Osteomyelitis description
Inflammation of bone that is almost always due to an infection, typically bacterial (pyogenic osteomyelitis) and may be acute or chronic
Pyogenic Osteomyelitis AKA
Bacterial osteomyelitis
Signs and symptoms of osteomyelitis
Osteomyelitis risk factors
Pathogenesis of Osteomyelitis
usually results from haematogenous spread in which bloodborne organisms, usually bacteria, are deposited in the medullary cavity and form a nidus infection
Osteomyelitis: Region in long bones most predisposed to infection
metaphysis because it has a large supply of slow-flowing blood which is an ideal environment for bacteria to accumulate and proliferate
Osteomyelitis from contiguous spread
infections originating from soft tissues and joints can spread to bone which often occurs in the context of vascular insufficiency such as patients with diabetes mellitus or peripheral vascular disease
A contiguous spread of osteomyelitis is from?
Soft Tissues to bone usually in vascularly impaired patients DM, Vasculitis
Haematogenous spread is from
Blood to bone
The contiguous spread is most common in people with
3 listed
Osteomyelitis: Direct Inoculation
Direct seeding of bacteria into bone can occur as a result of open fractures, insertion of metallic implants or joint prostheses, human or animal bites and puncture wounds
Osteomyelitis most common infectious agent
Staphylococcus aureus
Staphylococcus aureus accounts for how much of Osteomyelitis?
80-90% of infections
Pathogen common in IVDU and Genitourinary tract infections
Escherichia Coli or Pseudomonas spp.
Osteomyelitis: Infectious agents common in Sickle Cell Disease
Salmonella
Osteomyelitis: Infectious agents common in Neonates
Mycobacterial Osteomyelitis
typically affects 1-3% of individuals with pulmonary or extrapulmonary tuberculosis
COMMON SITE OF INFECTION IS SPINE 40% OF ALL CASES
Osteomyelitis: Acuity
Osteomyelitis may be acute or chronic
Acute Osteomyelitis: hematogenous spread or direct inoculation
Chronic Osteomyelitis
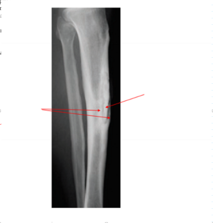
Identify


Identify


Osteomyelitis Diagnosis
7 Listed
Treatment of Osteomyelitis
3 listed