Multiple Sclerosis/ demyelination Flashcards

(48 cards)

1
Q

MS

General

A

life expectancy 7-14 year rreduction
>1/2 death related to complications
most frequesnt source of permanent disability in young adults aside from trauma.

The most common immune-mediated inflammatory demyelinating disease of the central nervous system

Females > Males

Mean age of onset 28-31

Possible genetic susceptibility

Familial
3-23%
Environmental
Viral
Vitamin D deficiency
Geography

How well did you know this?
1
Not at all
2
3
4
5
Perfectly
2
Q

MS

Pathophys

A

Characteristic feature
presence of focal demyelinated plaques in CNS
Optic nerve
Spinal cord
Brainstem
Cerebellum
Juxtacortical/ periventricular white matter

How well did you know this?
1
Not at all
2
3
4
5
Perfectly
3
Q

MS

Dx

A

Multiple sclerosis is a clinical diagnosis
Good clinical history
Physical Examination
Imaging (MRI)

How well did you know this?
1
Not at all
2
3
4
5
Perfectly
4
Q

MS

Clinical manifestations

A

No unique clinical findings
Presenting symptoms
Monosymptomatic = Single lesion
Polysymptomatic = > than 1 lesion

Typical presentation
Young adult
Clinically distinct episode(s) of CNS system dysfunction
Partial or full resolution

How well did you know this?
1
Not at all
2
3
4
5
Perfectly
5
Q
A
How well did you know this?
1
Not at all
2
3
4
5
Perfectly
6
Q

MS

S/Sx

A

Numbness/tingling
Tightness
“MS hugs” - chest discomfort
“Anaconda sign” - constricting sensation
Coldness
Swelling of limbs/trunk
Intense itching sensation
Usually unilateral and in cervical dermatomes

How well did you know this?
1
Not at all
2
3
4
5
Perfectly
7
Q

MS

Neurologic Symptoms
Cognitive impairments

A

Cognitive impairment (common)
Difficulty with attention
Short term memory
Speed of information processing

Abstract conceptualization
Frank dementia < 5%

How well did you know this?
1
Not at all
2
3
4
5
Perfectly
8
Q

MS

Unilateral Optic Neuritis

A

Painful monocular vision loss
visual blurring
partial vision loss
90% regain vision within 2-6 months

How well did you know this?
1
Not at all
2
3
4
5
Perfectly
9
Q

MS

pain symptoms

A

Paroxysmal (sudden) pain
Persistent pain
burning
cold dysesthesias
Musculoskeletal
Soft tissue

How well did you know this?
1
Not at all
2
3
4
5
Perfectly
10
Q

MS

Heat Sensitivity
Uhthoff syndrome

A

Uhthoff phenomenon: increase in body temp worsens symptoms

More than half of patients
Small increases in body temperature temporarily worsen symptoms
Conduction block in central pathways as temp increases
demyelinated nerves occur faster

How well did you know this?
1
Not at all
2
3
4
5
Perfectly
11
Q

MS

Genitourinary Symptoms

A

Urge incontinence
Overactive bladder
Functional bladder outlet obstruction
Symptoms
Hesitancy
Interrupted stream
Incomplete emptying
Erectile dysfunction
Decreased libido

How well did you know this?
1
Not at all
2
3
4
5
Perfectly
12
Q

MS

GI Symptoms

A

Urge incontinence
Constipation
Poor evacuation
Incontinence

How well did you know this?
1
Not at all
2
3
4
5
Perfectly
13
Q

MS

Neurologic PE
Signs

A

Paraplegia/paraparesis
lesions in the descending tract of spinal cord
Spasticity
Tonic: resistance to movement
Phasic: involuntary jerks and spasms

Diminished deep tendon reflex
lesions interrupting the reflex arc

Lhermitte Sign
Electric shock shooting down the spine or into the limbs most often after flexion of the neck

Intention tremors
45% of MS patients

Difficulty with coordination
Dysmetria: inability to control the distance, speed, ROM necessary to perform coordinated movements
Hypotonia: weak muscle tone

Gait disturbances
Cerebellar dysarthria (eg, scanning speech)

How well did you know this?
1
Not at all
2
3
4
5
Perfectly
14
Q

MS

Sensory Findings

A

Vibration/joint position sense impairment
Patchy areas of reduced pain and light touch perception in limbs/trunk

Brown-Sequard syndrome: weakness or paralysis and proprioceptive deficits ipsilateral to lesion with loss of pain and temp sensory contractural to lesion.

Testing sensation with sharp object, feeling is increased or spreads like a ripple effect
Contralateral weakness

How well did you know this?
1
Not at all
2
3
4
5
Perfectly
15
Q

MS

Ocular Findings

A

Optic neuritis
Afferent pupillary defect (Marcus-Gunn pupil) with swinging flashlight test (defect is in retina, optic nerve, chiasm, or anterior optic tract)
Disc edema if involves head of the optic nerve

How well did you know this?
1
Not at all
2
3
4
5
Perfectly
16
Q

MS

Abnormal eye movements

A

Internuclear ophthalmoplegia
Pendular nystagmus

How well did you know this?
1
Not at all
2
3
4
5
Perfectly
17
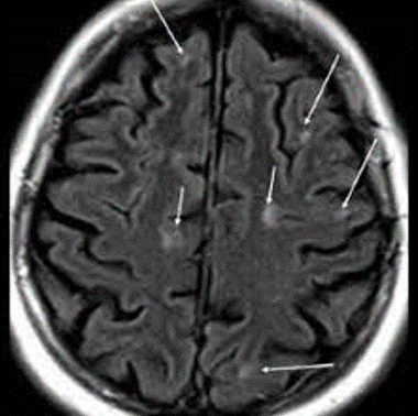
Q

MS

MRI brain

A

Diagnostic image of choice
Hyperintense white matter lesions on T2 sequence
Plaques
Ring enhancing
Ovoid
“Black hole” lesions
Severe demyelination and axonal loss

How well did you know this?
1
Not at all
2
3
4
5
Perfectly
18
Q

MS

MRI Spine

A

Less likely to be asymptomatic
Size ≥3 mm but < 2 vertebral segments in length
Occupy only part of the spinal cord
Little to no cord swelling
Focal
Clearly delineated
Well circumscribed

Chronic lesions
Smaller
Well-defined margins

Acute lesions
Larger
Ill defined
More gadolinium uptake
Dissipates over a few weeks
Rarely up to 8 weeks

How well did you know this?
1
Not at all
2
3
4
5
Perfectly
19
Q

MS

Lumbar Puncture

A

If clinical picture and imaging insufficient
Atypical clinical or imaging features
Atypical population (children and older adults)

How well did you know this?
1
Not at all
2
3
4
5
Perfectly
20
Q

MS

Evoked Potentials

A

Electrical events generated in the CNS by peripheral stimulation of a sensory organ
Detects subclinical abnormal CNS function
Define anatomic site of lesion not easily visualized by imaging
optic nerve

21
Q

MS

Optical Coherence Tomography

A

Uses infrared light waves that reflect off the internal microstructure of biological tissue to produce images
Noninvasive way to image the retina at high resolution
Measure thickness of retinal nerve fiber layer
85% are reduced

22
Q

MS

Classifications

A
  • Two main classifications
    Relapsing-remitting MS
    Progressive MS
    Primary
    Secondary
  • Several additional classifications
    Clinically isolated syndrome
    Radiologically isolated syndrome
23
Q

Relapsing Remitting MS

general

A

80-95% of patients
Attacks with full or incomplete recovery
Frequency varies
Average 0.4-0.6 relapses/year
Minimal disease progression between relapses

24
Q

Secondary progressive

General

A

Initial relapsing-remitting course followed by gradual worsening with or without occasional relapses, minor remissions and plateaus

Typically, 10-20 years from disease onset
90% RRMS will develop within 25 years

retrospective Dx
no clinical criteria

25
# Primary progressive general
Progressive accumulation of disability from onset with occasional plateaus, temporary minor improvements or acute relapses 10% of cases Mean age of onset: 40 years typical presentation Spinal cord syndrome worsening over months to years Clinical Dx
26
# Clinically Isolated Syndrome (CIS) General
First clinical episode Resembles typical MS relapse No known history Does not meet diagnostic criteria
27
# Radiologically Isolated Syndrome (RIS) general
MRI findings suggestive of MS (usually unrelated reason) No signs or symptoms No history of MS Risk factors for conversion to symptomatic course Male Age < 37 Spinal cord lesion
28
McDonald Criteria Don’t need to know
The criteria assign diagnostic confidence as follows: The diagnosis of MS is given if the McDonald criteria are fulfilled and there is no better explanation for the clinical presentation The diagnosis of possible MS is given if MS is suspected by virtue of a CIS but the McDonald criteria are not completely met The diagnosis is not MS if another diagnosis better explains the clinical presentation
29
30
Clinical Measurement of Disability
Kurtzke disability status scale (DSS) Expanded disability status scale (EDSS) Typically used in clinical trials (next slide) Patient-determined disease steps (PDDS) scale Utilizes patient reported outcomes to determine disability score
31
32
Prognostic Indicators of Disability
Lesion load on MRI Brain atrophy affecting gray and white matter Male Presentation >35yo PPMS May be more related to age than on initial course (regardless of subtype) Bowel/bladder symptoms at onset with incomplete recovery (RRMS) Short interval between 1st and 2nd attack Polysymptoms at diagnosis=shorter time to progressive disease
33
# MS Tx strategies
Treatment strategies: Treatment of acute exacerbations with corticosteroids Reduction of biologic activity with disease-modifying medications Symptom management Rehabilitation and psychosocial support
34
# MS Acute attack
Criteria Episode of focal neurologic disturbance >24 hours Preceding clinical stability for ≥30 days Without an alternate explanation Consider MRI brain Assess for new lesion **Goal of treatment is to lessen time to recovery**
35
# MS Acute Treatment
**Glucocorticoids** 3-7 day course of IV **methylprednisone** 500-1000mg with or without a short prednisone taper OR 3-7 day course of oral prednisone 625 to 1250mg daily with or without a short taper Corticotropin injection gel (bovine or porcine ACTH) More expensive Reserved for those with poor IV access or who cannot tolerate high dose glucocorticoids **Plasma exchange - For those that fail glucocorticoids**
36
Long term Treatment: RRMS, SPMS, CIS
Disease modifying therapy Decrease relapse rate Partially effective Slower accumulation of brain lesions on MRI Unclear if reduces disability progression There is no cure Continue indefinitely unless SE intolerable
37
# MS Intravenous Therapy:
Monoclonal Antibodies Natalizumab (Tysabri) Ocrelizumab (Ocrevus) Alemtuzumab (Lemtrada)
38
Natalizumab MOA
Associated with diminished migratory capacity of immune cells and a prolonged decrease in lymphocyte counts in CSF
39
Natalizumab Side effects
Headache* Flushing * Erythema* Nausea * Dizziness* *During infusion Fatigue Infections UTI and lower respiratory tract infections Arthralgia Progressive multifocal leukoencephalopathy (PML)
40
# Progressive Multifocal Leukoencephalopathy general
Rare potentially fatal neurologic condition Demyelination of the subcortical white matter, gray matter, and cortex Caused by JC virus (JCV) infection
41
Natalizumab Black box warning
dont use with history of Progressive Multifocal Leukoencephalopathy
42
Oral therapies
S1P receptor modulators Fingolimod (Gilenya) Siponimid (Mayzent) Ozanimid (Zeposia) Ponesimod (Ponvory)
43
#Sphingosine 1-phosphate (S1P) receptor modulators  MOA
Mechanism of action: sphingosine analogue that modulates the S1P receptor and thereby alters lymphocyte migration, resulting in sequestration of lymphocytes in lymph nodes
44
# S1P Contraindications and SE
In past 6 months 1. Myocardial Infarction (MI) or unstable angina 2. Cerebrovascular accident (CVA) or transient ischemic attack (TIA) 3. Heart failure History of 2nd or 3rd degree heart block Anti-arrhythmic drugs Prolonged QT interval ≥500 ms on EKG Side effects: HA, elevated LFTs, diarrhea, cough, flu like symptoms, arthralgias, bradyarrhythmia, macular edema
45
S1P Receptor Modulators  Side Effects
Headache Elevated LFTs Diarrhea Cough Flu Arthralgias Bradyarrhythmia Macular edema Opportunistic infections
46
Injectable Tx
Ofatumumab Interferons
47
monitoring on therapy
48
Refractory disease: When to consider treatment change