Multiple Sclerosis Flashcards

(55 cards)

1
Q

Multiple sclerosis, whose name is based on multiple sclerae (multiple glial scars which is what is formed when glial cells (astrocytes) try to repair damaged neurons) is a demyelinating disease. Does this disease affect the CNS or PNS?

A
  • affects CNS, so the brain and spine
  • does not affect the PNS
How well did you know this?
1
Not at all
2
3
4
5
Perfectly
2
Q

What is the prevalence of multiple sclerosis?

1 - 5-30 / 100,000
2 - 50-300 / 100,000
3 - 500-3000 / 100,000

A

2 - 50-300 / 100,000

How well did you know this?
1
Not at all
2
3
4
5
Perfectly
3
Q

Multiple sclerosis is a common neurological disease that is an immune based disorder. Is it more common in males or females?

A
  • females 3:1 ratio
  • common in western world, which is why the link to vitamin D has been made
How well did you know this?
1
Not at all
2
3
4
5
Perfectly
4
Q

What is the most common demyelinating disease?

1 - Charcot-Marie-Tooth Disease (CMT)
2 - Guillain-Barre Syndrome (GBS)
3 - HTLV-I Associated Myelopathy (HAM)
4 - Multiple Sclerosis (MS)

A

4 - Multiple Sclerosis (MS)

How well did you know this?
1
Not at all
2
3
4
5
Perfectly
5
Q

What is the mean age at onset?

1 - 16y/o
2 - 24y/o
3 - 30y/o
4 - 40y/o

A

3 - 30y/o

Not common in >50y/o

How well did you know this?
1
Not at all
2
3
4
5
Perfectly
6
Q

Although there are a myriad of symptoms that patients with multiple sclerosis can present with, what are the most common patterns of disease?

1 - optic neuritis (vision loss, neuritis)
2 - cerebellar (balance, tremor, co-ordination)
3 - spinal cord (muscle weakness, spasticity, bladder/bowel dysfunction)
4 - all of the above

A

4 - all of the above

Optic neuritis is often the 1st sign

How well did you know this?
1
Not at all
2
3
4
5
Perfectly
7
Q

Charcots neurological triad is often present in patients with multiple sclerosis. Which of the following is NOT part of the triad?

1 - dysarthria
2 - intention tremor
3 - nystagmus
4 - vertigo

A

4 - vertigo

  • dysarthria = includes difficulty speaking, eating, swallowing,
How well did you know this?
1
Not at all
2
3
4
5
Perfectly
8
Q

Although the specific cause of multiple sclerosis is unknown, which of the following are common risk factors that have been linked?

1 - genetics (aprox 30%)
2 - lifestyle (obesity, smoking)
3 - environment (sun/vit D exposure)
4 - all of the above

A

4 - all of the above

How well did you know this?
1
Not at all
2
3
4
5
Perfectly
9
Q

Which of the following viruses has been strongly linked with multiple sclerosis?

1 - Epstein-Barr virus (EBV)
2 - Human immunodeficiency virus (HIV)
3 - Hepatitis A
4 - Cytomegalovirus (CMV)

A

1 - Epstein-Barr virus (EBV)
- causes Infectious mononucleosis, more commonly known as mono

  • been suggested to be a trigger for MS as most people with MS have had it, but no direct link
How well did you know this?
1
Not at all
2
3
4
5
Perfectly
10
Q

Epstein-Barr virus (EBV) has been strongly linked with multiple sclerosis, and can cause infectious mononucleosis, more commonly known as mono. Which of the following is NOT a typical sign of mono?

1 - fever
2 - pharyngitis
3 - hepatitis
4 - lymphadenopathy

A

3 - hepatitis

How well did you know this?
1
Not at all
2
3
4
5
Perfectly
11
Q

The diagnosis of multiple sclerosis is typically clinical, but what scoring system is used to do this?

1 - Wells score
2 - Dukes score
3 - McDonald score
4 - MRC scale

A

3 - McDonald score
- imaging such as MRI can be useful

  • Wells score = risk of DVT
  • Dukes score = infective endocarditis
  • MRC scale = muscle strength score
How well did you know this?
1
Not at all
2
3
4
5
Perfectly
12
Q

Multiple sclerosis is an immune mediated demyelinating disease. What immune cell is able to cross the blood brain barrier and enter the brain, that generally would not be present?

1 - B cells
2 - dendritic cells
3 - T cells
4 - neutrophils

A

3 - T cells

  • once in they are activated by myelin
  • more T cell receptors on BBB and more T cells enter and attack myelin
How well did you know this?
1
Not at all
2
3
4
5
Perfectly
13
Q

Multiple sclerosis is an immune mediated demyelinating disease. What type of hypersensitivity is this disease?

1 - type I (IgE related)
2 - type II
3 - type III
4 - type IV

A

4 - type IV (4)

  • cell mediated/delayed so T cells stimulate inflammation
  • damage the myelin in CNS
How well did you know this?
1
Not at all
2
3
4
5
Perfectly
14
Q

Once the T cells have crossed the blood brain barrier (BBB) into the brain they are able to release what that causes the BBB to dilate and damage the oligodendrocytes?

1 - IL-1
2 - IL-6
3 - TNF-a
4 - IFN-y
5 - all of the above

A

5 - all of the above

  • B cells are recruited and produce antibodies against myelin
  • macrophages use antibodies and phagocytose oligodendrocytes
How well did you know this?
1
Not at all
2
3
4
5
Perfectly
15
Q

Multiple sclerosis is an immune mediated demyelinating disease. This is a type 4 hypersensitivity. Does this cause a continuous demyelination?

A
  • No
  • Periods of demyelination and remission
  • During remission neurons try to repair
  • Relapse when demyelination starts again
How well did you know this?
1
Not at all
2
3
4
5
Perfectly
16
Q

In a patient who has multiple sclerosis, and has not had any relapse of demyelination, then remyelination can occur. Is this remyelinate as good as the original demyelination?

A
  • no
  • not as good and can cause glial scars
  • can improve nerve signals, but never as good ad the demyelination
How well did you know this?
1
Not at all
2
3
4
5
Perfectly
17
Q

Which of the following is true about relapsing remitting disease in multiple sclerosis?

1 - demyelination occurs
2 - remyelination occurs during bouts of remission
3 - symptoms patients present with are linked with demyelination
4 - all of the above

A

4 - all of the above

  • the bouts between demyelination and remyelination can be months or years
How well did you know this?
1
Not at all
2
3
4
5
Perfectly
18
Q

In multiple sclerosis there are bouts of demyelination and remyelination. During remyelination, do patients return to where their original functional baseline?

A
  • no
  • always some residual decline
  • disability increases with each bout of demyelination
How well did you know this?
1
Not at all
2
3
4
5
Perfectly
19
Q

Clinically isolated syndrome, is when patients experience with a single and 1st multiple sclerosis like symptoms for the first time, BUT do not align with the McDonald criteria. Do these patients always go on to be diagnosed with multiple sclerosis?

A
  • no
How well did you know this?
1
Not at all
2
3
4
5
Perfectly
20
Q

Which of the following is NOT true about secondary progressive multiple sclerosis?

1 - demyelination is constant
2 - relapsing and remitting demyelination
3 - at a specific time point the disease continually develops and there is no remission
4 - disability continually increases

A

1 - demyelination is constant

How well did you know this?
1
Not at all
2
3
4
5
Perfectly
21
Q

What is primary progressive multiple sclerosis?

1 - following initial demyelination patient remains stable
2 - patient has mixture of relapsing remitting disease and secondary progressive multiple sclerosis
3 - patient has a continuation of demyelination

A

3 - patient has a continuation of demyelination

How well did you know this?
1
Not at all
2
3
4
5
Perfectly
22
Q

In the image below is a patients with multiple sclerosis sagittal scan from the brain. What are the white area in this image a sign of?

1 - myelinated areas
2 - neuronal cell bodies
3 - unmyelinated areas
4 - glial scars called sclerela

A

4 - glial scars called sclerela

How well did you know this?
1
Not at all
2
3
4
5
Perfectly
23
Q

In patients with optic neuritis, swelling and inflammation of the optic nerve can occur, what can patients experience?

1 - optic neuritis
2 - reduced vision
3 - reduced colour vision
4 - all of the above

A

4 - all of the above

Pain on eye movement is due to inflammation

24
Q

In patients with multiple sclerosis, optic neuritis is one of the most common symptoms. This can cause swelling and inflammation of the optic nerve causing reduced vision and colour loss and pain on eye movement (due to inflammation). Is this permanent?

A
  • No
  • affected during demyelination
  • typically returns following remission
25
Patients with multiple sclerosis can experience Lhermittes sign, what is this? 1 - inability to make hand signals with their hands 2 - pain felt in the upper limbs 3 - electric shock felt in back and limbs 4 - electric shock felt in upper limbs
3 - electric shock felt in back and limbs - felt when we bend out heads towards our chest - causes by lesion on the cervical region of the spinal cord
26
Multiple sclerosis can have a significant impact on a patients health and quality of life. What scale can be used to determine the level of disability and impact the disease has on their quality of life? 1 - MRC scale 2 - Expanded Disability Status Scale (EDSS) 3 - Disease Severity Scale (DSS) 4 - Modified Glasgow Scale
2 - Expanded Disability Status Scale (EDSS)
27
What is often the best imaging modality for diagnosing and monitoring treatment in patients with multiple sclerosis? 1 - ultrasound 2 - CT 3 - CT-PET 4 - MRI
4 - MRI - BUT needs to be used alongside the McDonald criteria
28
Which of the following sequences is the go to for identifying multiple sclerosis using an MRI scan? 1 - T1 axial no contrast 2 - T1 axial with contrast 3 - Flair with no contrast 4 - T2 with contrast
3 - Flair with no contrast - Gadolinium
29
MRI can be used to diagnose patients with multipole sclerosis. But MRI must be used alongside the McDonald criteria. One finding is called dissemination in space? 1 - lesions are present in the open space of the ventricles 2 - lesions are present in the intracranial space 3 - lesions are visible throughout the brain 4 - all of the above
3 - lesions are visible throughout the brain - >1 T2 (bright) lesions in at least 2 of the four areas of the CND 1 - juxtacorticol 2 - periventricular 3 - infratentorial 4 - spinal cord
30
MRI can be used to diagnose patients with multiple sclerosis. But MRI must be used alongside the McDonald criteria. One finding is called dissemination in time? 1 - lesions are present in the open space of the ventricles 2 - lesions are present in the intracranial space 3 - lesions are visible throughout the brain 4 - initial scan shows lesions, followed up by a subsequent follow up scan that shows a new lesions is now present
4 - initial scan shows lesions, followed up by a subsequent follow up scan that shows a new lesions is now present - T2 (bright) lesion when compared to a baseline scan
31
When looking at an MRI, is the cerebrospinal fluid white on a T1 or T2 scan?
- T2 scan - CS appears white and bright Remember WW2 = Water is Whiter on T2 - MS lesions also appear bright
32
Oligoclonal bands can be identified in 95% of patients with multiple sclerosis. What tissue are these present in? 1 - blood 2 - plasma 3 - urine 4 - CSF
4 - CSF Collected from a lumbar puncture
33
When we talk about lesions in multiple sclerosis, they can be - juxtacortical/intracortical - periventricular - infratentorial - spinal cord Which of the above areas of the CNS matches the following: - lesion in cerebral white matter abutting (overlapping) the cortex
- juxtacortical - juxta = next to/overlapping - cortical - cortex - these occur in the white matter (neuronal myelin) and overlap the grey matter
34
When we talk about lesions in multiple sclerosis, they can be - juxtacortical/intracortical - periventricular - infratentorial - spinal cord Which of the above areas of the CNS matches the following: - lesion in cortex
- intracortical - intra = inside - cortical - cortex - these occur within the grey matter, neuronal cell bodies
35
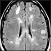
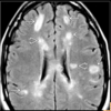
When we talk about lesions in multiple sclerosis, they can be - juxtacortical/intracortical - periventricular - infratentorial - spinal cord Which of the above areas of the CNS matches the following: - lesion next to and with direct contact with the lateral ventricles
- periventricular - image shows bright demyelination plaques around the lateral ventricles
36
When we talk about lesions in multiple sclerosis, they can be - juxtacortical/intracortical - periventricular - infratentorial - spinal cord Which of the above areas of the CNS matches the following: - below the tentorium (cerebellum, pons, brainstem)
- infratentorial - can resemble small vessel disease
37
If a vein sign has been identified on an MRI, which runs periventricularly, is this multiple sclerosis or small vessel disease?
- multiple sclerosis
38
We can see lesions in the spinal cord in patients who have multiple sclerosis. Where is the most common location these lesions occur? 1 - cervical 2 - thoracic 3 - lumbar 4 - sacral
1 - cervical
39
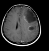
Tumefactive multiple sclerosis (MS) is a rare form of MS that causes tumour like growths in the brain. What is the key distinguishing factor between Tumefactive MS and brain tumours? 1 - size of the lesion 2 - location of the lesion 3 - complete circle of the lesion 4 - all of the above
3 - complete circle of the lesion - these patients typically respond well to steroids
40
Acute disseminated encephalomyelitis (ADEM) is a rare inflammatory disorder affecting the brain and spinal cord, BUT is NOT multiple sclerosis. What is a distinguishing factor between these 2? 1 - size of the lesion 2 - location of the lesion 3 - complete circle of the lesion 4 - a new lesion typically will not be present on follow up scans on top of the original lesion
4 - a new lesion typically will not be present on follow up scans on top of the original lesion - essentially there is no dissemination in time
41
Myelin oligodendrocyte glycoprotein (MOG) antibody disease (MOGAD) is an autoimmune disorder causing neurological inflammation. What is the distinguishing feature separating MOGAD and multiple sclerosis? 1 - No Dawson’s fingers 2 - Spinal lesions are usually long 3 - Optic neuritis – typically bilateral 4 - all of the above
4 - all of the above
42
Transverse myelitis is a neurological inflammatory disorder that affects both halves of the spinal cord. What is a typically sign on an MRI that can help diagnose transverse myelitis? 1 - detached spinal cord 2 - central expansion of the cord over more than 2 vertebrae 3 - lesions across the full width of the spinal cord 4 - lesions at the junction with the brain stem
2 - central expansion of the cord over more than 2 vertebrae - 2/3 of patients are left with some form of disability
43
Changes in the ageing brain may also be mistaken for multiple sclerosis including random white matter hyperintensities, widening of the sulci and a bright rim around the ventricles. At what age would this be classed as a normal ageing response vs a pathological cause such as multiple sclerosis? 1 - >25y/o 2 - >35y/o 3 - >50y/o 4 - >65y/o
3 - >50y/o - anyone under 50 should be reviewed for multiple sclerosis or other neurological disorders.
44
Which scale is used to quantify the amount of white matter T2 hyperintense lesions usually attributed to chronic small vessel ischaemia? 1 - Fazekas scale 2 - Wells score 3 - Dukes score 4 - McDonald score
1 - Fazekas scale
45
Patients with multiple sclerosis (MS) can experience significant pain which can be neuropathic or general pain. Which of the following medications is typically prescribed to treat neuropathic and generalised pain in MS? 1 - Paracetamol 2 - Amitriptyline 3 - Tramadol 4 - Clozapine
2 - Amitriptyline - inhibits the reuptake of serotonin and noreadrenalin - good for pain but as it has anti-muscarinic effects so can cause problems with bowel, bladder, cognition, secretions, QT prolongation
46
Patients with multiple sclerosis (MS) can experience significant neuropathic pain, spasms and impaired sensations. Which 2 of the following are typically prescribed as treatment? 1 - Gabapentin 2 - Pregabalin 3 - Tramadol 4 - Clozapine
1 - Gabapentin 2 - Pregabalin - both classed as anti-convulsants - can cause weight gain, fatigue, sleepiness, increased suicidal thoughts and brain fog
47
If a patient has a relapse of multiple sclerosis, prior to treating them what do we need to do? 1 - prescribe them pain and steroid medication 2 - admit to hospital and give disease modifying mediation 3 - confirm criteria for a relapse prior to treating 4 - all of the above
3 - confirm criteria for a relapse prior to treating - can be having a pseudorelapse that causes MS symptoms, but go away when this issue is treated
48
Once a patient has been confirmed as having a relapse of their multiple sclerosis, which of the following should they be treated with? 1 - Paracetamol 2 - Gabapentin or Pregabalin 3 - Methylprednisolone 4 - Clozapine
3 - Methylprednisolone - glucocorticoid given PO or IV - short course – 3 days iv, 5 days po
49
Once a patient has been confirmed as having a relapse of their multiple sclerosis, they should be treated with Methylprednisolone. Does this alter the natural history of the patients MS?
- no - helps speed up recovery
50
Multiple sclerosis causes significant inflammation. What drugs are typically given to treat the inflammation? 1 - NSAIDs 2 - antibiotics 3 - opioids 4 - steroids
4 - steroids - steroid (acute relapse) such as glucocorticoids - increase recovery speed - do not get better than prior to relapse though
51
Why is plasmapheresis a useful treatment for multiple sclerosis? 1 - useful incase kidneys have been affected 2 - can help remove autoantibodies from circulation 3 - reduces the risk of infection 4 - all of the above
2 - can help remove autoantibodies from circulation
52
Which of the following lifestyle factors is advised in an attempt to reduce the effects and demyelination of multiple sclerosis? 1 - regular exercise 2 - smoking cessation 3 - increased vitamin D 4 - reduced stress
3 - increased vitamin D - no evidence for this
53
Monoclonal antibodies can be used to treat patients with multiple sclerosis (MS). The drugs used in MS end in umab. What does the umab refer to in these drugs? 1 - multiple human origin antibodies have been cloned 2 - multiple antibodies containing human and animal antibodies have been cloned 3 - multiple antibodies from animals that have been modified to resemble human antibodies have been cloned 4 - all of the above
1 - multiple human origin antibodies have been cloned - human origin means human they are less likely to be targeted by the host immune system - essentially these are lab made antibodies targeting specific antigens
54
Monoclonal antibodies can be used to treat patients with multiple sclerosis (MS). The drugs used in MS end in umab, such as Ocrelizumab / Ofatumumab. How do these drugs work? 1 - inhibit B cells from becoming active 2 - deplete B cell number 3 - inhibit APC from activating B cells 4 - all of the above
2 - deplete B cell number - less B cells means less antibodies - give IV every 6 months or SC monthly () - can cause cumulative hypogammaglobulinemia - highly effective
55
What is the term used to describe an acute worsening of symptoms in a patient with multiple sclerosis due to increased body temperature? 1 - brudzinski sign 2 - neer sign 3 - kernigs sign 4 - uhthoff's phenomenon
4 - uhthoff's phenomenon