Multimidia Flashcards

(34 cards)

1
Q
A

Calázio (nodulo cronificado pos hordéolo).
INDOLOR

How well did you know this?
1
Not at all
2
3
4
5
Perfectly
2
Q
A

Hórdeolo (agudo, infeccionado sthaphylo)

How well did you know this?
1
Not at all
2
3
4
5
Perfectly
3
Q
A

Dacriocistite (infecção do saco lacrimal)

TX: atb sistemico e cirurgico dps com dacriocistorrinostomia

How well did you know this?
1
Not at all
2
3
4
5
Perfectly
4
Q

Lesão circunscrite pigmentada, subrretiniana, baixa refletividade. Dx e principal sitio metastas?

A
  • Melanoma Uveal
  • Figado
How well did you know this?
1
Not at all
2
3
4
5
Perfectly
5
Q
A

Halo senil

How well did you know this?
1
Not at all
2
3
4
5
Perfectly
6
Q

Qual padrão nesse ECG?

A

Padrão Wellens tipo b (inversão onda T profunda em V2 e V3)

-» muito alto risco, oclusão proximal de DA

How well did you know this?
1
Not at all
2
3
4
5
Perfectly
7
Q
A

RIVA pos trombolise

How well did you know this?
1
Not at all
2
3
4
5
Perfectly
8
Q
A

1- ureter
2- veia iliaca comum
3- arteria iliaca externa
4- nervo obturatorio

How well did you know this?
1
Not at all
2
3
4
5
Perfectly
9
Q

Qual estágio do CIUR?

A

Estagio 5 (diastole/onda A reversa de ducto venoso)

How well did you know this?
1
Not at all
2
3
4
5
Perfectly
10
Q

Paciente com diarreia cronica e esse achado dermatologico?

A

Dermatite herpetiforme em celiaco

How well did you know this?
1
Not at all
2
3
4
5
Perfectly
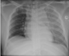
11
Q
A

abscesso cervical e mediastinite

How well did you know this?
1
Not at all
2
3
4
5
Perfectly
12
Q
A

Sd Wellens tipo A (padrão Bifasico / plus minus)

How well did you know this?
1
Not at all
2
3
4
5
Perfectly
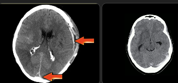
13
Q
A

Sinal do Delta Vazio (trombose venosa cerebral).

ANTICOAGULEEEE, ainda que se sangrar com intraparenquimatosa

How well did you know this?
1
Not at all
2
3
4
5
Perfectly
14
Q
A

Padrão circunferencial (INFRA ST DIIFUSO + SUPRAST ISOLADO EM AVTR) => Tronco de coronaria esquerda

How well did you know this?
1
Not at all
2
3
4
5
Perfectly
15
Q
A

Herpes neonatal

How well did you know this?
1
Not at all
2
3
4
5
Perfectly
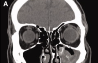
17
Q

Material hiperdenso em seio maxilar, com calcificações lineares de permeio

18
Q
A

Angina de ludwig

19
Q

achado e conduta?

A

areas de epitelio acetobranco e lugol negativo -> CAF no mesmo momento da colposcopia (ver e tratar)

20
Q
A

volvo do intestino medio / ma rotaçao intestinal -> CXXXX

21
Q
A

classificação em pipoca, birads 2

22
Q

Pct em QT para LLA, anurico. Qual achado e qual disturbio Hidroeletrolitico associado?

A
  • Prolongamento do QT (distancia QT / RAIZ DE RR);
  • pensar em HIPOCALCEMIA.

Paciente anurica, pensar em lise tumoral:
4,5 hiperfosfatemia
6 HiperK
7HipoCalcemia
8 Hiperuricemia

23
Q
A

osteocondroma! benigno

24
Q

Homem jovem

Dor noturna que melhora com AAS

Nidus radioluscente + esclerose periférica

Diagnóstico por imagem (TC)

Tratamento: ablação por radiofrequência

A

Osteoma osteoide

25
Angioqueratomas, hipoidrose de maos, sintomas TGI, acroparestesias e ANGIOQUERATOMAS (IMAGME). Dx é SD de?
Sd Fabry
26
Sindrome da Embolia Gordurosa
27
Lactente 8 meses, ivas previo, taquicardico, estertores crepitantes bilaterais e hepatoesplenomegalia.
Miocardite levando a insuficiencia cardiaca
28
Eritema necrolitico migratorio associado ao glucagonoma
29
Lesão de Dieulafoy (arteria submucosa aberrante)
30
trauma
ruptura traumatica de aorta
31
Histopato do coração, paciente com clinica de IAM FULMINANTE. O que vemos nessa imagem?
Sinais de infarto antigo, apenas
32
RETALHO DE AVANÇO/TRANSPOSIÇÃO pois leito avascular (sem periosteo); Caso acha cruentar, pode fazer enxertia complementar. Obs.: Enxerto seria primeira opção
33
Ulcera com centro necrotico, alo hiperemiado, EXTREMAMENTE DOLOROSA, terço distal da perna. Pulsos arteriais presentes. Qual dx?
Ulcera hipertensiva (Martorell)
34
achado e doença?
linfoadenopatia peri-hilar (pensar em sarcoidose + TB)