MSK 🦴 Flashcards

F (344 cards)

1
Q

What is rheumatoid arthritis?

A

An autoimmune condition which causes chronic inflammation of the synovial lining of the joints

How well did you know this?
1
Not at all
2
3
4
5
Perfectly
2
Q

Who is rheumatoid arthritis more common in?

A

3 times more common in women than in men

How well did you know this?
1
Not at all
2
3
4
5
Perfectly
3
Q

What are the gene associations with rheumatoid arthritis?

A

HLA DR4
HLA DR1

How well did you know this?
1
Not at all
2
3
4
5
Perfectly
4
Q

What antibodies may be present in a patient with rheumatoid arthritis? (2)

A

Rheumatoid factor
Anti-CCP antibodies

How well did you know this?
1
Not at all
2
3
4
5
Perfectly
5
Q

What are the key symptoms in rheumatoid arthritis? (4)

A

Joint pain
Joint swelling
Morning stiffness < 30 minutes
Pain that gets better with exercise
Fatigue
Weight loss
Flu like illness

How well did you know this?
1
Not at all
2
3
4
5
Perfectly
6
Q

Which joints are commonly affected in rheumatoid arthritis? (3)

A

Proximal interphalangeal joints (PIP)
Metacarpophalangeal joints (MCP)
Wrists
Ankles
Cervical spine

How well did you know this?
1
Not at all
2
3
4
5
Perfectly
7
Q

What hand signs may be present in someone with rheumatoid arthritis? (4)

A

Z thumb
Swan neck deformity
Boutonnieres deformity
Ulnar deviation

How well did you know this?
1
Not at all
2
3
4
5
Perfectly
8
Q

What are the extra-articular manifestations of rheumatoid arthritis? (3)

A

Pulmonary fibrosis
Bronchiolitis obliterans
Sjogren’s syndrome
Anaemia of chronic disease
Cardiovascular disease - IHD
Episcleritis and scleritis
Rheumatoid nodules

How well did you know this?
1
Not at all
2
3
4
5
Perfectly
9
Q

What investigations may be carried out in the diagnosis of rheumatoid arthritis? (4)

A

Rheumatoid factor
Anti-CCP antibodies
CRP and ESR
XR hands and feet
Ultrasound to confirm synovitis

How well did you know this?
1
Not at all
2
3
4
5
Perfectly
10
Q

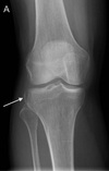
What changes may be seen on XR in someone with rheumatoid arthritis? (4)

A

Joint destruction and deformity
Soft tissue swelling
Juxta-articular osteopenia/osteperosis
Periarticular erosions

How well did you know this?
1
Not at all
2
3
4
5
Perfectly
11
Q

What factors are indicative of a worse prognosis for RA? (3)

A

Younger onset
Male
More joints and organs affected
Presence of RF and anti-CCP antibodies
Erosions seen on XR

How well did you know this?
1
Not at all
2
3
4
5
Perfectly
12
Q

What is the first line management of rheumatoid arthritis?

A

DMARD monotherapy +/- a short-course of bridging prednisolone

(Monotherapy with methotrexate, leflunomide or sulfasalazine)

How well did you know this?
1
Not at all
2
3
4
5
Perfectly
13
Q

What is the second line management of rheumatoid arthritis?

A

Dual therapy with methotrexate, leflunomide or sulfasalazine

How well did you know this?
1
Not at all
2
3
4
5
Perfectly
14
Q

What is the third line management of rheumatoid arthritis?

A

Methotrexate plus a biological therapy (usually a TNF inhibitor)

How well did you know this?
1
Not at all
2
3
4
5
Perfectly
15
Q

What is the fourth line management of rheumatoid arthritis?

A

Methotrexate plus rituximab

How well did you know this?
1
Not at all
2
3
4
5
Perfectly
16
Q

What anti-TNF medications are commonly used in the treatment of rheumatoid arthritis? (2)

A

Infliximab
Adalimumab
Etanercept

How well did you know this?
1
Not at all
2
3
4
5
Perfectly
17
Q

What is the treatment of an initial presentation or a flare up of rheumatoid arthritis?

A

A short course of glucocorticoids - prednisolone

How well did you know this?
1
Not at all
2
3
4
5
Perfectly
18
Q

How is methotrexate taken for rheumatoid arthritis?

A

Methotrexate is taken orally or intramuscularly
Folic acid 5mg is given once a week, on a different day to the methotrexate

How well did you know this?
1
Not at all
2
3
4
5
Perfectly
19
Q

What are the side effects of methotrexate? (2)

A

Mouth ulcers
Liver toxicity
Leukopenia
Teratogenic

How well did you know this?
1
Not at all
2
3
4
5
Perfectly
20
Q

What are the differentials of rheumatoid arthritis? (3)

A

Osteoarthritis
SLE
Fibromyalgia
Septic arthritis
Psoriatic arthritis
Polyarticular gout
Reactive arthritis

How well did you know this?
1
Not at all
2
3
4
5
Perfectly
21
Q

Which medications are safe for rheumatoid arthritis patients during pregnancy? (2)

A

Sulfasalazine and hydroxychloroquine

How well did you know this?
1
Not at all
2
3
4
5
Perfectly
22
Q

What is compartment syndrome?

A

An orthopaediac emergency in which there is buildup of pressure in the muscle compartment of a limb, typically following trauma

How well did you know this?
1
Not at all
2
3
4
5
Perfectly
23
Q

What is the aetiology of compartment syndrome?

A

Trauma to the limb leads to muscle swelling and inflammation - this can disrupt blood flow to the limb, and cause ischaemia

How well did you know this?
1
Not at all
2
3
4
5
Perfectly
24
Q

What is the presentation of compartement syndrome? (3)

A

Severe pain, especially on flexion of the toes
Pallor of the affected limb
Paralysis or weakness of the affected limb
Absence of pulse
Paraesthesia

How well did you know this?
1
Not at all
2
3
4
5
Perfectly
25
What is the definitive management of compartment syndrome?
Urgent fasciotomy (within 6 hours)
26
What is the interim management of compartment syndrome? (3)
Elevate the leg to heart level Oxygen Fluid administration Remove all dressings/casts/splints Anaglesia (opioids)
27
Why might patients with compartment syndrome need fluids?
Myoglobinuria can occur following a fasciotomy, and result in renal failure
28
What is the most common cause of compartment syndrome?
Tibial fractures and supracondylar fractures
29
What investigations can be performed to help diagnose compartment syndrome? (2)
Intracompartmental pressure monitoring Serum CK and urine myoglobin - rhadomyolysis U&Es
30
What is polymyalgia rheumatica?
It is an inflammatory condition that causes pain and stiffness in the shoulders, pelvic girdle and neck
31
What condition does PMR often occur with?
Giant cell arteritis
32
What is the presentation of PMR?
Symptoms should persist for 2 weeks - Pain and stiffness of: - Shoulders - Pelvic girdle - Neck May be associated with: - Systemic symptoms - Muscle tenderness - Carpal tunnel syndrome - Peripheral oedema
33
What are the characteristics of the pain and stiffness in PMR? (3)
Worse in the morning Worse after rest Interferes with sleep Takes at least 45 mins to ease in the morning Somewhat improves with activity
34
What are the differentials of PMR? (3)
Osteoarthritis Rheumatoid arthritis SLE Statin-induced myopathy Polymyositis Adhesive capsulitis Cervical spondylysis Myeloma Osteomalacia Fibromyalgia
35
What investigations are used to help with diagnosis of PMR? (4)
CRP/ESR - RAISED FBC U&E LFT Calcium Serum protein electrophoresis - myeloma TFTs Creatinine kinase - myositis (creatinine kinase is normal in PMR) Rheumatoid factor - rheumatoid arthritis Urine dipstick
36
What is the treatment of PMR?
15mg predisolone daily (typically for 1-2 years, but patients normally respond dramatically to steroids)
37
What is psoriatic arthritis?
An inflammatory arthritis associated with psoriasis
38
What are the patterns of psoriatic arthritis? (3)
Symmetrical polyarthritis Asymmetrical polyarthritis DIP predominant pattern Spondylitis Arthritis mutilans
39
What is asymmetrical polyarthritis?
Affects 1-4 joints at any given time, often only on one side of the body
40
What is symmetrical polyarthritis?
Presents similarly to rheumatoid arthritis - more than four joints affected, such as the hands, wrists and ankles
41
What is DIP predominant arthritis?
Primarily affects the DIP joints (however the DIP joints can be affected in all types of psoriatic arthritis)
42
What is spondylitis?
Involves the axial skeleton and presents with back stiffness and pain
43
What is arthritis mutilans?
Most severe form of psoriatic arthritis. There is osteolysis of the bones around the joints in the phalanges, leading to progressive shortening of the digits.
44
What are the signs of psoriatic arthritis? (3)
- psoriatic skin lesions - periarticular disease - tenosynovitis and soft tissue inflammation resulting in: enthesitis: inflammation at the site of tendon and ligament insertion (e.g. Achilles tendonitis, plantar fasciitis) tenosynovitis: typically of the flexor tendons of the hands dactylitis: diffuse swelling of an entire finger or toe - nail changes: pitting onycholysis (separation of the nail from the nail )
45
What screening tool is used for psoriatic arthritis?
PEST (psoriasis epidemiological screening tool)
46
What X-ray changes are seen in psoriatic arthritis? (3)
- may show a combination of erosions and new bone formation - periostitis - 'pencil-in-cup' appearance in advanced disease
47
What is the management of psoriatic arthritis? (2)
NSAIDs Methotrexate (moderate/severe disease) Steroids Anti-TNF medications Ustekinumab - monoclonal antibody that targets interleukin 12 and 13
48
What are the differentials of psoriatic arthritis? (3)
Rheumatoid arthritis Osteoarthritis Reactive arthritis Anklyosing spondlyitis
49
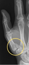
How do scaphoid fractures typically occur? (2)
FOOSH (fall onto outstretched hand) Contact sports
50
What is the presentation of a scaphoid fracture? (2)
Pain along the radial aspect of the wrist, at the base of the thumb Loss of grip/pinch strength
51
What are the signs of scaphoid fracture on examination? (3)
Tenderness over the anatomical snuffbox Wrist joint effusion Pain elicited by telescoping of the thumb (longitudinal compression) Pain on ulnar deviation of the wrist
52
What initial investigations are used to diagnose scaphoid fracture?
Plain film radiographs of the wrist in anterior-posterior view and lateral view
53
What further investigations may be used to diagnose scaphoid fracture?
CT scan can give a more detailed view of the wrist bones if XR is inconclusive
54
What is the initial management of a scaphoid fracture?
Immobilisation with futuro splint or standard below-elbow backslab Referral to orthopaedics
55
What is the orthopaedic management of a scaphoid fracture?
Undisplaced fracture - Cast for 6-8 weeks Displaced scaphoid fracture - Surgical fixation Proximal scaphoid pole fracture - Requires surgical fixation
56
What are the complications of scaphoid fracture? (2)
Non-union - can lead to pain and early osteoarthritis Avascular necrosis
57
What is the blood supply to the scaphoid bone?
Retrograde blood supply from radial artery - blood vessels supply the bone from only one direction
58
What is a Colles' fracture?
A distal radial fracture resulting from a fall on an outstretched wrist
59
What is the characteristic pattern of injury in a Colles fracture?
Dorsal displacement of the distal radius
60
What is the presentation of a Colles' fracture? (3)
Immediate pain and swelling Difficulty moving the wrist and hand Tenderness over the distal radius 'Dinner fork' deformity
61
What is the primary investigation for a colles' fracture?
Wrist XR
62
What is the management of a Colles' fracture? (2)
Manipulation under anaesthesia Immobilisation with a plaster cast
63
How do elbow fractures typically occur?
Fall onto outstretched hand Direct impact to the elbow
64
What is the presentation of an elbow fracture? (3)
Pain and tenderness localised to elbow Swelling and bruising around elbow Difficulty or inability to move elbow Visible deformity
65
What is the management of an elbow fracture? (2)
Immobilisation with a splint or cast Open reduction and internal fixation
66
What is a Bennett's fracture?
An intra-articular fracture of the base of the thumb
67
How does a bennett fracture typically occur?
Forced abduction injuries Impact on a flexed metacarpal (fist fights)
68
What is the management of a Bennett's fracture? (2)
Thumb spica cast immobilisation Physiotherapy Open reduction and internal fixation
69
What is a Boxer's fracture?
A break in the neck of the 4th or 5th metacarpal
70
How does a Boxer's fracture typically occur?
By punching a hard object, resulting in direct trauma to a closed fist
71
What are the indications for surgery in a Boxer's fracture? (3)
Significant rotation or angulation of the affected fingers Articular involvement of the fracture Multiple metacarpal fractures Open fractures
72
What is a Monteggia fracture?
A fracture in the proximal third of the ulnar shaft, accompanied by anterior dislocation of the radial head (at the elbow)
73
What is a Galeazzi fracture?
A fracture of the distal third of the radial shaft, in association with a dislocation at the radio-ulnar joint
74
What is a Smith's fracture?
Ventral displacement of the distal radius (opposite of a Colles)
75
What is a Barton's fracture?
Colles' or Smith's dislocation with added radio-carpal dislocation
76
What is osteomalacia?
Softening of the bones secondary to low vitamin D levels
77
What are the causes of osteomalacia? (4)
Vitamin D deficiency - Malabsorption - Lack of sunlight - Diet CKD Drug induced Inherited - hypophosphataemic rickets Liver disease Coeliac disease
78
What are the features of osteomalacia? (3)
Bone pain Bone/muscle tenderness Fractures (especially femoral neck) Proximal myopathy leading to waddling gait
79
What investigations are carried out to diagnose osteomalacia? (2)
Bloods - Low vitamin D levels - Low calcium and phosphate - Raised ALP XR - Translucent bands
80
What are the differentials of osteomalacia? (3)
Primary hyperparathyroidism Bone mets Osteoporosis Paget's disease of the bone Polymyalgia rheumatica Rickets
81
What bedside investigations are used in the diagnosis of osteomalacia? (3)
Urinalysis - CKD Urinary calcium - low 24 hour urinary phosphate
82
What blood tests can be used in the diagnosis of osteomalacia? (5)
Vitamin D Calcium and phosphate PTH U&Es - CKD LFTs - liver failure FBC Ferritin, B12 and folate - look for other deficiencies Coeliac serology
83
What imaging may be used in the diagnosis of osteomalacia? (2)
DEXA scan Bone XR
84
What is the management of osteomalacia?
Increase dietary intake of vitamin D Advice about safe sun exposure Loading dose of vitamin D - 300000 IU over 6 to 10 weeks Maintenance dose of vitamin D - 800-2000 IU daily
85
What is ankylosing spondylitis?
Ankylosing spondylitis is an inflammatory condition, affecting the axial skeleton, that causes progressive stiffness and pain
86
What are the main joints affected in ankylosing spondylitis? (2)
Sacro-iliac joints Vertebral column joints
87
What gene is anklylosing spondylitis linked to?
HLA-B27
88
What is the presentation of ankylosing spondlyitis? (2)
Pain and stiffness in the lower back Sacroiliac pain (buttock region) Stiffness is usually worse in the morning and improves with exercise Pain at night better on getting up
89
What findings will be seen on examination in someone with ankylosing spondylitis? (3)
Reduced lateral flexion of spine Reduced forward flexion of spine Reduced chest expansion
90
What special test looks for forward flexion of the spine?
Schober's test - A line is drawn 10cm above and 5cm below the L5 vertebra - this distance should increase by 5cm as the patient leans forwards
91
What conditions are associated with ankylosing spondylitis? (5)
As - Anterior uveitis - Aortic regurgitation - Atrioventricular block - Apical lung fibrosis - Achilles tendonitis - Amyloidosis - Cauda equina syndrome - Anaemia of chronic disease - Peripheral arthritis
92
What investigations may be performed in suspected ankylosing spondylitis? (3)
Inflammatory markers - CRP, ESR HLA-B27 testing X-ray spine and sacrum MRI spine - can show bone marrow oedema before bone changes
93
What changes are seen on XR in ankylosing spondylitis? (3)
Squaring of the vertebral bodies Subchondral sclerosis and erosions Syndesmophytes Ossification of the ligaments, discs and joints Fusion of the facet, sacroiliac and costovertebral joints
94
What is the management of ankylosing spondylitis? Give first and second line management.
First line - NSAIDs Second line - Anti-TNF medications Third line - secukinumab or ixekizumab (interleukin-17 monoclonal antibodies)
95
Why do pressure ulcers occur?
They develop in patients who are unable to move due to illness, paralsis or advancing age
96
What are the risk factors for pressure ulcers? (3)
Malnutrition Incontinence Lack of mobility Pain
97
What is a grade 1 pressure ulcer?
Non-blanchable erythema of the skin Discolouration of the skin, warmth, oedema, induration, or hardness of the skin may be seen
98
What is a grade 2 pressure ulcer?
Partial thickness skin loss involving the epidermis, dermis, or both
99
What is a grade 3 pressure ulcer?
Full thickness skin loss involving damage to or necrosis of subcutaneous tissue that may extend down to, but not through, the fascia
100
What is a grade 4 pressure ulcer?
Extensive destruction, tissue necrosis, or damage to muscle, bone or supporting structures
101
What is the management of pressure ulcers? (3)
A moist wound environment - hydrocolloid dressings and hydrogels Referral to tissue viability nurse Surgical debridement Systemic antibiotics
102
What is reactive arthritis?
A form of inflammatory arthritis in response to an infection in another part of the body
103
What infections commonly cause reactive arthritis? (3)
Chlamydia trachomatis Neisseria gonorrhoea (but more commonly causes septic arthritis) Salmonella Shigella Yersinia enterocolitica Campylobacter
104
What are the risk factors for reactive arthritis? (3)
Unprotected sex with new partners Male sex HLA-B27 positive HIV positive
105
What is the triad of reactive arthritis?
Arthritis Conjunctivitis Urethritis
106
What are the symptoms of reactive arthritis? (3)
Joint pain and swelling Urethral discharge or dysuria Painful red eyes Rash Rectal discharge
107
What investigations are used in the diagnosis of reactive arthritis? (3)
Swab from infected site Stool sample Joint aspiration - to rule out septic arthritis - MC&S of synovial fluid - Crystal examination for gout and pseudogout STI screening HLA-B27 serology XR of affected joint
108
What is seen on joint aspiration in reactive arthritis?
Sterile synovial fluid with a raised white cell count
109
What is the first line management of reactive arthritis? (2)
NSAIDs Intra-articular steroid injections Antibiotic therapy - if active STI is identified
110
What is the second line management of reactive arthritis?
Oral corticosteroids DMARDs e.g methotrexate or sulfasalazine
111
What is pseudogout?
Inflammatory arthritis caused by the deposition of calcium pyrophosphate crystals in the synovium
112
Which joints are commonly affected in pseudogout? (3)
Knee Shoulder Wrist Hips
113
What are the risk factors for pseudogout? (3)
Increasing age Previous joint trauma Hyperparathyroidism Haemochromatosis Acromegaly Wilson's disease Hypomagnesaemia Hypophophataemia
114
What is the presentation of pseudogout? (3)
Rapid onset of severe joint pain Joint stiffness Joint erythema and swelling
115
What investigations are used in the diagnosis of pseudogout? (2)
Joint aspiration - weakly-positively birefringent rhomboid-shaped crystals Joint XR Serum bone profile and PTH Iron studies Serum magnesium
116
What change can be seen on XR in pseudogout?
Chondrocalcinosis - in the knee this can be seen as linear calcifications of the meniscus and articular cartilage
117
What is the management of pseudogout? (2)
Anti-inflammatories - NSAIDs (naproxen) or colchicine Corticosteroid intra-articular injections Joint replacement
118
What is gout?
A type of crystal arthropathy associated with chronically high serum uric acid levels
119
What are gouty tophi?
Subcutaneous uric acid deposits
120
What are the risk factors for gout? (3)
Male Family history Obesity High purine diet Alcohol Diuretics Cardiovascular disease
121
What is the pathophysiology of gout?
Uric acid builds up as a cause of either uric acic overproduction or reduced excretion of uric acid
122
What are the causes of overproduction of uric acid? (2)
Increased cell turnover Cytotoxic drugs Purine rich diet Obesity
123
What are the causes of reduced excretion of uric acid? (2)
CKD Diuretics Pyrazinamide Lead toxicity
124
What are the most commonly affected joints in gout?
Base of the big toe (metatarsophalangeal joint) Base of the big thumb (carpmetacarpal joint)
125
What is the presentation of gout? (3)
Rapid onset severe joint pain Joint stiffness Joint erythema and swelling Gouty tophi
126
What investigations are used in the diagnosis of gout? (2)
Joint aspiration - needle shaped crystals with negative birefringence Serum urate (4-6 weeks after attack resolves) Joint XR
127
What changes are seen on joint XR in gout? (3)
- joint effusion is an early sign - well-defined 'punched-out' erosions with sclerotic margins in a juxta-articular distribution, often with overhanging edges - relative preservation of joint space until late disease - eccentric erosions - no periarticular osteopenia (in contrast to rheumatoid arthritis) - soft tissue tophi may be seen
128
What is the first, second, and third line management of an acute flare of gout?
First line - NSAIDs (naproxen) Second line - colchicine Third line - oral steroids
129
What is the first line prophylaxis of gout?
Allopurinol - Xanthine oxidase inhibitor
130
What is second line for the prophylaxis of gout?
Febuxostate - if allopurinol is not tolerated or is not effective
131
What is osteoarthritis?
A non-inflammatory degenerative joint disorder characterised by joint pain and functional limitation
132
What joints are typically affected by osteoarthritis? (3)
Knees Hips Hands - distal interphalangeal (DIP) and carpometacarpal (CMC) Cervical and lumbar spine
133
What are the risk factors for osteoarthritis? (3)
Family history Increasing age Female High bone density Obesity Joint injury Exercise stresses
134
What is the clinical presentation of osteoarthritis? (3)
Joint pain Pain exacerbated by movement and relieved by rest Joint stiffness Little morning stiffness (<30 minutes) Joint locking
135
What signs in the hand may be seen in a patient with osteoarthritis? (2)
Heberden's nodes Bouchard's nodes Thenar muscle wasting Squaring at the base of the thumb Weak grip Reduced range of motion
136
What findings will be seen on X-ray in a patient with osteoarthritis? (4)
Loss of joint space Osteophytes Subarticular sclerosis (increased density along the joint line) Subchondral cysts LOSS
137
How is the diagnosis of osteoarthritis made?
Can usually be made clinically if the patient is above 45 and has typical pain associated with activity, and no morning stiffness
138
What investigations can be useful in the diagnosis of osteoarthritis? (3)
Joint XR ESR and CRP (normal) - differentiate between OA and RA WBC - exclude septic arthritis Rheumatoid factor and anti-CCP
139
What is the first line medical management of osteoarthritis?
Simple analgesia - paracetamol and topical NSAIDs
140
What is the second line medical management of osteoarthritis? (3)
Oral NSAIDs (with PPI cover) Weak opioids - codeine Topical capsaicin Intra-articular steroids
141
What are the complications of osteoarthritis? (3)
Joint effusion NSAID related complications - nephrotoxicity, GI bleeding Low mood Chronic pain Functional decline Reduction in ADLs Falls
142
What is the non-pharmacological management of osteoarthritis? (3)
Therapeutic exercise Weight loss Occupational therapy Physiotherapy
143
What is SLE?
SLE is an inflamamtory autoimmune connective tissue disorder
144
What is the pathophysiology of SLE?
ANA antibodies are antibodies against the cell nucleus - this creates a chronic inflammatory response
145
What are the risk factors for SLE? (3)
Female Middle aged African and afro-carribean Family history Drugs - Procainamide - Isoniazid - Hydralazine HLA associations - B8, DR2, DR3
146
What are the systemic symptoms of SLE? (3)
Fatigue Fever Lymphadenopathy Splenomegaly
147
What are the dermatological manifestations of SLE? (4)
Malar 'butterfly' rash Photosensitivity Discoid rash Livedo reticularis - lace like skin discolouration Raynaud's Hair loss
148
What are the MSK manifestations of SLE? (2)
Arthralgia Non-erosive arthritis Myalgia
149
What are the cardiovascular manifestations of SLE? (2)
Pericarditis and myocarditis Libman-Sacks endocarditis
150
What are the pulmonary manifestations of SLE? (2)
Pleurisy Interstitial lung disease PE SOB
151
What are the renal manifestations of SLE?
Lupus nephritis (DPGN)
152
What investigations are used in the diagnosis of SLE? (3)
FBC - anaemia U&E - lupus nephritis ESR and CRP - ESR raised - CRP usually normal Clotting screen Complement - (C3 and C4) low in active SLE Autoantibodies
153
What antibodies are used to test for SLE? (2)
ANA - highly sensitive Anti-dsDNA - Highly specific to SLE
154
What are the first line medications for SLE? (2)
Hydroxychloroquine NSAIDs Steroids
155
What are the second line medications for SLE?
DMARDs Biologic therapies - Rituximab - Belimumab
156
What are the most common antibodies in SLE?
ANA
157
What are the antibodies that are most specific to SLE?
Anti-dsDNA
158
What is osteomyelitis?
Osteomyelitis is inflammation to the bone and bone marrow, usually caused by bacterial infection
159
What is haematogenous osteomyelitis vs direct penetration?
When a pathogen is carried through the blood and seeded in the bone vs Direct contamination of the bone e.g at a fracture site or during an orthopaedic operation
160
What is the most common cause of osteomyelitis?
Staphylococcus aureus
161
What are the risk factors for osteomyelitis? (3)
Open fractures Orthopaedic operations Diabetes Peripheral arterial disease IV drug use Immunosuppression Rheumatoid arthritis CKD
162
What organism is most likely to cause osteomyelitis in SCA patients?
Salmonella species
163
What is the clinical presentation of osteomyelitis? (3)
Fever Pain and tenderness Erythema Swelling Reduced range of movement Reluctance to weightbear
164
What investigations are used in the diagnosis of osteomyelitis? (3)
FBC - raised WBC Raised CRP and ESR Blood cultures Wound swab X-ray of affected area Bone biopsy
165
What is the imaging of choice for diagnosis of osteomyelitis?
MRI
166
What are the XR findings in osteomyelitis? (2)
Osteopenia Bone destruction Periosteal reaction Cortical breaches
167
What is the management of acute osteomyelitis?
1st line - IV flucloxacillin - If suspected MRSA - vancomycin, teicoplanin or linezolid - If suspected pseudomonas - piperacillin/tazobactam 2nd line - surgical debridement
168
What is Paget's disease of the bone?
A disorder of uncontrolled bone turnover, due to excessive osteoclast resorption and increased osteoblast activity
169
What are the risk factors for Paget's disease? (2)
Increasing age Male sex Northern latitude Family history
170
What is the clinical presentation of Paget's disease? (3)
Bone pain Bone deformity Fractures Hearing loss (if affecting bones of the ears)
171
What are the XR findings in paget's disease? (2)
plain radiographs are the first-line investigation and are usually diagnostic - osteolysis in early disease → mixed lytic/sclerotic lesions later - skull x-ray: thickened vault, osteoporosis circumscripta
172
What investigations are used in diagnosis of Paget's disease? (3)
ALP - raised Calcium - normal Phosphate - normal XR
173
What is the mainstay of treatment for Paget's disease of the bone?
Bisphosphonates (oral risedronate or IV zoledronate)
174
What is the second line management of Paget's disease of the bone?
Calcitonin Analgesia for bone
175
What are the indications for treatment with bisphosphonates in Paget’s disease of the bone? (2)
Bone pain Skull or long bone deformity Fracture Periarticular Paget's
176
What are the complications of Paget's disease of the bone? (2)
Hearing loss (if affects the bones of the ear) Fractures Skull thickening Heart failure (due to hypervascularity of abnormal bone) Spinal stenosis
177
What is septic arthritis?
Infection of a joint
178
What organisms commonly cause septic arthritis? (3)
Staphylococcus aureus (most common) Staphylococcus epidermidis Streptococcus pyogenes Neisseria gonorrhoeae Pseudomonas aeruginosa
179
Which groups of people does pseudomonas septic arthritis occur in? (2)
Immunosuppressed Elderly IVDU
180
Which group of patients does staphylococcus epidermidis septic arthritis commonly occur in?
Patients with prosthetic joints
181
Which group of patients does gonococcal septic arthritis commonly occur in?
Young, sexually active people
182
What are the differentials of a single warm swollen joint? (3)
Gout Pseudogout Reactive arthritis Septic arthritis Haemarthrosis
183
What is the clinical presentation of septic arthritis? (3)
Hot, tender, erythematous, swollen joint Difficulty weight bearing Fever Limited range of movement
184
What is the definitive investigation in the diagnosis of septic arthritis?
Joint aspiration (with synovial fluid microscopy and culture)
185
What other investigations are useful in the diagnosis of septic arthritis? (3)
Blood cultures - should be performed in all patients before commencing antibiotics FBC CRP and ESR Plain XR
186
What is the initial management of septic arthritis?
Empirical IV antibiotics should be given until sensitivities are known: - Flucloxacillin - first line - Clindamycin - penicillin allergy - Vancomycin - MRSA suspected
187
What is the management of gonococcal arthritis?
Cefotaxime or ceftriaxone
188
How long should patients receive antibiotic treatment in septic arthritis?
4-6 weeks
189
What is fibromyalgia?
Fibromyalgia is a syndrome characterised by widespread pain throughout the body, with tender points at specific anatomical sites
190
What are the risk factors for fibromyalgia? (2)
Female Family history of fibromyalgia 30-50 years old
191
What are the features of fibromyalgia? (3)
Chronic pain Lethargy Cognitive impairment Sleep disturbance Headaches Dizziness
192
Where are the specific tender points in fibromyalgia? (4)
Occiput Low cervical region Trapezius Supraspinatus Second rib Lateral epicondyle Gluteal region Greater trochanter Knees
193
What clinical tools are used to assess for fibromyalgia? (2)
Widespread pain index - divides the body into 19 regions and patient reports which ones are painful Symptom severity score - assesses fatigue, sleep and cognitive symptoms
194
What are the score thresholds for diagnosis of fibromyalgia?
Widespread pain index more than 7, symptom severity >5 Symptoms have been present at a similar level for at least 3 months Patient does not have a disorder that would otherwise explain the pain
195
What investigations can be performed to exclude other conditions in suspected fibromyalgia? (3)
TFTs ESR Autoimmune screen Creatinine kinase Bone profile LFTs
196
What is the first line management of fibromyalgia? (2)
Patient education and explanation of the condition Physical therapy - aerobic exercise
197
What are the second line management options of fibromyalgia? (2)
Psychological therapies - CBT, antidepressants Pain medications - Duloxetine - Pregabalin - Amitriptyline Multimodal rehabilitation programs
198
What is the presentation of a frozen shoulder? (3)
Painful phase, followed by stiffness Painful external rotation Subsequent 'thawing' to resolution Can last for 1-3 years
199
What is the mechanism of injury in frozen shoulder? (3)
Primary Secondary to trauma Surgery Reduced mobilisation
200
What is the mechanism of injury in supraspinatus tendinopathy? (2)
Overhead activities Joint space narrowing
201
What are the features of supraspinatus tendinopathy? (2)
Positive empty can test (Jobe test) Painful arc - pain on shoulder abduction between 60 and 120 degrees
202
What is the mechanism of injury in rotator cuff tear? (3)
Trauma Repetitive activity Overhead activity Chronic degeneration
203
What are the features of rotator cuff tear?
Shoulder pain and weakness Positive Neer's, Hawkin's and Gerber's lift off tests
204
What is Neer's test?
Pain during passive flexion of the arm with the scapula stabilised
205
What is Hawkin's test?
The patient flexes the shoulder and elbow to 90 degrees While supporting the patient's arm at the elbow, the arm is internally rotated Positive result - pain between 70 and 120 of internal rotation
206
What is the typical mechanism of injury in medial epicondylitis?
Repetitive use - golfer's elbow
207
What are the features of medial epicondylitis? (3)
Pain at the medial epicondyle Pain radiates down the forearm Pain on wrist flexion and pronation Paraesthesia in the ulnar nerve distribution
208
What is the typical mechanism of injury in lateral epicondylitis?
Repetitive use - tennis elbow
209
What are the features of lateral epicondylitis?
Pain on resisted wrist extension and supination
210
What are the features of De Quervain's tenosynovitis? (2)
Radial wrist pain (pain over the radial styloid process) Pain on resisted thumb abduction Finkelstein's test positive
211
What is Finkelstein's test?
The patient bends their thumb across the palm of their hand, makes a fist around it, and bends their wrist towards their pinky finger Positive result - if there is pain on the thumb side of the wrist
212
What are the risk factors for Dupuytren's contracture? (3)
Increasing age Family history Male sex Diabetes Use of vibrating tools in manual labour
213
What are the features of Dupuytren's contracture? (2)
Hard, palmar nodules Fixed finger flexion Ring finger most commonly affected
214
What investigations can be used to exclude other diagnoses in upper limb soft tissue injury? (2)
X-ray Ultrasound MRI
215
What is the first line management of upper limb soft tissue injury? (2)
RICE - Rest - Ice - Compression - Elevation Analgesia Physiotherapy
216
What are polymyositis and dermatomyositis?
Inflammatory muscle diseases characterised by bilateral proximal muscle weakness
217
What cancers are dermatomyositis and polymyositis associated with? (3)
Cervical Lung Breast Pancreatic Ovarian Gastrointestinal Non-hodgkin's lymphoma
218
What is the presentation of polymyositis? (3)
- proximal muscle weakness +/- tenderness - Raynaud's - respiratory muscle weakness - interstitial lung disease e.g. fibrosing alveolitis or organising pneumonia seen in around 20% of patients and indicates a poor prognosis - dysphagia, dysphonia Systemic symptoms: - Weight loss - Fever - Anorexia - Fatigue - Arthralgia
219
What is the clinical presentation of dermatomyositis? (3)
Same presentation of polymyositis with: - photosensitive - macular rash over back and shoulder heliotrope rash in the periorbital region - Gottron's papules - roughened red papules over extensor surfaces of fingers - 'mechanic's hands': extremely dry and scaly hands with linear 'cracks' on the palmar and lateral aspects of the fingers - nail fold capillary dilatation
220
What is a heliotrope rash?
Purple-red rash over the eyelids, forehead and cheeks May be associated with periorbital oedema
221
What are Gottron's papules?
Scaly, erythematus papules over the knuckles and extensor surfaces of the knees and elbows
222
What are the differentials of polymyositis and dermatomyositis? (2)
Medication induced myopathy Thyroid disease Muscular dystrophy Hypokalaemia Vitamin D deficiency Inclusion body myositis
223
What investigations are performed in the diagnosis of polymyositis and dermatomyositis? (3)
Urinalysis - myoglobinuria Creatine kinase - raised Lactate dehydrogenase - raised Antibody testing MRI of affected regions Electromyography - myopathic changes Muscle biopsy
224
What antibody is most commonly associated with dermatomyositis?
Anti-Mi-2 antibodies (anti-Jo-1 antibodies are also seen in dermatomyositis)
225
What antibody is most commonly associated with polymyositis?
Anti-Jo-1 antibodies
226
What is the conservative management of polymyositis and dermatomyositis? (2)
Specialist physiotherapy SALT for patients with dysphagia Sun avoidance and high factor sun cream (Dermatomyositis) FRAX scoring, with consideration of bone protection
227
What is the medical management of polymyositis and dermatomyositis?
First line - high dose steroids (oral prednisolone 40-60mg daily) Steroids should be weaned once disease activity has improved DMARD should be given alongside steroids
228
What are the treatment options for refractory myositis? (2)
IVIG Cyclophosphamide Rituximab and abatacept
229
What are the complications of polymyositis and dermatomyositis? (2)
Interstitial pneumonitis Conduction defects Arrhythmias Myocarditis Weight loss and aspiration pneumonia due to dysphagia
230
What are poor prognostic factors for polymyositis and dermatomyositis? (3)
Older age Male gender Cardiac involvement Dysphagia Autoantibodies - anti-TIF1, anti-MDA-5
231
What is trochanteric bursitis?
Inflammation of the bursa over the greater trochanter of the femur
232
What is a bursa?
A bursa is a fluid-filled sac that reduces friction between bones, muscles, tendons and ligaments
233
At what joints are bursa most commonly found? (3)
Shoulders, elbows, hips and knees
234
What are the causes of trochanteric bursitis? (3)
Soft tissue trauma Strain injuries Leg length discrepancies Prolonged sitting Excessive running
235
What is the presentation of trochanteric bursitis? (2)
Lateral hip pain - Aggravated by physical activity - Worse at night Swelling in the affected area Positive trendelenburg test
236
What investigations/examination are involved in the diagnosis of trochanteric bursitis? (2)
Palpation of area for tenderness trendelenburg test Imaging - MRI or ultrasound
237
What is olecranon bursitis?
Inflammation of the olecranon bursa in the elbow
238
What is the management of olecranon bursitis? (3)
Use of ice Anti-inflammatory medications Elbow support Steroid injection in severe cases
239
What is subacromial bursitis?
An inflammatory condition of the subacromial bursa, causing pain in the shoulder
240
Where is the subacromial bursa located?
Between the acromion and the rotator cuff
241
What are the causes of subacromial bursitis? (3)
Subacromial impingement Repetitive overhead injuries Direct trauma Crystal deposition Infection Rheumatoid arthritis
242
What is the presentation of subacromial bursitis?
Pain in the shoulder, worse with overhead activities Reduced range of motion Tenderness over the shoulder joint Swelling and redness in severe cases
243
What investigations are used in the diagnosis of subacromial bursitis? (2)
FBC, U&Es - rule out infection or rheumatoid arthritis Shoulder XR Shoulder MRI
244
What is the management of subacromial bursitis? (3)
Rest NSAIDs Physiotherapy Corticosteroid injections
245
What is pre-patellar bursitis?
Inflammation and swelling of the pre-patellar bursa, that lies anterior to the kneecap
246
What are the causes of pre-patellar bursitis? (2)
Frequent trauma or pressure Infection Inflammatory conditions e.g rheumatoid Direct injury to the knee
247
What is the presentation of pre-patellar bursitis? (3)
Localised pain at the front of the knee Swelling and tenderness of the patella Warmth and redness in the affected area Difficulty in knee flexion
248
What investigations are used in the diagnosis of pre-patellar bursitis? (2)
Physical examination Aspiration Ultrasound or MRI
249
What is the management of pre-patellar bursitis? (3)
Rest Ice Compression bandage Exercise modification NSAIDs Corticosteroid injections for refractory cases
250
What are the features of a hip fracture? (2)
Pain Shortened, externally rotated leg Unable to weight bear (some patients can)
251
What is an intracapsular fracture?
A fracture that occurs proximal to the intertrochanteric line (the line between the greater and lesser trochanter)
252
What is an extracapsular fracture?
A fracture that occurs distal to the intertrochanteric line
253
How are extracapsular fractures further divided?
Intertrochanteric Subtrochanteric
254
What is the garden system for classification of hip fractures?
Grade 1 - stable fracture with impaction in valgus Grade 2 - complete fracture but undisplaced Grade 3 - complete fracture, incompletely displaced Grade 4 - complete fracture, completely displaced
255
What is the management of a undisplaced intracapsular fracture?
Internal fixation Hemiarthroplasty if unfit
256
What is the management of a displaced intracapsular fracture?
Arthroplasty (total hip replacement or hemiarthroplasty)
257
What is the management of a stable intertrochanteric fracture?
Dynamic hip screw
258
What is the management of a subtrochanteric fracture?
Intramedullary device
259
What is the criteria for a total hip replacement? (3)
Able to walk outdoors independently Not cognitively impaired Medically fit for anaesthesia
260
What is antiphospholipid syndrome?
An acquired disorder characterised by predisposition to arterial and venous thromboses, recurrent fetal loss and thrombocytopenia
261
What condition is antiphospholipid syndrome primarily associated with?
SLE
262
What are the features of antiphospholipid syndrome? (3)
Venous/ arterial thrombosis Recurrent miscarriages Livedo reticularis Pre-eclampsia Pulmonary hypertension
263
What antibodies are associated with antiphospholipid syndrome? (2)
Anticardiolipin Anti-beta2 glycoprotein I Lupus anticoagulant
264
What is used for primary thromboprophylaxis in antiphospholipid syndrome?
Low-dose aspirin
265
What is used for secondary thromboprophylaxis in antiphospholipid syndrome?
Lifelong warfarin Add aspirin if further VTE occurs whilst on warfarin
266
What is the target INR for someone on warfarin for antiphospholipid syndrome?
INR of 2-3 (INR of 3-4 if recurrent VTE occurred whilst on warfarin)
267
What criteria is used to diagnose anti-phospholipid syndrome?
Sapporo criteria - 1 clinical and 1 laboratory criteria needed
268
What is given for pregnant women with anti-phospholipid syndrome to prevent miscarriage?
Aspirin and LMWH
269
What is osteoporosis?
A significant reduction in bone density
270
What are the T and Z scores?
T score - bone density compared to that of the average healthy young adult Z score - bone density compared to the average for their age, sex and ethnicity
271
What T score is diagnostic of osteoporosis?
< -2.5
272
What are the risk factors for osteoporosis? (5)
Older age Post-menopausal Reduced mobility Low BMI Low calcium or vit D intake Alcohol and smoking Personal or family history of fractures Long term corticosteroids Chronic diseases
273
What scores can be used to calculate the risk of fracture? (2)
QFracture FRAX tool
274
What QFracture score necessitates a DEXA scan?
> 10%
275
When should bisphosphonates be started without a DEXA scan? (3)
Post-menopausal or man aged > 50 with a vertebral fracture Post-menopausal women and men age > 50 treated with oral glucocorticoids Fragility fracture in women > 75
276
What is the first line treatment of osteoporosis?
Bisphosphonates
277
What lifestyle advice should be given to those with osteoporosis? (3)
Increase physical activity Maintain a healthy weight Stop smoking Reduce alcohol consumption Increase intake of calcium and vitamin D
278
What are the side effects of bisphosphonates? (3)
Reflux Oesophagitis Atypical fractures Osteonecrosis of the jaw
279
How are bisphosphonates taken?
Taken on an empty stomach, with a full glass of water Sit upright for 30 minutes after taking
280
What is the management of a patient who has been on bisphosphonates for more than 5 years?
Repeat DEXA scan Stop bisphosphonates if T score > -2.5
281
What is sciatica?
Irritation of the sciatic nerve
282
What are the causes of mechanical back pain? (3)
Muscle or ligament sprain Facet joint dysfunction Sacroiliac joint dysfunction Herniated disc Spondylolisthesis Scoliosis Degenerative changes
283
What are the causes of neck pain? (2)
Muscle or ligament strain Torticollis Whiplash Cervical spondylosis
284
What are the red flag causes of back pain? (3)
Spinal fracture Cauda equina Spinal stenosis Ankylosing spondylitis Spinal infection
285
Which spinal nerves form the sciatic nerve?
L4-S3
286
What nerves does the sciatic nerve divide into?
Common peroneal (fibular) nerve Tibial nerve
287
Where does the sciatic nerve supply sensation to?
Lateral lower leg Foot
288
Where does the sciatic nerve supply motor function to? (3)
Posterior thigh Lower leg Foot
289
What are the main causes of sciatica? (2)
Herniated disc Spinal stenosis Spondylolisthesis (anterior displacement of a vertebra out of line with the one below)
290
What is the presentation of sciatica? (3)
Unilateral pain from the buttock Pain radiates down the back of the thigh Paraesthesia Numbness Motor weakness
291
What examination test can be used to diagnose sciatica?
Sciatic scratch test
292
What is the sciatic scratch test?
Patient lies on their back with their leg straight The examiner lifts the straight leg until the limit of hip flexion is reached The examiner dorsiflexes the patients ankle Sciatica type pain is illicited
293
What is the management of chronic sciatica?
Amitriptyline Duloxetine
294
What is scleroderma?
Hardening of skin, giving appearance of shiny tight skin
295
What is CREST syndrome?
Calcinosis Raynaud's Oesophageal dysmotility Sclerodactyly Telangiectasia
296
What are the signs of limited cutaneous systemic sclerosis? (2)
Raynaud's Primarily affects face and distal limbs CREST syndrome
297
What antibody is seen in limited cutaneous systemic sclerosis?
Anti-centromere antibodies
298
What is the presentation of diffuse systemic sclerosis? (3)
Predominantly affects the trunk and proximal limbs Scleroderma CREST syndrome Systemic complications
299
What antibodies are seen in diffuse systemic sclerosis?
Anti scl-70 antibodies
300
What are the complications of diffuse systemic sclerosis? (2)
Interstitial lung disease Pulmonary hypertension Renal disease
301
What investigations are used to diagnose systemic sclerosis? (2)
ACR/EULAR classification criteria FBC, U&E, LFTs Antibodies - anti-centromere, anti-scl70
302
What is the non-medical management of systemic sclerosis? (3)
Smoking cessation Gentle skin stretching Regular emollients Avoid cold triggers Physiotherapy
303
What is the medical management of systemic sclerosis? (3)
Symptomatic mangement Raynaud's = nifedipine Acid reflux - PPI GI symptoms - metoclopramide Renal dysfunction - ACEi Pulmonary HTN - sildenafil
304
What is microscopic polyangitis?
Small vessel vasculitis that most commonly affects the lungs and kidneys
305
What are the features of microscopic polyangitis? (3)
- renal impairment: raised creatinine, haematuria, proteinuria - fever - other systemic symptoms: lethargy, myalgia, weight loss - rash: palpable purpura - cough, dyspnoea, haemoptysis - mononeuritis multiplex
306
What investigations are used in the diagnosis of microscopic polyangitis? (2)
pANCA Anti-MPO antibodies FBC - microcytic anaemia, thrombocytosis CXR - patchy or diffuse opacification
307
What is the management of microscopic polyangitis?
High dose steroids Rituximab
308
What are the features of granulomatosis with polyangiitis? (3)
Epistaxis Nasal crusting Hearing loss Sinusitis Saddle shaped nose Cough Wheeze Haemoptysis Rapidly progressing glomerulonephritis
309
What investigations are used in the diagnosis of granulomatosis with polyangiitis? (2)
- cANCA positive in > 90%, pANCA positive in 25% - chest x-ray: wide variety of presentations, including cavitating lesions - renal biopsy: pauci-immune necrotising crescentic glomerulonephritis epithelial crescents in Bowman's capsule
310
What is the management of granulomatosis with polyangiitis? (3)
High dose steroids- IV methyl prednisone for severe disease Cyclophosphamide Rituximab Plasma exchange Maintenance - azathioprine or methotrexate
311
What is eosinophilic granulomatosis with polyangiitis also called?
Also called Churg-Strauss syndrome
312
What are the features of eosinophilic granulomatosis with polyangiitis? (3)
Adult onset asthma Blood eosinophilia Paranasal sinusitis Mononeuritis multiplex Renal involvement Fever, malaise, myalgia
313
What investigations are used in the diagnosis of eosinophilic granulomatosis with polyangiitis? (2)
Blood Eosinophilia (>10%) pANCA
314
What is the mechanism of fracture in patellar fracture? (2)
Direct blow to the knee Rapid contraction of quadriceps against a flexed knee e.g in electric shock
315
What is the presentation of a patellar fracture?
Inability to straight leg raise Tenderness to knee cap
316
What is a segond fracture?
Small avulsion fracture to lateral tibial condyle
317
What is segond fracture associated with?
ACL injuries
318
What is the mechanism of action in a segond fracture?
Interal rotation + varus stress
319
What are the features of tibial shaft fracture? (2)
Open fracture Compartment syndrome common
320
What is the mechanism of injury in tibial shaft fracture? (2)
Direct blows, falls or indirectly through twisting motions
321
What is a tibial plafond fracture?
A fracture to the distal tibia where the talus is driven into the end of the tibia
322
What is the mechanism of action in a tibial plafond fracture?
High axial load - Fall from height - Car crash
323
What is a maisonneuve fracture?
Spiral fracture of the proximal fibula, associated with ankle instability
324
What is the mechanism of action in maisonneuve fracture?
Pronation- external rotation - e.g stepping off a curb awkwardly
325
What is the Weber classification of a lateral malleolus fracture?
Type A - below the level of syndesmosis Type B - start at the level of tibial plafond + extend proximally Type C - Above syndesmosis
326
What is a Jones fracture?
Fracture to the fifth metatarsal base Caused by inversion to foot, or repetitive strain
327
What is a lisfranc fracture?
Tarsometatarsal fracture + dislocation of 1st and 2nd metatarsals from tarsals
328
What is the most common tarsal fracture?
Calcaneal fracture
329
What are the Ottawa ankle rules?
Ankle XR is indicated if: - Malleolar zone pain - Tenderness at points A and B - Inability to bear weight immediately and in A&E OR - Pain in the midfoot zone - Tenderness at points C and D - Inability to bear weight immediately and in A&E
330
What is Sjogren's syndrome?
An autoimmune condition affecting the exocrine glands
331
What antibodies is Sjogren's associated with? (2)
Anti-Ro Anti-La
332
What is the Schirmer test?
A folded filter paper is placed under the lower eyelid - After five minutes the amount of moisture is measured - Less than 10mm is significant
333
What are the symptoms of Sjogren's? (3)
Dry mouth Dry eyes Dry vagina Dry skin Joint pain Stiffness
334
What is the management of Sjogren's? (3)
Artificial tears Artificial saliva Vaginal lubricants Pilocarpine to stimulate tear and saliva production Hydroxychloroquine
335
What are the complications of Sjogren's? (2)
Increased risk of lymphoid malignancy (NHL) Corneal ulcers Dental cavities Oral and vaginal candida Sexual dysfunction
336
What does the palmar digital cutaneous branch of the median nerve supply?
Fingertips of the thumb, index finger, middle finger and lateral half of the ring finger
337
What does the palmar cutaneous branch of the median nerve supply?
The palms
338
Which part of the median nerve does not run through the carpal tunnel?
Palmar cutaneous branch
339
What are the risk factors for carpal tunnel syndrome? (3)
Obesity Repetitive strain Rheumatoid arthritis Diabetes Acromegaly Pregnancy
340
What are the sensory symptoms of carpal tunnel? (3)
Numbness Paraesthesia Burning sensation Pain - All in the distribution of palmar aspects and full fingertips of the first three and a half digits
341
What is the primary investigation for diagnosis of carpal tunnel?
Nerve conduction studies
342
What is the management of carpal tunnel? (3)
Rest and altered activities Wrist splints to be worn at night - minimum 4 weeks Steroid injections Surgery
343
What are the motor symptoms of carpal tunnel? (3)
Weakness of thumb movements Weakness of grip strength Difficulty with fine movements involving the thumb Thenar muscle wasting
344
What condition is the Simmond’s triad used to diagnose? List the three components.
Achilles tendon rupture - palpable gap in tendon - examining the angle of declination at rest - calf squeeze test (Thompson’s test positive- absent plantarflexion when the calf is squeezed)