Picture of red burnt foot, straight line of demarcation on ankle.
Immersion
Isopropanol is?
Twice as intoxicating as ethanol
What is the most common cause of death in the 24 hours following tonsillectomy?
Bleeding (other
choices aspiration pneumonia)
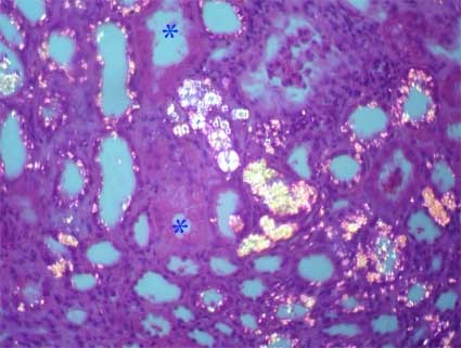
Slide: decomp man with elevated blood alcohol and this finding in kidney. Cause?

Poisoning (ethylene glycol)
How to calculate perimortem blood ETOH based on urine?
Urine 1.3 to Blood 1.0
Man is assaulted and presents to the ED the following day with abdominal pain. He collapses and
undergoes vigorous resuscitation. At autopsy- marked CAD and anterior liver laceration with 450 cc
hemoperitoneum. What is COD?
heart disease
What kind of current is lightning?
direct, high
Two separate questions with images of pons, one gross, one luxol fast blue, both showing central
pontine myelinolysis, associated with?
Chronic EtOH
Gross picture of brain with periventricular plaques.
Autoimmune disease (MS)
REPEAT:
What type of ammunition is being shown?
ACP ammunition
core and jacket separate so you see small little balls of core and then the jacket
What is definition of stopping power?
Police term
Stopping power is the ability of a firearm or other weapon to cause enough ballistic trauma to a target (human or animal) to immediately incapacitate (and thus stop) the target
Man with helium tank running into bag over head, mechanism of death?
Exclusion of oxygen
slide: Duodenum with black pigment on mucosal surface (?charcoal). What is cause of death?
poisoning
Best sample for Channelopathy testing?
EDTA tube (other choices fresh frozen heart, blood spot card)
Hypoxia in the perinatal period causes what change in the neurons?
Basophilia (other choices
karyorrhexis)
Xray of child’s head with small, radio-opaque round object (BB sized), ID.
Low-velocity weapon vs radiology marker (other choices high velocity weapon)
What chemical is a/w an elevated CO?
methylene chloride (other choices methyl chloride, methyl bromide, ethylene chloride)
Why is benzidine used as a presumptive test for blood?
Sensitive and specific (other choices
nontoxic)
At what speed does a .38 caliber bullet penetrate the skin?
About 200 ft/sec
How many CME credits per year do you need?
35
Picture of detached mandible with soft tissue removed, teeth have pink discoloration, cause?
Postmortem change
Armpit with charring/burns, what type of electrical injury?
High voltage (other choices water electrocution, low voltage)
Virtual slide: two hippocampi, one sclerotic. Result?
Epilepsy
Coronary artery dissection associated with?
peripartum