Small, rounded bones located in tendons
Sesamoid bones - “accessory ossicles”
more dense white area along the edges of the long bone
cortex
very outside part of cortex (white part)
Periosteum
bunnies of bone activity resorbers
osteoclasts resorbers : remove, destroy: decrease density, lucent appearance
Can remove bone at_____of formation
20x rate
responsible for abandoning ship and letting tumor spread in bone
osteoclasts
Reparative cells that heals fx’s
Osteoblasts - slower
indications of long bone XR
Trauma, pain, edema, decreased ROM, FB
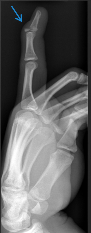
what views are mandatory in long boned which ones are alternative
Always at least AP, Lateral (orthogonal views - 90°) Oblique is initial 3rd view (hand, wrist, ankle, foot, etc) ○ Special views

lateral
operative

axial of the calcaneus

sunrise view of the patella
3 special views ordered
Comparison views” - image of the other side
● “Weight-bearing view” - AC joint, foot (ex: pt holds a weight to stress shoulder joint to expose abnormality)
● Perpendicular - axial plane (sunrise and axial)
CT scan indications
Complex fractures – characteristics, extent
● Pre-op evaluation
● Occult fracture
● Associated injuries
● Spinal column
● Tumors, infection
● Biopsy, interventional procedures
occult fractures
difficult to see on plain scan but suspected due to inability to weight bear
MRI indications
best for soft tissue
● Spinal cord injuries → MRI is imaging of choice*
● Occult fractures – hip (elderly), scaphoid ESP. if you can’t see on CT
● Tendons/Ligaments/Soft Tissue
○ MR Arthrography - contrast study of joints
○ Pre-op evaluation
● Certain complex fractures, infections
● Bone marrow abnormalities
● Avascular necrosis
T1 or T2

T1 because of black fluid
Bone Scans – Nuclear Med: Indications
Occult Fractures
● Stress Fractures
● osteomylitis (Bone Infection)
● Avascular Necrosis
● Osteomyelitis
● Malignancy
AABC’s of film reading
○ A dequacy
○ A lignment
○ B ones + Periosteum
○ C artilage (joint space can’t actually see catrilage)
○ S oft tissue
adequacy of plain film
● Name, date, L&R label, all views?
● Pt properly positioned
○ “True” lateral or “true” oblique?
○ All structures seen in anatomical alignment?
○ Special views taken properly?
● Must know normal radiographic anatomy to evaluate normal alignment and position
● Ex: forearm film is adequate if it includes both elbow and wrist joints!

anterior humoral dislocation

Torus fracture
lacks smooth margin