MSK Flashcards

(23 cards)

1
Q
A

Tarsal Coalition

How well did you know this?
1
Not at all
2
3
4
5
Perfectly
2
Q
A

Mulitple Hereditary exostosis

Multiple hereditary exostosis

How well did you know this?
1
Not at all
2
3
4
5
Perfectly
3
Q
A

Osteopetrosis

Osteosclerosis + alternating radiolucent bands +metaphyseal widening = osteopetrosis.

How well did you know this?
1
Not at all
2
3
4
5
Perfectly
4
Q
A

Osteopetrosis

Osteosclerosis + alternating radiolucent bands +metaphyseal widening = osteopetrosis.

How well did you know this?
1
Not at all
2
3
4
5
Perfectly
5
Q
A

Unicameral bone cyst

Unicameral bone cysts are most common in the proximal humerus and femur.
The fallen-fragment sign confirms the cystic nature of this lesion.

How well did you know this?
1
Not at all
2
3
4
5
Perfectly
6
Q
A

Intraosseous lipoma

A lytic lesion with a thin, sclerotic border and central calcification (especially within the calcaneus) represents an intraosseous lipoma until proven otherwise.

Ave size = 4 cm

How well did you know this?
1
Not at all
2
3
4
5
Perfectly
7
Q
A

Non Ossifying Fibroma

Eccentric, well-defined, lucent lesion in a young asymptomatic patient is most likely an FCD or NOF

How well did you know this?
1
Not at all
2
3
4
5
Perfectly
8
Q
A

Osteoid Osteoma

Pain that is worse at night and relieved by salicylates is characteristic of osteoid osteoma.

Radiolucent nidus

Enhancing region on MRI

How well did you know this?
1
Not at all
2
3
4
5
Perfectly
9
Q
A

Pigmented Villonodular synovitis

e hemosiderin deposits, generally have low signal intensity on T1- and
T2-weighted MR images - seen also in hemophilia

“chocolate” effusion

How well did you know this?
1
Not at all
2
3
4
5
Perfectly
10
Q
A

Bony Bankart lesion of the shoulder with
an associated Hill–Sachs deformity of the humeral head caused by anterior glenohumeral dislocation

Traumatic anterior dislocation of the shoulder

Posterolateral humeral head compression fracture (Hill-Sachs deformity)

How well did you know this?
1
Not at all
2
3
4
5
Perfectly
11
Q
A

Kienbock disease (lunatomalacia)

sclerosis of the lunate, especially
when associated with negative ulnar variance, is highly
suggestive of Kienböck disease.

How well did you know this?
1
Not at all
2
3
4
5
Perfectly
12
Q
A

Deep lateral sulcus sign

ACL injury

How well did you know this?
1
Not at all
2
3
4
5
Perfectly
13
Q
A

Osteochondritis dissecans (osteochondrosis) of the medial femoral condyle

An osteochondral fracture that was initially caused by shearing, rotatory, or
tangentially aligned impaction forces

semicircular lucency, with an adjacent bony fragment,
on the lateral aspect of the medial femoral condyle
(arrows)

Encircling fluid or focal cystic areas between the medullary canal and the fragment on MRI suggests a potentially loose or unstable fragment.

How well did you know this?
1
Not at all
2
3
4
5
Perfectly
14
Q
A

Segond fracture

Avulsion Fracture - lateral tibial plateu

90% ACL tear association

How well did you know this?
1
Not at all
2
3
4
5
Perfectly
15
Q
A

Os acromale

The normal ossification center of the acromion fuses before 25 years of age.

How well did you know this?
1
Not at all
2
3
4
5
Perfectly
16
Q
A

Luxatio Erecta

Fixed elevated position fo the arm - Inferior shoulder subluxation

Brachial plexus and axillary artery injury

17
Q
A

Lisfranc fracture-dislocation, homolateral

Common in diabetic neutropathy

Lack of parallel alignment of the medial aspects of the second cuneiform and second metatarsal - most important finding

18
Q
A

Gout

Erosions with sclerotic borders and overhanging margins with preservation of the articular space + soft tissue swelling

Most common bursa - olecranon

Bilateral - indication of gout

19
Q
A

Secondary Hyperparathyroidism

Subperiosteal resorption along the radial aspects of
the second and third middle phalanges of the hand is
diagnostic of hyperparathyroidism.

20
Q
A

Paget’s Disease

Characteristic, but not entirely pathognomonic, patterns of Paget disease include the flame-shaped lucency within the long bones, the “ivory” and “picture
frame” vertebral body, and osteoporosis circumscripta or cotton-wool appearance of the skull

21
Q
A

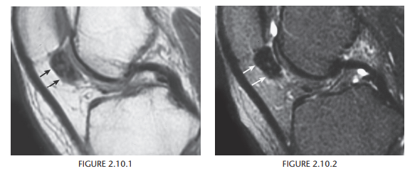
Medial meniscal cyst

22
Q
A

Maffucci syndrome (i.e., multiple enchondromatosis with soft-tissue hemangiomas)

Multiple enchondromas + soft tissue hemangiomas

23
Q
A

Erosive osteoarthritis (EOA)\

Central articular erosions (i.e., “gull wing” or “seagull”
erosions), ankylosis, and osteoporosis are typical for
EOA and uncommon in primary osteoarthritis.