MSK Flashcards

(48 cards)

1
Q

Multiple phalangeal well defined lucencies (cystic) and multiple vascular soft tissue nodules/masses with calcifications are seen in?

A

Maffucci syndrome

How well did you know this?
1
Not at all
2
3
4
5
Perfectly
2
Q

Small tarsal navicular bone with fragmentations and increased radiodensity in a pediatric patient is seen in

A

Kohler Disease

How well did you know this?
1
Not at all
2
3
4
5
Perfectly
3
Q

This manifests as multiple linear bands of sclerosis parallel to the long axis of the bone.

A

Voorhoeve disease

How well did you know this?
1
Not at all
2
3
4
5
Perfectly
4
Q

Normal value for Bohler angle and critical angle of Gissane (degrees) for calcaneal fracture assessment

A

20-40 and 120-140

How well did you know this?
1
Not at all
2
3
4
5
Perfectly
5
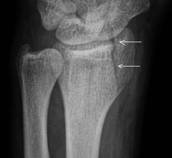
Q

Eponym for intra articular fracture of the radial styloid process

A

Hutchinson/Chauffer fracture

How well did you know this?
1
Not at all
2
3
4
5
Perfectly
6
Q

Meniscofemoral ligament that extends from the medial femoral condyle, passes in front of the posterior cruciate ligament, and attaches to the posterior horn of the lateral meniscus.

A

Ligament of Humphrey

How well did you know this?
1
Not at all
2
3
4
5
Perfectly
7
Q

Mucopolysaccaridose characterized by abnormal storage and excretion in the urine of KERATIN SULPHATE

A

Morquio syndrome

How well did you know this?
1
Not at all
2
3
4
5
Perfectly
8
Q

TRUE of pyknodystosis EXCEPT:
A. Other name is Toulouse-Lautre syndrome.
B. Pathognomonic lesion is acro-osteolysis.
C. Resorption of distal phalanx (tuft).
D. Appears as a blunted chalk.

A

D. Appears as a blunted chalk.

How well did you know this?
1
Not at all
2
3
4
5
Perfectly
9
Q

Triad of degenerative joint disease

A

Joint space narrowing
Sclerosis of the apposing margins
Marginal osteophyte formation

How well did you know this?
1
Not at all
2
3
4
5
Perfectly
10
Q

ILIOPECTINEAL LINE THICKENING in radiographs are seen in what disease entity?

A

Paget Disease

How well did you know this?
1
Not at all
2
3
4
5
Perfectly
11
Q

Part of the pes anserinus:

A

Sartorius tendon
Gracilis tendon
Semitendinosus tendon

How well did you know this?
1
Not at all
2
3
4
5
Perfectly
12
Q

Borders of the quadrilateral space

A

Teres minor
Teres major
Long head of the triceps
Diaphysis of the humerus

How well did you know this?
1
Not at all
2
3
4
5
Perfectly
13
Q

In an enlarged densely radio-opaque vertebra (ivory) vertebra. The most likely diagnosis is

A

Paget Disease

How well did you know this?
1
Not at all
2
3
4
5
Perfectly
14
Q

Differential diagnosis for pseudopermeative lesions

A

Aggressive osteoporosis
Hemangioma
Radiation

How well did you know this?
1
Not at all
2
3
4
5
Perfectly
15
Q

Most common cause of osteomalacia

A

Renal osteodystrophy

How well did you know this?
1
Not at all
2
3
4
5
Perfectly
16
Q

Most common carpal bone associated with avascular necrosis

A

Lunate

How well did you know this?
1
Not at all
2
3
4
5
Perfectly
17
Q

Most common location of osteochondritis dessicans

A

medial epicondyle of the knee

How well did you know this?
1
Not at all
2
3
4
5
Perfectly
18
Q

Most common location of meniscocapsular separation

A

site of MCL

How well did you know this?
1
Not at all
2
3
4
5
Perfectly
19
Q

Most common skeletal dysplasia

A

Achondroplasia

How well did you know this?
1
Not at all
2
3
4
5
Perfectly
20
Q

Most common cause of dwarfism

A

Achondroplasia

21
Q

Most commonly injured ankle ligament

A

anterior talofibular ligament

22
Q

Most frequently encountered bone abnormality in MRI.

23
Q

First sign of rheumatoid arthritis?

A

Soft tissue swelling

24
Q

The characteristic pencil-in-cup deformity of the distal phalanx is seen in what seronegative spondyloarthropathy

25
The following statements are true regarding synovial chondromatosis, EXCEPT? Primary form resembles PVNS on radiographs. Secondary form is believed to be from trauma, with shedding of articular cartilage to the joint. Multiple calcified loose bodies is virtually pathognomonic. MRI shows synovial hypertrophy with hemosiderin deposits.
MRI shows synovial hypertrophy with hemosiderin deposits.
26
Which statement is FALSE regarding pigmented villonodular synovitis. A. Frequently calcifies. B. Also called giant cell tumor of tendon sheath. C. May affect any joint, bursa or tendon sheath. D. MRI is virtually pathognomonic with synovial hypertrophy and hemosiderin.
A. Frequently calcifies.
27
Most common involved joint in hemophilia?
Knee
28
Disease with keratoconjunctivitis sicca, xerostomia and rheumatoid arthritis?
Sjogren's Disease
29
Diaphyseal and metaphyseal vessels DO NOT perforate the open growth plate in:
Children
30
Diaphyseal and metaphyseal vessels MAY perforate the open growth plate in
Infant
31
Characterized by an Erlenmeyer flask deformity?
Fibrous dysplasia Osteopetrosis Niemann-Pick disease
32
What are the radiologic signs of activity in chronic osteomyelitis
Periostitis Poorly defined areas of osteolysis Changes from prior X-ray
33
What is the most common site of neonatal septic arthropathy
Hip
34
Phemister's triad of TB arthropathy
1. Marginal erosions 2. Absent / mild joint space narrowing 3. Regional / juxta-articular osteoporosis
35
What is/are the most common joint/s affected in TB arthropathy?
Hip Knee
36
What is the most frequent intramedullary spinal cord tumor in adults?
Ependymoma
37
What tumor produces focal enlargement and, occasionally, an exophytic growth involving the cord?
Astrocytoma
38
Characteristic arthritis of REITER'S Syndrome EXCEPT: a. Involvement of the synovial joint, entheses, and symphyses. b. Predilection to small joints of the foot, calcaneus, ankle, knee, and sacroiliac joints. c. Bone erosion w/ adjacent proliferation d. Paravertebral ossification e. None of the above
None of the above
39
Ivory vertebra is seen in the following except: A. Lymphoma B. Infection C. Mets D. Paget Dse. E. None of the above
None of the above Mnemonic: LIMPH L ymphoma I nfection M ets & Myelosclerosis P aget Dse. H emangioma
40
Assoc w/ RA: Urethritis + arthritis+ conjunctivitis
Reiter Syndrome
41
Assoc w/ RA: RA+ splenomegaly + leukopenia
Felty Syndrome
42
Assoc w/ RA: Keratoconjunctivitis + xerostomia + connective tissue disesad
Sjogren Sydrome
43
Assoc w/ RA: RA + pneumoconiosis
Caplan Syndrome
44
Young, MULTIparous
Osteitis condensans ilii (pubic instability) - benign sclerosis of the ilium adjacent to the sacroiliac (SI) joint, typically bilateral and triangular in shape. - BILATERAL, SYMMETRICAL
45
Pseudogout Triad:
Pain Chondrocalcinosis Joint destruction
46
Most serious stress fracture and rarest
Femoral neck fracture
47
RA + splenomegaly + leukopenia
FELTY SYNDROME
48
Urethritis +ARTHRITIS+ conjuctivitis
REITER SYNDROME