Identify those cells

Lymphoid cells in the marrow
Generally should not be seen – especially immature lymphoid cells.
Hematogones (non-neoplastic B cell precursors) are the exception and can be more frequent in children.
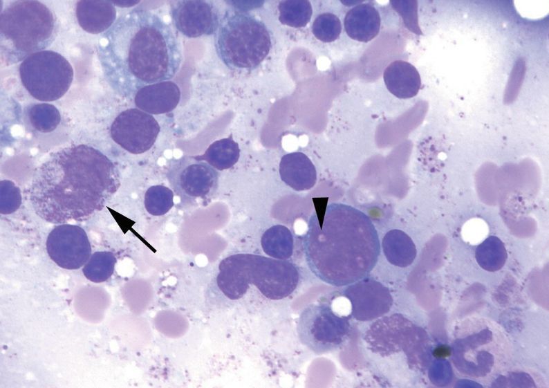
Identify the cell marked by the arrowhead

This is a blast. Note that we are on Giemsa-Wright cytology, not H and E histology.
The blast nucleus is large and round with very finely textured chromatin and a nonstaining nucleolus that shows up as a “hole” in the chromatin.
The more differentiated precursors (promyelocytes, melocytes) have similar nuclei but acquire cytoplasmic features (granules, a hof).
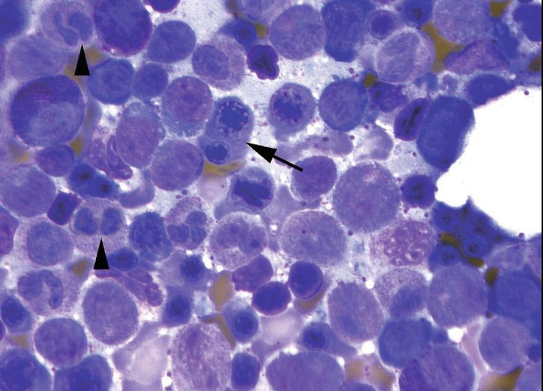
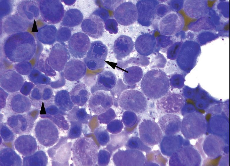
A normal promyelocyte should have a cearly visible. . .
. . . Golgi apparatus
The absence of this clear Golgi apparatus and increased toxic granulation suggests a dysplastic promyelocyte, such as in APML.

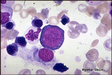
Nucleoli vs Vacuoles
In normal, healthy blasts, nucleoli can look lighter, almost like punched-out holes.
However, true vacuoles within the nucleus are a sign of dysplasia.
Differentiating the two is important.
Erythroblasts

Often described as having “royal blue” cytoplasm and very round nuclei.
Estimating the cellularity of marrow
Roughly 100% - Age (for those ages ~20-70)

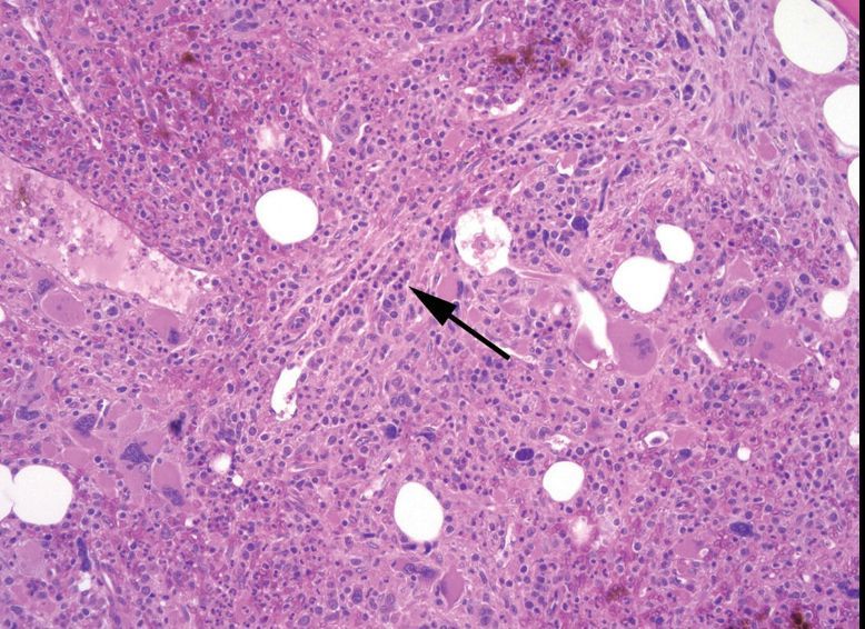
Marrow fibrosis
The marrow appears hypercellular at low power, but on high power has clear bands of fibrosis giving it a “streaming” texture.
Hematopoietic cells are divided into nests and chains.

Chronic myeloid leukemia
The marrow is hypercellular and full of small, hypolobated megakaryoytes and mature neutrophils
Remember: Numerous neutrophils may indicate CML, but sheets of multiple lineages of myeloid cells may indicate infection.
Any more than __% of blasts in the bone marrow is abnormal.
More than __% of blasts is necessary for a diagnosis of most leukemias.
Any more than 5% of blasts in the bone marrow is abnormal.
More than 20% of blasts is necessary for a diagnosis of most leukemias.
Dyserythropoiesis features

Dysgranulopoiesis features

Plasma cell dyscrasia spectrum

Plasma cells making up >__% of bone marrow cells indicates a possible plasma cell dyscrasia.
Plasma cells making up >10% of bone marrow cells indicates a possible plasma cell dyscrasia.
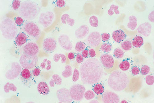
Prussian blue staining of bone marrow

This staining shows sideroblasts. Some sideroblasts are present at baseline, but the proportion may change with pathology:
5 steps to categorizing bone marrow disorders
Ddx for hypercellular marrow
Ddx for hypocellular marrow
Diagnostic features of myelodysplastic syndrome
Blasts, MDS, and leukemia
Blast % is important in diagnosis of both diseases.
Generally, leukemias have >20% blasts as a requirement for diagnosis, and MDS must have <20% blasts to be MDS.
However, an MDS may progress to an AML, in which case blasts will go from <20% to >20%. Be aware that this transition is possible.
Nondiagnostic supportive findings of MDS
“MDS with ringed sideroblasts”
>15% ringed sideroblasts or iron stain
Subcategorizing a diagnosis of MDS
MDS/MPN
The overlap category between MDS and MPN
Chronic myelomonocytic leukemia (CMML) is the classic example
It has dysplasia, anemia, thrombocytopenia, monocytosis, <20% blasts and NO Philidelphia chromosome.