What disease does this blood film suggest?

What disease does the following immunophenotype suggest? Sig+, CD5+, Cyclin D1+, CD20+, CD10-, CD23-, BCL6-, MUM1-
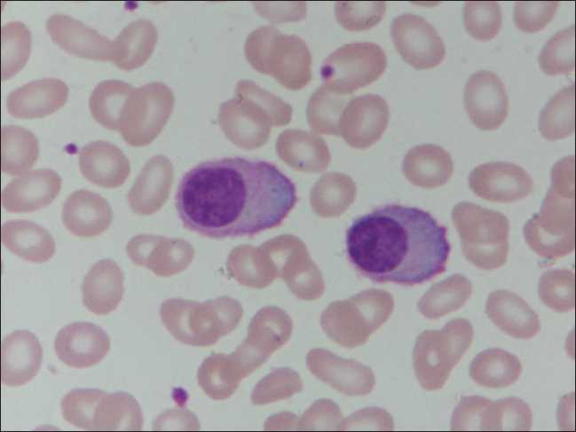
What disease does this blood film suggest?

CLL
What is the treatment for APML?
ATRA and arsenic
What is the main genetic cause of Burkitt lymphoma?
-Lost regulation of c-myc
Outline clinical presentation of MDS
What disease does the following immunophenotype suggest? CD45+, CD13+, CD33+, CD117+, CD34+, HLA-DR+, CD19-, Tdt-
-What viruses can cause infectious mononucleosis?
EBV and CMV
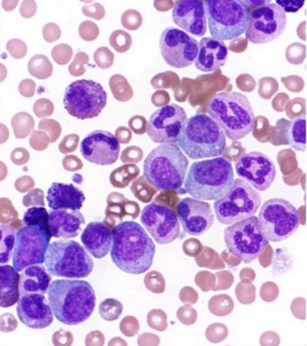
What disease does this blood film show?

CML, in chronic phase
Myelocytes and basophils can be prewent
Outline the pathophysiology of CML
Outline the clinical presentation of Adult T-cell laeukaemia/lymphoma (ATL)
How does Multiple myeloma lead to bone weakness?
Case: A 51 year old woman was admitted to hospital showing: Asthenia(weakness), anorexia, weight loss. No significant findings on physical examination. Haemoglobin 83, WBC 6.5, platelets: 245. ESR 138 (high). IgA 14.1(high). Creatine 290 (high). See serum protein electrophoresis. CD38+, CD56+. What is the most likely diagnosis?

Multiple myeloma
Outline the causes of Marginal zone lymphoma
What disease does the following immunophenotype suggest? CD30+, CD15+, CD79a-, SmIg-, CD45-, CD34-, Tdt-
Hodgkin lymphoma
(CD30+, CD15+)
What disease oes this immunophenotype suggest?CD45-, no SCC, CD19-, CD33+, CD7-, CD13+
-AML M0-M1
What disease does this blood film suggest?

Multiple myeloma
-Characteristic, pushed off to one side, extended cytoplasm
What are the viruses that can contribute to lymphoma?
EBV (Burkitt, Hodgkin)
HIV (Hodgkin, High grade B-cell lymphoma)
HTLV-1 (ATLL)
Hep C (Marginal zone lymphoma)
Human Herpes Virus (HHV8)
Hep B
What are the most common cytogenetic abnormalities associated with ALL?
What is the mechanism of action of Imatinib?
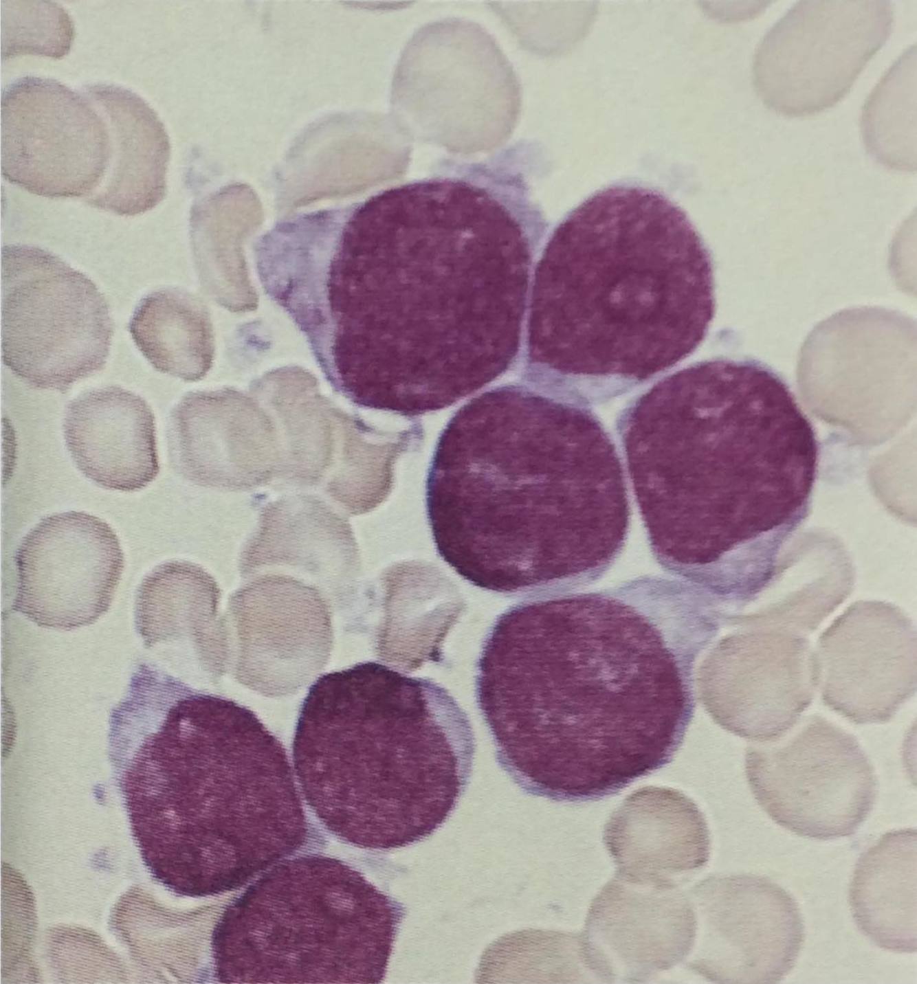
What disease does this blood film suggest?

Mantle cell lymphoma
-Characteristic morphology?
Outline the main subtypes of myelodysplastic syndrome
What genes are involved in multiple myeloma?
Describe the myeloid maturation sequence
Myeloblast,
Promyelocyte,
Myelocyte,
Metamyelocyte,
Band,
granulocyte (e.g Neutrophil)