MRI Physics Flashcards

(39 cards)

1
Q

Spin Echo TR and TE durations for T1 and T2 weighting

A

T1: Short TR (250-700 ms), Short TE (10-25 ms) T2: Long TR (>2000 ms), Long TE (>60 ms) PD: Long TR, Short TE

How well did you know this?
1
Not at all
2
3
4
5
Perfectly
2
Q

GRE TR and TE durations for T1 and T2 weighting

A

T1: Short TR (<50 ms), Short TE (1-5 ms) T2: Long TR (>100 ms), Long TE (>10 ms) PD: Long TR, Short TE

How well did you know this?
1
Not at all
2
3
4
5
Perfectly
3
Q

Information location in K-space

A

Contrast information is central, resolution information is peripheral

How well did you know this?
1
Not at all
2
3
4
5
Perfectly
4
Q

Factors affecting SNR

A

Better SNR if: - Long TR - Big FOV - Large Slices (shallow/small SSG, thick tBW) - More NEX - Short TE - Small Matrix - Small rBW - Appropriate coil size

How well did you know this?
1
Not at all
2
3
4
5
Perfectly
5
Q

Factors affecting spatial resolution

A

Better SR if: - Small voxel (voxel = FOV/matrix) - Thinner slices (Steep/large SSG and tBW)

How well did you know this?
1
Not at all
2
3
4
5
Perfectly
6
Q

Table time formula

A

Time = TR x Phase Marix x NEX (doesn’t work for FSE or 3D imaging) For 3D must also multiple by # of slices

How well did you know this?
1
Not at all
2
3
4
5
Perfectly
7
Q

Modification: Thicker Slices Affect on SNR, SR and Table time?

A

SNR: Increased SR: Decreased Time: No effect

How well did you know this?
1
Not at all
2
3
4
5
Perfectly
8
Q

Modification: Larger FOV Affect on SNR, SR and Table time?

A

SNR: Increased SR: Decreased Time: No effect

How well did you know this?
1
Not at all
2
3
4
5
Perfectly
9
Q

Modification: Larger Matrix Affect on SNR, SR and Table time?

A

SNR: Decreased SR: Increased Time: Increased (more phase encoding steps)

How well did you know this?
1
Not at all
2
3
4
5
Perfectly
10
Q

Modification: Greater Field Strength Affect on SNR, SR and Table time?

A

SNR: Increased SR: No effect Time: No effect

How well did you know this?
1
Not at all
2
3
4
5
Perfectly
11
Q

Modification: Greater rBW Affect on SNR, SR and Table time?

A

SNR: Decreased (picking up more noise) SR: No effect Time: Decreased (picking up more signal in same amount of time)

How well did you know this?
1
Not at all
2
3
4
5
Perfectly
12
Q

Modification: Greater tBW Affect on SNR, SR and Table time?

A

SNR: Increased (sending more signal for echo) SR: Decreased? Time: No effect

How well did you know this?
1
Not at all
2
3
4
5
Perfectly
13
Q

Modification:More Excitations per slice Affect on SNR, SR and Table time?

A

SNR: Increased SR: No effect Time: Increased

How well did you know this?
1
Not at all
2
3
4
5
Perfectly
14
Q

Modification: Utilizing partial K Space Sampling Affect on SNR, SR and Table time?

A

SNR: Decreased SR: No effect Time: Decreased

How well did you know this?
1
Not at all
2
3
4
5
Perfectly
15
Q

Name Sequence

A

Spin Echo

  1. 90 RF + SSG
  2. PEG + FEG
  3. 180 RF + SSG(2)
  4. FEG + Echo
How well did you know this?
1
Not at all
2
3
4
5
Perfectly
16
Q

Name Sequence

A

FSE

  • ETL = # echos in 1 TR; acquisition time is proportional to 1/ETL
  • Messing with J coupling and causes increased brightness of fat
17
Q

Sequence?

A

Inversion recovery

  • STIR 120-160 ms (MSK)
  • FLAIR 2000 ms (NEURO)
  • STIR is much less “susceptible” to magnetic susceptibility and field inhomogeneity than other fat suppression techques
  • STIR cannot be be used with Gadolinium
18
Q

Name Sequence

A

GRE

  • No 180 pulse means you have T2*, not T2
  • lower SAR
  • TE controls T2* weighting, alpha (flip angle) controls T1 weighting
  • Spoiled GRE is basically T1 - get ride of residual transverse magnetization
  • Refocused (coherent) GRE is basically T2- SSFP example -
19
Q

Name Sequence

A

Echo Planar Imaging

  • More susceptibility to metal artifact
  • fast acquisition method
  • Technique used for DWI
20
Q

Name 3 factors that decrease chemical shift artifact

A
  1. Decreased field strength
  2. Increased gradient strength
  3. Wider rBW

Note*** Chemical Shift Artifact is only artifact in the frequency encoding direction

Spin echo sequences gets ride of chemical shift type 2 artifact, but type 1 is seen on both SE and GRE

21
Q
  1. Artifact?
  2. Direction?
  3. What makes it better?
  4. What makes it worse?
  5. Trivia.
A
  1. Aliasing
  2. Phase encoding
  3. Increase field of view, change the phase encoding direction
  4. Smaller fields of view make it worse.
  5. Caused by small FOV
22
Q
  1. Artifact?
  2. Direction?
  3. What makes it better?
  4. What makes it worse?
  5. Trivia.
A
  1. Chemical shift type 1
  2. Frequency encoding
  3. Bigger pixels, fat suppression, increase rBW
  4. Stronger magnetic field and lower rBW make it worse
  5. Caused by differences in resonance frequencies
23
Q
  1. Artifact?
  2. Direction?
  3. What makes it better?
  4. What makes it worse?
  5. Trivia.
A
  1. Chemical shift type 2 or India Ink artifact
  2. Both phase and frequency encoding directions
  3. Adjust the TE, perform spin echo sequence (only occurs on GRE)
  4. N/A to worsen
  5. Caused by differences in rosnance frequences - oppose each other at specific TE intervals
24
Q
  1. Artifact?
  2. Direction?
  3. What makes it better?
  4. What makes it worse?
  5. Trivia.
A
  1. Gibbs/truncation artifact
  2. Both phase and frequency encoding direction
  3. Bigger matrix, decreased BW, decrease pixel size (increase PE steps, decrease FOV) to improve
  4. N/A worsen
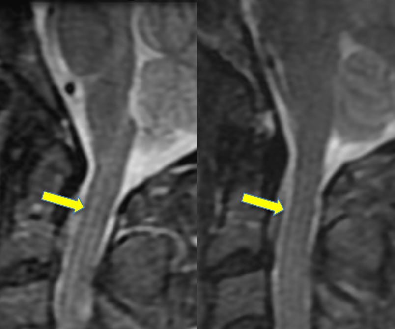
  5. Caused by limited sample of FID, classically seen in the spinal cord
25
1. Artifact? 2. Direction? 3. What makes it better? 4. What makes it worse? 5. Trivia.
1. Motion artifact 2. Phase encoding direction 3. Saturation pulses, respiratory gating, faster sequences (BLADE, PROPELLER)
26
1. Artifact? 2. Direction? 3. What makes it better? 4. What makes it worse? 5. Trivia.
1. Cross talk or slice-overlap artifact 2. NA 3. Increase slice gap, interleave slices (all odds then all evens) 4. NA 5. Caused by overlap of slices
27
1. Artifact? 2. Direction? 3. What makes it better? 4. What makes it worse? 5. Trivia.
1. Zipper artifact 2. Phase encoding 3. NA 4. NA 5. Caused by poor shielding - tech leave door open during the exam? Anesthesia equipment?
28
1. Artifact? 2. Direction? 3. What makes it better? 4. What makes it worse? 5. Trivia.
1. Field inhomogeneity 2. NA 3. Shimming 4. GRE Sequences make it worse 5. Caused by geometric distortion
29
1. Artifact? 2. Direction? 3. What makes it better? 4. What makes it worse? 5. Trivia.
1. Susceptibility 2. NA 3. Improves with: SE, less field strength, higher rBW, shot echo spacing, thin slices 4. Worsens with GRE, bigger field strength 5. Caused by augmentation of magenetic field, very bad in EPI
30
1. Artifact? 2. Direction? 3. What makes it better? 4. What makes it worse? 5. Trivia.
1. Nyquist or ghosting artifact from Eddy Currents 2. NA 3. Optimize sequence of gradient pulses 4. DWI - large gradient changes can worsen 5. Caused by geometric distortion or non-uniformity Eddy currents can produce a wide range of image artifacts, including shearing, shading, scaling, blurring, and spatial misregistration
31
1. Artifact? 2. Direction? 3. What makes it better? 4. What makes it worse? 5. Trivia.
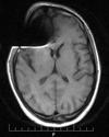
1. Dielectric effect 2. NA 3. Improve with parallel transmit or use 1.5 T 4. Worse with 3 T 5. Standing waves created as radiowave approaches length of body part - can cause focal decreased signal (abdomen with ascites) or focal increased signal (seen on in this central brain)
32
1. Artifact? 2. Direction? 3. What makes it better? 4. What makes it worse? 5. Trivia.
1. Magic angle artifact 2. NA 3. Better on T2 4. Worse on T1 and PD 5. Occurs at 55 degrees Seen in patellar tendon on this example
33
34
Name artifact and cause
Crisscross or herringbone artifact * obliquely oriented stripes throughout the image * cause is data processing and/or reconstruction errors * make it better by reconstructing image again
35
Equation for Specific Absorption Rate (SAR)
SAR = B0^2 x alpha^2 x Duty Cycle B0 = Field strength alpha = flip angle Duty cycle (increasing TR increases decreases your duty cycle)
36
SAR Limits
No tissue shall endure a temperature increase of greater than 1 degree C FDA limts are **4 W/kg** over 15 minutes and 3 W/kg over 10 minutes
37
Weeky QC for accredited MR scanners
Performed by MR technolgist 1. Center Frequency 2. Table positioning 3. setup and scanning 4. geometric accuracy 5. high contrast resolution (verified by phatom) 6. low contrast resolution 7. artifact analysis 8. film quality control 9. vsual checklist
38
Annual QC for accredited MR scanners
Performed by medial physicist or MR scientist 1. Magnetic field homogeneity 2. slice position accuracy 3. slice thickness accuracy 4. radiofrequency coil check 5. display monitor check
39
MRI zones
1. No restriction. Outside of the building. 2. No restriction. Waiting room and dressing room. This is where you can screen patients and control access to Zone 3 and 4. 3. Restricted room. Control room where the tech works, should be a lock on the door. 4. Restriced room. Actual MRI scanner room (same room as the magnet).