What joint does the tibia articulate with proximally?
What joint does the tibia articulate with distally?
Proximally - Knee
Distal - Ankle
What is the main function of the tibia?
It is a weight bearing structure
What is the tibia widened by at the proximal end? (Bony Landmarks)
What do these bony landmarks aid in?
Medial and Lateral condyles
Aid in Weight Bearing
The condyles form a flat surface known as what?
What does this articulate with to form what?
The Tibeal Plateau
Articulates with the femoral condyles to form the knee joint
What is the region between the condyles called?
What does it consist of?
What attaches here?
Intercondylar Emimance
Two tubercles and a roughened area
Site of attachment for the ligaments and the menisci of the knee joint

The tibial intercondylar tubercles fit into what on the femur?
Intercondylar Fossa
What is on the anterior surface of the proximal tibia, inferior to the condyles?
What attaches here?
Tibial Tuberosity
Patella Ligament

How many borders and surfaces of the tibia are there?
Which ones are clinically important?
Three borders and Three surfaces; anterior, posterior and lateral
Anterior border, Posterior surface, Lateral border
What is the start of the anterior border marked by?
The Tibeal Tuberosity
What is susceptible to damage down the anterior surface of the leg (known as the shin)?
How does it present clinically?
Periosteal covering of the tibia
Presents clinically as bruising
What is the posterior surface of the tibia marked by?
A ridge of bone called the soleal line
Where does the soleal line run and what does it eventually blend in with?
What muscle originates here?
Runs inferiomedially, eventually blending in with medial border with the tibia
Part of the soleus muscle

What is the lateral border also known as?
What attaches here?
The interosseous border
Attachment to the interosseous membrane that binds the tibia and the fibula together
What happens at the distal end of the tibia that also happens at the proximal end?
What does this help with?
It widens
Helps with weight bearing
What is the name given to the bony projection that continues inferiorly on the medial side?
What does it articulate with and to form what?
The Medial Malleolus
Articulates with the tarsel bones to form the ankle joint

Where is the groove for the tibialis anterior muscle attachment located?
Posterior surface of the tibia
Laterally on the distal end is a notch. What is it known as and what is bound here?
Known as the fibular notch
Tibia and Fibula are bound
How common are fractures of the tibia?
What age groups are most likely to suffer from a fracture of the tibia?
Common
Middle Aged and Elderly
If the fibula is not fractured, what effect does this have on the displacement of the tibial fragments?
Minimal displacement
What end of the tibia is most likely to fracture?
What sort of injury is likely to cause this fracture?
What bony landmarks are prone to fracturing?
Proximal end
Trauma (eg car crash)
The condyles but it would not be unusual for there to be damage to knee ligaments
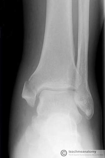
What has happened here?
How is it caused?

Medial Malleolus fracture
Caused by ankle twisting inwards (overinversion), the talus of the foot is forced against the medial malleolus, causing a spiral fracture