MSATone Flashcards

(89 cards)

1
Q

Describe the procedure and anatomical location for a caudal; yhigh epidural in a cow ?

A

High epidural in a cow
(18G, 1.5inch and 5-10ml syringe; 4-6ml 2% lignocaine)

High caudal epidural = Sacrococcygeal space
- Locate injection site by pumping the tail and palpating the joint
- most obvious articulation caudal to the sacrum
- place needle perpendicular to the skin and slightly cranial.
- needle peirces through the ligamentum flavum
- desensitizes S2,S3, S4 and S5
- Aspirate before injecting (real risk of injecting the venous sinus - pressence of blood).

  • listen close to the hub of the needle (without syringe attached) one the needle enters the epidural air space air may be heard being sucked in
  • hanging drop technique (difficult to achieve)
  • place air into the syringe, if correctly positioned should advance very easily

Equipment
- Clippers and surgical scrub - chlorohexidine and 70% alcohol solution.
- 18G needle 1.5 inch
- 5-10ml syringe
- 4-6ml 2% lignocaine

How well did you know this?
1
Not at all
2
3
4
5
Perfectly
2
Q

What are the indications for an epidural ?

A

Indicaions for an epidural
( the most common anaesthetic carried out in cattle)

  • Obstetric manipulations
  • surgical procedures of the tail, perineum, anus, rectum and caudal aspects of the thighs
How well did you know this?
1
Not at all
2
3
4
5
Perfectly
3
Q

Describe the advantages and disadvantages of carrying out an epidural in cattle ?

A

Epidural in cattle

Advantages
- cheap only 4-6ml lignocaine 2%
- easy to perform
- cheap

Diasadvantages
- it may be difficult to locate landmarks in fat animals
- injecting to high of a dose could potentially result in ataxia and / or recumbancy.
- entry of infection (not an aseptic technique) can lead to permanent paralysis of the tail and and constant soiling of the perineal area.

How well did you know this?
1
Not at all
2
3
4
5
Perfectly
4
Q

How can we assess our epidural was effective ?

A

Was our epidural effective

  • tail should be notably floppy
  • sensory inervation is lost from the anus may observe relaxation of the anal sphincter and peripheral anus may balloon
  • tenesmus will be relieved
  • pricking, noting sensory innervation is lost from the anus, vulva and perineum
How well did you know this?
1
Not at all
2
3
4
5
Perfectly
5
Q

Describe the procedure of a caudal low point epidural ?

A

Low point caudal epidural
Equipment
- 18G needle, 1.5”
- 5-10ml syringe
- 4-6ml 2% lignocaine

Procedure
- Clip and scrub thoroughly with chlorohexidine
- ensure animal is adequately restrained
- Pump the tail to identify anatomical location
- Location for injection is between the first and second coccygeal vertebrae
- remove syringe from needle place quickly perpendicular to the skin and slightly cranially
- place air in syringe with lignocaine prior to reatachment
- aspirate to ensure you do not inject into the venous sinus.
- if correctly positioned should be able to easily push plunger (no resistance is felt)

How well did you know this?
1
Not at all
2
3
4
5
Perfectly
6
Q

Describe the procedure for carrying out an inverted L-block ?

A

Procedure for an inverted L block
Equipment

-Chlorhexidine scrub and 70% alcohol solution
- clippers
- 18G needle 1.5”
- 20ml syringe or vaccinating gun (5ml)
- 80-100ml 2% lignocaine

Method
- clip and scrub
- deposit a bleb of the anaesthetic solution in the corner of the inverted L, just caudal to the last rib + ventral to the transverse process of the first lumbar vertebrae
- advance full length of needle in a caudal direction, while injecting small amounts of solution
- move along a line just ventral to the transverse processes of the lumbar vertebrae
- continue injecting along the dorsal branch of the inverted L until the desired length is reached
- caudal to the last rib

Return to the staring point and continue this process along the transverse line
- to achieve infiltration of deeper tissues
- this time inject parallel to the skin along the previously injected ‘L’

How well did you know this?
1
Not at all
2
3
4
5
Perfectly
7
Q

Describe the indications for a inverted L block ?

A

Indications for an inverted L block ?

Anaesthesia of the paralumbar fossa and abdominal wall;
- surgery of the GIT tract
- caesarian operation

The spinal nerves innervating skin and muscles of the flank run in a slightly caudo-ventral direction.
- Linear L block two infiltrations of the entire abdominal wall (anterior to and above +cranial)

How well did you know this?
1
Not at all
2
3
4
5
Perfectly
8
Q

Describe the advantages and disadvantages to a inverted L block in cattle ?

A

Inverted L block

Advantage
- simple to perform
- does not interfer with walking
- deposition of anaesthetic solution away from incision site
- no oedema / haematoma
- no scoliosis

Disadvantage
- requires a large amount of anaesthetic solution (cost + toxicity)
- incomplete analgesia and muscle relaxation of the deeper layers of the abdominal wall (especially in obese animals)

How well did you know this?
1
Not at all
2
3
4
5
Perfectly
9
Q

Describe the process of a paravertebral block ?

A

Paravertebral block
(desensitizes T13, L1 and L2)
Ensure every time you insert the needle there is a tail jack

Equipment
- clippers and chlorohexidine scrup
- markers
- gloves
- 18G 1.5” needle and a 10-20ml syringe
- 18G spinal needle, 20ml syringe
- 45ml 2% lignocaine

Location
The points of injection will be 5-6cm away from the dorsal midline (metchbox)
- block lumbar nerve 2 caudal edge of L2
- block lumbar nerve one caudal edge of L1
- block Thoracic nerve 13 cranial edge of L1

Method (Stage one; 5ml each site = 15ml)
- ensure restraint, clipping and scrub
- mark off the injection sites
- starting at L2 every time, as T13 is the least well tolerated
- first place a 2ml bleb of anaesthetic solution at each injection site with 18G 1.5” needle
- then redirect needle so that it is perpendicular to L2 and inject a further 3ml into the underlying fascia and muscle

(Stage two; 10ml each site = 30ml total)
- attach spinal needle and insert into desensitized area perpendicular to the transverse process
- inject small amounts of anaesthetic solution as the needle is advanced (prevents muscle spasm)
- when the needle hits the caudal edge of the vertebrae with- draw slightly and rdirect so the it walks off the edge of the transverse process
- perforates the intertransverse ligament
- (attempt to aspirate needle if correctly positioned this will not be possible).
- inject 10ml solution below the ligment
- repeat for all three injection sites

Remember to complete T13 last as this site is the least well tolerated by cows

How well did you know this?
1
Not at all
2
3
4
5
Perfectly
10
Q

Describe the indications for a paravertebral nerve block ?

A

Paravertebral nerve block

Anaesthesia of the paralumbra fossa and the abdominal wall.
- blocks T13, L1 and L2
- allows surgery of the GIT or a caesarian procedure to take place.

How well did you know this?
1
Not at all
2
3
4
5
Perfectly
11
Q

Describe the advantages and disadvantages of a paravertebral nerve block ?

A

Paravertebral nerve block

Advantages
- smaller doses
- wide uniform analgesia and muscle relaxation
- absence of local anaesthetic solution at the incison site

Disadvantages
- muscle spasm of the loin muscle
- scoliosis of the spine
- animal may be weak in the ipsilateral pelvic limb as well as ataxic on release
- may be difficult to identify landmarks in obese animals.

How well did you know this?
1
Not at all
2
3
4
5
Perfectly
12
Q

What should we assess to check our paravertebral block was successful ?

A

Paravertebral block

  • skin sensation; needle prick within the paralumbar fossa
  • scoliosis (relaxation of muscles along one side).
  • increased heat of skin within the paralumbar fossa, compared to skin felt in other areas.
How well did you know this?
1
Not at all
2
3
4
5
Perfectly
13
Q

Provide the indication for a cornual nerve block and what structures are blocked ?

A

Cornual nerve block

A cornual nerve block is indicated; for dehorning and treating a horn related injury.

Structures blocked;
The horn and skin around the base of the horn is inervated by cornual branch of the ophthalmic division of the trigeminal nerve.
- this nerve emerges from the orbit and runs just below the frontal crest situated fairly superficially.

How well did you know this?
1
Not at all
2
3
4
5
Perfectly
14
Q

Describe your method for carrying out a cornual nerve block ?

A

Cornual nerve block
Equipment
- 18G 1.5” needle
- 10-20ml syringe
- 5-10ml 2% lignocaine

Method (Adequately restrain the animal in a halter)
- Draw an imaginary line between the lanteral canthus of the eye and the horn base (identify your land marks)
- clean injection site with chlorhexidine and alcohol scrub
- inject about half way between the lateral canthus and horn base or 2.5 cm below the horn base
- direct needle at a 30 degree angle towards the base of the horn and below the facial crest
- inject 5-10ml of solution in an arc just below the edge of the frontal bone.
- firmly message the injection site

How well did you know this?
1
Not at all
2
3
4
5
Perfectly
15
Q

Describe the process of haltering and tying up a cows head ?

A

Placing a halter on a cow

  • lead rope should come out to the left
  • the lead rope movable part should run under the cows jaw

Tying up
- place rope around top bar
- use the leverage of your pulley system prior to trying to move the cows head
- attempt a pull knot if possible.

How well did you know this?
1
Not at all
2
3
4
5
Perfectly
16
Q

Describe the advantages and disadvantages to an auriculopalpebral nerve block ?

A

Auriculopalpebral nerve block

Adavantages
- facilitates examination of the eye by abolishing the srong tone in the eyelids
- particularly the bottom eyelid
- removal of a foreign body or application of medications

Disadvantage
- no analgesia of the eye (only blocks motor function)
- only effectively blocks the lower eyelid, therefore may need to aditionally perform a line block of the upper eye lid.

How well did you know this?
1
Not at all
2
3
4
5
Perfectly
17
Q

Describe the indications for a auriculopalpebral nerve block and the structures blocked ?

A

Auriculopalpebral nerve block

Indication; Paralysis of the eyelids (particularly of the lower eyelid.
- allows for eye examination
- application of medications into the subconjunctiva or removal of a foreign body

Structures blocked
- Auriculopalpebral nerve (a branch of the facial nerve).
- runs from the base of the ear along the dorsal border of the zygomatic arch, past and ventral to the eye

How well did you know this?
1
Not at all
2
3
4
5
Perfectly
18
Q

Describe your method for a Auricularpalpebral nerve block in a cow ?

A

Auriculopalpebral nerve block in a cow ?
Materials
- chlorhexidine / alcohol swabs
- 18G 1” needle
- 10-20ml syringe
- 10-15ml 2% lignocaine

Method
- Identify landmarks - palpate the zygomatic arch half way between the lateral canthus of the eye and the ear base.
- Adequately restrain animal with a halter
- clip and clean injection site chlorhexidine / alcohol swab
- insert needle on the dorsal border of the zygomatic arch
- deposit 10-15ml of anaesthetic solution
- analgesia in about 10-15mins which last for about an hour.

How well did you know this?
1
Not at all
2
3
4
5
Perfectly
19
Q

Describe the indications, which structures are blocked when we carry out a Peterson’s eye block ?

A

Peterson’s eye block

Structures blocked (4 nerves),
- oculomotor
- trochlear
- abducens
- and trigeminal nerve
These nerves are responsible for the sensory and motor function of all structures of the eye, except the eyelids.

Indications
- surgical treatment of traumatic injuries and neoplastic lesions of the eyes and its associated structures
- removal of the eyeball.

How well did you know this?
1
Not at all
2
3
4
5
Perfectly
20
Q

Describe the advantages and disadvantages of carrying out a Peterson’s eye block ?

A

Peterson’s eye block

Advanatage
- safer and more effective than retrobulbar nerve block
- less comparable oedema and inflammation

Disadvantage
- requires greater technical skill
- complications = poor analgesia
- damage to the optic nerve or potential injection into the meninges of the optic nerve

How well did you know this?
1
Not at all
2
3
4
5
Perfectly
21
Q

Outline your method for carrying out a Peterson’s eye block ?

A

Peterson’s eye block
Equipment;

- chlorhexidine / alcohol swabs
- 20G 1” needle, 20ml syringe
- spinal needle
- 45-60ml 2% lignocaine

Method
- restrain and clean the surgical site chl swab
- identify landmark (needle placement) is the notch formed by the supraorbital process cranially, zygomatic arch ventrally and coronoid process of the mandible caudally.

  • inject 5ml of anaesthetic into the notch (bleb)
  • place spinal needle horizontal to the ground but slightly caudally until it hits the coronoid process of the mandible
  • walk the needle of the coronoid process rostrally
  • continue advancing until it hits the bony orbit of the eye
  • draw back syringe to ensure you do not inject into the ventral maxillary artery
  • -inject solution above, below and cranially to the area around the orbital foramen
  • allow 10-15mins for solution to take effect
  • assess through the menace response, blink reflex and pupillary light response
How well did you know this?
1
Not at all
2
3
4
5
Perfectly
22
Q

Describe how you could safely lift the hind leg of a cow in stocks ?

A

Pulley system for lifting the hind leg of a cow.
(start by ensuring cow is safe through placement of a support strap)

  • saddle over the top bar
  • one sided loop around the hock
  1. request tail jack
  2. place strap around the leg above the hock connect to pulley system
  3. stand aside and use pulley to lift the leg
  4. place rope through hole, and around the metacarpus encircle bar twice. Stand aside and pull tight.
How well did you know this?
1
Not at all
2
3
4
5
Perfectly
23
Q

Describe your method for intravenous regional anaesthesia of the distal hind limb ?

A

Regional anaesthesia of the distal hind limb
(This block the entire distal hind limb)

Method
- tourniquet rubber tubing
- 21G butterfly catheter or 21G 1.5” needle
- 20ml lignocaine

Method Venous plexus
- ensure surgical prep and restraint
- tourniquet
- inside the second crease midline (about 2.5cm below the fetlock)
- insert needle only quickly full length
- manipulate until you see blood
- attach syringe (no draw back) quickly inject anaesthetic solution

Method dorsal digital vein
- ensure restrain, surgical prep and tourniquet in place
- push down on the dew claws
- palpate vein
- place needle
- inject anaesthesia with no draw back

Takes 10-15mins to take effect.
Tournequet may be safely left in place upto one hour.

When complete slowly release tourniquet over a period of about 10sec, avoids risk of toxication into the systemic circulation.

How well did you know this?
1
Not at all
2
3
4
5
Perfectly
24
Q

Identify four sites for venipuncture in the horse ?

A

Horse; Four sites for venipuncture

  1. Jugular vein
  2. Cephalic vein
  3. Lateral thoracic vein
  4. Facial venous sinus

Location transverse facial sinus
- place finger and thumb at the lateral and medial canthus of the eye, bring fingers together to a point approximately 2cm below the facial crest.

How well did you know this?
1
Not at all
2
3
4
5
Perfectly
25
Identify four location you can palpate for an arterial pulse ?
Four locations for an arterial pulse - Transverse facial artery - Facial artery - Digital artery - Carotid artery transverse facial artery = blue paint
26
Identify four intramuscular injection sites ?
Four intramuscular injection sites. 1. Neck triangle - ventral to nuchal ligament - dorsal to the cervical vertebrae - cranial (about a hand) to the scapular. 2. Semitendinosus / semimembranosus 3. Gluteal muscles 4. Pectoral muscles
27
Identify the eruption times of diceduous incisors in a foal ?
Deciduous incisor eruption times Eruption times First incisor = six days Second incisor = six weeks Third incisor = six months The first three premolars are usually present at birth or within the first fourteen days.
28
At what age do the permanent incisors (adult teeth) erupt ?
The adult equine incisors erupt Incisor one = 2.5years Incisor two = 3.5 years incisor three = 4.5 years
29
At what age do the adult incisors of horses come into wear ?
Equine adult incisors eruption times - I1 = 2.5 years - I2 = 3.5 years - I3 = 4.5 years - You can tell an adult incisor has erupted as it will have a star (filled with cementum) young tooth) When do the equine adult incisors go into wear. - The adult incisors go into wear six months after they erupt - Incisor one = 3 years - Incisor two = 4 years - Incisor three = 5 years - you may distinguish if a tooth is in wear by its smooth opposition to the opposing teeth.
30
Describe how you could utilise the Galvanyes groove to approximate the age of a horse ?
Galvanyes groove. The Galvaynes groove must be felt on the corner incisor. - just felt below gum line = 10 years of age - felt half way down the tooth = >15 years of age - felt the entire length of tooth = >20 years of age - felt from tooth tip half way up = >25 years of age - long tooth with large angle and Galvanyes groove can be palpated = >30 years of age.
31
Describe your first step to approximating the age of a horse ?
Aging; The corner incisor rule Corner incisor gives an approximation of age - wider than it is tall = <10years - approximately square = 10 years - Longer than it is wide = >10 years Then utilise other rules to determine a approximate year.
32
Describe how we can use the shape of the occlusal surface to determine age in the equine ?
Aging via the occlusal surface Utilise the occlusal surface of the mandibular incisors. Oval = < 9 years of age Round = approximately around ten years of age Triangular in shape = mid teens >15 years Rectangular = >18 years of age.
33
Describe how we can use the loss of cups to approximate age in horses ?
Cups The cups are an infundibulum enamel ring filled with cementum (only present in the young horse). As horses age the cups are lost - cup incisor one = lost 6 years of age - cup incisor two = lost 8 years of age - cup incisor three = lost nine years of age
34
Describe a star and how we can use it to approximate the age of horses ?
Star The star is receding pulp cavity, secondary dentine (older tooth) - it is darker and than the dental cup and positioned more rostrally. The star apperas as the horse ages - Incisor one = nine yeras of age - incisor two = 10 years of age - incisor three = 11 years of age
35
Identify the age of this horse ?
Horse = under 6 years of age horse has all cups present - under six years of age
36
Identify the age of this horse ?
Horse = 8-9 years of age Cups have regressed on incisor one and two = 8 years of age Stars have become apparent on incisor one and two = 9 years of age
37
Identify the age of this horse ?
Horse = 11-18 years of age (from this point of view) Cups have all regressed - placing this horse above 9 years of age Stars have appears on all incisors - placing horse above 11 years of age Occlusal surface is triangular - horse is an older ten
38
Age this horse ?
Horse = 7-8 years of age approximately Teeth are approximately square - young tooth around ten years of age Occlussal surface of tooth appears oval - placing this horse below the age of ten Dental cup is present on incisor one and two - approximately at 8 years incisor two cups loss There is no pressence of a dental star - this horse has not reached nine years of age
39
Describe your process to venipuncture and intravenous injection in the horse ?
Venipuncture of the jugular; equine 1. Aim to inject proximal 1/3 of neck (further back the jugular groove is less visable and the carotid is more superficial) 2. Swab (alcohol) dampens fur to make the jugular more visable, no sterility is obtained 2. Place thumb in jugular groove and pull trachea twoards you. May stroke the jugular enabling visualisation of the fluid wave. 3. Hold needle at right angles to thumb and index allowing fast wrist action for placement. 4. Place needle (syringe unattached) should see dribble of blood. Release hand occluding the jugular to ensure needle is not within the carotid (blodd will still flow if wrongly placed). 5. hold hub of needle or place thumb underneath and with draw sample.
40
Outline your method for a Palmer digital nerve block ?
Palmer digital nerve block. Materials - alcohol wipe + aseptic prep - 25G 5/8" needles - 1.5ml mepivicaine/ prilocaine each side 1. Elevate the limb and face towards the tail of the horse 2. palpate VAN just proximal of the collateral cartilage 3. insert parallel to VAN 3. inject medial side first 4. needle facing proximal to distal
41
Describe the structures the palmar digital nerve block desensitizes ?
Palmar digital nerve block Desensitizes - the caudal 1/3 of the heels and navicular bursa - P3 - variable amount of sole and and the DIP Testing - pricking and prodding of the heels with a needle.
42
Outline your method for an abaxial nerve block ?
Abaxial nerve block (onset 10-15mins) Materials - volume 3ml prilocaine - 25G needle 5/8" 1. Aseptic prep 2. Elevate limb and face head of the horse 3. plapate the base of the seasamoids 4. inject base of the proximal seasamoid bone adjacent to VAN (insert subcut and parallele to VAN) 5. Inject medial side first
43
Describe what structures you block with your abaxial nerve block ?
Abaxial nerve block ABSNB - blocks the mid pastern and distal foot - beaware in the hind limb, dorsal metatarsal nerves may extend past P1 Assess - prodding and pricking below the proximal seasamoid bones.
44
Outline how you would carry out a low four point block ?
Low four point block; Forelimb Materials - 2ml prilocaine each site - 25G 5/8" needles Method Leave horse standing - inject medial side from opposing side of the horse (safety) - palpate for the buttons of the splint bone - place needle inbetween metacarpal and suspensory ligament and inbetween suspensory ligamnet and ( flexor tendons; deep digital flexor and superficial digital flexor tendon) repeat on opposite side.
45
Describe what structures your low four point block desensatizes ?
Low four point block; Forelimb Blocks - fetlock, seasamoids and Suspensory ligament Test - pricking or prodding of the fetlock and below.
46
Describe how you can carry out an abaxial nerve block in the hindlimb of a horse ?
Abaxial nerve block hindlimb horse Inject with hindlimb elevated - and pulled forward - inject medial nerve from the contralateral side - may require assistance to pick up the limb of the horse.
47
Describe a low six point in the hind limb of a horse ?
Low six point; hind leg - 2-3ml prilocaine at each site - 25G needle 5/8" 1. Inbetween metatarsal and and suspensory ligamnet 2. Inbetween the deep digital flexor and suspensory ligament In addition 3. either side of the extensor tendon on the dorsal side of the metacarpal bone.
48
Describe the two approaches to the distal interphalangeal joint ?
Distal interphalangeal joint - 3-5ml prilocaine - 21G needle 1.5" - crucial aseptic prep with no clip (3-5min iodine scrub) - sterile gloves and drape - onset 10-15mins Dorsal approach - 1.5 cm proximal to the coronet - 1.5cm off midline (avoid the suspensory ligament) Lateral approach (minimise damage to the extensor tendon) - palpate joint between palmer P2 and collateral cartilage
49
Outline your method for injection of the fetlock or proximal interphalangeal joint ?
Proximal interphalangeal joint. Materials - 5ml prilocaine - 21G 1.5" Method palpate hoof while in flexion (collateral cartilage of seasamoid) between suspensory and palmer canaon bone - feel for a small depression evident at proximal limit of proximal seasamoid ligament
50
Outline correct procedure for injection of the carpal joint ?
Carpal joint (Leg off ground flexed around 90 degrees) Materials 21G 1.5" needle 5ml prilocaine Method Thee are three joints radiocarpal, middle carpal and carpometacarpal. **radiocarpal joint dose not communicate ** - injectproximal to radiocarpal bone - medial to extensor carpi radialis - direct slightly distally **Middle carpal joint** - communicates with carpometacarpal joint - medial to ECR extensor carpi radialis - local will diffuse to carpometocarpal joint
51
Forelimb; describe how you would complete a distal limb fetlock flexion test ?
Fetlock flexion test Flexion of the proximal interphalangeal, distal interphalangeal and navicular apparatus. Cannon bone must be held perpendicular to the ground. (avoid flexing the carpus)
52
Describe how you would flex the fetlock in the hindlimb ?
Hindlimb / distal limb flexion Grasp toe of hoof and pull up and grasp distal cannon and push down - flexing fetlock, proximal interphalangeal and distal interphalangeal joints and navicular apparatus.
53
Describe flexion of the carpus ?
Carpal flexion grap cannon bone and pull up - push down on distal radius
54
Describe flexion of the should and elbow ?
55
Describe how you would carry out a spavin test ?
Spavin - grab fetlock or toe of hoof and lift leg up so the cannon bone is parallel to the ground surface - flexing hock, stifle and hip (may flex fetlock somewhat if grasping at level of the fetlock. - place shoulder into the side of the horse so you can feel and react prior to horse kicking.
56
Describe how to load and inseminate a cow using a AI gun ?
Artificial insemination Loading of the AI gun (Post thawing) - place the end of straw fill with cotton into the AI gun - cut the straw just below the fluid line - place cover sheath over the AI gun to protect it during transit through the cows reproductive tract. Insemination procedure - place arm into the rectum of the cow, move this arm downwards to open the vulva - aseptically place the AI gun into the vulva - Using hand guide the pipette through the cows vagina and cervix - deposit semen 1cm past the cervix into the uterine body. Use you hand within the rectum (finger tip
57
Identify this piece of equipment ?
Colarado artificial vagina
58
Identify this piece of equipment used in AI ?
Maveric catheter used in canine species.
59
Identify this piece of equipment used in AI ?
Missouri artificial vagina
60
Identify this piece of equipment used in Artificial insemination ?
Laproscopic equipment used for the artificial insemination of sheep. Trochar - used for entry into the abdomen.
61
Describe your procedure for thawing a semen straw ?
Semen straw 1. Prepare flask of warmed water 32-38 degrees celcius 2. transfer semen straw using tweezers to the thawing flask 3. allow to thaw for 30-60sec 4. dry straw with a paper towel 4. load AI gun correctly placing the gauze plug facing down 5. trim the straw at the fluid line 6. place protective sheath over the gun 7. keep warm / in shirt 8. inseminate within 10 mins of loading the gun
62
Describe safety precautions you should use in the safe handling of liquid nitrogen ?
Safe handling liquid nitrigen (liquid nitrogen tank - canister - goblet - semen straw). 1. wear trouser outside of boots 2. depressurise flask prior to opening (avoid over pressurisation) 3. always transport seperate to passenger compartment of vechile 4. poor slowly to reduce splashing 5. secure canisters with a secure lid during transport 6. never dispose down a drain, can cause materials to become brittle 7. check tank regularly for evidence of frosting on the outside 8. Do not store directly on concrete as liquid nitrogen is corrosive (utilise a wooden plank). Assessment of volume - this is made via the height of frosting on the dip stick
63
Be able to determine if a foetal limb is a forelimb or a hindlimb ?
Differentiating a hindlimb from a forelimb Forelimb - two joints which flex in the same direction Hindlimb - can feel the bony proturberance of the hock - two joints which flex in opposite directions
64
Describe the normal presentation of a calf ?
The normal presentation of a calf. Cranial - longitudinal presentation, dorsosacral position with the head and forelimbs extended.
65
Describe how you describe the presentation, position and posture of a calf ?
Descriptions of presentation, position and posture of a calf Presentation - cranial or caudal - longitudinal or transverse Position ( the relation of the dorsum of the foetus to the quadrants of the maternal pelvis) - dorsosacral - dorsopubic - right/left dorsoilial - right/left cephaloilial Posture - limbs flexed or extended - head flexed or extended
66
Describe the abnormal presentation and how you would correct it ?
Elbow lock Description cranial longitubidinal - dorsopubic - with extension of head and partial bilateral extension of limbs Corection - pull the limbs in an upward position.
67
Describe the abnormal presentation and how you would correct it ?
**Carpal flexion** cranial longitudinal - dorsosacral - with unilateral/bilateral flexion of left/right limb and extension of the head. Correction - locate and grab hold of the metacarpus proximal to the fetlock - retropulse the foetus - elevate the limb taking care not to rupture the uterus with the calves carpus - move limb out to the side to obtain more space - when fetlock is at level with the pelvic brim cup the hoof with one hand. (protect uterine wall). Alternative helpful hints - place a rope snare can be placed distal to the fetlock, passed between the toes, extension of the leg by applying traction to the rope - foetotomy - level of the distal row of carpal bones
68
Describe the abnormal presentation and how you would correct it ?
**Shoulder flexion** (one leg only and presentation of swollen toungue) cranial longitudinal - dorsosacral - with flexion of left/right limb Correction - first assess calve viability + apply epidural - place a snare on head and rope/chain/ on extended forelimb - repel foetus - krays hook - convert to carpal flexion by applying traction to the radius - if the foetus is dead removal of head or limb may make correction of the malpresentation easier. - rope sanare, thread around and manipulate down may consider caesarian in a live calf which can not be retropulsed sufficiently.
69
Describe the abnormal presentation and how you would correct it ?
Foot nape position move forelimb over head into the correct postion for delivery. Not a common malpresentation in cattle, musch more frequently seen in horses.
70
Describe the abnormal presentation and how you would correct it ?
Lateral deviation of the head Description; cranial longitudinal - dorsopubic with lateral deviation of the head to the left/right. Correction - feel neck within the vagina - repulse calf - feel for ear, and attempt to hook your hand within the mouth - move calfs head in an arch upwards (more space) into correct position.
71
Describe the abnormal presentation and how you would correct it ?
Hock flexion caudal longitudinal - dorsosacral - with bilateral or unilateral flexion of the limbs Correction - repel foetal hind leg applying pressure to the perineal region - Kuhns crutch - grasp metacarpus repel limb cranially and direct hock laterally - caudal and medial correction - grasp hoof with palm of hand as it is manipulated over the pelvic brim
72
Describe the abnormal presentation and how you would correct it ?
Hip flexion (breach presentation) caudal longitudinal - dorsosacral - bilateral flexion of the hindlimbs Correction - use a Kuhn's crutch to retropulse the foetus. (place inside the rectum of the foetus. - feel for the tibia and manipulate into hock flexion - correct as for hock flexion - ensure the limbs are corrected on an angle medially to achieve more space Rope snare placed around tibia, manipulate down (limited space).
73
Describe how you would use a detorsion rod ?
Dorso pubic position - upside down (can be manipulated by hand by placing legs intwo different directions- diagonal traction). Use a detorsion rod - - place chains behind elbow as high up as possible - place chains through your detorsion rod - wrap chains in the direction you wish to turn the calf - place bar handle and rotate calf
74
Describe how you could utilise a Gyn stick
Gyn stick - type of detorsion rod thread ropes in opposite directions - place on both ends of gyn stick - detorsion of calf or uterus
75
A. Describe how you can estimate the platelet count on a blood smear ? B. use this to calculate platelet concentration ?
Platelet concentration from a blood smear (cats are prone to clumping, erroneous automated and manual count) - minimum 3 platelets per 100x oil objective (60x10^9/L(30)) ** 1. Estimate platelet concentration** - 100x with oil emersion - count platelets and avergae over three fields of view - use the monolayer but assess the feathered edge for clumping 10x **2. Calculate Platelet concentration** estimated conc/3 fields x 20 = platelet concentration x10^9 / L
76
Identify these locations on a blood smear ?
77
A. Estimate your white blood cell count? b. Calculate the absolute concentration for each type of WBC on your patients blood smear ?
White blood cell A. - 10X - assess even distribution of cells - then count number of WBC 3(10x) fields B. Calculation of absolute WBC concentration. (Count of white blood cells/3 fields) / 4 X10^9/L = WBC count x 10^9/L
78
Demonstrate how you would carry out a white blood cell differential count ?
White blood cell differential count 100x in the monolayer - utilise the battlement technique - tally the different cell types (manual cell counter) Calculate the absolute individual cell counts absolute count of WBC type = total WBC x % of that cell type / 100
79
What species do these cells belong too ?
Eosinophils 1. Rasberry looking is an equine eosinophil 2. Grain appearing granules = feline eosinophil
80
Identify the species from the rbc ?
nucleated red blood cell reptile / avian species
81
Identify the species from the rbc ?
Bovine smaller in size - minimal central pallor - anisocytosis ovine smaller, and caprine smallest
82
Identify the species from the rbc ?
Dog Largest in size greatest central pallor +++
83
Identify the species from the rbc ?
Equine size = mid range of domestic species prominent rouleaux no anisocytosis
84
Identify the species from the rbc ?
Feline second largest minimal central pallor + rouleaux mild anisocytosis mild
85
Identify these cell types ?
A = Schistocyte (cut) B = keratocyte - increased rbc fragility eg iron deficiency - erythrocyte fragmentation, when blood is forced through altered vascular channels or turbulent blood flow - eg fibrin - DIC, haemangiosarcoma, endocarditis and caval syndrome.
86
How do you calculate your absolute cell number from your differential WBC count ?
87
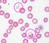
Identify these cell types ?
Cell types Orange arrow = polychromatophils blue arrow = metarubicyte
88
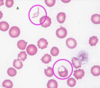
Identify the cell types ?
Cell types Upper arrow = Howel jolly body Lower arrow = basophilic stippling
89
Identify cell types ?
Identify cell types Orange = Heinz bodie blue = acanthocyte Yellow = echinocyte Green = Ghost cell (intravascular haemolysis) Purple = Eccentrocyte