MSK Cases Flashcards

(231 cards)

1
Q

39 yo man fall

A

Axial T2 fat sat MR - bone contusions in medial patella and lateral femoral condyles (Arrows) with associated tear of medial retinaculum (Arrowhead)

Diagnosis: Acute patellar dislocation relocation

Occurs with internal rotation of femur on fixed and externally rotated femoral condyle - bone contusions on both.
Due to direct impaction, associated with ACL tears.

Radiographs = Lipohaemarthrosis or chip fracture adjacent to donor site of medial facet of patella.
MR findings = Disruption or sprain of the medial retinaculum, lateral patellar tilt or subluxation, lateral femoral condylar and medial patellar osseous contusions. Osteochondral injury to medial patella or lateral femur.

How well did you know this?
1
Not at all
2
3
4
5
Perfectly
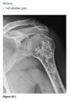
2
Q

61yr old woman with shoulder pain

A

AP Radiograph of left shoulder in external and internal rotation (1 & 2) - globular foci of calcification in expected location of supraspinatus (White arrow) and infraspinatus (black arrow) and pectorals major

DIAGNOSIS: Hydroxyapatite deposition disease
(HADD)

HADD consists of crystal deposition in
and around joints, without a known cause.
AKA calcific tendonitis

On radiographs, the calcium deposits appear cloud-
like and amorphous and can involve the tendon,
ligament, bursa, or joint capsule. Intraarticular crys-
tal deposition can destroy the joint space, resulting
in a condition referred to as “Milwaukee shoulder.”
On CT,
­ accompanying erosion of the underlying bone can be
seen. CT appearance has been described as commonly
having a flame-shaped or comet-tail configuration of
the calcifications

If not in shoulder/region not common for HADD ?Malignancy

How well did you know this?
1
Not at all
2
3
4
5
Perfectly
3
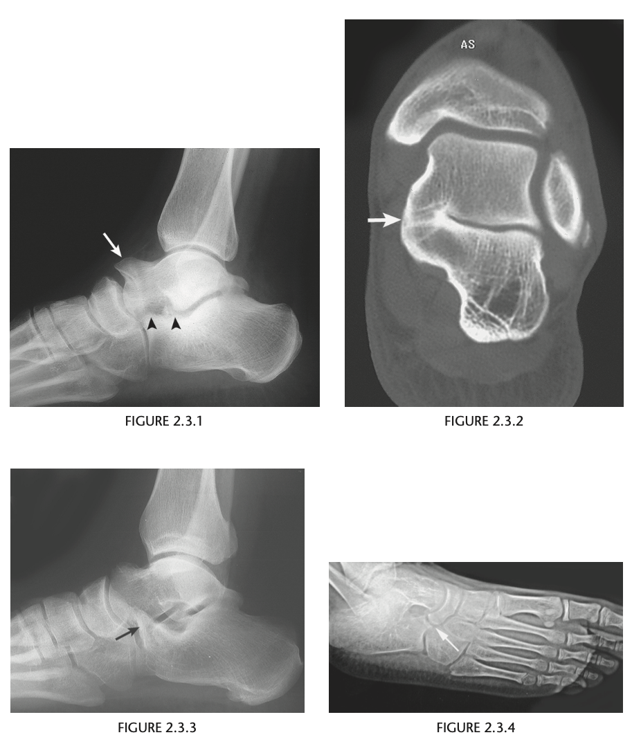
Q

Foot pain

A

A lateral radiograph of the left foot demonstrates a prominent talar beak
­ (arrow) and bony sclerosis overlying the middle
facet (arrowheads). Coronal CT through the middle
facet shows talocalcaneal fusion, with bony bridging between the talus and the sustentaculum tali of the
calcaneus

Diagnosis: Tarsal coalition

abnormal fusion
of one or more of the tarsal bones, may be fibrous,
cartilaginous, or osseous and may be posttraumatic, or congenital.
Most
common tarsal coalitions are calcaneonavicular and
talocalcaneal.
Radiographically, calcaneonavicular coalition may
be suspected because of elongation of the anterior
facet of the calcaneus on radiographs (i.e., anteater
sign. CT can also be used to confirm coalition and shows
­ sclerosis at the articulation

Congenital coalition usually evolves from fibrous to osseous
coalition and may not be apparent on the initial
evaluation

Talocalcaneal coalition can result in dorsal beaking
of the talar head (Fig. 2.3.6, arrowhead), the so-called
C-sign (arrows)

How well did you know this?
1
Not at all
2
3
4
5
Perfectly
4
Q

23 year old man with pain in the right hip

A

An anteroposterior view of the pelvis
shows flaring of the metaphyseal regions of
the proximal femurs and numerous osteochondromas
arising from the right iliac crest, pubic bones, and proximal right femur (arrows).

Axial CT through upper pelvis - Large right exostosis with soft tissue mass.

AP radiograph of knee - multiple osteochondromas arising from femur and fibula.

DIAGNOSIS: Multiple hereditary exostosis

AD disorder age 10-20s

Signs of malignant transformation - Growth of previous stable exostosis, new or increasing calcifications, new bony erosion

Associated with chondrosarcoma

How well did you know this?
1
Not at all
2
3
4
5
Perfectly
5
Q

3 x patients with same diagnosis

A

Anteroposterior view of the pelvis
shows diffuse,
uniform, bony sclerosis and a subtrochanteric frac-
ture of the proximal left femur.

A lateral chest ra-
diograph shows the
sandwich appearance of the vertebral bodies caused
by increased sclerosis of the superior and inferior
end plates.

Radiographs of the knees show splaying of the metaphyses and alternating radiolucent bands in the distal
femurs and proximal tibias and fibulas bilaterally. (Erlenmyer flask)

Diagnosis: Osteopetrosis

Defect in osteoclastic resorption.
Precocious (AR Lethal) and Delayed (AD asymptomatic)

Generalized osteosclerosis and diffuse cortical thick-
ening with narrowing of the medullary cavity.

How well did you know this?
1
Not at all
2
3
4
5
Perfectly
6
Q

11 year old boy with right arm pain after fall

A

AP & Lateral views of the proximal right humerus well-circumscribed, geographic, lytic me-
taphyseal lesion with cortical thinning. The lesion
has well-defined margins and no demonstrable ma-
trix. A comminuted fracture has occurred, and frag-
ments of the cortex have fallen to the dependent
portion of the lesion (arrows)

Diagnosis: Unicameral bone cyst

“fallen-fragment sign” is the distinguishing
feature in these lesions because the fragments can
reach this position only in purely cystic lesions.

Lesions near the metaphysis are active, but as the
patient grows, the lesion migrates to the diaphy-
sis of the bone and becomes inactive. Treatment
includes curettage and packing with bone chips
or steroid injection.

How well did you know this?
1
Not at all
2
3
4
5
Perfectly
7
Q

55yr old woman with foot pain

A

A lateral radiograph = nonaggressive, well-defined lytic
lesion in the anterior aspect of the calcaneus with
a thin sclerotic border and central calcification.

Sagittal T1-weighted and STIR MR ­ images
demonstrate a lesion with signal characteristics of
peripheral fat and a cystic center.

DIAGNOSIS: Intraosseous lipoma

averages 4 cm in di-
ameter and is usually found within the metaphyses
of the long tubular bones of the femur, tibia, and
fibula or within the calcaneus.

How well did you know this?
1
Not at all
2
3
4
5
Perfectly
8
Q

Adolescent child with pain in the leg, another radiograph in the humerus

A

well-defined, eccentric, radio-
lucent lesion with a thin, sclerotic border adjacent
to the cortex of the distal tibia.
Repeat 7 yrs later shows well defined sclerotic lesion in same location.

Humerus radiograph shows identical lesion with pathological fracture

Diagnosis: Fibrous cortical defect or NOF

> 2cm = NOF and <2cm = FCD.

Can be polyostotic - associated with NF, FD, Jaffe-Campanacci syndrome.
Lesions originally
arise adjacent to the physis, and as limb lengthen-
ing occurs, they migrate away from the joint.
typical FCD or NOF is radiolucent; has a thin, scle-
rotic margin; and shows no periosteal reaction.
Rarely, it may be expansile or undergo pathologic
fracture.
Involutes during adolescence and becomes sclerotic.

How well did you know this?
1
Not at all
2
3
4
5
Perfectly
9
Q

12 year old boy with pain in the lower leg and 10 yr old boy with pain in the foot

A

AP & Lateral radiographs of lower leg show a focal area of sclerosis in the midshaft of the tibia with a central area of radiolucency
­ (arrow).
Oblique view of
the left foot shows sclerosis of the shaft
of the fourth metatarsal with an associated central
radiolucency (arrow)

region of sclerosis
and confirms the central radiolucency (arrow).
MRI C+ intensely enhancing nidus (arrow) in
the anterior aspect of the distal femur.

Diagnosis: Osteoid osteoma

benign osteo-
blastic neoplasm composed of a central core of vascular osteoid tissue and a peripheral zone of
sclerotic bone.

a centrally located ovoid
radiolucent area (nidus), measuring <1 cm in di-
ameter and surrounded by a zone of uniform bony
sclerosis. There may also be a focus of calcification
within the radiolucent nidus. radionuclide
bone scan, the double-density sign with intense
accumulation centrally and less marked uptake in
the periphery is characteristic of osteoid osteoma.

Prompt arterial enhancement on dynamic MR can
help differentiate osteoid osteoma from Brodie
abscess and stress injuries in equivocal cases

How well did you know this?
1
Not at all
2
3
4
5
Perfectly
10
Q

35yo woman with pain in the right knee

A

Sagittal PD and FSE T2 fat suppressed of right knee - Low signal intensity mass in upper aspect of infra patellar fat pad (Hoffa’s)

DIAGNOSIS: Pigmented villonodular synovitis (PVNS)

PVNS is a proliferative disorder of
the synovium that usually affects adults in the
third and fourth decades of life.
evidence
of calcification or metaplastic cartilage in essence
excludes the diagnosis of PVNS. The MR features of
low signal intensity on T1-weighted, T2-weighted,
or gradient-echo sequences result from the hemo-
siderin deposition in PVNS.

How well did you know this?
1
Not at all
2
3
4
5
Perfectly
11
Q

52 year old man with prior shoulder injury

A

Small fragments of bone (arrows) adjacent to the
superior and inferior aspect of the glenoid (G) and
a nondisplaced coracoid (C) fracture (arrowhead) - AP & Axillary view of left shoulder.
CT - fractures of the superior glenoid, coracoid process, and compression fracture of posterolateral aspect of humeral head (Hill Sachs)

Diagnosis: Bony Bankart lesion of the shoulder with
an associated Hill–Sachs deformity of the humeral
head caused by anterior glenohumeral dislocation

classic Bankart lesion is an avul-
sion of the anterior labroligamentous structures from
the anterior glenoid rim. A bony Bankart consists of
injury to the glenoid labrum and the anterior and in-
ferior rim of the glenoid.

Demonstration
of the fibrocartilaginous Bankart lesion requires CT
arthrography or MRI

How well did you know this?
1
Not at all
2
3
4
5
Perfectly
11
Q

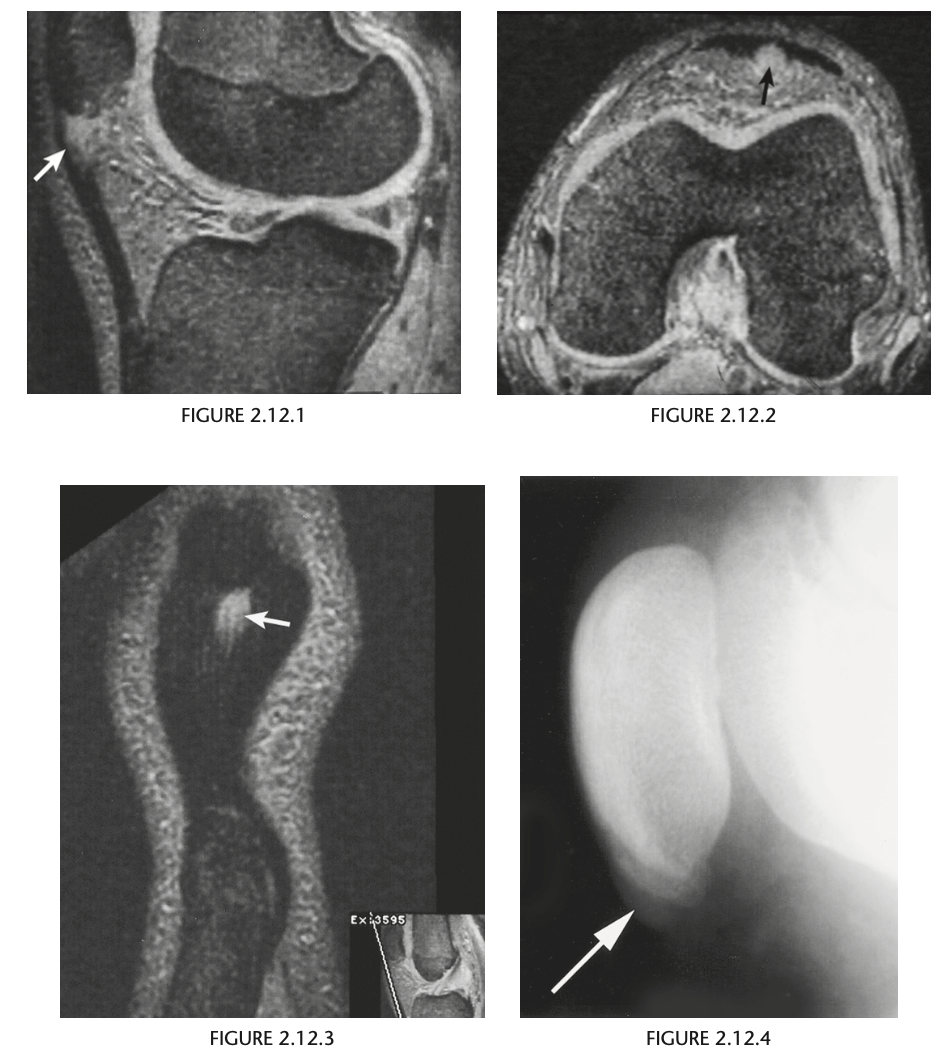
A 16-year-old basketball player with pain in his left knee

A

Sagittal, axial and coronal gradient-recalled echo MR images of the left knee
show a focal area of high signal intensity within the
patellar tendon just below its origin from the infe-
rior aspect of the patella (arrows)

Patellar tendionosis

Overuse syndrome. Chronic repetitive stress without rest may
result in necrosis, fibrosis, and degeneration within
the tendon and may over time lead to tendon rup-
ture.
Sindig-Larsen-Johansson disease = Bony fragmentation of the lower pole of the patella in a young patient. (Osteochondroses)

Figure 2.12.4 is a coned-down,
lateral knee radiograph of a 13-year-old athlete
with anterior knee pain and shows fragmentation
of the inferior pole of the patella (arrow). The sagit-
tal T2-weighted MR image (Fig. 2.12.5) confirms the fragmentation of the patella and shows prepatel-
lar edema and edema within the proximal patellar
tendon (arrow). The sagittal T1-weighted MR image
(Fig. 2.12.6) shows the fragmentation of the patella
that is characteristic of this disorder (arrow).

MRI is the diagnostic investigation of choice to
confirm the clinical suspicion of patellar tendinosis.

How well did you know this?
1
Not at all
2
3
4
5
Perfectly
12
Q

A 21-year-old man with worsening pain in the left wrist after an injury 6 months earlier (Fig. 2.13.1).
Figures 2.13.2 and 2.13.3 are of a 46-year-old man with wrist pain

A

Anteroposterior view of the left wrist
(Fig. 2.13.1) shows an ulna that is shorter than the
radius (i.e., negative ulnar variance or ulnar minus
variance) and a lunate that is sclerotic and some-
what irregular in shape.

Kienböck disease (i.e., lunatomalacia)

Kienböck disease, or lunatomalacia, is
osteonecrosis of the lunate. It is most common in
­ patients 20 to 40 years old and has a predilection
for the dominant hand in individuals involved
in manual labor.
Cause unknown

shortened ulna
in relation to the radius (i.e., negative ulnar variance
or ulnar minus variance) is seen in up to 75% of pa-
tients with lunatomalacia and is considered a major
cause of the disorder

The imaging findings, which do not always corre-
late with the patient’s symptoms, include increased
density or sclerosis of the lunate and, eventually, alteration in the normal bony shape with collapse
on radiographs.

For example, in a 46-year-old
man with wrist pain, a coronal T1-weighted image
(Fig. 2.13.2) demonstrates low signal intensity in
the lunate (arrow) and negative ulnar variance. The
gradient-recalled echo MR image (Fig. 2.13.3) shows
the signal intensity within the lunate to remain low
(arrow). These features are diagnostic of osteone-
crosis (i.e., Kienböck disease). Surgical intervention
includes lunate replacement, radial shortening, and
ulnar lengthening.

How well did you know this?
1
Not at all
2
3
4
5
Perfectly
13
Q

An 18-year-old man with acute injury of the right knee

A

Sagittal proton-density (Fig. 2.14.1)
and fast spin-echo, T2-weighted fat-suppressed
(Fig. 2.14.2) MR images show an area of increased
signal intensity within the anterior cruciate ligament
(ACL), the so-called pseudo-mass (arrows); nonvisual-
ization of the normal ACL fibers; and a joint effusion.
A sagittal fast spin-echo, T2-weighted fat-suppressed
MR image through the lateral joint compartment
(Fig. 2.14.3) shows high-signal-intensity areas in the
subchondral regions of the midportion of the lateral femoral condyle and the posterolateral tibial plateau,
the so-called “kissing contusions”

Full thickness tear of the ACL

Conventional radiographic findings of an ACL
tear include avulsion fractures from the femoral or
tibial attachment of the ACL (Fig. 2.14.4, arrow), the
Segond fracture (Fig. 2.14.4, arrowhead), or a deep
lateral sulcus sign (Fig. 2.14.5, arrow).
MRI features of the torn ACL include an irregular
or wavy contour with decreased angulation on the
sagittal images (i.e., “lying down” or vertically ori-
ented ACL), increased signal intensity on all MRI
sequences in the region of the ACL (i.e., so-called
“pseudo-mass”), posterior displacement of the lateral
meniscus (i.e., “uncovered lateral meniscus” sign),
loss of the normal obtuse curvature with increased
angulation of the posterior cruciate ligament, undu-
lation of the patellar tendon, and the “empty notch”
sign, which is also seen on arthroscopy.
Bone
impaction from transient subluxation results in
the characteristic osseous contusions involving the posterolateral tibial plateau and midportion of the
lateral femoral condyle (i.e., “kissing contusions”).

How well did you know this?
1
Not at all
2
3
4
5
Perfectly
14
Q

A 19-year-old man with worsening pain in the right knee after a recent injury

A

A sagittal proton-density MR image of the
right knee (Fig. 2.15.1) shows a normal posterior cruci-
ate ligament (PCL, arrow) with an apparent second PCL
underneath (i.e., “double-PCL” sign; arrowhead). A sag-
ittal proton-density image through the edge of the
medial meniscus shows increased signal intensity in the posterior horn of the medial meniscus. diminished visualization of the anterior horn,
and lack of the characteristic bow-tie appearance of the meniscus at this site. A corresponding coronal proton-
density image reveals the displaced meniscal fragment
in the intercondylar notch.

Displaced bucket-handle tear of the
medial meniscus

Bucket handle tear is a longitudinal meniscal tear with central, unstable fragment migrates into
the intercondylar notch.
As seen arthroscopically,
the migrated fragment represents the handle of the
bucket, and the portion of the meniscus remaining
in situ represents the bucket

On 4-mm sagittal images, the medial menis-
cus should have a bow-tie appearance on at least
three consecutive MR slices. If the meniscus is not
seen on all these slices, then the coronal images
must be scrutinized to confirm that the meniscus
is intact.
double-PCL sign is produced by displace-
ment of the meniscal handle fragment into the in-
tercondylar notch, where it comes to rest anterior
and inferior to the PCL.
“flipped meniscus” sign. This
sign consists of a shortened posterior horn with
an abnormally tall anterior horn (>6 mm) on sag-
ittal images.

Figure 2.15.5, in which there is a
full-thickness ACL tear causing a double-PCL sign
(arrowheads) and a bucket-handle tear of the menis-
cus that is flipped anteriorly, causing an abnormally
tall meniscal anterior horn (arrow).

How well did you know this?
1
Not at all
2
3
4
5
Perfectly
15
Q

A 19-year-old man with pain in the left knee

A

Anteroposterior (Fig. 2.16.1) and lateral
(Fig. 2.16.2) radiographs of the left knee show a semi-
circular lucency, with an adjacent bony fragment,
on the lateral aspect of the medial femoral condyle
(arrows).
sagittal T2-weighted MR
image in the same patient demonstrates minimal
linear increased signal intensity in the same region
as the lucency, located between the subchondral
bone and the fragment (Fig. 2.16.3, arrow). The frag-
ment has low signal intensity and is not completely
covered by cartilage.

Osteochondritis dissecans (osteochon-
drosis) of the medial femoral condyle

from an osteochondral fracture
that was initially caused by shearing, rotatory, or
tangentially aligned impaction forces.
The presence of linear high T2-weighted
signal intensity between the fragment and donor site
indicates fluid or granulation tissue and strongly sug-
gests instability of the fragment (i.e., loose in situ
fragment) (Fig. 2.16.4, arrowheads). Focal cystic areas
beneath the fragment or denudation of articular carti-
lage are also MR signs suggesting an unstable fragment.

All patients with radiographic evidence of osteochon-
dritis dissecans could potentially benefit from MRI to
assess the integrity of the donor fragments before any
surgical or arthroscopic intervention or therapy (71).

How well did you know this?
1
Not at all
2
3
4
5
Perfectly
16
Q

A 34-year-old man with an acute knee injury

A

Anteroposterior view of the right knee
shows a linear sliver of bone adjacent to the lat-
eral aspect of the lateral tibial plateau (Fig. 2.17.1,
arrow). A sagittal proton-density MR image of the
knee in the same patient shows an ACL tear and a
tibial plateau contusion.

Segond fracture

The avulsion
occurs posteriorly and proximal to Gerdy’s tubercle,
the insertion site of the iliotibial band, and is there-
fore classically thought to represent an avulsion frac-
ture of the lateral capsular ligament from its insertion
site on the lateral tibial plateau;
sagittal proton-density, fat-suppressed MR im-
age, shows “kissing contusions” typical for an ACL
tear. Figure 2.17.4, the coronal T1-weighted MR
image in the same patient, shows the small avul-
sion fracture fragment characteristic of the Segond
fracture. In most cases, however, trabecular micro-
fracture or bone marrow edema is seen adjacent
to the ­ avulsion fracture (74). A medial Segond-
type ­ fracture, a similar avulsion fracture affecting
the medial tibial plateau, has been described and
is ­ associated with injury to the posterior cruciate
ligament.

How well did you know this?
1
Not at all
2
3
4
5
Perfectly
17
Q

54yr old man with pain in the left shoulder.

A

An axial gradient-recalled echo im-
age of the left shoulder shows a well-corticated
triangular bony structure in the region of the ac-
romion (Fig. 2.18.1, arrows). Proton-density and
T2-weighted, coronal, oblique MR images of the
shoulder show hypertrophic changes that involve
the acromioclavicular joint, causing impingement
and increased signal intensity within the distal
aspect of the supraspinatus tendon, indicative of
­ tendinosis

Os Acromiale

An os acromiale is a persistent sepa-
rate ossification center for the acromion that is as-
sociated with rotator cuff tendon impingement and
tearing.
The os acromiale (Fig. 2.18.3, axillary radiograph,
arrow), with its smooth sclerotic margins, can be
easily distinguished from an acute acromial fracture
(Fig. 2.18.4, anteroposterior radiograph, arrows)
since an acute fracture has no sclerosis around the
fragment.

How well did you know this?
1
Not at all
2
3
4
5
Perfectly
18
Q

An anteroposterior radiograph was obtained for an 81-year-old man who fell. He entered the
emergency room with his arm locked in an abducted position high above his head.

A

The right humeral head is dislocated infe-
riorly at the glenohumeral joint. The superior aspect
of the humeral head does not contact the inferior
aspect of the glenoid rim, and the arm is held over
the patient’s head in a fixed position.

Luxatio erecta

With luxatio erecta, the inferior joint capsule is
almost always torn. There may also be associated fractures of the greater tuberosity, acromion, clav-
icle, coracoid process, and glenoid. The most seri-
ous complications are injuries to the brachial plexus
and axillary artery.

How well did you know this?
1
Not at all
2
3
4
5
Perfectly
19
Q

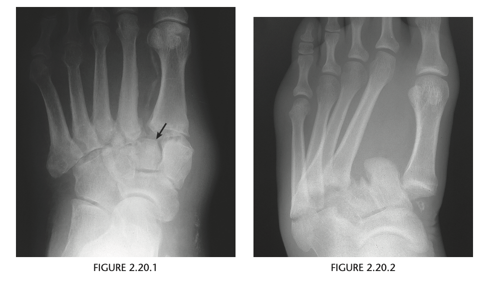
A 65-year-old woman with insulin-dependent diabetes and recent swelling of the left foot

A

Anteroposterior view of the left foot
(Fig. 2.20.1) demonstrates vascular calcification,
soft-tissue swelling, lateral subluxation of the sec-
ond through the fifth metatarsals in relation to the
cuneiforms, and early destructive changes at the
tarsal-metatarsal joints. Notice the disruption of
the normal parallel alignment of the medial aspect
of the second cuneiform with the medial aspect of
the second metatarsal base (arrow).

Lisfranc fracture-dislocation, homolat-
eral type

On imaging, the Lisfranc
fracture-dislocation is seen as dorsal and lateral dis-
location of the metatarsal bases in relation to the cu-
neiforms. It is the most common dislocation in the
foot.
There are two distinct forms of the Lisfranc
fracture-dislocation: homolateral and divergent. In
the homolateral type, all metatarsals are dislocated
laterally in relation to the cuneiforms.
In the divergent type, there is lateral displacement of
the second through the fifth metatarsals and medial
or dorsal shift of the first metatarsal.

The characteristic radio-
graphic changes include soft-tissue swelling, vascular
calcification, bone destruction and fragmentation,
multiple fractures, and soft-tissue ossific debris from
the destructive changes

MR imaging can be useful in detecting bone marrow
edema, subcutaneous abscess, and sinus tracts

How well did you know this?
1
Not at all
2
3
4
5
Perfectly
20
Q

A 21-year-old man with a prior puncture wound to the leg

A

Radiographs of the right tibia and fib-
ula (Figs. 2.21.1 and 2.21.2) show a vague, irregu-
lar linear radiolucency within an area of sclerosis
in the distal third of the tibia (arrowheads). Coronal
T1-weighted MRI of the tibia reveals a serpiginous
region of decreased marrow signal extending over
several centimeters (Fig. 2.21.3, arrows) and a de-
fect in the lateral tibial cortex (curved arrow). Axial
T2-weighted MRI through the same region demon-
strates a bony sequestrum (Fig. 2.21.4, arrowhead)
and increased signal intensity (i.e., marrow edema)
within the tibia. A sinus tract extends through the
lateral aspect of the posterior tibia (white arrow) to
the skin surface anteriorly (black arrow), with edem-
atous changes in the subcutaneous tissues.

Chronic osteomyelitis with a draining
sinus tract

In acute
osteomyelitis, the earliest radiographic sign is ob-
scuration of the normal fat planes as a result of soft-
tissue swelling. Bony changes usually do not appear
until 1 to 2 weeks after the onset of the infection.
Osteomyelitis typically affects the epiphysis in in-
fants and adults and the metaphysis in children and
is multifocal in neonates. The MRI features of acute
osteomyelitis include areas of diminished signal in-
tensity on short TE images within the normally high.
signal intensity of the fatty bone marrow. Long TE
images with fat-suppression or inversion-recovery
images usually show areas of increased signal inten-
sity in muscle, cortical bone, and periosteum that
are not well demonstrated on short TE sequences.
T1-weighted fat-suppressed, gadolinium-enhanced
images increase sensitivity and specificity in the di-
agnosis of infection.

The radio-
graphic findings of chronic osteomyelitis include
prominent cortical thickening and a mixed pattern
of osteosclerosis and osteolysis. Signs suggesting re-
activation of infection include the development of
new, ill-defined areas of osteolysis; thin, linear peri-
ostitis; or the presence of a sequestrum and draining
sinus tract.
An unusual complication of a long-standing
draining sinus tract in chronic osteomyelitis is squa-
mous cell carcinoma.

How well did you know this?
1
Not at all
2
3
4
5
Perfectly
21
Q

Two 50-year-old patients who complained of joint pain

A

Anteroposterior view of the right foot
of the first patient shows soft-tissue swelling, ex-
tensive periarticular erosions with sclerotic borders,
overhanging edges in the first metatarsophalan-
geal joint, and preservation of the articular space
(Fig. 2.22.1, arrows). A lateral view of the right el-
bow in a different patient reveals marked soft-tissue
swelling and a faint radiopacity in the region of
the olecranon bursa. Minimal erosive changes are
present in the posterior surface of the olecranon
(Fig. 2.22.2, arrow).

Gout

The most common findings are punched-
out erosions with sclerotic borders and overhanging
cortical margins, referred to as overhanging edges or
margins. The erosions may be intraarticular, periar-
ticular, or located some distance from the joint. Soft-
tissue tophi, producing masses adjacent to the areas
of bony erosion, may occasionally contain faint
calcification within them. Generally, the articular
space is preserved, and periarticular osteopenia is
minimal. The olecranon bursa is the most common
site of gouty bursal involvement.

How well did you know this?
1
Not at all
2
3
4
5
Perfectly
22
Q

A 23-year-old patient with a chronic disease

A

Anteroposterior view of the hands of a
patient with chronic renal failure shows subperi-
osteal resorption along the radial aspect of the
middle phalanges of the index and middle fingers
(Fig. 2.23.1, arrows). There are vascular clips from
a graft at the radial aspect of the right wrist (arrow-
heads). A lateral view of the skull in the same patient
(Fig. 2.23.2) shows a salt-and-pepper appearance.

Secondary hyperparathyroidism (HPT)

HPT is a general term referring to an
increased serum level of parathyroid hormone. Pri-
mary HPT results from an intrinsic abnormality in
the parathyroid gland (e.g., an adenoma, hyperpla-
sia, carcinoma). Secondary HPT is caused by a dif-
fuse, adenomatous hyperplasia, and tertiary HPT
develops from an autonomous parathyroid ade-
noma caused by the chronic overstimulation of hy-
perplastic glands in renal insufficiency.
Bone resorption along the radial aspect of
the middle phalanges of the hand (especially of the
second and third digits) is considered diagnostic of
this disorder.
Bone softening may lead to
basilar invagination, wedged vertebrae, bowing of long bones, and slipped capital femoral epiphyses.
Brown tumors, which are lytic, expansile lesions
that may mimic metastases or myeloma, occur in
the jaw, rib, and pelvis and are more commonly
seen in primary HPT. Osteosclerosis, more com-
monly seen in secondary HPT, is characterized by
bandlike sclerosis on the superior and inferior sur-
faces of the vertebral body (i.e., rugger-jersey spine;
Fig. 2.23.4). Soft-­ tissue calcifications can occur in
the viscera, cornea, periarticular regions, and hya-
line or fibrocartilage, causing chondrocalcinosis

How well did you know this?
1
Not at all
2
3
4
5
Perfectly
23
Q

Four elderly patients with pain

A

An anteroposterior view of the pelvis
(Fig. 2.24.1) in an elderly man shows extensive thick-
ening of the right iliopectineal line (arrows) with
coarsening of the trabecular pattern and increased
sclerosis throughout the entire right hemipelvis.

Paget disease (i.e., osteitis deformans)

disordered bone
remodeling affecting osteoblastic and osteoclastic
activity. Osseous involvement may be monostotic
or polyostotic, and 80% of the patients are asymp-
tomatic at the time of the discovery of the disease,
usually as an incidental finding on radiography or
because of elevated serum alkaline phosphatase and
elevated serum and urinary hydroxyproline.

stage I (acute phase), active and unbalanced osteo-
clastic bone resorption usually causes areas of lytic
bone destruction. In stage II (intermediate phase),
increased osteoblastic activity results in thickening of the cortex, coarsening of the trabecular pattern,
generalized bone overgrowth, and loss of corticome-
dullary differentiation. In stage III (late or inactive
phase), there is a diffuse increase in the density of
involved bone. Stage IV is the superimposed malig-
nant degeneration of Paget disease into a osteosarcoma.

radiographic findings in the acute phase are
osteoporosis circumscripta, in which an advancing
lytic area is seen in the frontal or occipital regions of
the skull, and subarticular osteolysis in the diaphy-
ses of the tubular bones, especially the tibia, yield-
ing a flame-shaped or “blade-of-grass” appearance
(Fig. 2.24.2). In the intermediate stage, there may
be bowing of the long bones, an “ivory” or “pic-
ture frame” vertebral body (Fig. 2.24.3), and more
extensive calvarial osteosclerosis superimposed on
a background of osteolysis, resulting in the cotton-
wool appearance of the skull.
In the long bones of the lower extremity, corti-
cal thickening, increased trabecular coarseness, and
bowing can be seen (Fig. 2.24.5), and CT can confirm
these findings (Fig. 2.24.6).

MRI can be used to detect malignant sarcomatous de-
generation by showing new bone destruction, soft-
tissue masses, and bone and soft-tissue edema.

How well did you know this?
1
Not at all
2
3
4
5
Perfectly
24
A 20-year-old woman with generalized bone pain
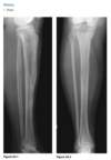
An anteroposterior view of the left hand demonstrates wavy hyperostosis involving the peri- osteal and endosteal surfaces of the middle-, ring-, and little-finger metacarpals and the phalanges in each finger. These are distributed along the sensory distribution of the ulnar nerve. Shortening of the ulna is also seen in this view (Fig. 2.25.1). Antero- posterior views of the left foot and of the right tibia and fibula demonstrate similar involvement of the bony structures of the lower extremity. Hyperosto- sis, deformity, and enlargement of the tarsal and metatarsal bones are most marked in the medial ray (Figs. 2.25.2 and 2.25.3). Melorheostosis The bones of the lower extremities are most commonly involved, and the condition usu- ally involves multiple bones in the same extremity or ray. Distribution normally corresponds to dermal sclerotomes. areas of undulating hyperostosis adjacent to the intramedullary cortical regions that extend along the length of a bone. This appearance has been likened to candle wax dripping down the side of a candle (Fig. 2.25.1). These undulating areas of subcortical marrow excrescence may involve only one side of the tubular bones in the upper or lower extremity or may extend distally to involve the car- pal and tarsal bones or the metacarpals, metatar- sals, and phalanges
25
A 41-year-old man with knee pain
Coronal, proton-density, fat-suppressed MRI (Fig. 2.26.1) shows high signal intensity in the medial meniscus communicating with an articular surface (i.e., medial meniscal tear) and a high-­ signal- intensity mass adjacent to the medial meniscus. Medial meniscal cyst menis- cal cysts are formed by passage of synovial fluid through a meniscal tear into adjacent tissue after meniscal trauma or degeneration. Radiographs may demonstrate smooth extrinsic bony erosion in the tibial plateau without periosteal reaction or a focal noncalcified soft-tissue mass at or adjacent to the joint line (106). MRI most clearly defines the cysts and any associated meniscal abnor- malities. Classic MR findings include a nonaggressive, high-signal-intensity, unilocular, or multilocular mass of variable size in the parameniscal tissues. Lat- eral meniscal cysts are often confined by soft-tissue planes and are therefore usually small, close to the joint line, and more often symptomatic. Me- dial meniscal cysts are less confined by the soft tis- sues and capsule and are usually larger and extend farther away from the joint, remaining attached to the meniscus by a stalk. These medial meniscal cysts can extend posteriorly into the popliteal fossa and mimic a popliteal cyst clinically and radiographi- cally. Meniscal cysts generally follow fluid signal on all MR sequences. However, there have been reports of meniscal cysts with components that are seen as high signal intensity on T1-weighted MRI, possibly owing to hemorrhage.
26
No history - hand pain
Anteroposterior and oblique views of the right hand (Figs. 2.27.1 and 2.27.2) show multiple metacarpal and phalangeal lesions with chondroid matrix, representing enchondromas and numer- ous hand and finger soft-tissue masses containing phleboliths. Maffucci syndrome (i.e., multiple en- chondromatosis with soft-tissue hemangiomas) transformation of enchondromas into chon- drosarcoma in patients with Maffucci syndrome.
27
A 76-year-old woman with hand pain
Radiographs show the left (Fig. 2.28.1) and right (Fig. 2.28.2) hands of an elderly woman with intermittent bilateral hand pain. Erosive OA inflammatory form of os- teoarthritis that occurs in postmenopausal women and is usually limited to the hands. distal interphalangeal and the first carpometacar- pal joint involvement seen in EOA is uncommon in RA.
28
A 34-year-old man with sudden onset of calf pain during a tennis match
Sagittal fat-suppressed proton-density MRI of the lower calf (Fig. 2.29.1) demonstrates increased signal intensity at the musculotendinous junction of the Achilles tendon (arrows). An axial fat-suppressed proton-density image through this area reveals a mass of increased signal intensity in the expected location of the Achilles tendon (Fig. 2.29.2, arrow) Achilles tendon tear, full thickness Radiographs may support the clinical diagnosis by showing marked soft-tissue swelling behind the distal tibia and ankle and obliteration of the pre-Achilles fat pad. Ultrasonography can reliably show the degree of tendon injury. MRI features of a partial tear of the Achilles tendon in- clude tendon enlargement, discontinuity of some of the tendon fibers, intratendinous areas of increased signal intensity on T2-weighted or ­ inversion-recovery sequences, and surrounding soft-tissue edema. In the complete Achilles ten- don rupture, an intratendinous gap is present and is generally filled with high-signal-intensity blood and edema.
29
A 75-year-old man with history of bilateral total hip replacement and worsening hip pain
AP radiograph of the pelvis (Fig. 2.30.1) demonstrates an unusually vertical orientation of the acetabular component on the left. Additionally, the bones of the left hemipelvis are enlarged and have coarsened trabeculae. An axial CT through the left hip (Fig. 2.30.2) confirms rotation of the acetab- ular component and the coarsened bone trabeculae. Loose total hip replacement, Paget disease the left acetabular opening is more vertically oriented than the normal 30- to 50-degree angle rel- ative to a horizontal line drawn through the ischial tuberosities. signs of loosening, which include widening of the lucent zone at the cement-bone or prosthesis-bone interface >2 mm (present surrounding the inferome- dial aspect of the acetabular component in this case), migration of the components (present in this case), cement fracture, periosteal new bone formation, and gross osteolysis involving the surrounding bone.
30
Young adult with right posterior knee pain
US transverse and longitudinal of the right knee shows an anechoic lesion between the medial head of gastrocnemius and semimembranosus muscles without flow. Axial and coronal T2 fat sat confirms a T2 high signal lesion between the medial head of gastrocnemius and semimembranosus muscles Bakers cyst
31
68yr old woman with diffuse bone pain
32
23yr old man with arm pain, swelling and fevers
33
Newborn with hyper irritability
34
43yr old woman with back pain
35
41yr old woman with a 3yr history of worsening back and hip pain with morning stiffness
36
54yr old woman with stiffness and pain in her hands and feet
37
71yr old woman with a Hx of longstanding bilateral hand and finger pain
38
72yr old man with several year Hx of foot pain that is most pronounced in the great toe
39
23 yr old man with shoulder pain
40
50yr old man with back pain
41
Child with facial abnormalities
42
16yr old girl with wrist pain and weakness
43
5yr old girl with heel pain
44
52yr old woman with chronic shoulder pain
44
49yo woman with chronic bilateral hand pain and ulcerations
45
56yr old woman with recurrent fractures
46
71yr old man with shoulder pain and swelling
47
16yr old girl with a chest wall mass
48
Patient with chronic back pain
49
60yr old woman with back pain
50
60 yr old woman with palpable mass anterior to the elbow
51
40yr old man with pain and swelling of the wrist
52
40yr old woman with hip pain
53
72yr old woman with acute back pain
54
A young man with knee pain
55
56
57
58
59
60
61
61
62
63
63
63
64
64
64
65
65
66
66
67
68
69
70
71
72
72
73
73
73
74
75
76
76
77
78
79
80
81
82
83
84
85
86
87
88
89
90
91
92
93
94
95
95
96
97
98
99
99
100
101
102
103
104
105
106
107
108
109
110
111
112
113
113
114
115
116
117
118
119
120
121
122
123
124
125
126
127
128
129
130
131
132
133
134
135
136
136
137
138
139
140
141
142
142
143
144
145
146
147
148
149
150
151
152
153
153
154
155
156
157
158
158
159
160
161
162
163
164
165
166
167
167
167
168
169
170
171
171
172
172
172
172
173
174
174
175
176
177
178
179
179
180
181
182
183
184
185
186
186
187
188
189
190
191
191
192
193
Tc99m MDP bone scan Osteoid osteoma Bone scan demonstrates a double density sign, with a focal region of intense uptake, superimposed on a larger area of generalised increase activity.
194
Tc99m MDP bone scan Metastatic prostate cancer Multiple areas of hyperactivity mainly in axial skeleton (metastases) in a patient with known prostate cancer.
195
Tc99m MDP bone scan Renal osteodystrophy Anterior and posterior planar images from a Tc-99m MDP whole body bone scan demonstrate diffusely increased radiotracer uptake throughout the axial and appendicular skeleton. Especially intense activity is noted in the mandible and maxilla. There is absent renal and bladder activity.
196
Tc99m MDP bone scan Calcaneal stress fracture Intense increased uptake in the left calcaneum
197
Tc99m MDP bone scan Hypertrophic osteoarthropathy Whole body bone scan demonstrates symmetric increase uptake in the diaphyses and metaphyses of the tubular bones of the appendicular skeleton along the cortical margin, matching the findings on X-ray and CT.
198
Tc99m MDP bone scan Breast cancer skeletal metastases Delayed planar whole body planar and spot views demonstrate multiple foci of increased tracer accumulation in the axial and proximal appendicular skeleton. Lesions are most numerous in the pelvis, with the most intense lesions seen in bilateral posterior iliac bones and the left iliac crest.
199
Tc99m MDP bone scan Paget disease of the tibia Diffuse uptake in expanded left tibia, commences from proximal articular surface. No abnormal focal uptake to indicate metastatic disease. Degenerative pattern of uptake in spine, shoulders and left first MTP joint.
200
Tc99m MDP bone scan Vertebral compression fracture On the early phase blood pool image, there is minor focal hyperaemia in the right lower thoracic spine, seen best on the posterior image. On planar delayed phase imaging, there is focally increased tracer accumulation in the lateral aspects of the T11 vertebral body. There is also incidental intense periarticular uptake in the medial compartments of both knees (right greater than left).
201
Tc99m MDP bone scan Osteomyelitis On early phase imaging, there is increased blood flow to the left leg, with particular hyperaemia in the region of the distal femoral metaphysis. On delayed phase imaging, there is intense tracer accumulation in the corresponding left distal femoral metaphysis, most marked anteromedially. The left distal femoral physis also demonstrates more intense tracer accumulation compared to the left. Tracer distribution elsewhere is physiological only.