growing pigs in a group. Clinical signs can vary but often include: • Neurologic Signs: Ataxia, tremors, and convulsions due to the effects of Stx2e on the central nervous system. • Edema: Noticeable swelling, particularly around the eyes (periocular edema), forehead, submandibular region, and larynx. • Gastrointestinal Signs: Diarrhea may precede the clinical signs of edema disease if the E. coli responsible also possesses genes for enterotoxins. • Sudden Death: In peracute cases, pigs may be found dead without prior observable signs. The disease progresses rapidly, and affected pigs often succumb within hours to a few days after the onset of clinical signs.  Diagnosis: Diagnosis is based on a combination of clinical signs, necropsy findings, and laboratory tests: • Clinical History: Sudden deaths in rapidly growing, recently weaned pigs with characteristic edema. • Gross Lesions: Prominent edema in the submucosa of the stomach, particularly in the glandular cardiac region, and mesocolon. Edema may also be present in the subcutaneous tissues of the forehead and eyelids. • Laboratory Confirmation: Isolation of hemolytic E. coli from the small intestine or feces, followed by PCR assays to detect genes encoding F18 fimbriae and Stx2e. It’s important to note that these bacteria may no longer be present in the intestine at the time of death, making isolation challenging in some cases.  Treatment and Control: Due to the rapid progression of edema disease, treatment is often ineffective once clinical signs are evident. However, in herds where the disease has been diagnosed, the following measures may help control its spread: • Antimicrobial Therapy: Administering appropriate antimicrobials to clinically unaffected pigs in affected pens may reduce mortality. Selection of antimicrobials should be based on susceptibility testing of isolated E. coli strains. • Management Practices: Implementing management strategies to reduce stress and promote uniform growth rates can help minimize the incidence of edema disease. This includes ensuring proper nutrition, maintaining good hygiene, and avoiding sudden dietary changes. • Vaccination: Vaccines targeting F18 fimbriae and Stx2e have been developed and can be used as part of a control program. Vaccination of sows to provide passive immunity to piglets and direct vaccination of piglets pre-weaning may be beneficial. • Genetic Selection: Resistance to F18+ E. coli is determined by a single locus with a dominant susceptibility allele and a recessive resistance allele. It is possible to select resistant pigs, which can be identified by a simple PCR test that indicates the presence or absence of the specific mutation. However, some concern about selection for resistance to F18+ E. coli has been expressed, because a very high association between presence of the marker for resistance to F18+ E. coli and presence of the marker for stress susceptibility has been shown in Swiss Landrace pigs. This association does not exist in all breeds. Implementing these control measures requires a comprehensive approach tailored to the specific circumstances of the affected herd. Key Points: • Edema disease is a peracute toxemia affecting rapidly growing, post-weaning pigs, caused by hemolytic E. coli producing F18 fimbriae and Shiga toxin 2e. • Clinical signs include sudden death, neurologic disturbances, and characteristic edema, particularly of the face and gastrointestinal tract. • Due to the rapid progression of the disease, treatment is often ineffective; therefore, emphasis should be placed on prevention through management strategies, vaccination, and genetic selection.
84
**Which of the following is the most likely side effect of KBr therapy in epileptic dogs?** - Polyuria and polydipsia - Pancreatitis - Vomiting - Sedation
Answer: **Sedation** Explanation The correct answer is sedation. Possible side effects of KBr therapy include polyphagia, polyuria and polydipsia, ataxia, skin reactions, pancreatitis. and vomiting. However. sedation is more likely to occur than these
85
**Which of the following standing laparotomy approaches in a cow would correctly be done only from the right flank?** - Traumatic reticuloperitonitis - Grain overload (to empty the rumen) - Caesarean section - Cecal volvulus - Left displaced abomasum
Answer: **Cecal volvulus** Explanation Only the cecum is only approached on the right side, as opposed to the left flank. LDA and C-section could be done from either side. ***PowerLecture: Colic
86
**Clavulanic acid is added to other antibiotics for what purpose?** - It increases the half-life of the drug it is added with - It is effective against beta lactamase-forming bacteria - It reduces the side effect of gastrointestinal upset with antibiotics - It potentiates fluoroquinolones
Answer: **It is effective against beta lactamase-forming bacteria** Explanation The correct answer is it is effective against beta lactamase-forming bacteria. Clavulanic acid is added to penicillins to protect the penicillins from beta lactamase-forming bacteria such as staphylococci.
87
A 5-year old male neutered cat presents with a 2 month history of coughing. He has also vomited several times per week for the last month. His heartworm antibody test is positive and echocardiogram confirms presence of Dirofilaria immitis. **Which of the following treatments may be recommended?** - Doxycycline liquid for 2 weeks - Milbemycin oxime - Prednisolone and Heartgard - Immiticide (Melarsomine) - Meloxicam daily for 6 months
Answer: **Prednisolone and Heartgard** Explanation Heartworm adulticidal drugs can be life-threatening in cats and immiticide is contraindicated in this species. Infected cats are frequently managed with supportive treatment, especially when they are symptomatic. The best therapy for the disease is to control the underlying inflammation associated with the infection with corticosteroids. Bronchodilators and anti-emetics may also be beneficial in some cases. Heartgard can be used as a slow kill for adult heartworms. The most common complication concerning heartworms in general is an embolism to the lung and sudden death associated with respiratory failure. Milbemycin (Interceptor) kills microfilaria but does not kill adult heartworms. It kills microfilaria faster than ivermectin and thus carries a greater risk of anaphylaxis. Surgical remove the adult heartworms is recommended in some cases. Wolbachia, a symbiotic bacterium, has been found within filarid parasites and their microfilaria. It is essential for filarial reproduction and well-being. It has been hypothesized that antigens from these bacteria are pro-inflammatory and treatment with doxycycline can be beneficial. Meloxicam would not be as effective as steroids at reducing inflammation, and is not safe for long term use in cats.
88
On the morning of a beautiful summer day, a five-year old, male German Pointer played unattended in the backyard garden. During the following 24 hours the right side of the dog's face became swollen as seen in the image below. The dog developed urticaria and became lethargic, unable to walk and vomited several times. **Which of the following are the best treatment options for the likely condition?** - Induce vomiting, administer activated charcoal, intravenous fluids - Antihistamines, corticosteroids, and epinephrine - Furosemide, oxygen, and nitroglycerin - Drain the swelling, administer antibiotics - Diazepam, methocarbamol, and non-steroidal anti-inflammatories
Answer: **Antihistamines, corticosteroids, and epinephrine** Explanation The dog has angioedema +/- anaphylaxis, likely caused by an insect bite or sting. A snake bite should also be ruled out by trying to visualize the bite or questioning the owners. This is a type I hypersensitivity reaction and is treated by removing the offending agent if possible and providing supportive care with anthistamines, corticosteroids, and epinephrine as needed
89
**Affective states can be positive or negative. Which of the below affective states are the most common negative ones?** - Sexual inactivity, hunger - Captivity, sexual inactivity - Hunger, boredom, illness - Pain, fear, hunger - Boredom, fear, stereotypy
Answer: **Pain, fear, hunger** Explanation Captivity, sexual inactivity, illness, and stereotypy are physical states or behavioral actions, not affective states. An affective state is an emotional or mental state. Pain, fear, and hunger are common affective states in animals.
90
Below is a lateral thoracic radiograph of the caudodorsal lung field of a 4-month old foal with clinical evidence of weight loss, fever, and tachypnea. **What is the best diagnosis based on the clinical signs and radiograph?** - Pulmonary abscesses - Pulmonary aneurism - Congestive heart failure - Pulmonary carcinoma - Rhinopneumonitis pneumonia
Answer: **Pulmonary abscesses** Explanation The two horizontal lines represent fluid or pus capped by gas within cavitary lesions. In foals, this occurs most frequently with Rhodococcus equi pneumonia. ***PowerPage: Rhodococcus equi
91
A client is concerned about Sassy, a 13-year-old spayed female Golden Retriever. For the past few weeks, Sassy has been anorexic, lethargic, drinking and urinating more often. The owner thinks she may have lost a few pounds. Sassy has been mildly arthritic and has had trouble getting up for the past few years, but the owner does not think this has worsened. Your preliminary physical exam is unremarkable other than mild muscle wasting of the epaxials and atrophy of the hind end. On bloodwork, you detect hypercalcemia. **Which part of the exam would you go back and repeat more thoroughly?** - Oral exam - Orthopedic exam - Neurologic exam - Rectal exam
Answer: **Rectal exam** Explanation The best answer would be to repeat your rectal exam. You should be concerned about anal sac adenocarcinoma, which is commonly associated with hypercalcemia of malignancy. Hypercalcemia of malignancy may cause renal signs, such as polyuria and polydipsia. You are not as concerned about orthopedic disease, neurologic disease, or oral neoplasia, so repeating these exams will likely be less fruitful. Osteosarcoma rarely causes hypercalcemia and you would also expect symptoms of pain, firm swelling, and likely lameness, depending on its location.
92
An adult budgerigar presents sitting on the floor of its cage. It has a history of polydipsia, weight loss, and progressive left leg lameness. **What is your highest suspicion for what may be causing these signs?** - Renal adenocarcinoma - Lead toxicity - Bumble foot - Teflon toxicity
Answer: **Renal adenocarcinoma** Explanation The correct answer is renal adenocarcinoma. A mass in the renal parenchyma of a bird will compress and compromise the function of the ischiatic nerve, causing a unilateral leg lameness. We would be unlikely to see unilateral lameness with lead toxicity. Bumblefoot could affect one foot, but would not cause polydipsia. Teflon toxicity causes acute death in birds.
93
A 16-year old budgerigar presents with progressive unilateral paresis of the right leg (see image). There is normal flexion and extension of the hip joint with decreased flexion, extension, and sensation below the knee. The remainder of your skeletal and neurologic examination is unremarkable. **Which of the following is most likely in this bird?** - Intervertebral disc disease - Renal neoplasia - Lead toxicosis - Marek's disease - Botulism
Answer: **Renal neoplasia** Explanation The signalment and progressive unilateral paresis are most suspicious for renal neoplasia of budgerigars. Affected birds develop paresis due to pressure exerted on the sciatic nerve by a renal tumor. There is typically normal flexion and extension of the hip joint with decreased flexion, extension, and sensation below the knee as described here. Disc disease is uncommon in birds. Lead toxicity can lead to peripheral neuropathy and paresis but typically there are more multifocal or other accompanying signs such as polyuria/polydipsia, gastrointestinal signs, wing droop, head tilt, or convulsions. Marek's disease typically affects younger animals. Botulism typically presents with flaccid paralysis of the legs, wings, and neck.
94
An 11-year old Peruvian Paso presents with a history of progressive weight loss. Serum chemistry shows elevation in sorbitol dehydrogenase, lactate, alkaline phosphatase, and a decrease in albumin. A vast amount of Crotalaria spp. is seen in the pasture. **What type of toxin does Crotalaria spp. possess?** - Nitrate - Pyrrolizidine alkaloid - Cyanide - Organophosphate
Answer: **Pyrrolizidine alkaloid** Explanation The correct answer is pyrrolizidine alkaloid. The clinical signs described are typical for pyrrolizidine alkaloid toxicity. Consumption of this plant typically results in abnormalities in hepatic cell division; thus resulting in large hepatocytes known as megalocytosis.
95
Several 6 month-old calves have died on a large ranch, and you have performed a post-mortem exam and diagnosed blackleg (see image). **The owner, who has never vaccinated his calves, would like your recommendations for prevention.** - Vaccinate all animals starting at one year of age and annually thereafter, using killed vaccine containing several common Clostridial organisms - Vaccinate all calves at 4 to 6 months of age with killed vaccine containing Clostridium septicum and several other common Clostridial organisms. - Give penicillin whenever handling the calves, as this eliminates the Clostridium chauvoei spores from tissues - Give Clostridial antiserum to all calves at the time they are handled for branding and castration - Give Fusobacterium necrophorum vaccine to to all calves starting at 4 to 6 months of age
Answer: **Vaccinate all calves at 4 to 6 months of age with killed vaccine containing Clostridium septicum and several other common Clostridial organisms.** Explanation Blackleg is caused by Clostridium chauvoei, but can also be seen with Cl. septicum or Cl. sordellii (often called malignant edema). Vaccines containing up to 8 different Clostridia are often used. Calves under one year old are most susceptible. On high-risk farms it may be necessary to start vaccination at a younger age or also vaccinate cows to maintain high colostral levels of antibody, and/or to give a booster (second) dose 4 to 8 weeks following the initial dose to calves. Annual revaccination of at least yearlings is also recommended.
96
A 5-year old female spayed Labrador Retriever presents for further evaluation after jumping out of the back of a pickup truck. **What are the most likely regions for a traumatic hernia to occur?** - Perineal and diaphragmatic region - Flank and prepubic region - Diaphragmatic and umbilical region - Umbilical region and perineal region
Answer: **Flank and prepubic region** Explanation Traumatic injuries are more likely to cause a flank or prepubic hernia than any other type of reported hernia. Umbilical hernias are almost exclusively congenital in nature. Perineal hernias are seen in older male does and is thought to be secondary to excessive hormones that result in weakening of the pelvic diaphragm. Finally, diaphragmatic hernias can occur secondary to trauma but are not as commonly noted as flank and prepubic. Whenever a patient presents with unknown trauma or after being hit by a car, it is appropriate to take x-rays as 20% of dogs with diaphragmatic hernias will present several weeks after injury as a result of missing the diagnosis on physical examination alone.
97
An 8-year-old male neutered Labrador Retriever is anesthetized for a lengthy orthopedic surgery. The dog's body weight is 80 kg. He is maintained on 2% sevoflurane and mechanical ventilation, with Lactated Ringer's Solution administered through an intravenous catheter at a rate of 100 ml/hr. The patient's arterial pCO2 is 40 mmHg when the surgery begins, but you observe that it is gradually climbing during surgery. The blood pH is 7.42 at the start of surgery, but begins to gradually decrease during the procedure. **What adjustments do you make?** - Increase the concentration of sevoflurane - Decrease the concentration of sevoflurane - Increase the rate of mechanical ventilation - Decrease the rate of mechanical ventilation
Answer: **Increase the rate of mechanical ventilation** Explanation The patient's ventilation rate should be increased, because the blood changes observed are consistent with hypoventilation. In hypoventilation, CO2 buildup leads to an acidotic state and a lower (decreased) pH. In hyperventilation (which would warrant a decrease in ventilation), you would expect to see a decrease in arterial PCO2 and an increase in blood pH. Changing in sevoflurane would have no significant effect on respiration, given that the patient is on a mechanical ventilator.
98
A 10 year old female spayed Dachshund presents for further evaluation of progressive lameness in the hind. The owner notes that she has begun intermittently scuffing her hind limbs, has somewhat of a weak or drunken gait in the hind as she walks, and is having trouble rising. **Given the answer choices below, what is the best treatment?** - Total hip replacement bilaterally - Prolonged antibiotic therapy with clindamycin - Femoral head ostectomy - Dorsal laminectomy
Answer: **Dorsal laminectomy** Explanation This patient's clinical signs are consistent with neurological deficits. Although you do not have all of the information necessary to reach a definitive diagnosis, you should have been able to deduce that this patient probably needs a dorsal laminectomy to relieve disc compression. In order to definitively diagnose the condition you would want to proceed with a complete exam, basic bloodwork, and a CT or MRI of the lumbosacral region. Although this patient does exhibit evidence of hip dysplasia radiographically, the clinical signs are not characteristic of a dog with pain secondary to hip dysplasia. There is no indication of osteomyelitis on these radiographs and the clinical signs are not necessarily suggestive of osteomyelitis. It is important not to skip ahead to image interpretation without carefully reading the question. Doing so in this case would likely lead you to select the incorrect answer. Radiographs provided by Adrien Hespel, DVM, MS, DACVR and University of Tennessee College of Veterinary Medicine
99
**Which of these compounds is effectively bound by activated charcoal?** - Arsenic - Nicotine - Alcohol - Lithium
Answer: **Nicotine** Explanation The correct answer is nicotine. Activated charcoal is an effective adsorbent for many toxicants with several exceptions including alcohols, corrosives, and some metals (such as iron and lithium), as well as arsenic.
100
**Which of these are used in the minor cross match for blood products when looking for a compatible blood donor for a dog?** - Recipient red blood cells, recipient plasma - Donor red blood cells, donor plasma - Recipient red blood cells, donor plasma - Donor red blood cells, recipient plasma
Answer: **Recipient red blood cells, donor plasma** Explanation The correct answer is recipient red blood cells, donor plasma. In a minor crossmatch, you are looking to see if the factors in the plasma of the donor are going to react to the recipient's red blood cells.
101
**Which of the following bodies licenses veterinarians to prescribe a drug to a patient in the United States?** - American Veterinary Medical Association - Food and Drug Administration - State veterinary medical associations - State veterinary board - United States Department of Agriculture
Answer: **State veterinary board** Explanation To prescribe drugs to a veterinary patient, the clinician must be licensed by the state veterinary board.
102
You are presented with a 10-day old Holstein dairy calf weighing 40 Kg that is cold (Temperature is 97 degrees F, 36.1 degrees C) and nonresponsive. Her eyes appear sunken as in the photo. **In addition to placing the calf on a warming pad, what is the best treatment?** - 1 liter of subcutaneous fluids containing glucose, sodium, bicarbonate, chloride and lesser amounts of potassium - Gentamicin intravenously at the label dosage - 4 liters of intravenous fluids containing glucose, sodium, bicarbonate, chloride and lesser amounts of potassium - 4 liters fluid containing equal amounts of sodium and chloride
Answer: **4 liters of intravenous fluids containing glucose, sodium, bicarbonate, chloride and lesser amounts of potassium** Explanation The calf is in metabolic acidosis (base deficit of about 15) and needs sodium containing fluids IV that contain bicarbonate or other base. 4 liters intravenously is a more appropriate fluid volume for a dehydrated 10-day old calf, calculated as 10% Of the 40 kg body weight. The sunken eye, as seen in the photo, is an important indicator of marked dehydration. To treat metabolic acidosis caused by loss of sodium containing fluids you need to give more sodium than chloride, so sodium bicarbonate is the fluid of choice. Neonates such as this one tend to develop severe metabolic acidosis as they dehydrate due to absorption of acids from the gut and due to loss of renal compensatory mechanisms due to poor renal perfusion. The calf is also likely to be hypoglycemic, so adding glucose is essential. As you rehydrate and bring up blood glucose, the serum potassium will be driven back into cells and needs to be replaced with some potassium in the fluids. ***PowerLecture: Calf Diarrhea Part 2
103
**Which of the following is the treatment of choice for a Dipylidium caninum infection in dogs?** - Ivermectin - Fenbendazole -Pyrantel - Praziquantel
Answer: **Praziquantel** Explanation The correct answer is praziquantel. Pyrantel, fenbendazole, and ivermectin are not known to be effective against Dipylidium caninum infections.
104
Your next appointment is for Prince, an 8-year-old castrated male German Shepherd. He is listed in the appointment book as having a complaint of "skin problems." In talking over his history with the owners, you learn he is drinking large amounts of water and has been having accidents in the house over the past several months. Initially, they blamed it on the new baby in the household, but now Prince is losing hair on his torso and developing dark areas of pigmentation in the regions of hair loss as well as on his abdomen. Upon physical exam, you note abdominal distention with a palpably enlarged liver. Based on these findings, adrenal disease is at the top of your differential list. You run a minimum database (CBC, blood chemistry, urinalysis), which further supports your assumptions. **Which of the following is the most appropriate diagnostic test for Prince?** - Abdominal Ultrasound - Low dose dexamethasone test - Baseline cortisol measurement - ACTH stimulation test - Urine cortisol: creatinine ratio
Answer: **Low dose dexamethasone test** Explanation The correct answer is a low dose dexamethasone suppression (LDDS) test. Cushing's, or hyperadrenocorticism (HAC), is a syndrome caused by an excess of one or more adrenal steroids (i.e., cortisol, mineralocorticoids, adrenal androgens). Disease caused by over-secretion of hormones should be evaluated via a suppression test. In the case of suspected Cushing's disease, a dexamethasone suppression test is used to determine whether the hypothalamic-pituitary-adrenal axis is intact. An LDDS test will indicate whether the pituitary (and subsequently the adrenal gland) is responding to dexamethasone's message to stop secreting ACTH and cortisol. An ACTH stimulation test is quite specific but not as sensitive as an LDDS test, and, unlike the LDDS test, it does not have the potential to differentiate between a pituitary and an adrenal tumor. It should, however, be noted that this is the only test that will identify iatrogenic hyperadrenocorticism. Both the LDDS test and the ACTH stim test carry a chance of false-positive results with non-adrenal illness, so adrenal testing should be postponed if other disease is present. A urine cortisol:creatinine ratio is highly sensitive (90-100%) for both dogs and cats, but false positive results are very common. Approximately 75% of dogs with non-adrenal illness have ratios consistent with HAC. A normal UCCR can be used to rule out Cushing's disease, but a positive result must still be followed by further testing In the case of HAC, abdominal ultrasonography is primarily used as a tertiary level test to help differentiate between PDH and adrenal-dependent disease i.e., bilaterally symmetric enlargement of the adrenal glands versus unilateral adrenal enlargement, respectively) when the results of the LDDS fail to localize the etiology of the Cushing's disease.
105
**Fusobacterium necrophorum commonly contributes to which of the following diseases in young pigs?** - Gastroenteritis - Hepatic abscesses - Necrotic rhinitis - Pleuropneumonia - Metritis
Answer: **Necrotic rhinitis** Explanation The correct answer is necrotic rhinitis. Fusobacterium necrophorum is a gram negative anaerobe that causes hepatic abscesses in cows, gastroenteritis in ruminants, foot rot in pigs and ruminants, and metritis in cows. Pleuropneumonia in pigs is caused by Actinobacillus pleuropneumoniae. Necrotic rhinitis is a sporadic disease of young pigs in which they undergo necrosis of the snout when F. necrophorum enters a wound in the nasal or oral mucosa.
106
A 6-year-old male neutered Chesapeake Bay Retriever presents with a history of decreased appetite and mildly elevated temperature of 103.1F. **Which of the following findings may also be a clinical sign of Lyme disease in dogs that you would be looking for on exam?** - Quiet heart sounds - Increased lung sounds - Abdominal pain - Painful joints
Answer: **painful joints** Explanation Lyme disease is caused by Borrelia burgdorferi, a spirochete bacterium transmitted via ticks. Symptoms of Lyme disease can include fever, arthritis, lymphadenopathy, anorexia, and lethargy. It may cause renal disease, and/or more rarely cardiac or neurologic disease. Abdominal pain, increased lung sounds, and quiet heart sounds are not typical symptoms.
107
**What is the main nitrogenous waste excreted by the avian urinary system?** - Allantoin - Creatinine - Urea - Ursodeoxycolic acid - Uric acid
Answer: **Uric acid** Explanation The correct answer is uric acid. Secretion of uric acid is an evolutionary advantage to the bird that helps conserve water.
108
A stray 4-month-old intact male kitten is brought in by a rescue organization with the complaint of malaise and hyporexia. He has an unthrifty appearance and appears small for 4 months of age. Upon physical exam, he is febrile and has a distended abdomen with a fluid wave on ballottement. You perform an abdominocentesis and aspirate a slightly yellow, cloudy abdominal fluid that becomes frothy when shaken. **Given the kitten's history, symptoms described, and the character of the abdominal fluid, what do you tell the rescue organization regarding the kitten's prognosis?** - Excellent prognosis - Good prognosis with treatment - Grave prognosis - Guarded prognosis with treatment
Answer: **Grave prognosis** Explanation The signalment, history, and abdominal fluid character are consistent with feline infectious peritonitis, which has a grave prognosis. This is a classic presentation of FIP, caused by a severe inflammatory reaction in abdominal tissue. The straw-colored abdominal fluid obtained by centesis is commonly seen with the effusive or wet form of the disease. A frothy appearance when shaken suggests a high protein content. There is no cure or effective treatment for FIP, so this kitten's prognosis is grave.
109
A 19 year old Saddlebred gelding presents with a history of staggering and respiratory distress. On physical exam, it is noted the horse is sweating, has a heart rate of 52, and a respiratory rate of 44. Hemoglobinuria is identified on urinalysis. This horse lives in close proximity to cattle, and it is suspected that he may have been eating cow feed. **What feedstuff additive is known to be very toxic to horses and result in cardiomyopathy if consumed at high enough doses?** - Selenium - Monensin - Copper - Salinomycin - Lasalocid
Answer: **Monensin** Explanation The correct answer is monensin. Monensin is a commonly used coccidiostat in feedstuff of cattle. This ionophore is highly toxic to horses (the toxic dose for hoses is 10 to 15 times less than for cattle) and will result in cardiomyopathy and myocardial necrosis. Unfortunately, there is no quick and easy antidote, and treatment usually consists of trying to empty the intestinal tract by using mineral oil, activated charcoal, and fluid therapy. Lasalocid and salinomycin are also ionophores that you might worry about, but monensin is much more toxic to horses. Selenium and copper are usually added to feedstuffs as a result of being deficient in the soil. Lack of supplementation with these minerals may result in cardiovascular disease, such as white muscle disease with selenium deficiency, and excessive bleeding in aged parturient mares with copper deficiency. One way of determining prognosis is to evaluate the horse's fractional shortening via echocardiography. Normally the fractional shortening is 30-40%; if you calculate fractional shortening to less than 20%, the prognosis is poor.
110
**What is the most common ovarian tumor in the horse?** - Arrhenoblastoma - Cystadenoma - Teratoma - Granulosa-thecal cell tumor
Answer: **Granulosa-thecal cell tumor** Explanation The correct answer is granulosa-thecal cell tumor. These are usually unilateral, benign tumors that secrete steroids, preventing cycling by suppressing gonadotropin secretion. The other tumor choices in this question can occur but are much less common.
111
A horse presented to you for severe colic. At surgery, you note infarction of a mesenteric artery. **What organism is associated with this lesion?** - Strongylus vulgaris - Strongyloides westeri - Draschia megastoma - Dictyocaulus arnfieldi - Parascaris equorum
Answer: **Strongylus vulgaris** Explanation The correct answer is Strongylus vulgaris. Migration of the larvae of Strongylus vulgaris and the corresponding immune response can result in thrombosis of the cranial or anterior mesenteric arteries leading to colic and infarction of the bowel. Parascaris equorum causes colic in foals by causing intestinal impaction. Strongyloides westeri is a cause of foal heat diarrhea and can migrate through the lung causing damage. Dictyocaulus is a lungworm. Draschia megastoma is another migrating parasite that can cause focal granulomas in the lung.
112
**How many permanent teeth do goats have?** - 28 - 32 - 36 - 42
Answer: **32** Explanation The correct answer is 32. The dental formula is 2(0/4 incisors, 0/0 canines, 3/3 premolars, and 3/3 molars). Pigs have 44 permanent teeth. Horses have between 40-42 permanent teeth. Dogs also have 42 permanent teeth. Cats have 30 permanent teeth.
113
A farmer brings a cow to you with the complaint that the cow is losing weight and not appearing to eat well. On physical exam you find that the tongue is hard and swollen, as shown in the image. **How would you treat this cow?** - Euthanasia, and notify the state officials - Sodium iodide - Banamine - Penicillin - Ceftiofur
Answer: **Sodium iodide** Explanation The tongue is the area most frequently infected with woody or wooden tongue, although other soft tissues can be infected. The infection is introduced by breaks in the mucosa, allowing the normal rumen inhabitant, Actinobacillus Lignieresii, to invade and cause painful granulomas. The disease can often be successfully treated with IV sodium iodide; although certain other systemic antibiotics including tetracyclines can be used. The sodium iodide is given intravenously once and repeated again in 7-10 days. It is given at a concentration ranging from 5-20%. Ceftiofur cannot be used extra label.
114
An 11-year-old Labrador Retriever "Martin" presents on emergency for weakness and lethargy that the owner noticed yesterday. He has a heart rate of 280 bpm. He has no history of trauma or underlying cardiac disease, and the rest of his physical exam is unremarkable. Based on his ECG, you diagnose him with supraventricular tachycardia. You are scheduling him for echocardiogram. **Which of the following could be a treatment for Martin to slow his heart rate?** - Atropine - Lidocaine - Propantheline - Atenolol
Answer: **Atenolol** Explanation The correct answer is atenolol. Atenolol slows the heart by blocking beta adrenergic stimulation to the heart. Diltiazem also slows the heart by blocking calcium channels, and diltiazem and atenolol slow conduction down the AV node and decrease the ventricular rate in SVT. Lidocaine is used for treating ventricular arrhythmias, but is not effective for supraventricular tachycardia. Atropine and propantheline are anticholinergics and can cause increased heart rate, which would not be recommended.
115
You suspect Coccidioidomycosis in your canine patient. **Demonstration of which of these in a sample from a bronchoalveolar lavage would confirm your suspicions?** - Broad-based budding yeast - Small round intracellular yeast - Spherule - Small yeast with a very large clear capsule -Branching fungal hyphae
Answer: **Spherule** Explanation The correct answer is spherule. The diagnostic stage of Coccidioides immitis is the spherule. This is a 20-200 micrometer round, double-walled structure containing many endospores. As a reminder, the broad-based budding yeast is Blastomyces. The small yeast with large capsule is Cryptococcus, and the branching fungal hypha is Aspergillus. The small intracellular yeast is Histoplasma.
116
A 25-month old female rat presents to you for weakness. On exam, you note generalized ataxia, most pronounced in both forelimbs. There is mild left sided exophthalmia and you note the rat pressing its head against the side of its cage. The owner is not interested in diagnostic tests or treatment and feels the rat's quality of life is poor but you are both very interested in finding out the cause of the rat's signs. You perform a gross necropsy and see the abnormality shown in the image below. **What is this condition?** - Cerebellar abiotrophy - Hydrocephalus - Glioblastoma multiforme - Bacterial meningitis - Cerebellar hypoplasia - Pituitary adenoma
Answer: **Pituitary adenoma** Explanation Pituitary tumors are most common in older female rats and can produce clinical signs from mechanical growth (as described in this question) or related to hormonal disturbances (such as lactation, decreased fertility, PU/PD). This is a macroadenoma which is usually defined as > 10 mm in diameter. Treatment options are usually limited to steroids to temporarily decrease swelling associated with the tumor and nursing care.
117
**Which of the following tests has the highest specificity for 200 cats, 100 with the disease and 100 without?** - 50 true positive, 80 true negative, 50 false negative, 20 false positive - 95 true positive, 65 true negative, 5 false negative, 35 false positive - 75 true positive, 95 true negative, 25 false negative, 5 false positive - 85 true positive, 85 true negative, 15 false negative, 15 false positive
Answer: **75 true positive, 95 true negative, 25 false negative, 5 false positive** Explanation The correct answer is 75 true positive, 95 true negative, 25 false negative, 5 false positive. Specificity is determined by the percentage of true negatives versus false positives in cats that do not have the disease of interest. PowerLecture: Epidemiology - Sensitivity
118
A 3-year old Jersey heifer is not doing well and is euthanized with a post-mortem performed in the field. Below is an image of her heart, with the right atrium and right ventricle opened. **What is your diagnosis?** - Tricuspid valve endocarditis - No significant findings - Cardiac neoplasia - Ventricular septal defect - Tricuspid valve dysplasia
Answer: **Tricuspid valve endocarditis** Explanation The correct answer is tricuspid valve endocarditis. Hemorrhagic and white masses are seen on all leaflets of the tricuspid valve which makes endocarditis the most likely diagnosis in a young heifer. Neoplasia is unlikely on the valve and at this age; tricuspid valve dysplasia would be seen as short, thick chordae but no masses; a VSD would be seen as a hole between the right and left ventricle which is not apparent here.
119
During a necropsy of a 3-year old cow with a history of weight loss and diarrhea, you notice thickened mucosal folds in the abomasum (with less shiny mucous than normal), and thousands of larvae are detected when you digest and stain the abomasal mucosa. **What did this cow potentially die from?** - Coccidiosis - Type I Ostertagiasis - Type Il Ostertagiasis - Giardiasis - Type I Haemonchus contortus
Answer: **Type Il Ostertagiasis** Explanation The correct answer is Type Il Ostertagiasis. This is a classic description of postmortem findings. Type I Ostertagiasis is found in naive calves and is not associated with large numbers of larvae with few adult worms in the abomasum. Type Il Haemonchus contortus is possible, but it mainly causes anemia, as it is a blood sucker. Also, H. contortus most commonly severely affects sheep and goats. Coccidiosis and giardiasis are mainly calf diseases.
120
You examine a cow with pruritic leg lesions consisting of papules, erythema, scaling, crusting, and alopecia (see image). Several animals in the herd have these same lesions. **What should you do to make the diagnosis?** - Skin scraping to identify chorioptic mites - biopsy to look for Hypoderma bovis infestation - Take swabs and submit for culture for Corynebacterium pseudotuberculosis infection - take swabs for PCR to rule out Pseudocowpox - trap insects at sunset to check for Culicoides hypersensitivity
Answer: **Skin scraping to identify chorioptic mites** Explanation Chorioptes bovis (see image) is found in cattle, and it is a reportable disease. Treatment with ivermectin is usually effective. C. equi, C. ovis and C. capre are found respectively in horses, sheep and goats where they cause mange. Identifying the mite, along with lesion distribution, will determine which mange mite is responsible.
121
A 9 year-old male neutered American Eskimo presents for progressive hair loss along his sides. The areas of alopecia are smooth with no crusts or scales, and he is not pruritic. You performed an ACTH stimulation test and did an adrenal sex profile, both of which were normal: thyroid tests were also normal. The owners declined a skin biopsy. You suspect Alopecia X in this patient. The owner would like to know if there is an over-the-counter medication that may potentially help with hair regrowth. **You suggest that she could try which of the following supplements?** - Melatonin - Zinc - Milk thistle - Vitamin A
Answer: **Melatonin** Explanation It is unknown what exactly causes Alopecia X, but it has been shown to be genetic. Nordic breeds and Pomeranians are most commonly affected. Alopecia X causes an arrest of the hair cycle. Melatonin may help some pets with this condition. Husky dogs can get zinc responsive dermatosis, which would be treated with zinc. Milk thistle is used as a supplement for dogs with liver disease. Hypovitaminosis A is more common in birds fed a seed-only diet and can cause lesions in the eyes and mouth and may cause respiratory symptoms.
122
**Cytauxzoon felis is transmitted by ______** - Mosquitoes - Cats - Lice - Fleas - Ticks
Answer: **Ticks** Explanation The correct answer is ticks. Dermacentor variabilis or Amblyomma americanum are the most likely vectors. The disease in cats is rapidly progressive and almost 100% fatal. A recent study shows 32 of 34 cats dying or being euthanized as a result of infection. Clinical signs include anorexia, lethargy, dyspnea, dark urine, dehydration, icterus, fever, prolonged capillary refill time, and death (essentially disseminated intravascular coagulation). Ring-shaped organisms can be seen in erythrocytes or schizonts in spleen, liver, blood, bone marrow aspirates, or lymph nodes.
123
**Which of the following is not a cause of sinus node arrest in cattle?** - Calcium gluconate - Oleander - Fescue - Foxglove
Answer: **Fescue** Explanation The correct answer is fescue. With fescue toxicity you see lameness, sloughing of rear hooves, decreased weight gain, decreased milk production, and fat necrosis. Administration of calcium gluconate may result in sinus node arrest so be careful. Foxglove and oleander are both cardiotoxic and may cause a sinus node arrest.
124
**Drastic changes in the feed of chickens should be avoided to prevent which of the following conditions?** - Coronavirus enteritis - Necrotic enteritis (clostridium perfringens) - Salmonellosis - Hepatic lipidosis - Coccidiosis (Eimeria spp.)
Answer: **Necrotic enteritis (clostridium perfringens)** Explanation The correct answer is necrotic enteritis (Clostridium perfringens). C. perfringens A and C can cause acute enterotoxemia with sudden onset explosive mortality due to necrosis of the mucosa of the small intestine. This usually occurs when intestinal microecology is disturbed (due to changes in feed or damage from other pathogens or toxins). Diagnosis is made by finding large numbers of short, thick, gram positive rods in mucosal scrapings.
125
A 4-year old cat presents dehydrated, febrile, and jaundiced with a PCV of 16%. The labwork indicates markedly regenerative anemia with an elevated bilirubin. A slide agglutination test is positive. The photomicrograph from the CBC blood smear is below: **What is the infectious organism and how is it best treated?** - Bartonella- doxycycline and prednisolone - Mycoplasma haemofelis- doxycyline and prednisolone - Bartonella- enrofloxacin - Mycoplasma felis- enrofloxacin and prednisolone - Mycoplasma haemofelis- enrofloxacin
Answer: **Mycoplasma haemofelis- doxycyline and prednisolone** Explanation This organism is called Mycoplasma haemofelis (formerly called Hemobartonella). Bartonella is a different bacterium that is spread via fleas. It is implicated in Cat Scratch Disease. Mycoplasma felis is a bacterium involved in respiratory infections and is usually considered a co-infection or opportunist in pulmonary disease. Both doxycyline and enrofloxacin (Baytril) can be effective at treating Mycoplasma haemofelis; however, in severe cases such as this where there is rampant red blood cell destruction via the immune system (as evidenced by positive slide agglutination test), the addition of immunosuppressive doses of steroids can be life-saving.
126
A cattle producer contacts you to discuss his vaccination protocols. During the conversation, he states that he would specifically like to ensure that his animals are protected against clostridial diseases, due to the significant impact that these diseases can have on beef cattle. He is considering the use of an 8-way clostridial vaccine for all of his cattle, following the manufacturer's recommended schedule. **If he administers this vaccine, his animals would still be susceptible to infection with which clostridial species?** - Clostridium perfringens - Clostridium sordellii - Clostridium chauveoi - Clostridium septicum - Clostridium novyi
Answer: **Clostridium perfringens** Explanation While there are several clostridial vaccines on the market to help prevent disease, there is no vaccine in the US that incorporates Clostridium perfringens type A in the vaccine. This clostridium has been found to be involved in jejunal hemorrhagic syndrome in cattle. All other clostridia listed are incorporated in vaccines in the US. The 8-way clostridial vaccine, in particular, protects against C. chauvoei, C. septicum, C. novyi, C. sordellii, C. perfringens types B, C, D, and C. tetani.
127
You have a 6-year-old female spayed Cocker Spaniel with immune-mediated hemolytic anemia (IMHA), and would like to start her on azathioprine and prednisone. **Which one of the following is a reported possible side effect of azathioprine?** - Seizures - Bone marrow suppression - Nephrotoxicity - Polyphagia
Answer: **Bone marrow suppression** Explanation Bone marrow suppression is a possible side effect of azathioprine, and is thus one of the reasons the blood count needs to be closely monitored. Nephrotoxicity, seizures, and polyphagia are not reported side effects of azathioprine. In fact, decreased appetite and lethargy are two of the more common side effects. Cats are more sensitive to these side effects than dogs because of a deficiency in thiopurine methyltransferase, the enzyme used to metabolize azathioprine. Azathioprine should be used with caution, if at all, in cats.
128
Dr. Okoro is seeing Benji, a five-year-old male castrated Chihuahua, for the first time today. Benji was presented for wellness examination and vaccinations. He has not seen a veterinarian in several years. While completing the physical examination, Dr. Okoro notes two subcutaneous masses, stage Il periodontal disease, a grade Ill/VI cardiac murmur, and otitis externa of the left ear. **Which of the following is the best option for communicating examination findings with the pet owner?** - Review the findings with the owner and discuss recommendations during the visit. - Explain the examination findings and have a staff member provide a copy of a written patient report card. - Create a written review of the exam findings and share the document with the client via email. - Discuss the examination findings and review a written patient report card during the visit.
Answer: **Discuss the examination findings and review a written patient report card during the visit.** Explanation Verbally discussing examination findings and presenting the patient report card to the owner in person is recommended. Using a combination verbal and written instructions is ideal. Options which involve only verbal or only written client communication are not ideal. While sharing a copy of the patient report card via email is reasonable, reviewing it with the client in person is ideal. Clients prefer to receive medical information directly from the doctor. Source: The Art of Veterinary Practice Management. Mark Opperman and Sheila Grosdidier. Advanstar Communications, Inc., 2014. Page 26-27.