MRI Flashcards

(162 cards)

1
Q

T/F

When electric current flows through a wire, a magnetic field is induced around the wire

A

True

How well did you know this?
1
Not at all
2
3
4
5
Perfectly
2
Q

Which way is the magnetic field generated in relation to the flow of current?

A

Magnetic field is generated in a direction perpendicular to the flow of current

How well did you know this?
1
Not at all
2
3
4
5
Perfectly
3
Q

How can we limit the resistance to the flow of current that is normally generated?

A

Resistance to the flow of current can be reduced if the metal conductor is cooled substantially

How well did you know this?
1
Not at all
2
3
4
5
Perfectly
4
Q

Why is having low resistance in a magnetic machine so imporant?

A

Low resistance allows the use of high electric currents to produce high strength magnetic fields

How well did you know this?
1
Not at all
2
3
4
5
Perfectly
5
Q

What is the type of magnet (magnet coils) ussually used in MRI machines?

A

Super conducting metal-alloy magnet

How well did you know this?
1
Not at all
2
3
4
5
Perfectly
6
Q

What temperature are superconducting magnets within an MRI machine cooled down to? What substance cools it?

A

Cooled to approx. 4K or -269oC, using expensive cryogenic helium

How well did you know this?
1
Not at all
2
3
4
5
Perfectly
7
Q

What is the symbol for magnetic feild?

A

B0

How well did you know this?
1
Not at all
2
3
4
5
Perfectly
8
Q

What is the strength of the magnetic field is measured in?

A

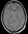
Units of T (Tesla)

How well did you know this?
1
Not at all
2
3
4
5
Perfectly
9
Q

What is the typical strength of the magnetic feild in MRI machines?

A

1.5T and 3T

How well did you know this?
1
Not at all
2
3
4
5
Perfectly
10
Q

How is the current of a magnet induced?

A

By injecting electric current into the coil of wire, which allows us to remove the power supply.

How well did you know this?
1
Not at all
2
3
4
5
Perfectly
11
Q

T/F

The MRI machine can maintain current for years.

A

True

How well did you know this?
1
Not at all
2
3
4
5
Perfectly
12
Q

How often does liquid helium levels in the magnet need to be filled?

A

Once per month to once every few years, depending on the magnet design

How well did you know this?
1
Not at all
2
3
4
5
Perfectly
13
Q

What gradient is the arrow showing?

A

The Z-gradient

How well did you know this?
1
Not at all
2
3
4
5
Perfectly
14
Q

What are 1 and 2 representing?

A
  1. Flow of current
  2. Magnetic feild
How well did you know this?
1
Not at all
2
3
4
5
Perfectly
15
Q

What is the arrow showing?

A

Longitudinal Magnetization (B0)

How well did you know this?
1
Not at all
2
3
4
5
Perfectly
16
Q

Give 3 examples of magnetic resonance active atoms?

A
  1. H
  2. N
  3. C
How well did you know this?
1
Not at all
2
3
4
5
Perfectly
17
Q

What creates a strong net spin?

A

Single proton + NO neutron

How well did you know this?
1
Not at all
2
3
4
5
Perfectly
18
Q

What are the most abundent atom in the body?

A

Hydrogen

How well did you know this?
1
Not at all
2
3
4
5
Perfectly
19
Q

What do all clinical images in MR come from?

A

Hydrogen atoms from water, fat and carbohydrates

How well did you know this?
1
Not at all
2
3
4
5
Perfectly
20
Q

T/F

Hydrogen has a positive electrical charge

A

True

How well did you know this?
1
Not at all
2
3
4
5
Perfectly
21
Q

T/F

Protons have thier own magnetic feild. Why or why not?

A

True; The positive charge of a proton is moving, and a moving electrical charge is a current, and an electrical current generates a magnetic charge.

How well did you know this?
1
Not at all
2
3
4
5
Perfectly
22
Q

What is the magnetic field of each proton called?

A

A magnetic dipole moment (MDM)/magnetic moment

How well did you know this?
1
Not at all
2
3
4
5
Perfectly
23
Q

T/F

Magnetic moments are usually in line and straight oriented.

A

False; Magnetic moments are usually randomly oriented

How well did you know this?
1
Not at all
2
3
4
5
Perfectly
24
Q

What happens when an external magnetic field is applied to protons with a magnetic moment?

A

They align either with (parallel) or against (antiparallel) the external field

How well did you know this?
1
Not at all
2
3
4
5
Perfectly
25
What is the preferred state of alignment when protons with a magnetic moment are introduced to an external magnetic feild?
Alignment parallel to the external magnetic feild
26
What is net magnitization
The difference in the number of protons aligning parallel and antiparallel to B0
27
What does net magnetization depend on?
Depends on the strength of B0
28
What is the source of the MR image?
Net magnetization
29
# T/F As an estimate, for about 10 million protons aligning antiparallel to B0, 10,000007 protons align parallel to B0
True
30
What is the symbol for net magnetization?
M
31
What is the longitudinal magnetization denoted by?
M0
32
What is longitudinal magnetization?
The resulting net magnetization in the direction of the **z-axis**
33
# T/F M0 parallels the external magnetic field (B0)
True
34
What is the X axis?
left – right direction
35
What is the Y axis?
Anterior – posterior direction
36
What is precession?
When a spinning proton is placed in magnetic feild, the force from the magnetic field interacts with the spinning proton and tries to get it to "wabble and fall"
37
What is the frequency of precession?
The frequency of precession is the number of revolutions per second
38
What is precessional frequency denoted as?
ω
39
What is the unit for ω?
ω unit is MHz
40
How do you find the proton precessional frequency?
Larmor equation
41
What is the Gyromagnetic Constant?
It is a characteristic of each type of nuclei
42
What is the gyromagnetic constant for hydrogen?
For hydrogen protons, the gyromagnetic constant is equal to 42.6 MHz/T
43
For a typical MR system, with a magnetic field strength of 1.5T, what is ω?
ω = 64 MHz (64 million times/sec) | Use equation
44
# T/F The relationship between ω and B0 is linear.
True
45
# Situation example: Once B0 (magnetic feild) is applied, there still no signal. What could have caused this?
-The net magnetization is very small -The magnetic force of the patient cannot be measured as it is in the same direction as the external field
46
**Net magnetization has to be at an angle to B0 (the magnetic feild), what is this called?**
Transverse Magnetization
47
# T/F Transverse magnetization is required to generate a signal
True
48
**How did we get the magnetization to go from longitudinal to transverse?**
Through the transference of energy from the radiofrequency pulse to the protons
49
**When does transverse magnetization only occur with radiofrequency?**
When the RF pulse has the same frequency as the precessional frequency of the protons
50
What is the purpose of the radiofrequency pulse?
The purpose of the RF pulse is to disturb the protons so that they fall out of alignment with B0
51
**What is Resonance?**
Resonance describes the phenomenon of increased amplitude **of signal** that occurs when the frequency of a RF pulse is equal (or close) to the precessional frequency of protons.
52
What is the RF energy is transmitted by?
RF energy is transmitted by an RF transmit coil (body coil, head coil, knee coil).
53
What is it called when the RF is transmitted for a period of time? How do we denote this?
RF pulse (B1)
54
# T/F For resonance to occur and for efficient transfer of energy from the RF coils to the proton to occur, RF pulse must be at the precessional frequency of the proton.
True
55
What would the RF energy for a 1.5 T magnet be?
64MHz
56
What happens to the net magnetization as energy is absorbed from the radiofrequency pulse? What is this phonomanon called?
-As energy is absorbed from the RF pulse, the net magnetization rotates away from the longitudinal direction -Called flip angle
57
What does the flip angle depend on?
Depends on the strength and duration of the RF pulse
58
If the RF pulse rotates the net magnetization into the transverse plane, what is it termed?
Termed a 90 degree RF pulse.
59
# T/F The strength and/or duration of the RF pulse can be controlled to rotate the net magnetization to any angle
True
60
Does transverse magnetization occur?
No, the f of th RF is not the same as the precessional f of the proton
61
Does transverse magnetization occur?
Yes, f of RF and precessional f is the same
62
# T/F As the protons move away from B0, there is an overall gain of M0
False; As the protons move away from B0, there is an overall loss of M0
63
What does Mxy describe?
Transverse magnetization occurs, in which protons precess “in phase” in a transverse plane
64
# T/F When transmitting an RF pulse, the protons in the transversal plane end up in phase with each other
True
65
How do we measure the amount of transverse magnetization?
Through a reciever coil
66
# T/F Transverse magnetization cannot induce a current in a loop of wire
False; Transverse magnetization can induce a current in a loop of wire
67
What happens after the transverse magnetization is recieved by the reciever coil?
Induced electric current is digitized and recorded in the computer of the MR system for reconstruction as an MR image
68
What happens to the protons as soon as we stop the radiofrequency waves?
As soon as the RF pulse is switched off the protons start to fall out of phase with each other and return to a lower energy state
69
What are the two ways in which relaxation occurs?
1. Longitudinal magnetization starts to return to its original value **– (T1) relaxation** 2. Transverse magnetization begins to disappear **– transverse (T2) relaxation**
70
# T/F When the transverse magnetism is completely in phase, our measured MR signal is at a max
True
71
What happens to the MR signal when the transverse magnetization begins to dephase?
Measured signal strength begins to decrease until the magnetization is completely dephased, at which time the measured MR signal is zero
72
What are two other terms for dephasing?
Spin-spin interaction or transverse decay
73
When does dephasing occur?
Dephasing occur due to magnetic interaction between spins (protons)
74
# T/F T2 is a parameter that is characteristic of specific tissue
True
75
# T/F T2 is the rate of dephasing for the protons associated with that tissue
True
76
What is the rate of decay in spin to spin interactions called?
Free induction decay
77
# T/F Free induction decay is linear.
False; Free induction decay is exponential
78
What is this graph showing?
The free induction decay curve
79
**What is T2?**
T2 is the time that it takes for the transverse magnetization to decay to 37% of its value (looses 63% of its maximum signal)
80
# T/F T2 depends on its local magnetic feild.
True
81
# T/F Bones and lungs have a long T2 relaxation.
False; have a short T2 relaxation
82
Is this short or long T2 relazation?
Short T2 relaxation
83
# T/F CSF and water has a long T2 relaxation.
True
84
Is this a short T2 relaxation or a long T2 relaxation?
Long T2 relaxation
85
What type of T2 relaxation is being shown here?
Medium T2 relaxation
86
# T/F Different tissues have different values of T2 and dephase at different rates
True
87
What colour will Low intensity signal show up as?
Dark gray/black
88
What colour will High intensity signal show up as?
white
89
What colour will Intermediate intensity show up as?
Gray
90
# What is the duration of T2? Bone/Calcium/Metal
Short T2
91
# What is the duration of T2? Fat
Long T2
92
# What is the duration of T2? Water
Very long T2
93
# What is the duration of T2? White matter
Short T2
94
# What is the duration of T2? CSF
Long T2
95
# What is the duration of T2? Grey matter
Intermediate T2
96
# T/F If we were to create an image at a time when the transverse magnetization curves were widely separated, then we would have high contrast between the tissues in our image
True
97
# What is this describing? The time in which the technologist acquires the image
-Echo time (TE) -Repetittion time (TR)
98
Is this a T1 or T2 weighted image?
T2 weighted image
99
# T/F After a 90 degree RF pulse, the longitudinal magnetization is 100%
False; After a 90 degree RF pulse, the longitudinal magnetization is ZERO
100
What is another term for T1 relaxation?
Longitudinal relaxation
101
What is the environment to which the longitudinal relaxation energy that is released is called? What is the interaction called?
Enviroment: The Lattice Interaction: Spin-lattice interaction
102
# T/F T1 is a parameter that is characteristic to specific tissue
True
103
What happens to induce T1 relaxation?
Nuclei that are in transverse position are jostled by surrounding lattice and give up thier energy which then caues them to return to thier longitudinal position.
104
# T/F Both the relaxation of T1 and T2 are exponential.
True
105
**What is T1 relaxation?**
The time it takes for the longitudinal magnetization (Mz) to recover 63% of its maximum value.
106
What does T1 depend on?
1. The surrounding Lattice 2. Surrounding molecules 3. Strength of the main magnetic field
107
# T/F On a T1 curve, magnetization increases with time
True
108
# What is the duration of T1? Fat and protien
Short T1
109
# What is the duration of T1? Water
Long T1
110
# What is the duration of T1? Bone/calcium/metal
Very long T1
111
# What is the duration of T1? White matter
Very Short T1
112
# What is the duration of T1? CSF
Long T1
113
# What is the duration of T1? Gray matter
Intermediate T1
114
# T/F If an image is obtained at a time when the relaxation curves are widely separated, T2-weighted contrast will be maximized
False; If an image is obtained at a time when the relaxation curves are widely separated, T1-weighted contrast will be maximized
115
What will tissue with short T1 appear as in the image?
Brighter
116
Will tissues with a shorter T1 have a larger or smaller Mz value?
Large Mz value
117
What colour will shorter T2 values appear as in the image?
Darker
118
# T/F Tissues with a shorter T2 have a smaller signal.
True
119
What type of magnetization is T2 relaxation focused towards?
Transverse magnetization (Mxy)
120
What type of magnetization is T1 relaxation focused towards?
Longitudinal relaxation (Mz)
121
# T/F The T1 and T2 processes occur simultaneously and independently
True
122
How do we choose the repetittion time of the radiofrequency pulse?
On whether we want to see charecteristics from T1 or T2
123
# T/F TR and TE influence the magnetic resonance signal.
True
124
How can we influence the tissue weighting of the image?
By choosing values of the TE and TR
125
What is the repetition time (TR)?
The amount of time betweeen sucessive pulse sequences
126
What is the echo time (ET)?
The time between the delivery of hte RF pulse and the receipt of the echo signal
127
What dictates the amount of agnetization each tissue begins its T2 decay with, following a 90 degree RF pulse?
The Repetition time
128
**With a short TR followed by very short TE, what property will contrast result from?**
T1 Properties of tissue
129
In a T1 weighted image, what is the duration of the TR for CSF?
Very long TR
130
In a T1 weighted image, what is the duration of the TR for white matter?
Has an interrmediate TR
131
In a T1 weighted image, what is the duration of the TR for grey matter?
Short TR
132
# T/F Very long TRs minimize T1 effects since all tissues have had time to recover between excitations.
True
133
What properties are shown with a long TR and average TE time?
T2 properties
134
In a T2 weighted image, what is the duration of the TE for CSF?
Long TE
135
In a T2 weighted image, what is the duration of the TE for white matter?
SHort TE
136
In a T2 weighted image, what is the duration of the TE for grey matter?
Intermediatte TE
137
# T/F CSF is dark on T1-weighted imaging and bright on T2-weighted imaging.
True
138
How do we tell the difference between T1 and T2 images?
By looking at the CSF
139
What are PD-weighted images?
PD-weighted images are related to the number of nuclei in the area being imaged (number of hydrogen protons
140
When do PD weighted images result?
PD weighted images result when the contribution of both T1 and T2 contrast is minimized
141
How do we minimize the effects of T1 and T2 to form a PD image?
Very long TR and very short TE
142
How long is the TR in proton dense images? Why?
2000+ms to minimize T1 differences
143
How long is the TE in proton dense images? Why?
20ms to minimize T2 differnces
144
# T/F High PD tissues appear dark.
False; High PD tissues appear bright
145
Whaty type of image is this?
A Proton Density Image
146
What is the function of the RF coils?
Send out the pulse
147
What is the function of gradient coils?
Gives us slight variation in magnetic feild strength
148
Where are gradient coils located?
Lie between the main magnet and RF coils
149
Are the gradient coils supercooled?
No, Not supercooled and operate close to room temperature
150
# T/F The strength of the field changes position depending on the coil used
True
151
# What is this describing? When switched on the magnetic field generated by the gradient coils is combined with B0 to generate MR signals that are spatially localized to the anatomy of interest.
Spatial encoding
152
What are the 2 main purposes of the RF coils?
1. Transmit RF energy to the tissue of interest 2. Receive the induced RF signal back from the tissue of interest | (can be independent or both functions)
153
What is the purpose of the Faraday Cage?
Faraday Cage used to block unwanted external radio waves
154
What is RF noise caused by?
Caused due to RF interference from electronics in or near scanner room
155
What type of artifact appears from RF noise?
Zipper artifact
156
What is being shown here?
Zipper artifact
157
What are the main concerns with the gradient feilds?
Excessive noise and potential auditory damage
158
What is the main safety concern assosiated with the RF pulse?
RF pulses may lead to local tissue heating through the dissipation of energy.
159
What type of contrast is used for MRI imaging? What type of magnet is this?
-Gadolinium -Paramagnetic material
160
What are the adverse reactions of Gadolinium?
1. Fetal loss, slowed development 2. Renal impairment
161
Is it alright for a mother to breastfeed her child following recieving Gadollinum contrast?
Yes, no precautions
162
How is Gadolinium introduced into the body?
It is injected