Module 6 Chronic Disease Flashcards

(81 cards)

1
Q

What is a chronic DVT?

A

Occurs months to years after the initial event

How well did you know this?
1
Not at all
2
3
4
5
Perfectly
2
Q

What does a chronic DVT present like/ what does it look like?

A

Moderate to high echogenicity and can be isoechoic to surrounding tissue

How well did you know this?
1
Not at all
2
3
4
5
Perfectly
3
Q

Aged DVT does what? Which makes it difficult to do what?

A
  1. Retract
  2. Therefore this makes the vein difficult to assess
How well did you know this?
1
Not at all
2
3
4
5
Perfectly
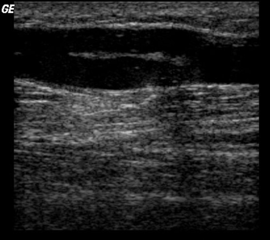
4
Q

What is this a example of? (this is a GSV)

A

Residual Fibrous bands in recanalized GSV

How well did you know this?
1
Not at all
2
3
4
5
Perfectly
5
Q

When recanlization occurs it can mimic what?

A

partial thrombus

How well did you know this?
1
Not at all
2
3
4
5
Perfectly
6
Q

What is Postthrombotic scarring?

A

When recanlization occurs it can mimic partial thrombus

How well did you know this?
1
Not at all
2
3
4
5
Perfectly
7
Q

Are fibrous strands at risk of emboliztion?

A

At risk of embolization

How well did you know this?
1
Not at all
2
3
4
5
Perfectly
8
Q

Fibrous material creates a site that is what?

A

Predisposed to recurrent acute DVT

How well did you know this?
1
Not at all
2
3
4
5
Perfectly
9
Q

What is another name for chronic venous insufficiency (CVI)?

A

Chronic venous disease

How well did you know this?
1
Not at all
2
3
4
5
Perfectly
10
Q

When does CVI occur? (pertaining to DVT)

A

When DVT results in incompetent valves

How well did you know this?
1
Not at all
2
3
4
5
Perfectly
11
Q

What structures does CVI involve? 4

A
  1. Superficial veins
  2. Deep veins
  3. Perforators
  4. Combinations
How well did you know this?
1
Not at all
2
3
4
5
Perfectly
12
Q

In the chronic stage, thrombus can do what?

A

Recanalize over time

How well did you know this?
1
Not at all
2
3
4
5
Perfectly
13
Q

Permanent damage of CVI can leave the valve leaflets how?

A

Immobile and fixed to the vein wall

How well did you know this?
1
Not at all
2
3
4
5
Perfectly
14
Q

There can also be permanent occlusion where the what happens?

A

The vein retracts

How well did you know this?
1
Not at all
2
3
4
5
Perfectly
15
Q

What can chronic outflow obstruction and increased hydrostatic pressure lead to? What does this do to the leaflets?

A
  1. Permanent occlusion where the vein retracts
  2. Permanent damage can leave the valve leaflets immobile and fixed to the vein wall
How well did you know this?
1
Not at all
2
3
4
5
Perfectly
16
Q

With dysfunction valves (CVI) there will be what kind of abnormality visible?

A

Reflux

How well did you know this?
1
Not at all
2
3
4
5
Perfectly
17
Q

When standing, there is a prolonged time of what? (Bloodwise)

A

De-oxygenated blood in the leg

How well did you know this?
1
Not at all
2
3
4
5
Perfectly
18
Q

What are signs and symptoms of CVI initially? 4

A
  1. Mild ankle swelling (edema)
  2. Heaviness/ ache lower limbs
  3. Telangiectasia (spider veins)
  4. Reticular veins dilated
How well did you know this?
1
Not at all
2
3
4
5
Perfectly
19
Q

How does mild ankle swelling resolve?

A

With Limb elevation

How well did you know this?
1
Not at all
2
3
4
5
Perfectly
20
Q

Does CVI signs and symptoms differentiate to a cause?

A

no?

How well did you know this?
1
Not at all
2
3
4
5
Perfectly
21
Q

As pressure in CVI increases what happens? 4 (what will we see happen in the leg?)

A
  1. swelling/ pitting edema
  2. Brawny discoloration/ hyperpigmentation in the gaiter zone
  3. Redness/ rubor
  4. Varicose vein
How well did you know this?
1
Not at all
2
3
4
5
Perfectly
22
Q

What changes define post thrombotic syndrome? 4

A

As pressure increase
1. Swelling/ pitting edema
2. Brawny discoloration/ hyperpigmentation in the gaiter zone
3. Redness/ Rubor
4. Varicose veins

How well did you know this?
1
Not at all
2
3
4
5
Perfectly
23
Q

What are signs and symptoms of CVI when it is severe? 3

A
  1. Venous claudication
  2. Stasis dermatitis
  3. Ulcers
How well did you know this?
1
Not at all
2
3
4
5
Perfectly
24
Q

What is venous claudication?

A

Intense burning or cramping in calf with exercise

How well did you know this?
1
Not at all
2
3
4
5
Perfectly
25
What is stasis dermatitis?
Dry, flaky skin (redness)
26
What are ulcers?
Medial malleolus/ shallow/ round - mild pain
27
Spider veins measure how much? How are they coloured? They are sometimes accompanied by what?
1. measure about 1-1, 5mm 2. Have a pink, red, or purple colour 3. sometimes accompanied by pain and discomfort in the affected area
28
Reticular veins are how big? How are they coloured? They often cause what?
1. about 2mm in diameter 2. Colour varies from green- blue to purple 3. often causes burning and itching
29
Varicose veins are how big? What is their colour? What does the veins do? What does this lead to?
1. Larger than 2.5mm in diameter 2. Usually have a dark blue or purple colour 3. Veins often protrude above the surface of the skin and can lead to pain, burning and spasms
30
What causes refulx? Why?
1. Damage of veins due to DVT 2. The leaflets scar and are unable to prevent flow reversal
31
What does Reflux do for DVT?
Increase the risk for recurrent DVT
32
What are two types of dysfunctional valves?
1. Primary 2. Secondary
33
What are primary dysfunctional valves?
Congenital - Absence - Structural defects
34
What are secondary dysfunctional valves? 2
1. Valves damaged from DVT 2. Post thrombotic syndrome
35
Label from left to right
1. Normal veins 2. Superficial vein incompetence 3. Deep vein incompetence
36
What are varicose veins?
Dilated superficial veins, typically greater than 4 mm in diameter
37
What structures does the varicose veins affect? 3 (think veins)
1. GSV 2. SSV 3. Subdermal veins (superficial to fascia)
38
What does the primary varicose veins affect?
The superficial system *with no underlying deep venous disease and is the favorable outcome*
39
What is the treatment for primary varicose veins?
Surgical ligation or ablation
40
What are causes of secondary varicose veins? 2
1. Obstructive conditions (previous DVT) 2. Incompetent deep system
41
What are treatments for secondary varicose veins? 3
1. compression stockings 2. Surgical ligation of perforators 3. Vein stripping does not resolve problems
42
What is the four steps for ultrasound in assessing CVI?
1. Rule out DVT 2. Assess deep system for phasicity and reflux 3. Assess superficial system for reflux (GSV, SSV) 4. Assess perforators
43
How should we position the patient to asses the deep system? 3
1. Position the patient standing on a stool/ platform with a handrail 2. Leg externally rotated slightly 3. Weight transferred to leg not being scanned
44
If you can't position the patient in the standing position what are your options? 2
1. Lying in bed in an extreme reverse trendelenburg position 2. Sitting with legs dangling over side of bed for the calf veins
45
What is the significance of vein compression and phasicity for accessing the deep system?
It assess the CFV, Prox FV, and Pop V for ease of compression and respirophasicity
46
What is the significance of the valsalva maneuver for assessing the the deep system?
It helps us look for reflux times in the CFV and prox FV, If under 1s the deep veins is normal
47
What is augmentation for assessing the deep system?
When we squeeze the calf and assess the reflux time in the pop V
48
Assessing the superficial veins includes what structures?
The GSV and the SSV
49
When assessing the GSV what must we do?
Measure the GSV diameter 1. If greater than 9 mm, 7.5 mm and 5 mm at the SFJ, mid thigh and calf respectively is highly predictive of incompetence
50
When assessing the superficial veins we should use what? For what purpose?
We should use doppler and valsalva proximally and augmentation distally to look for reflux. *If refulx times > 0.5s is abnormal*
51
When Assessing the GSV from SFJ to ankle what must we do?
Look between superfical and deep facial planes. *look for accessory veins*
52
When assessing the SSV from mid calf to pop v what must we do? Where is it found? How must we assess it?
1. Continue to the Gaicomini vein 2. Found between 2 bellies of gastrocnemius muscle, which is usually less than 2 mm AP 3. Assess with colour and spectral (augment and look for reflux, if under 0.5s it is normal)
53
What perforator is the most commonly visualized?
1. Cocketts 2. Patient can be in a seated position
54
Normal perforators are difficult to what?
Visualize
55
When assessing the perforators we must do what? 2
1. Scan in a transverse plane from the tibial medial condyle to the medial malleolus 2. Scan the circumference of the calf
56
Perforators are best assessed with what?
Colour doppler
57
Abnormal perforators show what kind of flow when assessing the perforators?
It will show bi- directional flow with augmentation
58
When assessing the perforators if abnormal, what should we do?
Perform spectral and measure the reflux time, If refulx time >0.35s it is abnormal
59
Treatments of CVIs can range from what?
Conservative treatment to more invasive procedures
60
Decisions on treatments of CVI will depend on what?
Severity of the disease
61
Like any disease, CVI is most treatable when?
Earlier on
62
What are the basic treatment strategies for vein pathology? 7
1. Limit long periods of inactivity 2. exercise regularly 3. Lose weight 4. Elevating the legs 5. Wear compression stockings 6. Practice good skin hygiene 7. Take antibiotics to treat skin infection
63
If the patient has post thrombotic syndrome they will be on what kind of medication?
Blood thinners
64
What are some nonsurgical treatments for CVI? 2
1. Sclerotherapy 2. Endovenous thermal Ablation
65
What is Sclerotherapy? What can it help? What does it improve? Is it costly?
1. A solution is injected into spider veins or small varicose veins to cause them to collapse or disappear 2. Can help reduce pain and discomfort 3. Improves appearance 4. Cost effective
66
What is endovenous thermal ablation? Why is this beneficial?
1. Laser or high frequency RF creates intense heat that collapses the vein and heals it shut 2. Less pain and faster healing times compared to surgical techniques
67
Sonography has a role in what?
Endovenous thermal ablation
68
What can a sonographer do in a endovenous thermal ablation before the treatment? 3
1. The patient can be scanned before the procedure to rule out DVT 2. Diameter are assessed to ensure that they are suitable for treatment 3. Access points are determined as well
69
Ultrasounds can be used during Endovenous thermal ablation to oversee what?
The access site and the introduction of the catheter
70
After the Endovenous thermal ablation procedure ultrasound can be used for what?
Follow up to ensure that procedure is successful
71
When would we use surgical intervention for CVI?
When other options fail
72
What is ligation and stripping? 3
1. Cutting and tying off of problem veins 2. Stripping involves the removal of the vein through two small incisions 3. it is more extensive and requires more recovery time
73
What is a vein bypass?
A healthy vein is used to reroute blood around the problem vein
74
What is venous mapping?
Duplex ultrasound is used to assess superficial veins suitable for use as bypass conduits (arterial conduit)
75
What are two techniques used for venous mapping?
1. CABG (coronary artery bypass grafts) 2. Lower extremity grafts
76
When getting venous mapping done, what kind of donor is the best choice for long term patency and greater durability?
Native veins
77
For venous mapping, ultrasound is used to do what?
Prove patency and assess for 1. Anatomic variants or structural abnormalities 2. Wall thickening 3. Varicosities 4. Valvular incompetence 5. Measure for suitability
78
When venous mapping what is the first choice and why?
GSV because 1. Excellent length 2. Excellent dimension 3. Assess bilateral 4. Diameter >2.5 mm 5. Using a marker, draw GSV and tributaries on leg, this allows the surgeon to cut down directly to the vein, avoiding unnecessary dissection of tissue
79
Can we use CW doppler to determine the presence and origin of reflux? Besides the deep system what can we examine?
Yes. GSV and SSV as well as the calf perforators can be examined
80
Remember since there is no image for CW doppler it may be difficult to know what?
If the lack of flow is due to DVT or extrinsic compression
81
When ruling out CVI, the waveform and auditory signals for CW are evaluated how?
Evaluated first in the resting position and compared to the signal received after provocative maneuver