Quelles sont les différentes levures?
Quelles sont les champignons dimorphes?
Quels sont les champignons filamenteux?
Quelles sont les caractéristiques des levures?
Comment se multiplient les levures?
Multiplication par bourgeonnement
Quelles sont les caractéristiques des dermatophytes?
Quelles régions sont atteintes par les mycoses superficielles?
Quelles régions sont atteintes par les mycoses sous-cutanées?
Quelles régions sont atteintes par les mycoses systémiques (pathogènes vrais ou opportunistes)?
1) Pathogènes vrais
2) Opportunistes
- > Atteint derme et tissu sous-cutané, souvent 2° dissémination hématogène ou extension à partir de structures sous-jacentes
- > Lésions cutanées 1° ou 2° chez les immunosupprimés
Quelle mycose superficielle de la peau cause une mx cutanée avec inflammation absente ou minime?
Malassezia furfur, M. globosa
Mx cutanée: pityriasis (tinéa) versicolore
Quelle mycose superficielle cause la dermatophytose, à réponse inflammatoire fréquente?
Quelle mycose superficielle est responsable de la candidose, à réponse inflammatoire fréquente?
Candida albicans ou autre
Quelles sont les régions surtout atteintes par le pytiriasis versicolore?
Régions avec T° et humidité élevées
-> Donc + fréquent chez adolescents et jeunes adultes (personnes âgées peau + sèche)
Quelle mycose cause le pityriasis versicolore?
Levure: Malassezia globosa > M. furfur
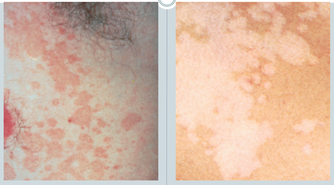
Quelle est l’apparence des lésions du tinéa versicolore?
*Forme inversée existe

Quelle est l’utilité de la lampe de Wood pour le diagnostic du tinéa versicolore?
Fluorescence jaune-orange
Qu’est-ce qui est caractéristique de ces lésions?

Elles ont un aspect plissé caractéristique du tinéa versicolore

Vrai ou Faux. Le tinéa versicolore (seule tinéa à levures) s’accompagnent de prurit important.
Faux. Prurit léger ou absent
Quelles sont les 3 catégories et mode de transmission de dermatophytes?
Quelles sont les caractéristiques cliniques typiques du dermatophyte anthropophilique?
Quelles sont les caractéristiques cliniques typiques du dermatophyte zoophilique?
Quelles sont les caractéristiques cliniques typiques du dermatophyte géophilique?
Quels sont les facteurs de risque de la dermatophytose?
Quels sont les agents causaux les + fréquents du tinéa corporis?