





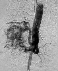
2 month old


adult


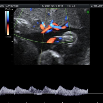
OB ultrasound of the placenta


OB ultrasound of the placenta



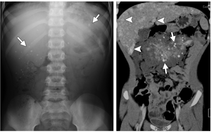
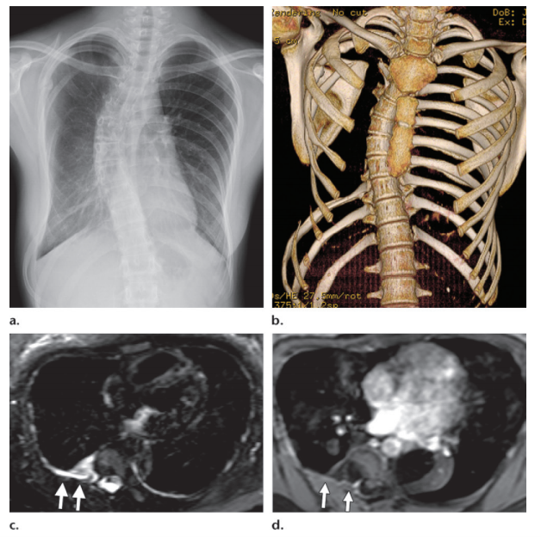
Gorham stout
vanishing bone disease

gorham stout
vanishing lung disease






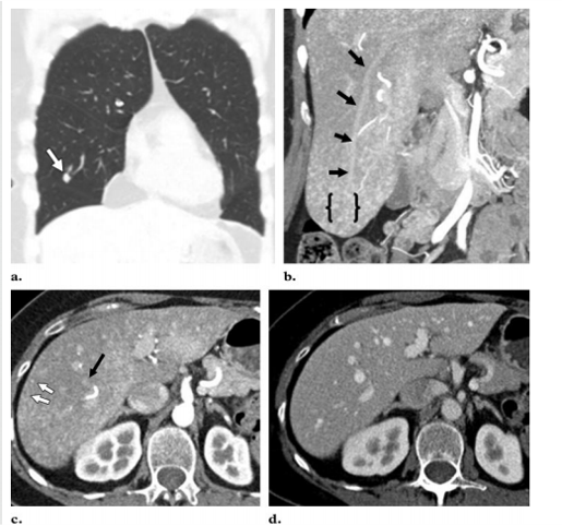
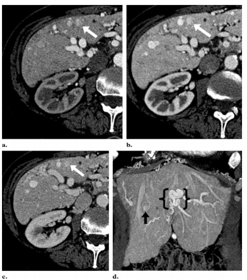
baby with hemangioendothelioma and thrombocytopenia











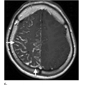
Sturge weber


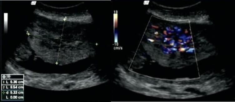
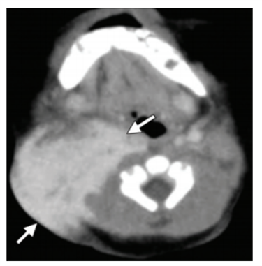
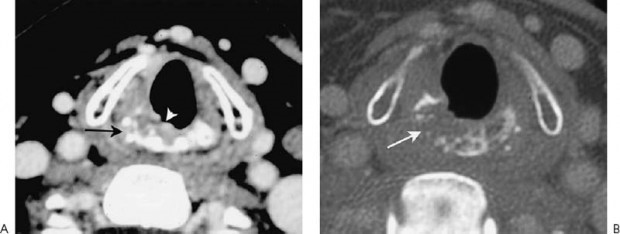
Subglottic hemangioma


subglottic hemangioma
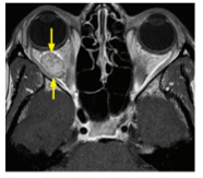
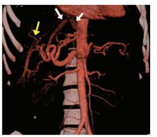
associated with PHACES

PHACES






