Musculo Flashcards

(41 cards)

1
Q

Cuales son los 3 tipos de musculo?

A

Estriado
Liso

How well did you know this?
1
Not at all
2
3
4
5
Perfectly
2
Q

En donde podeos encontrar al esqueleto estriado?

A

Conforma el músculo esquelético
Además de el musculo cardiaco propio del corazón

How well did you know this?
1
Not at all
2
3
4
5
Perfectly
3
Q

Características del musculo esquelético

A

Multinucleado
Tiene mitocondrias
Voluntario

How well did you know this?
1
Not at all
2
3
4
5
Perfectly
4
Q

Características del musculo liso?

A

Contracción lenta
Involuntario

How well did you know this?
1
Not at all
2
3
4
5
Perfectly
5
Q

Características del musculo cardiaco?

A

Multinucleado
involuntario

How well did you know this?
1
Not at all
2
3
4
5
Perfectly
6
Q

Cual de los tipos de músculo posee estriaciones visibles?

A

Musculo esquelético

How well did you know this?
1
Not at all
2
3
4
5
Perfectly
7
Q

Como se le llama al tejido conjuntivo que rodea una única fibra muscular?

A

Endomisio

How well did you know this?
1
Not at all
2
3
4
5
Perfectly
8
Q

Como se le llama al tejido conjuntivo que rodea un grupo de fibras musculares o fascículo?

A

El tejido conectivo que rodea un grupo de fibras musculares es Perimisio

How well did you know this?
1
Not at all
2
3
4
5
Perfectly
9
Q

Como se le llama a la capa de tejido conectivo que rodea el musculo?

A

El tejido que rodea todo el musculo Epimisio

How well did you know this?
1
Not at all
2
3
4
5
Perfectly
10
Q

Estructura de tejido conjuntivo que rodea tanto al musculo como al ligamento que lo une al hueso?

A

Se la llama Fascia

How well did you know this?
1
Not at all
2
3
4
5
Perfectly
11
Q

Cuales son los 3 tipos de fibras que hay en el musculo?

A

Fibras tipo I rojas
Fibras tipo IIa intermedias
Fibras tipo IIb blancas

How well did you know this?
1
Not at all
2
3
4
5
Perfectly
12
Q

Cuales son las características de las fibras tipo I rojas?

A

Contracción lenta
No se fatiga con facilidad

How well did you know this?
1
Not at all
2
3
4
5
Perfectly
13
Q

Cuales son las características de las fibras tipo IIa intermedias?

A

Ninguna Son una mezcla de característica entre rojas y blancas

How well did you know this?
1
Not at all
2
3
4
5
Perfectly
14
Q

Cuales son las características de las fibras tipo IIb blancas?

A

De contracción rápida
Fatigables

How well did you know this?
1
Not at all
2
3
4
5
Perfectly
15
Q

Los tres tipos de fibras solo están presentes en cierto tipos de músculo y no coexisten entre si
Verdadero o Falso

A

Falso los 3 tipos de fibras pueden estar presentes en el mismo musculo.

How well did you know this?
1
Not at all
2
3
4
5
Perfectly
16
Q

Que estructura delimita al sarcómero?

A

Las líneas o bandas Z

How well did you know this?
1
Not at all
2
3
4
5
Perfectly
17
Q

Cual es la unidad morfofuncional del musculo?

18
Q

Que estructuras encontramos el centro del sarcómero y es el ligar donde se unen las Miosinas?

19
Q

Es la zona circundante a la línea M en donde no hay presencia de cabazas de miosina

20
Q

Estructura mas opaca del sarcómero en la que coexisten miosina y actina?

21
Q

Región circundante a la línea Z de baja opacidad donde únicamente hay filamentos de actina

22
Q

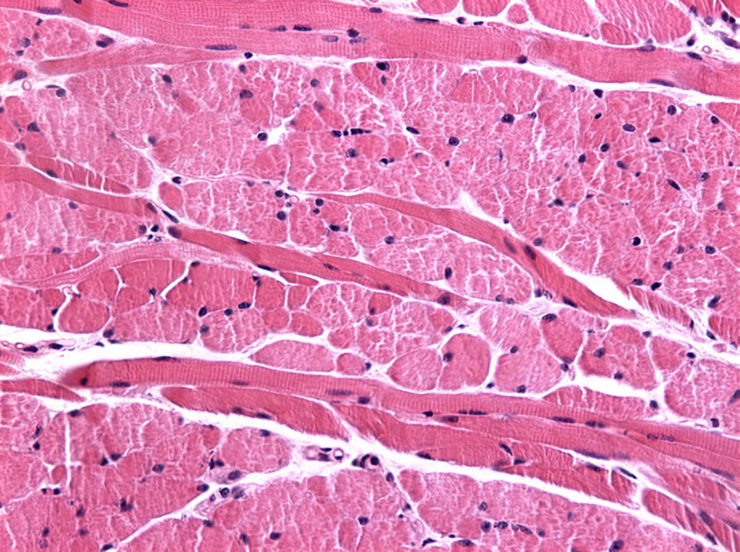
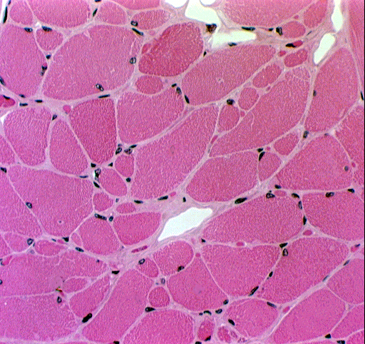
Que musculo se nos presenta a continuación y cuales son sus características?

A

Musculo esquelético o estriado
Observamos endomisio
Núcleos en la periferia

23
Q

Que tipo de musculo e el siguiente?

A

Musculo esquelético o extraído
Nácelos en la periferia

24
Q

Que estructura marca la flecha y que características tiene?

A

Línea z
Es la que marca el inicio y fin de un sarcómero
Es el sitio de unión de la actina
Es el punto medio de la banda I

25
Que estructura esta señalada cual es du función y características?
Banda H Sitio donde únicamente encontramos miosina Se encuentra a ambos lados de la línea M
26
Que estructura esta señalada y cual es su función y características?
Esta señalada la banda A Es el lugar mas opaco de sarcómero y es donde coexisten tanto la actina como la miosina
27
Cual es la estructura marcada cual es su función y características?
Banda I Se extiende a ambos lados de la línea Z Esta compuesta por filamentos de actina sin presencia de miosina
28
Que proteínas están involucradas en el mecanismo de contracción del musculo?
Miosina Actina Tropomiosina Troponina
29
Donde es el sitio principal donde encontramos el musculo cardiaco?
En el corazón
30
Que estructuras unen a las fibras del musculo cardiaco?
Discos intercalares
31
Características de musculo cardiaco
Poseen discos intercalados Lechos capilares abundantes Núcleos ovalados Son ramificados
32
Que musculo es el siguientes y que características tiene?
Musculo cardiaco Forma de Y Con nácelos en la parte media
33
Que musculo es el siguiente y tiene características tiene?
Musculo cardiaco Núcleos al centro Forma irregular
34
Características del musculo liso?
Células fusiformes Núcleo oval
35
En que lugares podemos encontrara musculo liso?
Sistema gastrointestinal Vías urinarias Ojo Vías respiratorias Vasos sanguíneos Vejiga Útero Vías biliares
36
Que tipo de musculo es el siguiente y cuales son sus características?
Musculo liso Fusiforme Núcleo ovalado
37
Que tipo de musculo es el siguiente y cuales son sus características?
Musculo liso Nácelos ovalados
38
Que tipo de musculo es el siguiente?
Musculo liso
39
Que tipo de musculo es el siguiente? que estructura señalan las flechas?
Musculo cardiaco Las flechas señalan los discos intercalares
40
Que tipo de musculo es el siguiente?
Musculo esqueletico
41
Que tipo de musculo es el siguiente?
Musculo liso