Muscle Tissue Flashcards

(21 cards)

1
Q

Location of Skeletal Muscle tissue?

A

Attached to bones(tendons)

How well did you know this?
1
Not at all
2
3
4
5
Perfectly
2
Q

Location of Cardiac Muscle Tissue?

A

In the heart

How well did you know this?
1
Not at all
2
3
4
5
Perfectly
3
Q

Location of Smooth muscle tissue?

A

Walls of hollow internal organs

How well did you know this?
1
Not at all
2
3
4
5
Perfectly
4
Q

Function of skeletal muscle tissue?

A

Protect organs

How well did you know this?
1
Not at all
2
3
4
5
Perfectly
5
Q

Function of cardiac muscle tissue?

A

Produces force and pumps blood through the body

How well did you know this?
1
Not at all
2
3
4
5
Perfectly
6
Q

Function of smooth muscle?

A

Controls the movement of substances through the body

How well did you know this?
1
Not at all
2
3
4
5
Perfectly
7
Q

ID the muscle tissue

A

Skeletal Muscle tissue

How well did you know this?
1
Not at all
2
3
4
5
Perfectly
8
Q

ID the muscle tissue

A

Cardiac Muscle tissue

How well did you know this?
1
Not at all
2
3
4
5
Perfectly
9
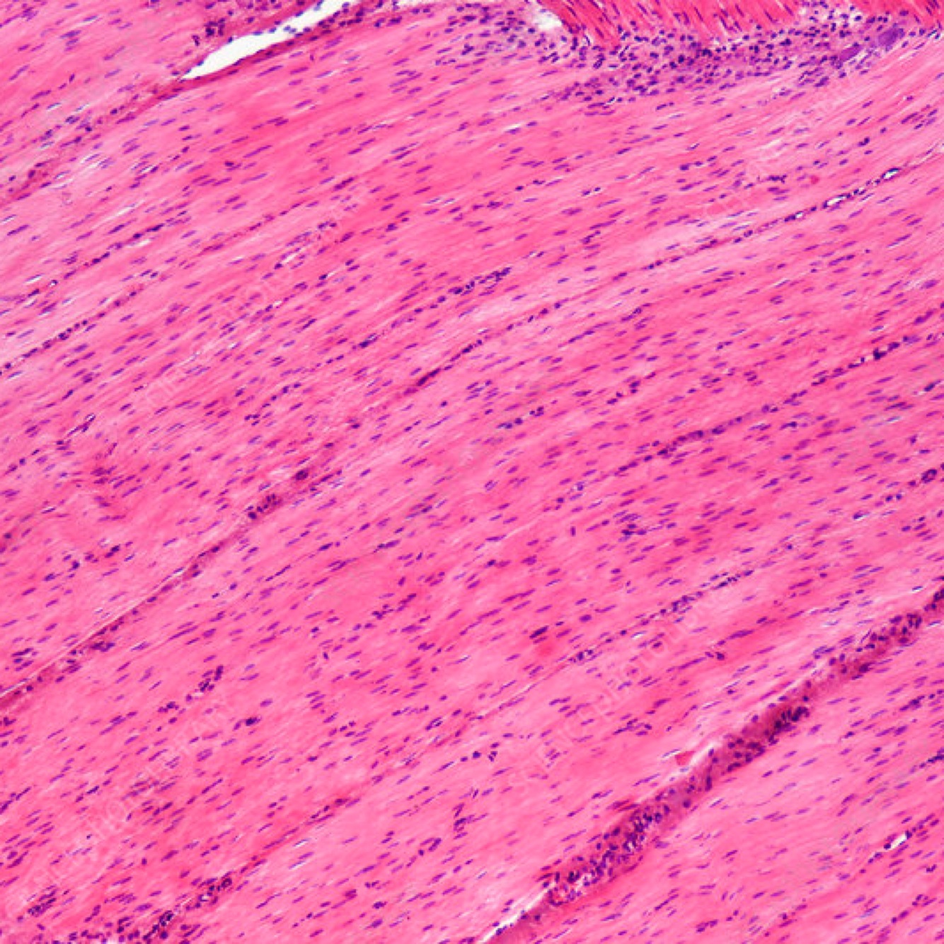
Q

ID the muscle tissue

A

Smooth Muscle tissue

How well did you know this?
1
Not at all
2
3
4
5
Perfectly
10
Q

2 anatomical justifications of skeletal muscle tissue

A

Multi-nucleated & Striated

How well did you know this?
1
Not at all
2
3
4
5
Perfectly
11
Q

anatomical justifications of Cardiac Muscle tissue

A

Intercalated discs & uninucleated

branched

How well did you know this?
1
Not at all
2
3
4
5
Perfectly
12
Q

2 anatomical justifications of Smooth Muscle Tissue

A

nonstriaited & spindle shaped cells

How well did you know this?
1
Not at all
2
3
4
5
Perfectly
13
Q

Is Skeletal Muscle tissue Voluntary or involuntary

A

Voluntary tissue

How well did you know this?
1
Not at all
2
3
4
5
Perfectly
14
Q

Is Cardiac Muscle tissue voluntary or involuntary?

A

Involuntary tissue

How well did you know this?
1
Not at all
2
3
4
5
Perfectly
15
Q

Is smooth muscle tissue voluntary or involuntary?

A

Involuntary tissue

How well did you know this?
1
Not at all
2
3
4
5
Perfectly
16
Q

ID the tissue

A

Nervous tissue

17
Q

ID the cell type by the pointer . What are 3 functions of this cell?

A

Neuron. Receive, process, and transmit information (action potential)

18
Q

ID the cell type indicated by the pointers & its function

A

neurological cell & “support” neurons

19
Q

What does Voluntary mean?

A

That they are controlled

20
Q

What does involuntary mean?

A

That they are not controlled

21
Q

What is the function of intercalated discs?

A

Allows this cardiac muscle to contract