Multiple Sclerosis Flashcards

(31 cards)

1
Q

what is multiple sclerosis?

A

chronic cell-mediated autoimmune disorder characterised by demyelination in the CNS

How well did you know this?
1
Not at all
2
3
4
5
Perfectly
2
Q

what is the pathophysiology of multiple sclerosis?

A
  • CD4-mediated destruction of oligodendroglial cells
  • humoral response to myelin binding proteins
How well did you know this?
1
Not at all
2
3
4
5
Perfectly
3
Q

what is the pathological hallmark of multiple sclerosis?

A

plaques of demyelination and eventual axonal loss

How well did you know this?
1
Not at all
2
3
4
5
Perfectly
4
Q

what is the aetiology of multiple sclerosis?

A
  • female
  • age ~30
  • genetic - HLA DRB1
  • environmental - vitamin D
How well did you know this?
1
Not at all
2
3
4
5
Perfectly
5
Q

what are the 2 groups of MS?

A
  • relapsing-remitting - which may become secondarily progressive (80%)
  • primary progressive (10%)
How well did you know this?
1
Not at all
2
3
4
5
Perfectly
6
Q

what is relapsing-remitting disease in MS?

A
  • most common form (~80%)
  • acute attaches (e.g. lasts 1-2 months) followed by periods of remission
How well did you know this?
1
Not at all
2
3
4
5
Perfectly
7
Q

what is secondary progressive disease in MS?

A
  • describes relapsing-remitting patients who have deteriorated and have developed neurological signs and symptoms between relapses
  • ~65% of relapsing-remitting progress to secondary progressive within 15 years of diagnosis
  • gait and bladder disorders are generally seen
How well did you know this?
1
Not at all
2
3
4
5
Perfectly
8
Q

what is primary progressive disease in MS?

A
  • accounts for 10% of patients
  • progressive deterioration from onset
  • more common in older people
How well did you know this?
1
Not at all
2
3
4
5
Perfectly
9
Q

what is the typical presentation of MS?

A
  • sensory disease (patchy paraesthesia)
  • optic neuritis
  • internuclear ophthalmoplegia
  • subacute cerebellar ataxia
  • spastic paraparesis
  • fatigue
  • urinary incontinence
How well did you know this?
1
Not at all
2
3
4
5
Perfectly
10
Q

how does optic neuritis present?

A
  • unilateral decrease in visual acuity over hours or days
  • poor discrimation of colours (‘red desaturation’)
  • pain worse on eye movement
  • relative afferent pupillary defect
  • central scotoma
How well did you know this?
1
Not at all
2
3
4
5
Perfectly
11
Q

what is internuclear ophthalmoplegia?

A

lesion in the medial longitudinal fasciculus (communication between the 6th nerve and 3rd nerve nucleus) of the brainstem

How well did you know this?
1
Not at all
2
3
4
5
Perfectly
12
Q

how is MS diagnosed?

A

at least two of:
* clinical history/examination
* imaging findings
* oligoclonal bands in the CSF

How well did you know this?
1
Not at all
2
3
4
5
Perfectly
13
Q

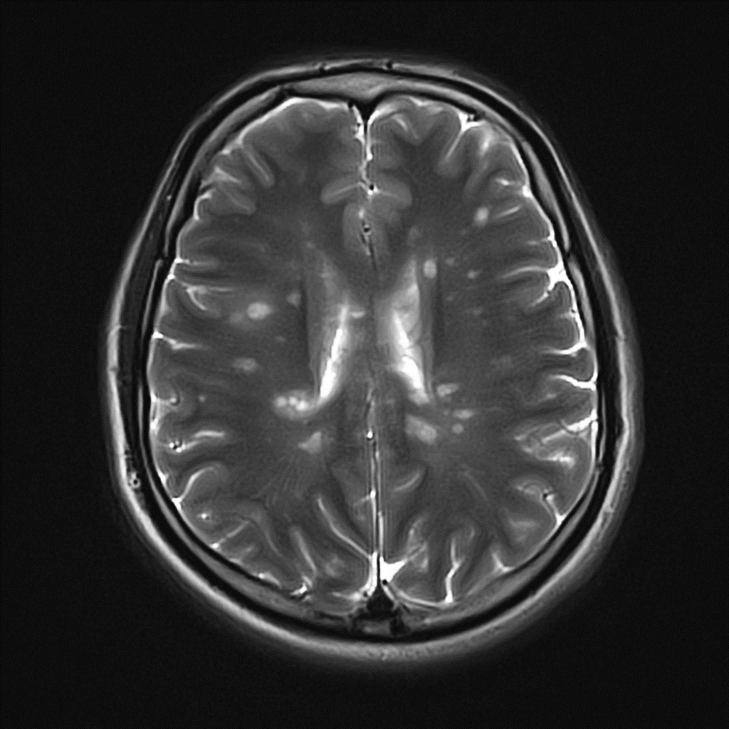
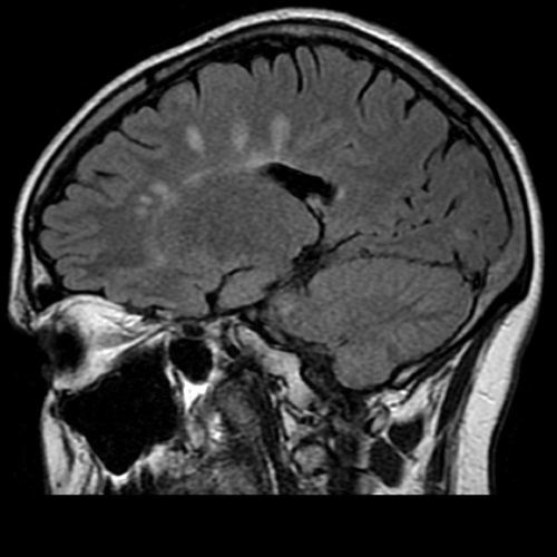
what are the typical imaging findings in MS?

A

periventricular white matter lesions seen on MRI (T2)

How well did you know this?
1
Not at all
2
3
4
5
Perfectly
14
Q

what are dawson fingers?

A
  • radiological sign in MS
  • seen on FLAIR images
  • hyperintense lesions penpendicular to the corpus callosum
How well did you know this?
1
Not at all
2
3
4
5
Perfectly
15
Q

what are oligoclonal bands?

A
  • distinct bands of immunoglobulin (Ig) G on westeron blot
  • reflect various immunoglobulins seen on CSF electrophoresis and indicate the presence of an autoimmune process in the CNS
How well did you know this?
1
Not at all
2
3
4
5
Perfectly
16
Q

what factors are associated with worse prognosis in MS?

A
  • older
  • male
  • motor signs at onset
  • early relaspses
  • many MRI lesions
  • axonal loss
17
Q

what is the management for an acute attack of MS?

A

1g of IV methylprednisolone every 24hours for 3 days

reduces the duration and severity of the individual attacks

18
Q

what is given in a severe acute attack of MS that does not respond to glucocorticoids?

A

plasma exchange

19
Q

what are the two groups of drugs used in the long-term management of relapsing-remitting MS?

A
  • disease-modifying therapies
  • symptomatic therapies
20
Q

name some examples of injectable medications used in MS?

A
  • beta-interferon
  • glatiramer

increasingly effective = increasingly significant side-effects

21
Q

name some examples of oral disease modifying agents in MS?

A
  • dimethyl fumarate
  • teriflunomide
  • fingolimod
22
Q

name some examples of biologics used in MS?

A
  • natalizumab
  • alemtuzumab
23
Q

what are the management options for spasticity?

A
  • baclofen
  • botox
24
Q

what are the management options for fatigue?

A
  • modafinil
  • exercise therapy
25
what are the management options for bladder dysfunction?
anticholinergics
26
what are the management options for depression?
SSRIs
27
what are the management options for erectile dysfunction?
sildenafil
28
what are the management options for tremor?
clonazepam
29
what is the management for optic neuritis?
* high dose steroids * recovery usually takes 4-6 weeks
30
what is lhermitte's syndrome?
paraesthesiae in limbs on neck flexion | indicates disease near the dorsal column nuclei of the cervical cord
31
what is uhthoff's phenomenon?
* neurological symptoms are exacerbated by increases in body temperature * associated with **multiple sclerosis** | patient report symtpoms following exercise or hot showers/baths